Epidermalzyste mit ungewöhnlicher Ausdehnung
Eine 20-jährige Patientin stellte sich im Februar 2025 in der Poliklinik für Mund-, Kiefer- und Gesichtschirurgie an der Uniklinik RWTH Aachen mit einer seit der Geburt bestehenden Schwellung retroaurikulär links vor. Im Alter von einem Jahr war eine erstmalige ärztliche Vorstellung bei den kinderchirurgischen Kollegen in domo erfolgt. Bei nur dezent vorhandenem Befund ohne Anhalt für Malignität war – in Einklang mit dem Elternwunsch – eine konservative Vorgehensweise empfohlen worden.
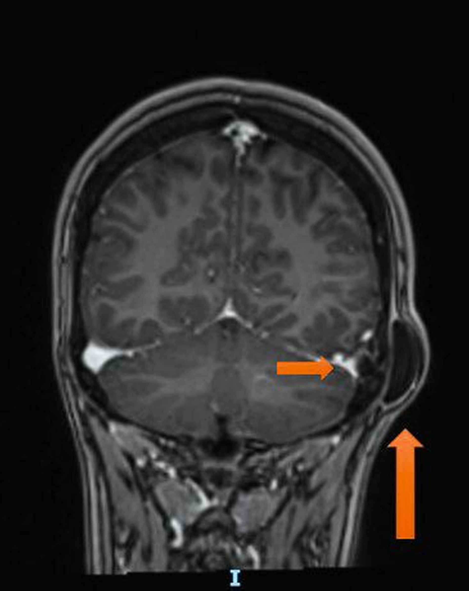
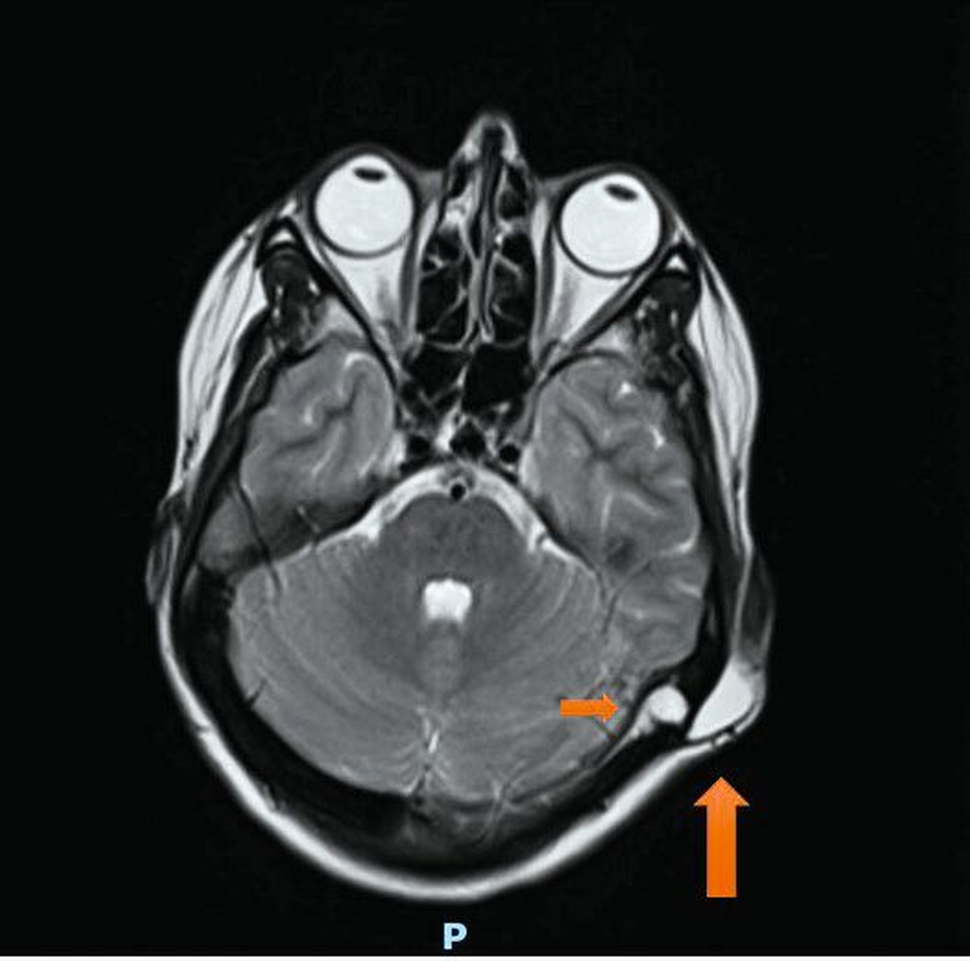
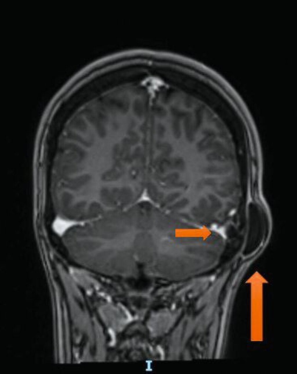
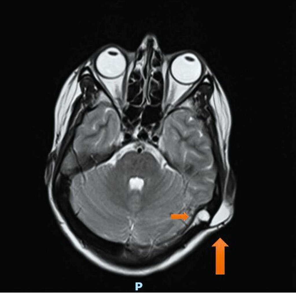
In den vergangenen 18 Monaten war die Raumforderung stark größenprogredient, sodass die Patientin ihren Hausarzt aufsuchte. Dieser veranlasste eine Magnetresonanztomografie, mit der eine 3,5 cm x 1,0 cm x 3,0 cm große subkutane Strukturvermehrung retroaurikulär links mit breitbasigem Kontakt zur Schädelkalotte extrakraniell dargestellt werden konnte (Abbildungen 1 bis 3). Weiter zeigte sich intrakraniell eine noduläre Läsion der Schädelkalotte mit einer Größe von 0,9 cm x 0,8 cm mit einer Impression des linken Sinusknies, die in erster Linie als zystoide Komponente derselben Raumforderung zu werten ist und mit dem extrakraniellen Befund über einen Fistelgang kommuniziert. In der Gesamtbeurteilung wurde der Verdacht einer Epidermoidzyste mit intrakranieller Ausdehnung gestellt. Es folgte die Überweisung an einen niedergelassenen Mund-, Kiefer- und Gesichtschirurgen, der aufgrund der intrakallotären Beteiligung eine Überweisung ins Universitätsklinikum Aachen veranlasste.
Allgemeinanamnestisch wies die Patientin eine bekannte Glutenunverträglichkeit auf. Eine regelmäßige Medikamenteneinnahme wurde verneint. Ebenso waren keine Allergien bekannt. Nebenbefundlich konnte eine symptomlose, leichte normozytäre Anämie festgestellt werden. Klinisch zeigte sich im Bereich der behaarten Kopfhaut eine prall-elastische, basal nicht verschiebliche Schwellung von circa 5 cm x 6 cm. Während der Untersuchung konnten keine klinischen Entzündungszeichen festgestellt werden. Nach einer Vorstellung bei den neurochirurgischen Kollegen im Haus wurde ein kombinierter Eingriff mit Entfernung der Raumforderung extra- und intrakraniell geplant.
Zwei Wochen später erfolgte in Intubationsnarkose die Resektion der Raumforderung. Nach einer Rasur des Operationsgebiets erfolgte die spindelförmige Schnittführung mit einer maximalen Ausdehnung von 4 cm x 1 cm. Hierdurch konnte nicht nur der fragile Zystenbalg besser erfasst werden, sondern auch eine ästhetisch zufriedenstellende Korrektur der – nach Entfernung der Zyste – überschüssigen Haut vorgenommen werden.
Es konnte nun ein birnenförmiger Balg präpariert und gelöst werden, bis dessen Fistelung durch die Schädelkalotte sichtbar wurde. Dieser Balg wurde zwischenzeitlich extrakraniell abgetrennt, so dass eine bessere Sicht auf den Situs möglich war. Der Knochen um den Fistelgang wurde gemeinsam mit den neurochirurgischen Kollegen entfernt. Die initiale, relativ kleine Knocheneröffnung wurde zur Darstellung des kompletten intrakalottären Zystenbalgs erweitert. Nach Resektion in toto sowie gründlicher Reinigung wurde zum Verschluss ein Gelatineschwamm (Cursapon®) eingelegt. Dorsal der Trepanation wurde Eigenknochen der Tabula externa mittels eines Safescrapers® gewonnen. Im Anschluss erfolgte der mehrschichtige Wundverschluss.
Die Patientin konnte am zweiten postoperativen Tag in stabilem Zustand bei zeitgerechten und reizfreien Wundverhältnissen entlassen werden. Zum Kontrolltermin nach zehn Tagen stellte sich die Wunde reizfrei und komplett verschlossen dar. Zu diesem Termin lag das Ergebnis der histopathologischen Begutachtung vor. Hierbei bestätigte sich der Verdacht einer Epidermalzyste.
Diskussion
Entfernungen von Epidermalzysten im Kopf-Hals-Bereich gehören zu den Standardeingriffen in der Mund-, Kiefer- und Gesichtschirurgie. Dabei gelten Epidermalzysten als gutartige, echte Zysten, die häufig – insbesondere in den Bereichen des Gesichts, des Nackens und des Rumpfes – auftreten [Elder, 2020]. Sie wachsen langsam und sind in der Regel von einem Haarfollikel ausgehend. In seltenen Fällen können jedoch auch atypische Lokalisationen auftreten [Graham-Brown, 2016; Elder, 2020]. Der Großteil der Patienten weist lediglich eine oder wenige Epidermalzysten auf. Bei einigen syndromalen Erkrankungen, wie dem Gardner-Syndrom, können jedoch multiple Zysten auftreten [Graham-Brown, 2016; Suh et al., 2017]. Im histologischen Schnitt weist der Zystenbalg eine epidermale Schichtung auf. Das Zystenlumen ist mit einer Hornmasse gefüllt [Elder, 2020].
Die Therapie der Wahl besteht in der chirurgischen Entfernung der kompletten Zyste im entzündungsfreien Zustand [Graham-Brown, 2016]. Häufig treten die Epidermalzysten jedoch erstmals bei einer akuten Infektion in Erscheinung. In diesem Stadium kann die Zyste nicht entfernt werden. Zuvor muss die Inzision mit antibiotischer Therapie oder eine intraläsionale Steroidinjektion erfolgen. Als Alternative zur chirurgischen Entfernung kann den Patienten eine Laserung der Epidermalzysten angeboten werden. Dabei erfolgt jedoch nur eine Zystostomie ohne Entfernung des kompletten Zystenbalgs. Auch eine histologische Untersuchung zur Abgrenzung weiterer Entitäten ist dann erschwert, da eine komplette Aufarbeitung nicht möglich ist. Ebenso kann durch die thermische Denaturierung des Lasers die richtige Diagnose im histopathologischen Schnitt verkompliziert werden [Feng und Ma, 2015]. Die Prognose stellt sich bei Resektion in toto als äußerst günstig dar. Falls ein Rest belassen wird, kann es im Verlauf zu einem Rezidiv kommen.
Am dargestellten Fall wird deutlich, dass eine vermeintlich leichte Zystenentfernung, die in vielen Fällen durchaus komplett ambulant durchgeführt werden kann, je nach Lokalisation und Ausdehnung eine invasive und interdisziplinäre Behandlung inklusive Trepanation der Schädelkalotte benötigen kann.
Obwohl seit Oktober 2024 die S1-Leitlinie „Bildgebende Diagnostik von Hauterkrankungen“ [Deutsche Dermatologische Gesellschaft, 2024] existiert, bezieht sich diese jedoch nicht auf Zysten. Die Diagnostik erfolgt in der Regel klinisch oder bildmorphologisch mittels Sonografie oder MRT. Bei Zysten, die anamnestisch seit Geburt bestehen und/oder eine rasche Progredienz aufweisen, sollte immer eine Bildgebung erfolgen. Dies dient nicht nur zur besseren Planung des chirurgischen Vorgehens, sondern auch zur Differenzialdiagnostik.
Im beschriebenen Fall wies die Zyste ebenfalls eine Fistelung nach intrakraniell auf. Die Entfernung im Ganzen erfordert eine interdisziplinäre Versorgung sowohl durch die Mund-, Kiefer- und Gesichtschirurgie als auch die Neurochirurgie. Hätte eine präoperative Bildgebung nicht stattgefunden, wäre dies mit einem Abbruch der Operation oder gar schwerwiegenderen intraoperativen Komplikationen verbunden gewesen. Eine derartige Fistelung nach intrakallotär ist in der aktuellen Literatur bislang nicht beschrieben, so dass eine vollständige Aufarbeitung durch die Kollegen der Pathologie zur Diagnosesicherung unabdingbar ist. Eine andere Therapie als die chirurgische Sanierung in toto ist somit nicht möglich.
Fazit
Vermeintlich harmlose und häufige Zysten können komplexe Befunde mit interdisziplinärem Handlungsbedarf darstellen. Hierfür ist bei atypischer Anamnese und ungewöhnlichem Krankheitsverlauf eine Bildgebung indiziert. Dies erhöht intraoperativ die Sicherheit sowohl für den Patienten als auch für den Operateur.
Literaturliste
Elder, D.E., 2020. Atlas of Dermatopathology : Synopsis and Atlas of Lever’s Histopathology of the Skin, 4 th ed. ed. Wolters Kluwer Health, Philadelphia.
Graham-Brown, R.A.C., 2016. Dermatology, New York Academy of Sciences Ser. John Wiley & Sons, Newark.
Suh KS, Kang DY, Park JB, Yang MH, Kim JH, Lee KH, Han SH, Choi YD, Kim ST, Jang MS. Usefulness of Dermoscopy in the Differential Diagnosis of Ruptured and Unruptured Epidermal Cysts. Ann Dermatol. 2017 Feb;29(1):33-38. doi: 10.5021/ad.2017.29.1.33.
Feng CJ, Ma H. Treatment of epidermal cysts with erbium: YAG laser fenestration: an alternative to surgical intervention. Ann Plast Surg. 2015 May;74 Suppl 2:S89-92. doi: 10.1097/SAP.0000000000000463
Deutsche Dermatologische Gesellschaft e.V. (DDG), Bildgebende Diagnostik von Hauterkrankungen, Version 3.0, 01.10.2024, Verfügbar unter: register.awmf.org/assets/guidelines/013-076l_S1_Bildgebende-Diagnostik-von-Hauterkrankungen_2024-11.pdf














