Der hypomineralisierte Zahn – Diagnostik und Therapie
Liebe Kolleginnen und Kollegen,
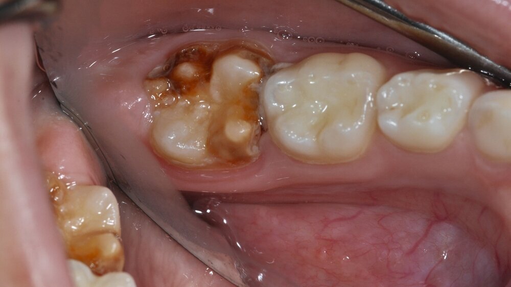
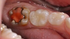
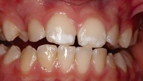
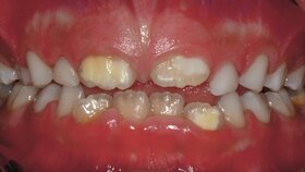
die Sechste Deutsche Mundgesundheitsstudie (DMS • 6) hat herausgefunden, dass etwa jeder siebte Zwölfjährige an den Symptomen einer Molaren-Inzisiven-Hypomineralisation (MIH) leidet. Die betroffenen Zähne können verfärbt sein beziehungsweise unterschiedlich große posteruptive Schmelzeinbrüche aufweisen.
Die genauen Ursachen der MIH sind bekanntlich noch nicht geklärt. Diskutiert werden insbesondere Umweltfaktoren, wie die Exposition gegenüber bestimmten Umweltgiften oder Chemikalien während der Schwangerschaft oder in der frühen Kindheit. Aber auch systemische Erkrankungen beziehungsweise Infektionen während der Zahnentwicklung sowie Ernährungsfaktoren wie Mangelernährung oder eine unzureichende Mineralstoffzufuhr können eine Rolle spielen. Da die Erkrankung während der Zahnentwicklung entsteht, gibt es bisher keine präventiven Maßnahmen. Regelmäßige, engmaschige zahnärztliche Kontrollen sind daher sehr zu empfehlen, um eine MIH frühzeitig zu erkennen und geeignete Maßnahmen zu ergreifen.
Der Fortbildungsteil fasst den aktuellen Wissensstand zum klinischen Erscheinungsbild, zur Diagnostik und Ätiologie sowie zur nicht invasiven und invasiven Therapie zusammen. Unser Ziel ist, Ihnen eine praxisrelevante Hilfestellung zu geben, um das klinische Erscheinungsbild besser interpretieren und adäquate, symptombezogene Therapiemaßnahmen ergreifen zu können. Ich wünsche Ihnen eine anregende Lektüre.
Ihr Elmar Hellwig



169
169
169

