Auf die natürliche Schiene
2003 stellte sich ein Patient in der Münchener Praxis von Dr. Sebastian vor, der dem Zahnarzt und Spezialisten für ästhetische Zahnmedizin noch lange im Gedächtnis blieb. Der Patient wünschte sich eine ästhetische Korrektur des Engstands in der Unterkieferfront, am liebsten mit Keramikveeners. Sebastians Vorschlag, den Engstand kieferorthopädisch korrigieren zu lassen, lehnte der Patient ab: Zu aufwendig, zu langwierig und unästhetisch sei die Repositionierung der Zähne mittels Brackets. Die Entscheidung fiel zugunsten der Keramikveneers. „Gesunde Zahnsubstanz für eine prothetische Versorgung kleinzuschleifen war für mich nicht nur ein ethisches, sondern auch ein funktionelles Dilemma“, erklärt Sebastian rückblickend. Zu massiv sei der Eingriff in die Biologie des Kauorgans, findet er.
16 Jahre später ist der Patient zwar immer noch sehr zufrieden mit seiner prothetischen Versorgung, bei Sebastian aber hat der Fall ein Umdenken bewirkt: „Für mich war das ein Eingriff gegen die Natur, mit dem ich nicht glücklich war.“ 2005 bot sich ihm dann mit der Einführung transparenter Schienen auf dem deutschen Markt eine zeitgemäße Alternative zur Zahnstellungskorrektur. „Die Therapie mit Alignern wie Invisalign entspricht eher dem Konzept der Natur. Schienen sind außerdem bereits aus dem Behandlungsalltag bekannt, da sie auch bei Bruxismus, beim Bleaching oder bei Provisorien zum Einsatz kommen.“ Die Integration von Invisalign in seine Praxis lief daher problemlos und ergänzt seitdem sein Behandlungsspektrum, vor allem präprothetisch und als Teil der Behandlung bei Craniomandibulärer Dysfunktion (CMD).
Schnelle Korrekturen
Das Aligner-System erlaubt die Korrektur verschiedenster Fehlstellungen, die, zumindest in leichten Fällen, auch ohne kieferorthopädisches Expertenwissen sicher und minimalinvasiv innerhalb von drei bis vier Monaten von Zahnärzten durchgeführt werden kann. „Bewegungen der Frontzähne, Eckzähne und Prämolaren sind möglich, außerdem Rotationen um bis zu 35 Grad“, so Sebastian. Bei Engständen sei darüber hinaus die funktionelle und ästhetische Ausformung von Unter- und Oberkiefer mithilfe der Schienen umsetzbar. Dies sei nicht zuletzt für die Hygienefähigkeit der Zähne relevant, erläutert Sebastian. Auch Intrusionen und Extrusionen um bis zu zwei Millimeter zur Overbite-Korrektur lassen sich erzielen, um eine optimale Frontzahnbeziehung herzustellen. „Die Bedeutung der Frontzahnbeziehung ist enorm, denn die Frontzähne stehen in einem deutlichen Verhältnis zum Kiefergelenk und bestimmen dieses in der Seitwärtsbewegung und in der Protrusion“, erklärt Sebastian. Mit dem Schienenkonzept lassen sich einzelne Zähne repositionieren und ideal ausformen. „Dadurch wird das Ideal vom Overjet/Overbite wiederhergestellt, die Belastung des Kiefergelenks normalisiert und das Trauma einer rein prothetischen Lösung kann minimiert werden.“
Anbieter wie Align Technology bieten zur Vereinfachung der Behandlung der verschiedenen Fehlstellungen Features, Materialien und Technologien an und ermöglichen eine individuelle virtuelle Planung der Einzelzahnbewegung mit dem 3D-gesteuerten Tool ClinCheck Pro. Mit den SmartForce Features stehen sogenannte Attachments zur Verfügung – kleine Kunststoffaufsätze auf den Zähnen, die die Zahnoberfläche vergrößern und eine Korrektur der Zahnfehlstellung ermöglichen. Je nach Art der Fehlstellung gibt es diese Attachments zum Beispiel für Zahnrotationen, für die Extrusion oder in Form einer Power Ridge für die Wurzeltorque. Weitere Attachments unterstützen beim Lückenschluss, bei komplexen Zahnbewegungen oder der Distalisation.
Zusätzliches Behandlungsfeld
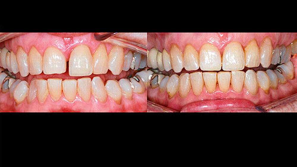
Seit der Implementation von Invisalign in seiner Praxis behandelt Sebastian regelmäßig Patienten mit den transparenten Schienen – als Zusatzbehandlung vor einer Prothetik, als Teil der CMD-Therapie, aber in manchen Fällen auch, um weniger invasiv vorgehen und größere prothetische oder sogar implantologische Eingriffe vermeiden zu können, so etwa im Fall einer älteren Patientin, deren Frontzahn 21 deutlich aus der Zahnreihe protrudierte. Die Patientin beklagte den ästhetischen Makel, doch auch funktionell stellte sich die Protrusion als problematisch heraus: „Der Zahn wies eine erhöhte Beweglichkeit auf, am palatinalen Zahnfleischrand in Regio 21 war Parodontitis mit einer Taschentiefe von sieben Millimetern und deutlichem Attachmentverlust erkennbar – es drohte der Verlust des Zahns“, erläutert Sebastian. Im Unterkiefer zeigten sich zudem ein leichter Engstand und eine Extrusion, der Eckzahn 43 war nach lingual gestellt. Sebastian plante die Zahnbewegung mithilfe des Tools ClinCheck Pro und setzte Attachments im Bereich der Frontzähne und zur Stabilisierung auf den Prämolaren. Die Patientin wechselte ihre Schienen im Lauf der Behandlung wöchentlich selbst und stellte sich in größeren Abständen für Kontrolltermine vor. Die Situation nach Abnahme der Attachments zeigte: Der Oberkieferbogen war ausgeformt, das Frontzahntrauma reduziert. Außerdem konnten eine Intrusion der Unterkieferfront und eine Ausformung des Eckzahns 43 erzielt werden. Das Okklusogramm im iTero-Scan, das die Kontaktflächen der Zähne virtuell darstellbar macht, wies die Beseitigung des okklusalen Traumas nach. Zum Ausgleich des Längenunterschieds der Oberkiefer-Frontzähne versorgte Sebastian den Zahn 11 mit einer Kunststofffüllung. „Eine größere prothetische oder sogar implantologische Behandlung konnten wir mit den Einsatz der Aligner umgehen“, konstatiert der Zahnmediziner.
Auch bei größeren Fällen konnte Sebastian bereits Erfolge mit der Schienentherapie erzielen, so bei einer Patientin mit Myoarthropathie, CMD und Haltungsproblemen, die sich mit massiven Beschwerden im Kiefergelenk und der Kiefermuskulatur, einem leicht offenen Biss und einer fehlenden Eckzahnführung bei ihm vorstellte. Das Okklusogramm zeigte deutliche Fehlkontakte und Hyperbalancen. Nach Rücksprache mit dem behandelnden Orthopäden entschied sich Sebastian für eine Schienentherapie und konnte so den Biss in die Schienenposition einstellen und die Frontzahnbeziehung wieder normalisieren. „Damit das Ergebnis am Ende der Behandlung gehalten werden kann, ist die Retention in der letzten Schienenposition ganz wichtig“, betont Sebastian. Dafür werden Retentionsapparaturen wie Retainer eingesetzt, die der Patient möglichst jede Nacht tragen sollte. „Die erzielte ästhetische und funktionelle Situation kann so über viele Jahre stabilisiert werden.“
Der Experte
Dr. Mark Thomas Sebastian ist seit 1999 niedergelassen in der eigenen Zahnarztpraxis MAX 36 in München. Schwerpunkte der Praxis sind die ästhetische restaurative Zahnmedizin, Parodontologie und Implantologie. 2005 erwarb er ein Invisalign-Zertifikat. Drei Jahre später zählte der Zahnmediziner zu den Mitbegründern des ersten „Seattle Study Club“ in Europa. Seit 2014 ist Dr. Sebastian Spezialist für Ästhetik und Funktion in der Zahnmedizin in der Deutschen Gesellschaft für Ästhetische Zahnmedizin. 2015 absolvierte er den Master-Studiengang VieSID „Experte in Methodik und Technik der Lehre der Wiener Schule der Interdisziplinären Zahnmedizin nach Prof. Rudolf Slavicek“ zur Behandlung komplexer CMD-Patienten. Im Folgejahr wurde er als Mitglied in das Invisalign EU Acadamic Aesthetic Advisory Board aufgenommen.
Engstände in Unter- und Oberkiefer, Rotationen, offene Bisse: viele Zahnfehlstellungen lassen sich mithilfe von Alignern noninvasiv und ohne großen Aufwand in der eigenen Praxis beheben.









