Amelogenesis imperfecta
Die Zahnentwicklung basiert auf komplexen Prozessen, welche sich über lange Zeiträume erstrecken. Diese Prozesse können durch verschiedene Ursachen gestört werden. Bei der Amelogenesis imperfecta (AI) handelt es sich um eine hereditäre Schmelzentwicklungsstörung, welche nicht mit einer systemischen Grunderkrankung vergesellschaftet ist. Die Prävalenz variiert je nach Population zwischen 1:20.000 und 1:718.
Da das Erscheinungsbild der AI mit der jeweiligen gestörten Entwicklung des Schmelzes zusammenhängt, scheint die Einteilung nach Witkop als sinnvoll:A)Störung während der Bildung der organischen Matrix (Hypoplasie),B)während der initialen Mineralisation (Hypokalzifikation) oderC)während der nachfolgenden Maturation (Hypomineralisation).
Die Hypoplastische Form tritt mit 73 Prozent, die hypokalzifizierte Form mit sechs Prozent auf. Oft gibt es aber Kombinationen der drei Formen. In der Regel tritt die Erkrankung bilateral-symmetrisch an mehr als einem Zahn auf. Ebenfalls können eine oder beide Dentitionen betroffen sein. Nebst dem klinischen Erscheinungsbild gibt der radiologische Befund weitere Hinweise auf Qualität und Quantität der Mineralisation.
Artikel nicht gefunden id_extern: typo3-import-article-647
<interactive-element xmlns:ns3="http://www.w3.org/1999/xlink" ns3:href="censhare:///service/assets/asset/id/" ns3:role="censhare:///service/masterdata/asset_rel_typedef;key=actual."/>
Der Patientenfall
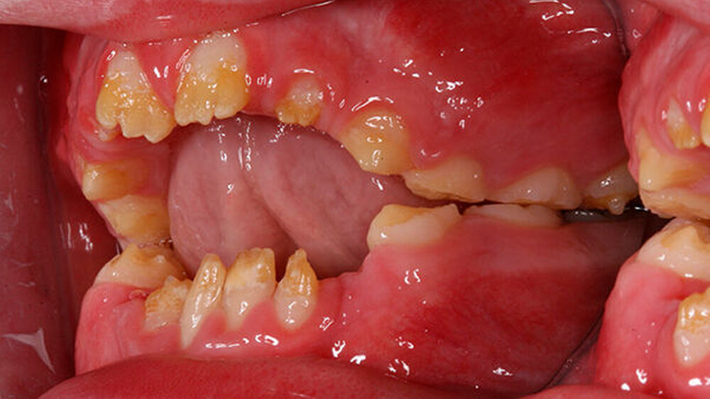
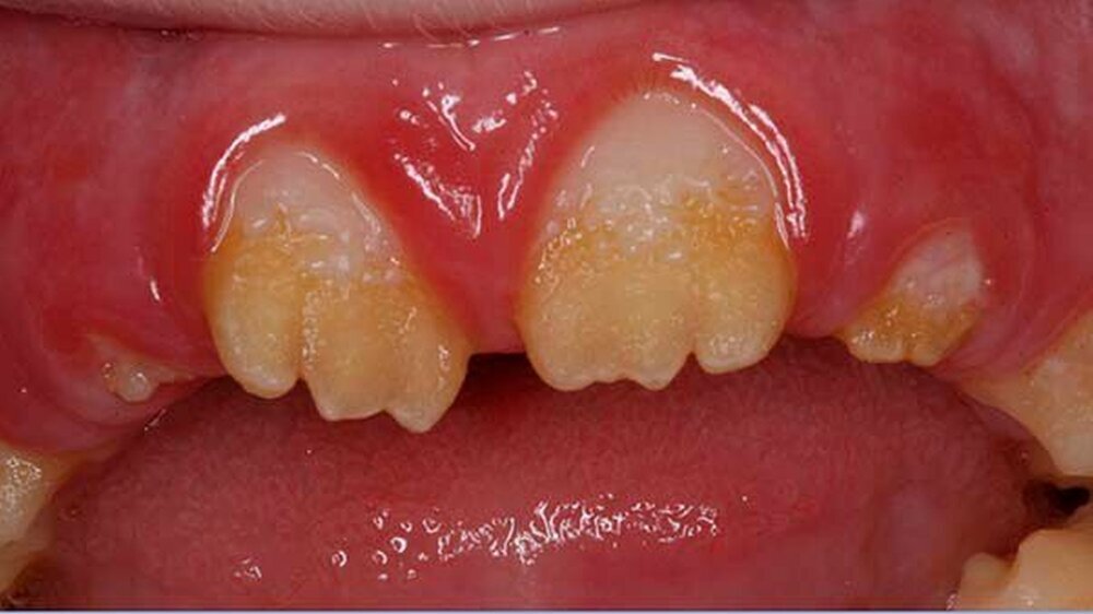
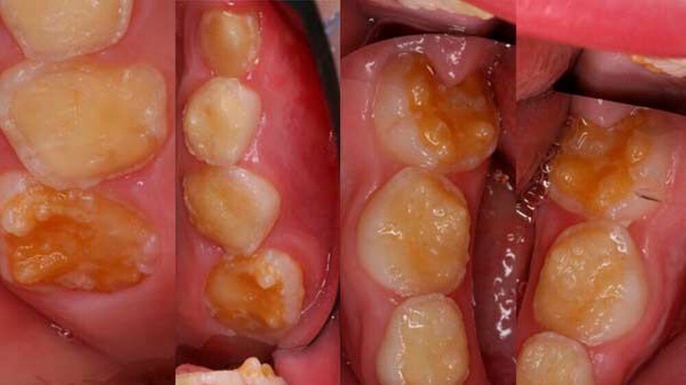
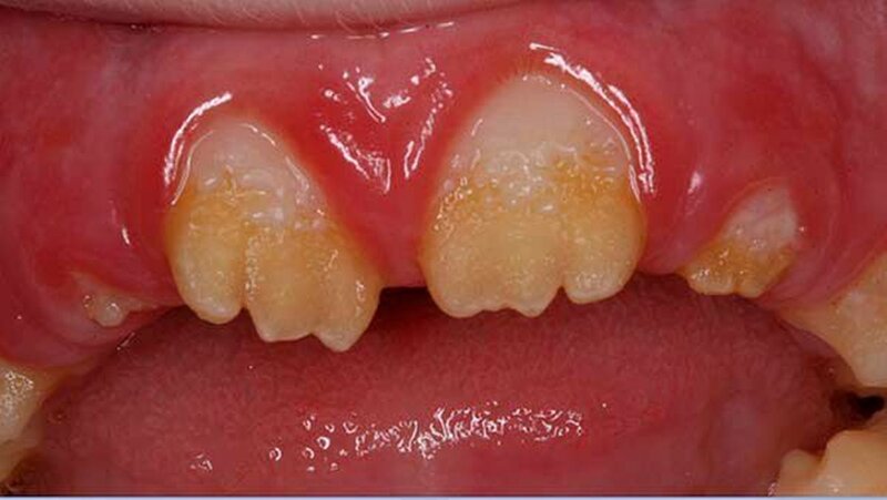
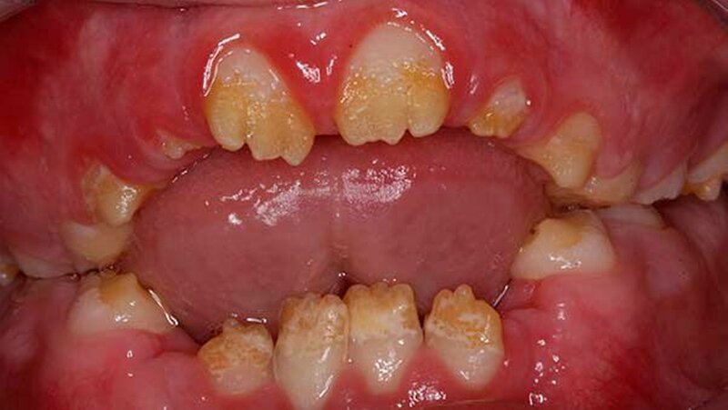
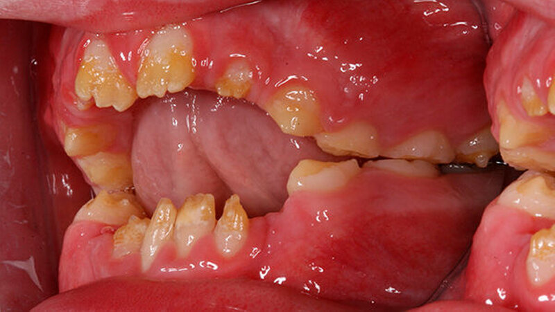
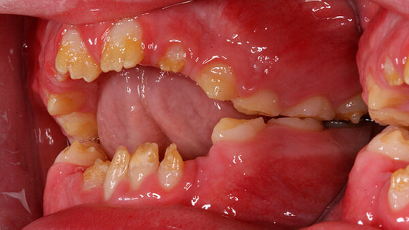
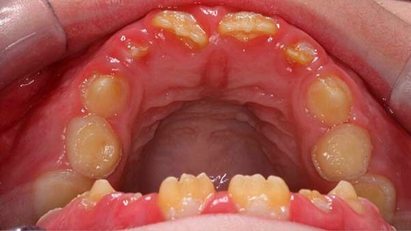
Der zehn Jahre alte Junge stellte sich an der Klinik wegen Schmerzen im ganzen Mund vor. Zusätzlich klagte der Patient über die eingeschränkte Möglichkeit Speisen ab zu beißen (Abbildung 1a und Abbildungen 3a und 3b). Die Familienanamnese ergab eine nahe verwandtschaftliche Verheiratung in der Familie. Das dentale Erscheinungsbild konnte von den Eltern des Patienten in der Verwandtschaft jedoch ausgeschlossen werden.
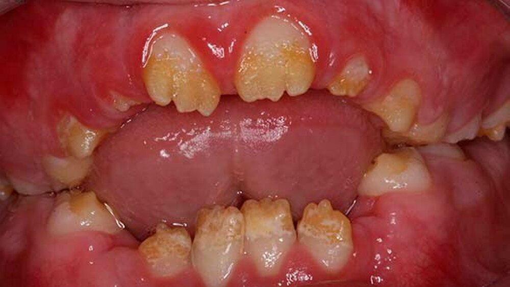
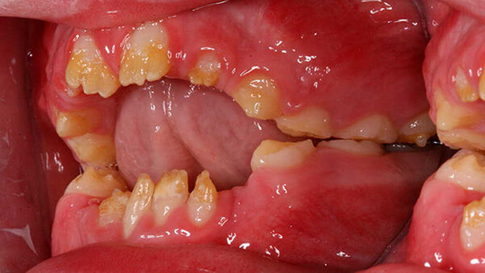
Der klinische Befund zeigte an beiden Dentitionen eine rauhe, zum Teil verminderte, bis fehlende Schmelzdicke und eine teilweise bräunliche Zahnverfärbung. Letztere wurden auch durch exogene Pigmenteinlagerung verursacht (Abbildung 1b und Abbildung 2).
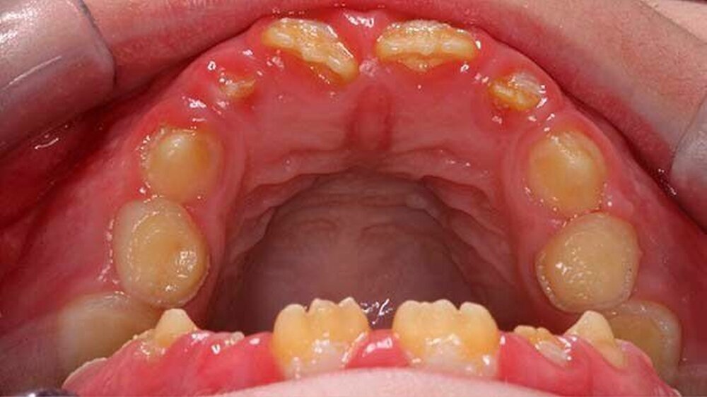
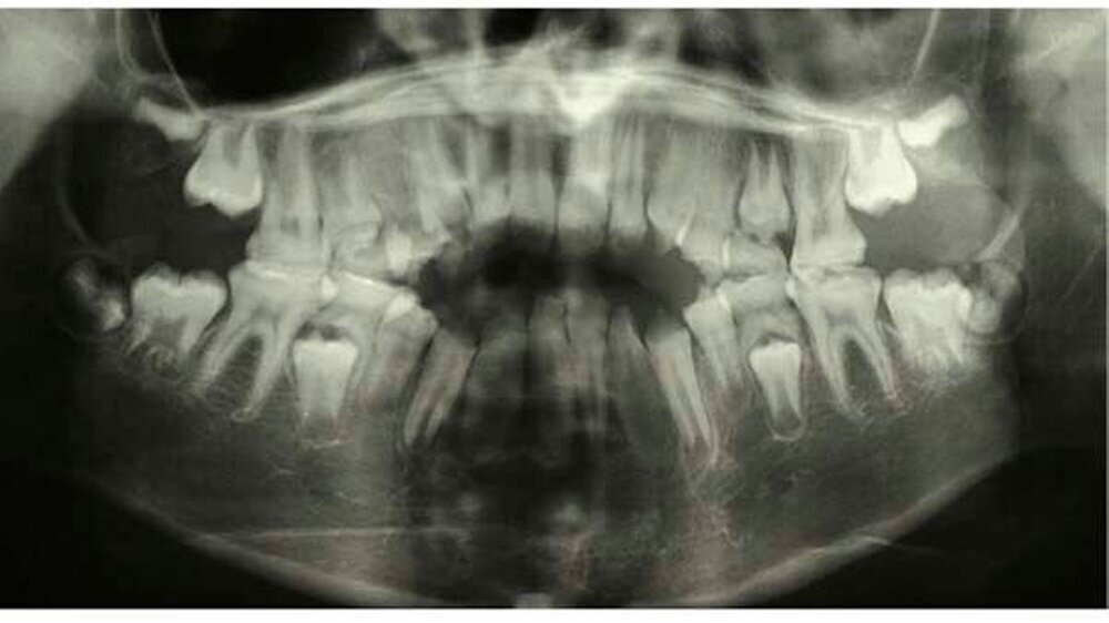
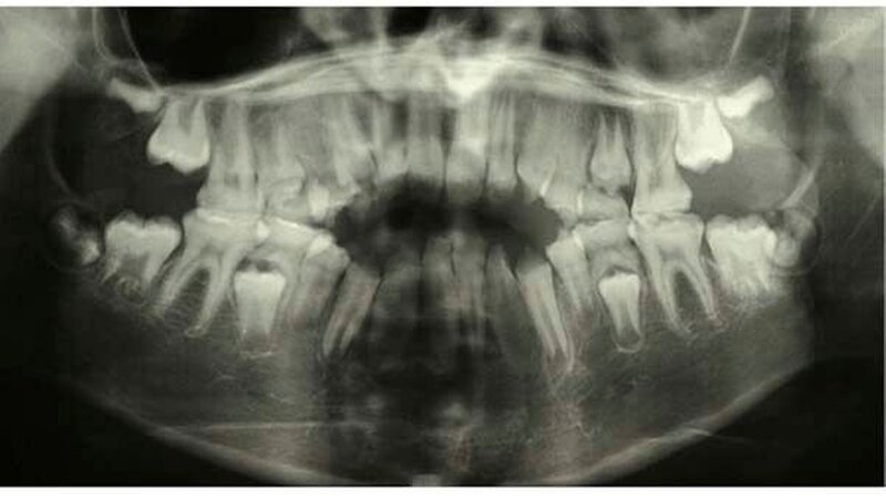
Im radiologischen Befund konnte teilweise ein Kontrast zwischen Schmelz und Dentin festgestellt werden, jedoch war bei beiden Dentitionen eine verminderte Schmelzdicke ersichtlich (Abbildung 4). Auf Grund der radiologischen und klinischen Beurteilung konnte die Diagnose Amelogenesis imperfecta generalisata vom hypoplastischen Typ gestellt werden.
Dr. Simon RamseyerProf. Dr. Adrian LussiKlinik für Zahnerhaltung, Präventiv- und KinderzahnmedizinZahnmedizinische Kliniken der Universität BernFreiburgstrasse 73010 Bernsimon.ramseyer@gmail.comDie Erstpublikation erschien im Swiss Dental Journal, SSO, Vol 126, 9.2016 S.796 bis 797 und erfolgt mit freundlicher Genehmigung des Verlags.
Literatur
1. Witkop CJ,JR.: Amelogenesis imprerfecta, dentinogenesis imperfecta and dentin dysplasia revisited: problems in classification. J Oral Pathol 17: 547–553 (1988)
2. Bäckman B., Holm A-K: Amelogenesis imperfecta: prevalence and incidence in a northern Swedish county. Community Dent Oral Epidemiol 14: 43–47 (1986)
3. Bäckman B., Holmgren G.: Amelogenesis imperfecta: a genetic study. Hum Hered 38: 189–206 (1988)










