Angiosarkom-induziertes Gesichtsödem
Der Fall
Eine 75-jährige Patientin, in gutem Allgemeinzustand und ohne relevante Nebendiagnosen, stellte sich mit einem ausgeprägten, schmerzhaften, rezidivierenden und bislang therapieresistenten, rötlichen Gesichtsödem der Gesichtshaut vor (Abbildung 1). Das Gesichtsödem trat erstmals nach einer Alveolarkammaugmentation mit bovinem Knochenersatzmaterial und der späteren Insertion von Zahnimplantaten im Ober- und Unterkiefer acht Monate zuvor auf.
Zwischenzeitlich wurde die Symptomatik mehrmals alio loco frustran mit Hinblick auf eine allergische Genese mit Antihistaminika und Kortison therapiert. Zum klinischen Untersuchungszeitpunkt forcierte die Patientin die Entfernung der Implantate und des Knochenaugmentats. Die aktuelle Panoramaschichtaufnahme der Patientin zeigten reizfreie und gut osseointegrierte, prothetisch suffizient versorgte Implantate (Abbildung 2).
Zusätzlich zeigte sich bei der klinischen Untersuchung ein faustgroßer, violett schimmernder, erhabener und derber Tumor der behaarten Kopfhaut (Abbildung 3). Parallel zur erneuten Allergietestung zum sicheren Ausschluss einer allergischen Reaktion erfolgte ein MRT sowie ein PET-CT zur weiteren bildgebenden Diagnostik.
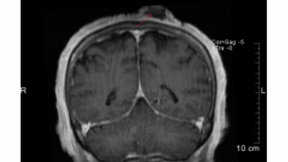
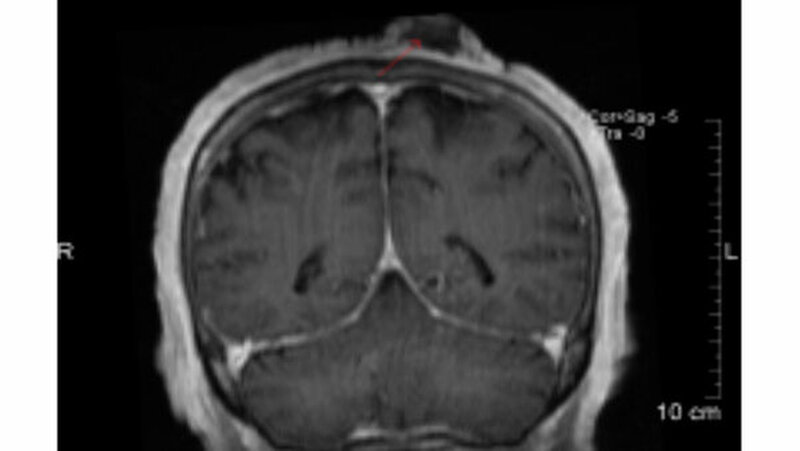
Im MRT zeigte sich eine occipital gelegene, ausgedehnte Raumforderung (Abbildung 4), welche im PET-CT zum komplementierendes Staging mit einem Standard FDG-Uptake (SUV
max
) von 19.4 bestätigt wurde. Es ergaben sich keinerlei Hinweise für eine lokoregionäre Metastasierung, Fernmetastasen oder einen Zweittumor (Abbildung 5).
Zeitgleich zur Bildgebung erfolgte die Probenentnahme zur Diagnosesicherung. Die histologische Aufarbeitung ergab die Diagnose eines Lymphangiosarkoms mit Anteilen einer hämorrhagischen Nekrose. Da die Patientin die angebotene chirurgische Resektion des Tumors ablehnte, erfolgte initial eine Chemotherapie mit 6-Zyklen Doxorubicin und Paclitaxel (Abbildung 6). Diese führte zu einer signifikanten Tumorreduktion innerhalb weniger Wochen. Einige Monate später bekam die Patientin ein lokoregionäres, multifokales Tumorrezidiv (Abbildung 7).
Diskussion
Angiosarkome zeigen klinisch häufig paraneoplastische Phänomene, die beim Erstkontakt des Patienten vom Behandler fehlinterpretiert werden. Die beobachtete, rezidivierende und zirkadiane Zu- und Abnahme des fazialen Gesichtsödems wird in erster Linie durch Mastzellen, die Freisetzung von Histamin sowie durch die Zu- und Abnahme des endogenen Kortisonspiegels verursacht. Dieses Phänomen kann leicht zur Fehldiagnose einer allergischen Reaktion führen.
Die Standardtherapie des Angiosarkoms besteht in der chirurgischen Resektion des Tumors in Kombination mit einer Chemotherapie, zum Beispiel Doxorubicin und Paclitaxel. Neben der chirurgischen Therapie und der Chemotherapie wird ebenfalls die Bestrahlung als Therapieoption beschrieben [Vitzthum et al., 2016]. Die chirurgische Resektion mit einem adäquaten Sicherheitsabstand ist oft aufgrund des multifokalen Wachstums sehr schwierig und nur durch aufwendige Defektdeckungen zu lösen [Vogt, 2008; Gonzales et al., 2009].
Bezüglich der Überlebensrate berichteten Bernstein et al. in einer retrospektiven Studie mit 50 Patienten mit einem Angiosarkom der Kopf-/Halsregion, dass das Angiosarkom der Kopfhaut eine signifikant schlechtere Überlebensrate hat als das Angiosarkom der Gesichtshaut, was vermutlich auf den verzögerten Diagnosezeitpunkt zurückzuführen ist [Bernstein et al., 2017]. Mit besonderem Blick auf die chirurgische Therapie berichteten Breakey et al., dass die Langzeitprognose signifikant durch eine frühzeitige Diagnose und ganz besonders durch eine radikale chirurgische Resektion verbessert werden kann [Breakey et al., 2017].
Shin et al. analysierten mögliche Faktoren, die mit einer schlechten Prognose von Angiosarkomen in der Kopf-/Halsregion assoziiert sein können. Die Autoren zeigten, dass besonders ein hohes Alter, die Tumorgröße, die Tumorlokalisation und ein ungenügender Sicherheitsabstand mit einer schlechteren Prognose assoziiert sind [Shin et al., 2017].
Zusammenfassend sollte beachtet werden, dass Angiosarkome der Kopf-/Halsregion panfaziale Gesichtsödeme verursachen können, die als allergische Reaktion fehldiagnostiziert werden können. Als zusätzliche mögliche Differenzialdiagnose berichteten Lin und Chang über kutane Angiosarkome der Kopfhaut, die sich klinisch ähnlich wie eine faziale Zellulitis zeigten [Lin, Chang, 2016]. Zusammenfassend ist es durch intensive körperliche Untersuchung, eine frühzeitige Diagnose und damit verbunden einer zeitnahen Therapieeinleitung möglich, die Prognose von Angiosarkomen in der Kopf-/Halsregion deutlich zu verbessern.
Dr. Dr. Andreas PabstProf. Dr. Dr. Richard WerkmeisterKlinik für Mund-, Kiefer- und Plastische GesichtschirurgieBundeswehrzentralkrankenhaus KoblenzRübenacherstraße 170, 56072 Koblenzandipabst@me.com
Dr. Dr. Andreas WysluchPraxisklinik für Mund-, Kiefer- und Plastische Gesichtschirurgie FürthFlößaustraße 22, 90763 Fürth
Literatur
Bernstein JM, Irish JC, Brown DH, Goldstein D, Chung P, Razak ARA, Catton C, Gilbert RW, Gullane PJ, O'Sullivan B. Survival outcomes for cutaneous angiosarcoma of the scalp versus face. Head Neck. 2017;39:1205-11.
Breakey RW, Crowley TP, Anderson IB, Milner RH, Ragbir M. The surgical management of head and neck sarcoma: The Newcastle experience. J Plast Reconstr Aesthet Surg. 2017;70:78-84.
Gonzales M, Koehler M, Satter E. Angiosarkoma of the Scalp: A Case Report and Review of Current and Novel Therapeutic Regimens. Dermatol Surg. 2009; 35:679-84.
Lin SC, Chang TS. Cutaneous angiosarcoma of the scalp mimicking facial cellulitis. Ear Nose Throat J. 2016;95:438-40.
Pawlik T, Paulino A, Mcginn C, Baker L, Cohen D, Morris J, Rees R, Sondak V. Cutaneous Angiosarcoma of the Scalp. Cancer 2003;98:1716-26.
Shin JY, Roh SG, Lee NH, Yang KM. Predisposing factors for poor prognosis of angiosarcoma of the scalp and face: Systematic review and meta-analysis. Head Neck. 2017;39:380-86.
Vitzthum LK, Brown LC, Rooney JW, Foote RL. Head and Neck Soft Tissue Sarcomas Treated with Radiation Therapy. Rare Tumors. 2016;8:6165.
Vogt T. Aniosarkom. Hautarzt 2008;59:237-51.











