"Dentalfotografie bietet unendliche Möglichkeiten"
Herr Dr. Rieger, die Dentalfotografie mit einer Spiegelreflexkamera gilt als „Goldstandard“. Warum sind Kamerasysteme, wie Kompaktkameras, Smartphonekameras und Bridgekameras, nicht unbedingt geeignet?
Dr. Steffen Rieger:In der Dentalfotografie gilt die digitale Spiegelreflexkamera (SLR) mit einem passenden Makroobjektiv und einem dazugehörigen Blitzsystem zu Recht als Goldstandard, wenn es um die Herstellung reproduzierbarer und in ihrer Qualität vorhersagbarer Fotos geht. SLR-Kameras bieten die vollständige Kontrolle über den fotografischen Prozess, sie bieten die beste Bildqualität und ein vielfältiges Ausrüstungsangebot speziell für die Fotografie im Nahbereich. Mit Kompakt- und Bridgekameras können allenfalls Teilbereiche der dentalen Fotografie abgedeckt werden, sie stellen immer einen Kompromiss dar. Es fehlen spezielle Makroobjektive oder Blitzsysteme.
Welche Parameter spielen bei der Dentalfotografie außerdem eine Rolle?
Neben der erforderlichen Ausrüstung (digitale SLR, Makroobjektiv, Blitzsystem) sind bei der intraoralen Fotografie bestimmte Standardeinstellungen am Kameragehäuse zu wählen, um zu guten Aufnahmen zu gelangen. Der Aufnahmemodus wird auf „M“ (wie manuell) eingestellt; damit werden alle Programmautomatiken der Kamera abgeschaltet. Man stellt die Belichtungszeit auf eine Synchronzeit von ca. 1/200 s und die Blende auf 22 (bis 32) ein.
Bei gegebenem Abbildungsmaßstab bestimmt die Blende das Ausmaß der Schärfentiefe. Je kleiner die Blendenöffnung ist (das heißt je größer die Blendenzahl ist), desto größer ist die Schärfentiefe. Eine hohe Blendenzahl wie 22 ergibt somit scharfe Detailaufnahmen. Weiterhin stellt man die Lichtempfindlichkeit auf ISO 100 und den Weißabgleich auf „Blitz“ beziehungsweise bei manchen Kameras auf „Tageslicht“ ein.
Außerdem kann eine Belichtungskorrektur von +1/3 Blendenstufen sinnvoll sein, falls die Bilder zu dunkel erscheinen. Diese Einstellungen kann man je nach Kameratyp als persönliche Voreinstellung abspeichern. So eingestellt ist das Kamerasystem jederzeit startklar für intraorale Aufnahmen.
Auch die richtige Beleuchtung ist bedeutsam. Können Sie die Beleuchtungssysteme kurz erläutern?
Lichtquelle der Wahl für die Dentalfotografie ist das Blitzgerät. LED-Dauerlichtquellen haben den Vorteil, dass sie die Mundhöhle beim Einstellen der Kamera gut ausleuchten, sie können jedoch Probleme bezüglich der Farbwiedergabe machen und bieten häufig eine nicht ausreichende Lichtmenge, so dass die Blende sehr weit geöffnet (=geringere Schärfentiefe) werden muss. Für die Dentalfotografie sind sowohl Ring- als auch Lateralblitze geeignet.
Der Ringblitz kann als „Allrounder“ gesehen werden; er ermöglicht eine schattenlose und direkte Ausleuchtung der Mundhöhle auch in schwierigen Situationen bei einfachem Handling und guter Farbwiedergabe. Durch die schattenlose Ausleuchtung resultiert allerdings ein kontrastarmes und „flaches“ Bild. Im Frontzahnbereich können störende Reflexionen auftreten.
Mit Lateral- oder Zangenblitzen erzeugt man eine seitliche Lichtführung und schafft somit die für die plastische, dreidimensionale Wirkung erforderlichen Schatten. Das Bild erscheint kontrastreicher und brillanter. Nachteilig ist das schwierigere Handling, da das Blitzsystem je nach Aufnahmesituation unterschiedlich ausgerichtet werden muss. Für den Routineeinsatz empfiehlt sich eher der Ringblitz.
###more### ###title### Dieses Zubehör brauchen Sie ###title### ###more###
Dieses Zubehör brauchen Sie
Welches Zubehör ist bei der Dentalfotografie unerlässlich?
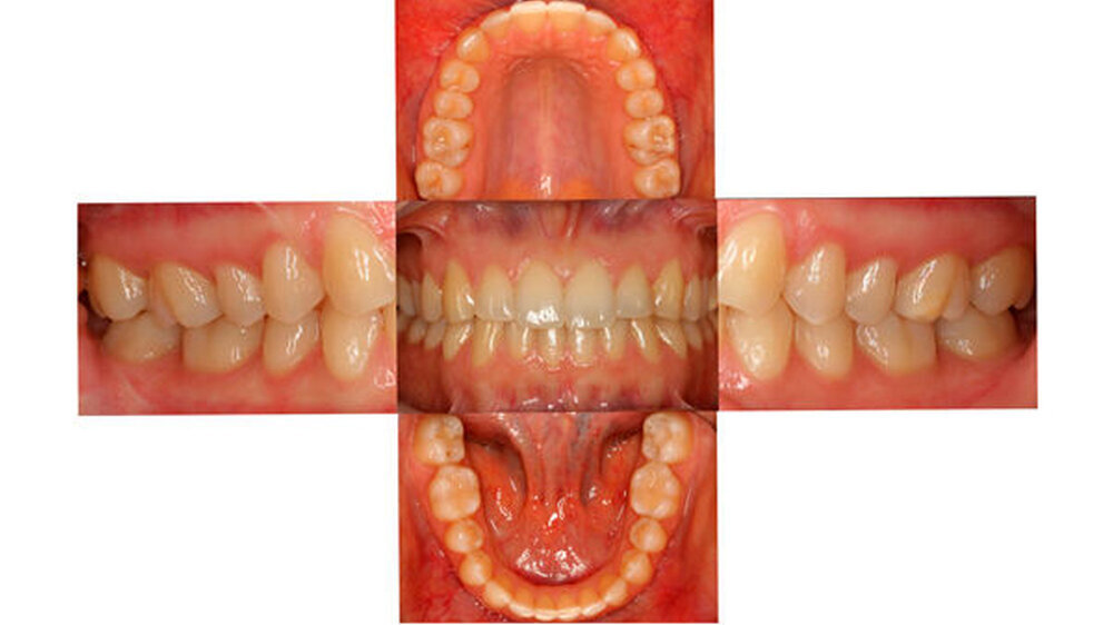
Neben dem Kamerasystem sind Wangenhalter und Fotospiegel unerlässlich.Wangenhalter öffnen die Mundhöhle, um die zu fotografierenden Areale darzustellen und ermöglichen eine optimale Ausleuchtung. Gut geeignet sind einzelne Wangenhalter aus Kunststoff oder solche aus Metall, die in der Regel für chirurgische Indikationen eingesetzt werden. Fotospiegel ermöglichen die indirekte Fotografie von nicht direkt einsehbaren Bereichen der Mundhöhle, wie zum Beispiel der Okklusalflächen. Sinnvoll sind Glasspiegel mit Oberflächenverspiegelung. Sie sollten über einen ausreichend langen Griff verfügen.
Welche Tipps für dentale Fotografien können Sie Zahnärzten geben?
Trainieren Sie den Workflow im Team in einem praktischen Arbeitskurs. Halten Sie die zusammengebaute und korrekt eingestellte Kamera nebst Hilfsmitteln (Spiegel/Wangenhalter) griffbereit und integrieren Sie die Fotografie in Ihren Behandlungsablauf. So fotografieren Sie viel und gewinnen an Routine. Übung macht den Meister! Ziel ist die rasche Gewinnung von Bildern, die scharf, gut ausgeleuchtet und reproduzierbar sind. Achten Sie vor der Auslösung auf die Bildaufteilung – Wichtiges gehört ins Zentrum, Unwichtiges, beispielsweise die Nase des Patienten bei Palatinalaufnahmen von Frontzähnen, gehört an den Rand oder wird ganz weggelassen.
Fotografieren Sie achsengerecht. Dies bedeutet, dass sich die optische Achse in der Okklusionsebene fortsetzt. Ein im Kamerasucher sichtbares Netzgitter (zuschaltbar bei manchen Kameramodellen) erleichtert die korrekte Ausrichtung der Kamera entsprechend den anatomischen Ebenen des Patienten. Zuletzt achten Sie auf die Bildkosmetik – Zahnstein und störende Zahnbeläge sollten vor der Aufnahme entfernt werden, falls sie nicht zum Bildinhalt gehören. Speichel sollte gut abgesaugt werden. Bei der Fotografie während operativen Eingriffen ist es wichtig, den Bereich möglichst blutfrei darzustellen.
Was halten Sie von Videoaufnahmen zur Verlaufsdokumentation und wann machen sie Sinn?
Mit modernen digitalen Spiegelreflexkameras sind auch hochwertige Videoaufnahmen möglich. Sie machen aus meiner Sicht vor allem Sinn, um ästhetische Parameter beim Sprechen und Lachen des Patienten zu dokumentieren. Eine weitere Einsatzmöglichkeit ist die Erstellung von Filmsequenzen für die Lehre und Fortbildung.
Stichwort Hygiene. Wie und mit was sollte die Kamera desinfiziert werden?
Die Kamera kann höchstens vorsichtig mit handelsüblichen Desinfektionstüchern wischdesinfiziert werden (Herstelleranfrage nötig). Am besten sollte sie gar nicht kontaminiert werden! Bei chirurgischen Eingriffen sollten die Fotos, etwa einer Fotoserie, durch eine weitere Person und nicht den Operateur erstellt werden.
Welchen Nutzen wird der Dentalfotografie heute zugeschrieben?
Die Dentalfotografie kann in zwei wesentlichen Gebieten der Zahnheilkunde gewinnbringendeingesetzt werden, die in den letzten Jahren immer wichtiger geworden sind: der Dokumentation und der Kommunikation. Vor allem bei komplexen und ästhetisch anspruchsvollen Patientenfällen sollte auf eine fotografische Dokumentation nicht verzichtet werden. Es ist sinnvoll, die Ausgangssituation vor Therapiebeginn, relevante Zwischenschritte und das Behandlungsergebnis festzuhalten.
Die Ausgangssituation ist bei der Befundung und Therapieplanung hilfreich und könnte eventuell später auch aus forensischen Gründen wichtig werden. Weiterhin macht die Dokumentation klinisch relevanter Befunde, wie etwa Mundschleimhautveränderungen, Sinn. In der Kommunikation sind die Einsatzmöglichkeiten der Dentalfotografie praktisch unbegrenzt. So kann sie zur Patientenberatung und Visualisierung der Behandlungsziele, in der Zusammenarbeit mit dem zahntechnischen Labor oder auch im kollegialen Austausch eingesetzt werden.
Die Fragen stellte Daniela Goldscheck.




