Es lebe der Baumarktdraht
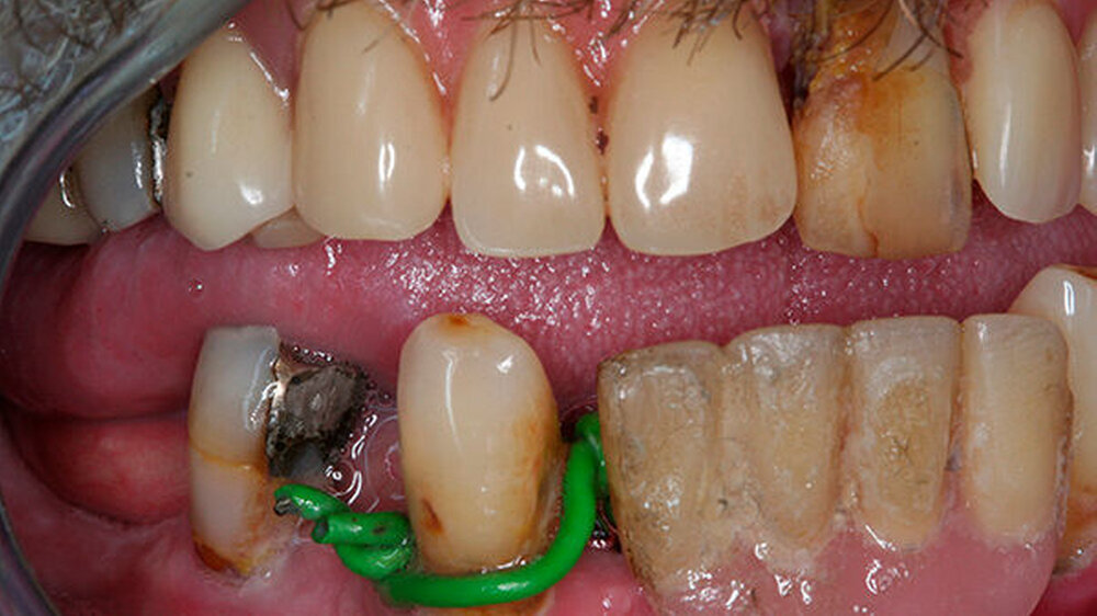
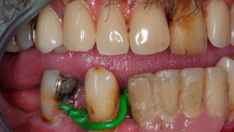
Er verzichtete auf die gebrochenen Prothesensattel im Seitenzahngebiet und befestigte nur die Unterkieferfront. "Da kann man nur mit einem bekannten Baumarkt-Slogan antworten: 'Respekt, wer's selber macht'", schreibt Dr. Dr. Josef Herbert aus Schönebeck. Letztlich hat sich der Patient aber jetzt doch für eine professionellere Gesamtlösung in der Zahnarztpraxis entschieden.
Dieser Fall wurde eingereicht von Dr. Dr. med. Josef Herbert, MSc, Lessingstraße 50, 39218 Schönebeck/Elbe.
Wir suchen Ihre kuriosen Fälle! zm@zm-online.de - mail
Mehr zum Thema: Kuriose Fälle
"Die Ausnahmefälle kommen Freitagabend kurz vor Praxisschluss", heißt es oft in Fortbildungen. Genauso ist es. Und wenn nicht, sind es Fälle, die auch nach der Arbeit im Gedächtnis bleiben.







