Kurioses: ein natürlicher ZE
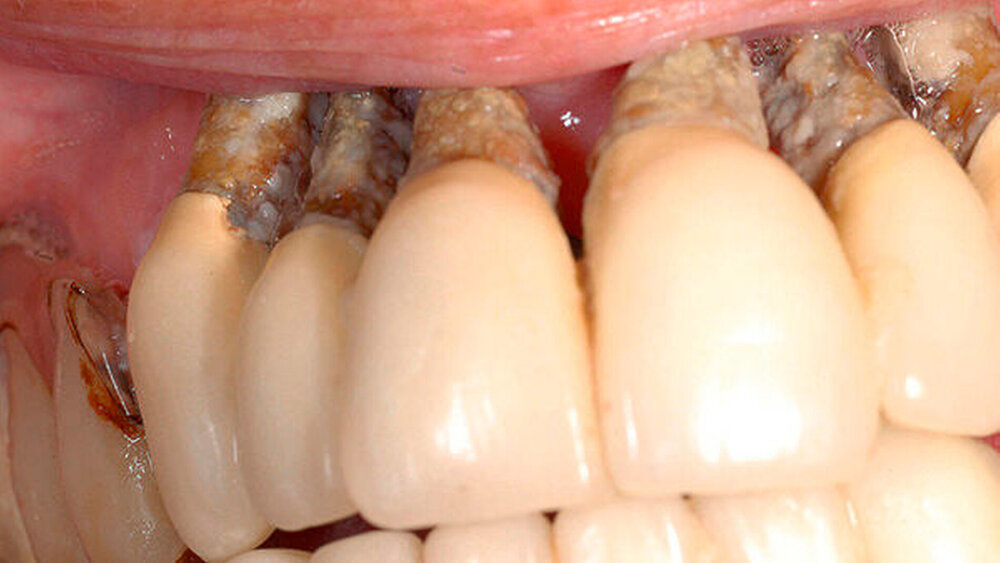
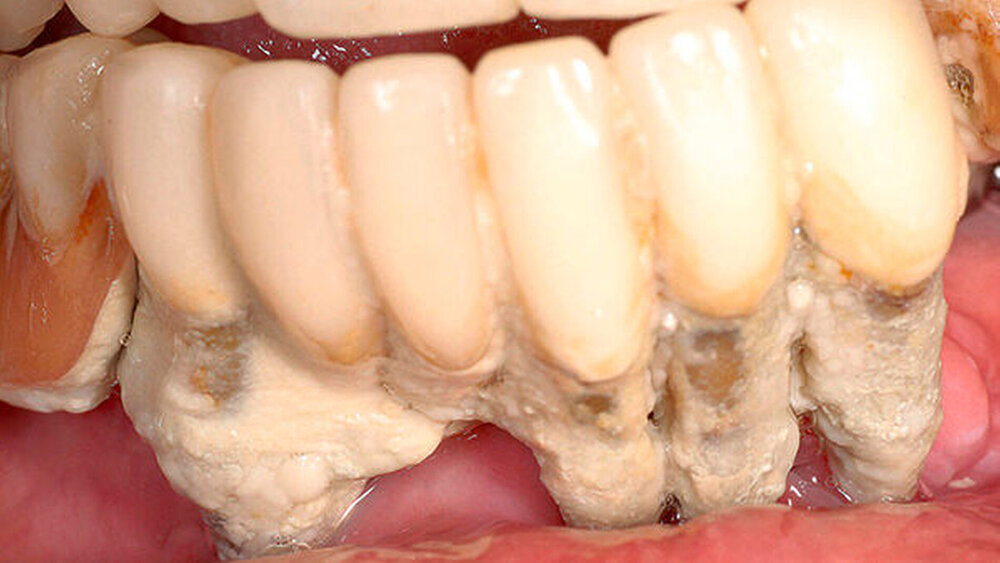
Die 51-jährige ansonsten sehr gepflegte Patientin litt unter einer Zahnarztphobie. Seit Jahren hatte sie beide Prothesen nicht mehr aus dem Mund herausgenommen, weil sie wusste, dass dabei die Zähne immer gleich mit "herauskamen". Die Alveolen waren mittlerweile auch schon geschlossen, die natürlichen Zähne standen in Mulden vor dem Alveolarkamm. Die Patientin wurde zunächst mit einer Interims-Totalprothese versorgt.
Dieser "natürliche Zahnersatz" wurde eingereicht von Dr. Thomas Schmidt, Rathausplatz 2, 85716 Unterschleißheim, und in den zm 11/ 2009 veröffentlicht.
Artikel nicht gefunden id_extern: typo3-import-article-112
<interactive-element xmlns:ns3="http://www.w3.org/1999/xlink" ns3:href="censhare:///service/assets/asset/id/" ns3:role="censhare:///service/masterdata/asset_rel_typedef;key=actual."/>
Wir suchen Ihre kuriosen Fälle!
Haben Sie auch schon geklebte, getackerte gezimmerte Prothesen oder außergewöhnliche Zähne gesehen? Dann greifen Sie zur Kamera! Schicken Sie uns die Fotos (inklusive Quellenangabe) und schreiben Sie unserer Redakteurin E-mail:, welche Geschichte sich hinter Ihrem kuriosen Fall verbirgt. Die Redaktion sammelt die Fälle und veröffentlicht sie dann auf zm-online.de.
Wir freuen uns auf Ihre Geschichten!





