Niedersachsen will zahnärztliche Vorsorge in Kitas zur Pflicht machen
Die Zahnärztekammer Niedersachsen (ZKN), die Kassenzahnärztliche Vereinigung Niedersachsen (KZVN) sowie die Landesarbeitsgemeinschaft zur Förderung der Jugendzahnpflege in Niedersachsen e.V. (LAGJ) begrüßen den gemeinsamen Antrag von SPD, CDU und Grünen im Niedersächsischen Landtag zur verpflichtenden zahnärztlichen Vorsorge in Kindertagesstätten ausdrücklich.
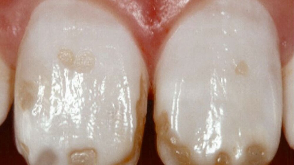
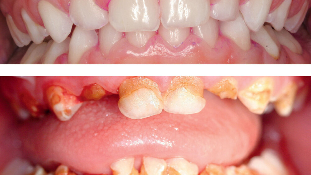
Jedes achte Kita-Kind ist von Karies betroffen
Laut der aktuellen Deutschen Mundgesundheitsstudie (DMS 6) sind zwar 78 Prozent der 12-Jährigen kariesfrei, doch rund jedes achte Kita-Kind ist bereits von Karies betroffen. Besonders alarmierend ist demnach die sogenannte „fokussierte Karies“, die sich auf etwa 20 Prozent der Kinder konzentriert. Auch die Molaren-Inzisiven-Hypomineralisation (MIH) betrifft mehr als 15 Prozent der 12-Jährigen und erfordert eine frühzeitige Diagnose.
Quelle: ZKN, KZVN und LAGJ
Die Zahngesundheit von Kindern habe sich zwar insgesamt verbessert, „doch gerade bei jüngeren Kindern und in sozial benachteiligten Gruppen beobachten wir eine besorgniserregende Konzentration von Karies“, sagt Dr. Maja Graeser, Vorstandsmitglied der ZKN. „Deshalb setzen wir uns für verpflichtende zahnärztliche Untersuchungen von Kindern in Kitas ein – denn Prävention muss früh beginnen und alle Kinder erreichen.“
Das Widerspruchsmodell soll vor allem sozial benachteiligte Kinder erreichen
Die drei Organisationen unterstützen daher die geplante Umstellung auf ein Widerspruchsmodell, bei dem Kinder automatisch an Vorsorgeuntersuchungen teilnehmen, sofern die Eltern dem nicht ausdrücklich widersprechen. „Dieses Modell würde in hohem Maße dazu beitragen, dass gerade Kinder aus sozial benachteiligten Verhältnissen, in denen die Mundhygiene nicht genügend beachtet wird, auch erreicht werden“, sagt KZVN-Vorstandsmitglied Silke Lange.
Für den Schulbereich gibt es bereits – verankert im Niedersächsischen Schulgesetz – die Pflicht zur Teilnahme an den zahnärztlichen Untersuchungen. „Die Schäden durch Karies entstehen jedoch häufig schon vorher“, erklärt LAGJ-Geschäftsführerin Jeanette Kluba. „Dass auch alle Kinder in den Kindertagesstätten niederschwellig und kindgerecht durch die zahnmedizinische Untersuchung erreicht werden können, würde zur Chancengerechtigkeit auf ein mundgesundes Aufwachsen für alle beitragen. Profitieren würden besonders Kinder mit ersten Befunden, auch diese können dann zeitnah in die Individualversorgung überführt werden.“
Über den Antrag hinaus setzen sich die drei Organisationen auch dafür ein, dass in Kindertagesstätten in Niedersachsen ein regelmäßiges Zähneputzen stattfindet. Seit der Corona-Pandemie wurde dies vielerorts eingestellt. Eine landesweite Empfehlung hierzu würde bei vielen Kindern eine gesunde Zahnhygiene fördern und Zahnhygiene insgesamt als dauerhafte Aufgabe nachhaltig näherbringen.
Der Antrag zu verpflichtenden Zahnuntersuchungen für Kindergartenkinder wird heute (12.09.) im Niedersächsischen Landtag beraten.








