Oberkiefernekrose bei starker Immunsuppression
Die Anamnese
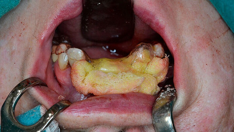
Es zeigte sich freiliegender Knochen (Os librum) im Bereich des Oberkiefervestibulums Regio 11/12 mit einer Flächenausdehnung von 2 cm auf 1 cm (Abbildung 1a). Korrespondierend dazu fand sich bei der weiteren intraoralen Inspektion eine palatinale Fistel (Abbildung 1b). Bei der Patientin waren bisher weder chirurgische Eingriffe noch Bestrahlungen im Kopf-Hals-Bereich erfolgt.
Allgemeinanamnestisch waren eine Pyoderma gangraenosum, ein systemischer Lupus erythematodes sowie eine seropositive rheumatoide Arthritis bekannt.
Bei der Medikamentenanamnese wurden die Immunsuppressiva Methotrexat (Folsäureanalogon), die beiden Antikörper Infliximab und Adalimumab (TNF-α Blocker), Mycophenolat-Mofetil (reversibler Hemmer der Inosinmonophosphat-Dehydrogenase), Cyclophosphamid (DNA-Schädigung), mehrfache Cortisongaben sowie eine einmalige Bisphosphonatgabe angegeben. Zudem waren dermatologisch bestätige Allergien gegen Ibuprofen, Eythromycin und Unacid bekannt.
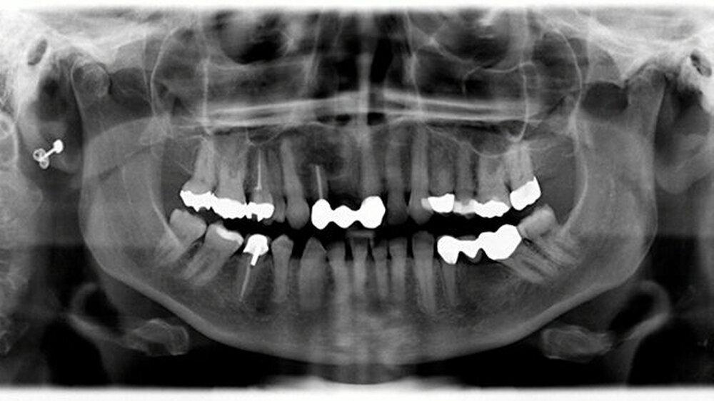
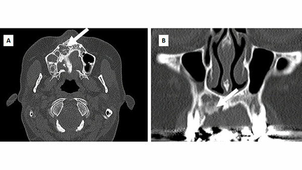
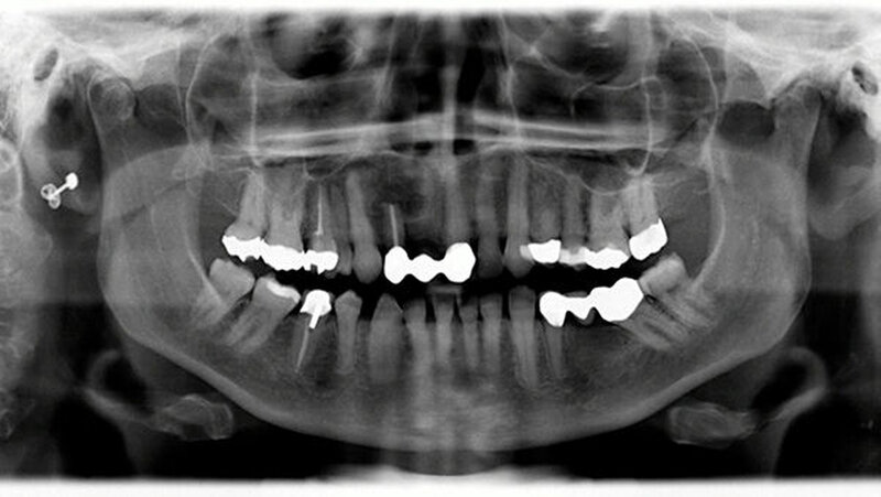
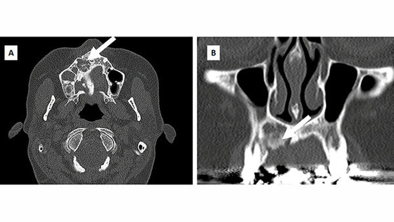
In der Panoramaschichtaufnahme zeigte sich eine Osteolyse im Bereich der Oberkieferfront Regio 12 (Abbildung 2), weshalb eine 3-D-Bildgebung zur Größenbestimmung durchgeführt wurde. Die durchgeführte CT-Diagnostik ergab den Nachweis eines Os librum mit den Maßen 7 x 8 x 11 mm unter Beteiligung der beiden Pfeilerzähne 11 und 13 (Abbildung 3).
Die Therapie
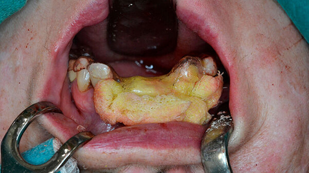
Nach erfolgter Tetrazyklinmarkierung mittels Doxycyclin 100 mg 1-0-0 für fünf Tage und präoperativer Abdrucknahme für eine Oberkieferverbandsplatte wurde der Eingriff in Intubationsnarkose durchgeführt. Nach marginaler Schnittführung wurden die Zähne 21, 12 und 13 entfernt sowie eine aufwendige modellierende Osteotomie im Sinne einer partiellen Resektion des Alveolarfortsatzes unter Schwartzlichtkontrolle in diesem Bereich durchgeführt (Abbildung 4).
Die Weichgewebsdeckung des entstandenen Defekts erfolgte mittels Mukoperiostlappen und einer Dreiecksaustauschplastik aus dem Oberkiefervestibulum (Abbildung 5). Nach spannungsfreiem, speicheldichtem Wundverschluss wurde eine Verbandsplatte mittels Jodoformvaseline durch eine Schraube am Gaumen knöchern fixiert (Abbildung 6). Daran schloss sich ein fünftägiger stationärer Aufenthalt unter strikter Ernährung mittels Magensonde sowie breiter intravenöser antibiotischer Abdeckung durch Clindamycin 600mg 1-1-1 an.
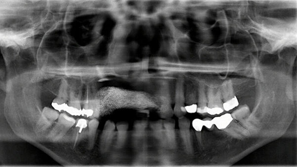
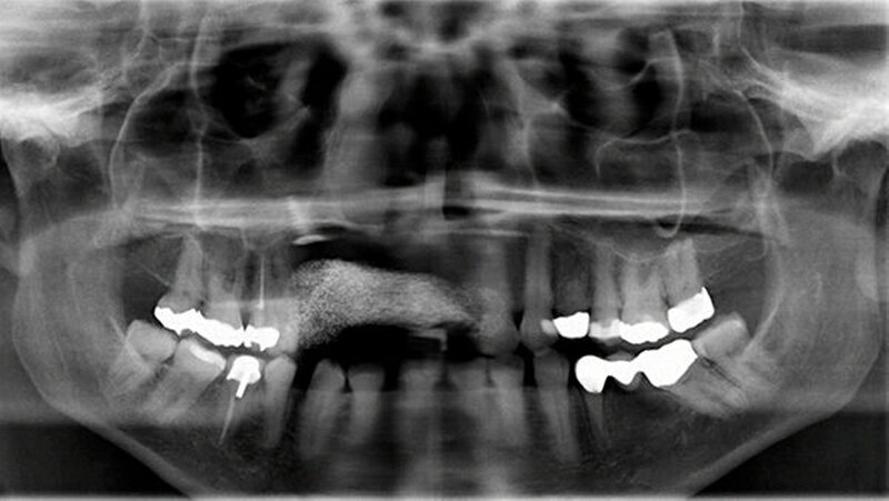
Zudem wurde eine postoperative Röntgenkontrolle mittels OPG durchgeführt (Abbildung 7). Bei optimaler Mundhygiene war der Heilungsverlauf stadiengerecht, ohne dass Dehiszensen oder eine Infektion aufgetreten wären.
Diskussion
Chemisch gesehen handelt es sich bei Bisphosphonaten um Pyrophosphatanaloga, bei denen die zentrale P-O-P-Bindung durch eine P-C-P-Bindung ersetzt worden ist. Dies führt zu einer Resistenz gegen chemische Hydrolyse durch Osteoklasten [Green, 2004].
Die Substituenten des zentralen Kohlenstoffs (auch als R1 und R2 bezeichnet) sind maßgeblich für die weitere Klassifizierung verantwortlich. Man unterscheidet je nach Existenz von Stickstoff in den oben beschriebenen Seitenketten zwischen stickstoffhaltigen (Alendronate, Ibandronate und Zolendronate) und stickstofffreien (Clodronatem, Tiludronate und Etidronate) Bisphosphonaten [Russell et al., 1999].
Klinische Indikationen sind verschiedene Knochenerkrankungen wie Morbus Paget, postmenopausaler Osteoporose [Handler, 2008], das multiplen Myelom [Kyle et al., 2004] und bei ossär metastasierten Karzinomen [Roodman, 2004].
Die Bisphosphonat-assozierte Kiefernekrose (BP-ONJ) wird im englischen Sprachgebrauch auch als BRONJ = Bisphosphonat related ostenecrosis of the jaws bezeichnet. Sie wird durch folgende Klinik definiert: mehr als acht Wochen freiliegender Knochen, Bisphosphonat-Medikation in der Anamnese und keine Bestrahlung im Kopf-Hals-Bereich [Ruggiero et al., 2009]. Als weitere wichtige Symptome können Zahnlockerung, Fisteln, Schmerzen, Foetor ex ore und Sensibilitätsstörungen im Bereich der Unterlippe (auch als Vincent Symptom bezeichnet) auftreten.
Im weiteren Verlauf werden nun die wichtigsten Merkmale der aktuellen S3-Leitlinie „Bisphosphonat-assozierte Kiefernekrose (BP-ONJ) und andere Medikamenten-assozierte Kiefernekrosen“ dargelegt.
In der Diagnostik kommt demnach neben der eingehenden oralen Inspektion der bildgebenden Untersuchung eine zentrale Bedeutung zu. Hierbei ist zu beachten, dass eine klassische konventionelle Panoramaschichtaufnahme als unzureichend gilt und gerade auch im Sinne einer präoperativen Diagnostik durch geeignete 3-D-Verfahren zu komplettieren ist. Außerdem wird empfohlen, eine histopathologische Aufarbeitung des Gewebes durchführen zu lassen, um zum einen maligne Prozesse ausschließen zu können und zum anderen die Diagnose zu sichern.
Die Therapie der BP-ONJ ist primär chirurgisch. Rein konservative Therapieansätze ohne plastische Deckung zeigen in bis zu 82 Prozent keine Heilung. Im Gegensatz dazu sind für eine vollständige Nekroseabtragung mit plastischer Deckung Heilungsraten von bis zu 90 Prozent in der Literatur beschrieben worden.
Weiterhin definiert die S3-Leitlinie eine systemische Antibiose und eine ausreichende Anästhesie als „obligatorisch ergänzende Maßnahme“, während eine supportive Lasertherapie, eine präoperative Fluoreszensmarkierung sowie Änderung der Kostform als „fakultativ“ gesehen werden.
Im Zentrum zur Vermeidung einer BP-ONJ steht der Zahnarzt. Dieser sollte bereits vor geplanter Gabe osteoprotektiver Substanzen konsultiert werden und die Planung einer Sanierung und Vermeidung von möglichen Eintrittspforten erfolgen. Hierbei stehen auch nicht-chirurgische Therapiemaßnahmen wie Motivation und Instruktion sowie regelmäßige Recall-Termine im Fokus.
Fazit für die Praxis
Die Bisphosponat-assozierte Kiefernekrose ist eine schwerwiegende Erkrankung mit steigender Inzidenz
Eine OPG Diagnostik ist bei Verdacht mittels einer 3D Bildgebung zu komplimentieren
Die Therapie ist meist chirurgisch
Der behandelnde Zahnarzt nimmt eine zentrale Rolle in Prävention, Therapie und Nachsorge ein
Dr. Dr. Paul HeymannDr. Anne AttrodtProf. Dr. Dr. Andreas NeffDr. Dr. Christine MollDr. Ingo FischerPD. Dr. Dr. Dr. Thomas ZiebartKlinik und Poliklinik für Mund-, Kiefer- und GesichtschirurgieUniversitätsklinikum Gießen und Marburg,Standort MarburgBaldingerstraße, 35043 Marburgheymann.paul@gmail.com
Literaturverzeichnis
Green JR. Bisphosphonates: preclinical review. Oncologist 2004; 9 Suppl 4: 3-13.
Russell RG, Rogers MJ. Bisphosphonates: from the laboratory to the clinic and back again. Bone 1999; 25: 97-106.
Ruggiero SL, Dodson TB, Assael LA, Landesberg R, Marx RE, Mehrotra B. American Association of Oral and Maxillofacial Surgeons position paper on bisphosphonate-related osteonecrosis of the jaw - 2009 update. Aust Endod J 2009; 35: 119-130.
Handler RP. Prior bisphosphonate therapy of osteoporosis attenuates and blocks response to subsequent parathyroid hormone. J Clin Rheumatol 2008; 14: 122-124.
Kyle RA, Therneau TM, Rajkumar SV, Larson DR, Plevak MF, Melton LJ, 3rd. Incidence of multiple myeloma in Olmsted County, Minnesota: Trend over 6 decades. Cancer 2004; 101: 2667-2674.
Roodman GD. Mechanisms of bone metastasis. N Engl J Med 2004; 350: 1655-1664.
Grötz KA, Piesold J.-U. „Bisphosphonat-assozierte Kiefernekrose (BP-ONJ) und andere Medikamenten-assozierte Kiefernekrosen“ ,AWMF online, AWMF-Register Nr. 007/091, Klasse S3









