Tumorrezidiv im Unterkiefer
In der deutschen Übersetzung wurde als Zahnschema das FDI-Schema (Zähne 33 und 34) zugrunde gelegt. Im englischen Originaltext wird das amerikanische Schema 1 (rechter oberer Weisheitszahn) bis 32 (rechter unterer Weisheitszahn) durchnummeriert im Uhrzeigersinn genutzt.
Abstract
Squamous odontogenic tumors (SOTs) are benign, locally infiltrative neoplasms that localize to the periodontium. In total, < 50 cases have been reported since the first description of SOTs in 1975. Although the exact etiology of SOTs is unknown, the tumors are considered to derive from the epithelial cell rests of Malassez. SOTs are characterized by radiological and clinical signs and symptoms, including pain with increased sensitivity in the affected area, bone expansion and increased tooth mobility. The present study describes the case of a patient that experienced numerous SOT recurrences and also discusses recommendations for treatment. A locally invasive mandibular SOT was identified in a Caucasian 41-year-old female patient. The treatment involved recommended conservative surgery, including local curettage. In addition, 49 cases published in the literature were reviewed to assess the treatment strategies. The present patient experienced two recurrences of the tumor during the 6-year follow-up period. Ultimately, the vitality of the adjacent teeth was compromised. An apicoectomy with a small amount of resection of the marginal bone was necessary. In > 50 Prozent of the reported cases of SOT in the literature the adjacent teeth were extracted. The present case of SOT and the associated literature were also discussed. It was concluded that the treatment of choice appears to be a conservative surgical removal, but the successful management of SOTs often requires the removal of the adjacent teeth.
Fallbericht
Eine 41-jährige Frau stellt sich im Dezember 2006 bei ihrem Zahnarzt vor und klagt über eine empfindliche Stelle mit leichten Druckbeschwerden im Prämolarenbereich des linken Unterkiefers. Die Panorama-Röntgenaufnahme zeigte keine sichtbaren Veränderungen am Knochen. Die Patientin erscheint jedoch schon nach kurzer Zeit wieder in der Praxis - mit denselben Beschwerden. Auf einem jetzt angefertigten Zahnfilm fällt eine radiopake Läsion zwischen den Wurzeln der Zähne 33 und 34 auf.
Befund
Daraufhin wurde die Patientin im Januar 2006 an die Klinik für Oralchirurgie am Universitätsklinikum Bonn überwiesen. Die intraorale Untersuchung ergibt dort eine kleine Hartgewebeschwellung - eine Knochenexpansion - an der lingualen Seite der Zähne 33 und 34 (Fig. 1A). Weder eine Hypästhesie noch eine Hyperästhesie oder Anästhesie des linken N. alveolaris inferior wurden festgestellt, ebenso wenig Anzeichen von entzündlichen Schwellungen, Eiter oder Einblutungen.
Die Patientin hatte keine Schmerzen. Ihre bisherige Krankengeschichte war unauffällig; es wurden zuvor keine Tumore diagnostiziert, und die Frau war niemals operiert worden. Die betreffenden Zähne waren auf Kältetest sensibel, auch die benachbarten Zähne waren gesund.
Ein neues Panoramaröntgenbild zeigte eine dreieckige radiopake Läsion zwischen dem unteren linken Eckzahn und dem Prämolaren. Die Basis der Strahlendurchlässigkeit wurde zwischen den divergierenden Scheiteln der benachbarten Wurzeln (Fig. 1B) lokalisiert.
Diagnose
Ausgehend von diesem Befund wurde zunächst die klinische Diagnose einer odontogenen Zyste gestellt; mit der Differenzialdiagnose, dass es sich auch um eine Epidermoidzyste oder um eine Keratozyste handeln könnte.
Therapie: erste OP
Zu diesem Zeitpunkt beobachteten die Zahnärzte eine erkennbare weiche Schwellung bukkal der Zähne 33 und 34. Um die Läsion unter örtlicher Betäubung vollständig zu entfernen, wurde von vestibulär eröffnet. Als sie den Mukoperiostlappen freigelegt hatten, sah man, dass die vestibuläre Knochenwand perforiert und darunter eine Läsion vorhanden war (Fig. 1C).
Eine vollständige Enukleation der derben Läsion wurde unter Erhaltung der lingualen UK-Knochenwand vorgenommen. Die Wurzelflächen der benachbarten Zähne wurden mit steriler Kochsalzlösung gespült. Dann wurde Penicillin G in Pulverform (Hydracillin, Glaxosmithkline Biologicals) zusammen mit Kollagenvlies verabreicht, um ein Einsinken des Alveolarkamms zu verhindern.
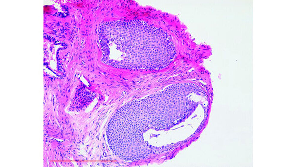
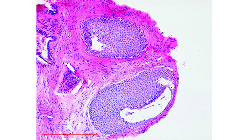
Die Patientin erhielt zusätzlich über eine Woche dreimal täglich oral Phenoxymethylpenicillin (Penicillin V 1,5 Mega). Mit der histopathologischen Abklärung anhand einer Probe konnten Überreste einer zystischen Läsion mit einem mehrschichtigen Plattenepithel nachgewiesen werden. In weiten Bereichen der Randschicht zeigte sich eine zylindroepitheliale Konfiguration mit adenoiden Segmenten. Kleinere Abschnitte enthielten zwei bis drei Lagen mit Verkalkungen (Fig. 2 und und 3). Die Diagnose eines Squamous odontogenic tumors (SOT) wurde dann vom Knochentumor-Referenzzentrum am Institut für Pathologie des Universitätsspitals Basel bestätigt.
Follow-up
Das Follow-up (alle 6 Monate für insgesamt 72 Monate) bestand aus mündlichen Befragungen und Zahnfilmen (Tabelle I). Die Röntgenbilder zeigen, wie sich der Knochen schrittweise wieder aufbaut. Die Zähne 33 und 34 blieben vital. Für etwa drei Wochen traten leichte Sensibilitätsstörungen in der Innervation des linken N. alveolaris inferior auf. Die Patientin hatte keine Symptome mit Ausnahme der schmerzfreien kleinen Knochenexpansion lingual der Zähne 33 und 34.
###more### ###title### ###title### ###more###
Ein Jahr und 8 Monate nach der OP trat ein Tumorrezidiv auf (Abb. 4). Etwa zur gleichen Zeit klagte die Frau über ein Druckgefühl in der chirurgisch behandelten Region.
Zweite OP
Ein zweiter chirurgisches Eingriff ergab, dass der rezidivierende intraradikuläre Tumor kleiner war und sich die Läsion nicht bis zu den Wurzelspitzen erstreckte. Die OP wurde unter örtlicher Betäubung durchgeführt. Zwei Gewebestücke wurden von vestibulär durch Kürettage gewonnen, aus dem wiederkehrenden Tumor (Fig. 5A) eine als kleines Zementom-artiges Gewebe (Fig. 5B). Der Hohlraum wurde anschließend mit einem Kollagenschwamm TissuFleece E aufgefüllt. Der vestibuläre Defekt wurde mit einer BioGide Membran abgedeckt.
Die histologischen Auswertungen offenbarten Teile eines sklerotischen Stromas mit einem mehrschichtigen Epithel, in anderen Segmenten zeigte sich eine cylindroepitheliale Differenzierung. Außerdem fanden sich Segmente mit zystischer Struktur. Zahlreiche Abschnitte bestanden aus quaderförmigen Epithelzellen. Die zweite Probe zeigte ein kleines Zementom.
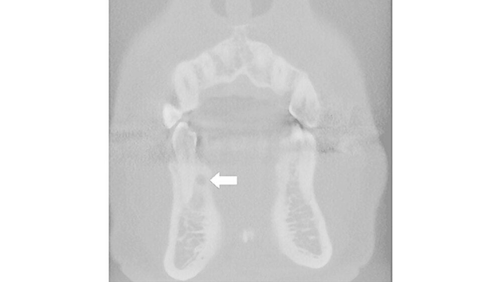
Die Patientin kam dann regelmäßig zu den Follow-ups, ohne dass klinische Symptome festgestellt wurden oder sie über Druckbeschwerden im betroffenen Bereich(Tabelle I)(4,6,8,10,12-49) geklagt hatte. Die beiden Zähne 33 und 34 blieben vital. Ein Röntgenbild zeigte nach zwei Jahren und 6 Monaten wieder strahlentransparente Veränderungen im OP-Bereich. Eine Digitale Volumentomographie (DVT) wurde kurz danach durchgeführt (Fig. 6).
Dritte OP
Nach der genauen Diagnostik mithilfe des DVT war der vestibuläre Knochen zwischen den Zähnen 33 und 34 komplett neu aufgebaut. Ein runder strahlendurchlässiger Bereich von 3 mm Durchmesser auf Höhe des mittleren Drittels des Zahns 33 und eine durch den Tumor verursachte linguale Knochenexpansion wurden sichtbar.
Der chirurgische Eingriff wurde jetzt von lingual geplant mit dem Ziel, die vitalen Zähne zu erhalten. Die linguale Osteotomie ergab einen Hohlraum frei von Flüssigkeiten oder Gewebe. Es ließen sich keine pathologischen Proben entnehmen.
Das Follow-up 6 Monate später ergab keine klinischen oder radiologischen Auffälligkeiten.
Vierte OP
12 Monate nach dem dritten Eingriff klagte die Patientin wieder über Druckbeschwerden in der operierten Region. Die Zähne blieben vital. Eine Läsion mit einer Größe von etwa 7 × 7 mm wurde vom Zahnarzt beim Röntgen diagnostiziert. Sie wurde von vestibulär entfernt mit einer Kürettage des Knochens. Die Zähne 33 und 34 wiesen 12 Wochen im Anschluss an die vierte OP Pulpitis-ähnliche Symptome auf.
Eine WSR mit minimaler Resektion des betroffenen marginalen Knochen wurde durchgeführt. Die histologische Untersuchung zeigte keine Anzeichen eines erneuten Auftretens eines SOT oder von Plattenepithel. Die Probe bestand hauptsächlich aus Bindegewebe plus Knochenfragmenten. Die Wunde heilte ohne Komplikationen. Das Follow-up wurde dann alle 6 Monate bis zuletzt im Mai 2013 durchgeführt und ergab keine pathologischen Befunde.
###more### ###title### Diskussion ###title### ###more###
Diskussion
Das Literatur-Review für die Festkörper-Form des SOT erfolgte mithilfe von PubMed mit der Suchkombination "squamous odontogenic tumor and recurrence". Die Suche wurde auf die englische Literatur beschränkt. Insgesamt wurden 49 Tumorfälle in englischsprachigen Zeitschriften(Tabelle II)berücksichtigt, sieben wurden ausgeschlossen.
Das Alter zum Zeitpunkt der Erstdiagnose lag zwischen 8 und 67 Jahren, mit einem mittleren Alter von 36,3 Jahren. Die Mehrheit der SOT wurde bei Patienten im Alter von 20 bis 29 festgestellt. Das Geschlechterverhältnis ist 1: 1,2 (weiblich:männlich). Die Mandibula war in 57,1 Prozent der Fälle, der Oberkiefer in nur 38,8 Prozent betroffen.
Die Behandlung von 50 Patienten mit solider SOT einschließlich des vorliegenden Falles ist derzeit dokumentiert. Zusammenfassend wurden 43 Läsionen konservativ operiert, bestehend aus Kürettage, Exzision und Enukleation. Acht Läsionen wurden mit radikalen OPs behandelt, bestehend aus en-bloc-Resektionen, modifizierter Hemimaxillektomie und Teilmaxilloektomie (Tabelle II). In allen dokumentierten Fällen stand der Tumor in Kontakt mit der Oberfläche eines Zahns oder mehrerer Zähne. In mehr als 50 Prozent der Fälle wurden die benachbarten Zähne (Tabelle II) extrahiert. In einem Fall wurde eine Hemisektion des Restzahns durchgeführt (8). Follow-ups gab es in 33 Studien bei 49 Patienten, sie lagen zwischen einigen Wochen und einem Maximum von 216 Monaten (Tabelle II). Insgesamt wurde in vier Fällen ein Rezidiv (4,10,28,33) gemeldet.
Der Tumor wächst in der Regel langsam und zeigt über lange Zeit keine Symptome. Die klinischen und radiologischen Merkmale des SOT sind weder sehr spezifisch noch ausreichend für die Diagnose und der Tumortyp kann mit einer Reihe von anderen Krankheiten (33) verwechselt werden. Daher ist eine genaue klinische, radiologische und histologische Abklärung zur Vermeidung einer Fehldiagnose notwendig. SOT kann in jedem Alter auftreten, gehäuft tut er das allerdings in der dritten Dekade. Der jüngste Patient in der Literatur war ein neunjähriger Junge mit einem Kiefer-SOT, der mit einer lokalen chirurgischen Tumorektomie behandelt wurde.
Der Oberkiefer scheint häufiger im Bereich der Schneidezähne betroffen zu sein, während die Prämolaren- und Molarenbereiche im Unterkiefer häufiger betroffen sind.
Obwohl der SOT eine gutartige Läsion darstellt, sollte er in bestimmten Fällen als semimaligne klassifiziert werden, besonders im Oberkiefer demonstriert er eine erhöhte Aggressivität (10). Die 41-jährige Patientin in der vorliegenden Studie wurde zunächst mit der Enukleation des Tumors und einer Kürettage behandelt. Das alle 6 Monate durchgeführte Follow-up zeigte frühzeitig kleine Rezidive, die jeweils sofort operativ behandelt wurden.
SOT ist ein langsam wachsender Tumor. Die Behandlungsempfehlung der WHO entspricht einem konservativ-chirurgischen Eingriff (5). Allerdings ergab die vorliegende Studie auch, dass ein konservativer Ansatz, wie die Enukleation und die einfache Kürettage mit der Intention, die Vitalität der beteiligten Zähne zu erhalten, nicht ausreicht, um eine Wiederkehr zu verhindern. Dafür ist eine aggressivere Behandlung erforderlich. Nach der zweiten chirurgischen Behandlung erschien die Patientin für 2 Jahre und 6 Monate regelmäßig zum Follow-up, wo keine klinische Symptome auftraten, obwohl eine Cone Beam Computertomografie (CBCT) eine Veränderung lingual von Zahn 22 (Abb. 5) ergab. Es wurde jedoch kein zweites Rezidiv intraoperativ festgestellt.
Ein Jahr später wurde eine dritte Läsion entfernt, begleitet von einer Wurzelspitzenresektion eines Nachbarzahnes. Wegen dieses wiederholten Rezidivs favorisierten die Operateure einen radikalen chirurgischen Eingriff, der mit dem Verlust der benachbarten Zähne verbunden gewesen wäre. Die letztlich durchgeführte chirurgische Therapie wurde auf Wunsch der Patientin hin gewählt, um die Zähne (Tabelle I) zu erhalten.
In der Literatur wird die Kürettage mit Extraktion der benachbarten Zähnen als adäquate Therapie betrachtet. Allerdings zeigen die Studien auch, dass das das Tumorrezidiv nicht aufgrund der Röntgenergebnisse allein ausgeschlossen werden kann.
Es kann von klinischer Relevanz sein, mit individuellen Behandlungsplänen auf das biologische Verhalten dieser seltenen Tumoren zu reagieren. SOT ist bekannt dafür, in benachbarte Gewebe zu infiltrieren, mit Resorption des Alveolarknochens und Invasion des darüber liegenden Zahnfleischs und der Mundschleimhaut. Obwohl SOT als gutartige Neubildungen gelten, besteht die Gefahr der karzinomatösen Transformation.
Die vorliegende Studie hat gezeigt, dass ein odontogener Tumor, der operativ schwer zugänglich ist, anfällig für ein Rezidiv ist (Tabelle I), insbesondere, wenn man mit dem chirurgischen Eingriff nicht das Tumorgewebe vollständig entfernen kann. Zusammenfassend hängt das Potenzial für ein Rezidiv auch für gutartige SOT von der Zugänglichkeit für die chirurgische Behandlung und vom biologischen Verhalten des SOT ab.
Die vorliegende Studie empfiehlt einen individuellen Behandlungsplan, um auf die biologische Reaktion des SOT - nicht allein auf die Histopathologie des Tumors - zu reagieren. Nach gegenwärtigem Kenntnisstand sollte die Behandlung der derben und homogenen Form von SOT durch lokale Kürettage unter Entfernung der benachbarten Zähne erfolgen, um weitgehend sicher ein Rezidiv zu verhindern.
Mohr B1, Winter J2, Wahl G1, Janska E3., Recurrent squamous odontogenic tumor: A case report and review of the literature, in: Oncol Lett. 2015 Nov;10(5):2713-2722. Epub 2015 Aug 25.








