Warum gehen Kompositfüllungen verloren?
Karies ist trotz Rückläufigkeit noch immer die weltweit häufigste chronische Erkrankung im Kindes- und Jugendalter und hat messbar negative Folgen für die Allgemeingesundheit und Lebensqualität der betroffenen Kinder [Böncker et al., 2012].
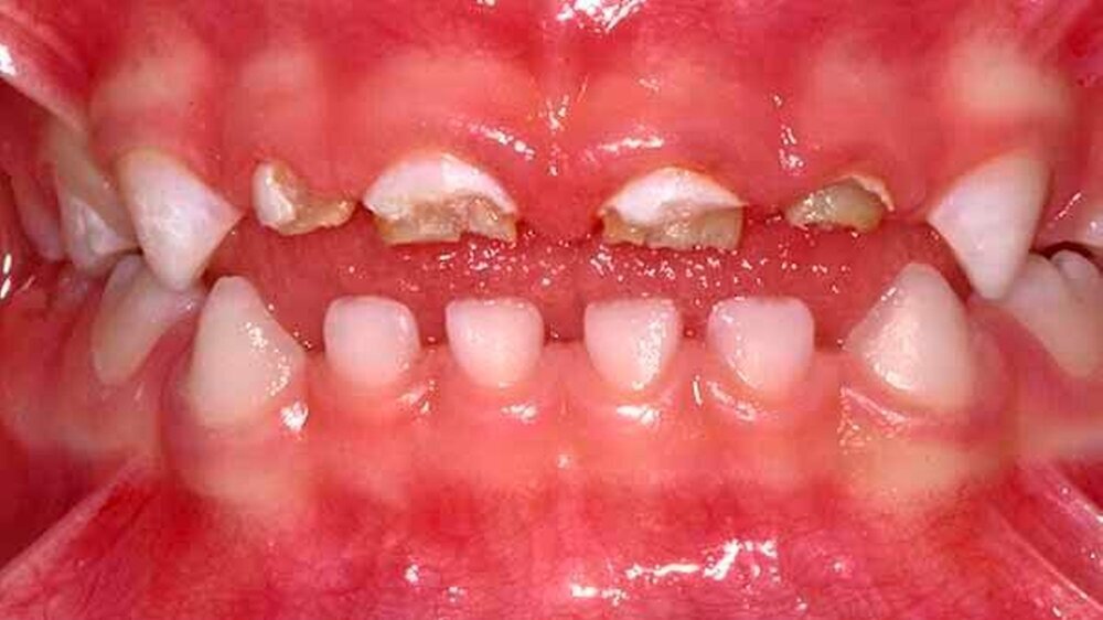
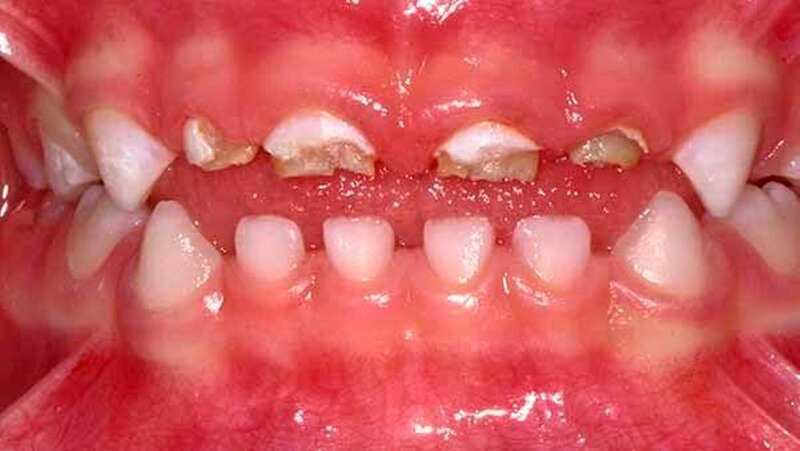
Die Anzahl von Kindern, die von einer frühkindlichen Karies in Deutschland betroffen sind, wird regional unterschiedlich mit 5,2 bis 20,3 Prozent angegeben. Damit wird die durchschnittliche Prävalenz auf etwa 10 bis 15 Prozent geschätzt [Splieth et al., 2009]. Typischerweise zeichnet sich diese Form der Karies, die bereits im Kleinst- und Kleinalter auftritt, durch eine rasch voranschreitende Zerstörung der Oberkieferinzisiven und -molaren der ersten Dentition aus. Dies kann bei besonders ausgeprägter Form alle Milchzähne betreffen. Als Ursache ist ein kariogenes Ernährungsverhalten mit hochfrequenter Zufuhr insbesondere zucker- und säurehaltiger Getränke in Kombination mit einer unzureichenden Mundhygiene zu nennen. Häufig ist damit auch die Zufuhr lokal verfügbarer und protektiv wirksamer Fluoride ungenügend [Splieth et al., 2009].
Hier geht's zur Themenseite ECC
Im Kindergarten- und Vorschulalter entstehen weitere Kariesprädilektionsstellen. Durch die physiologische Annäherung der Milchmolaren steigt das Risiko im reifen Milchgebiss und frühen bleibenden Gebiss an einer Approximalkaries zu erkranken. Anamnestisch ist auch hier der hochfrequente Konsum zucker- und säurehaltiger Getränke sowie süßer Snacks zu identifizieren. Daher gewinnt die Diagnostik im Bereich der Zahnzwischenräume spätestens ab einem Alter von etwa fünf Jahren an Bedeutung [Espelid et al., 2003]. Damit steht die Karies an Milchzähnen auch weiter im klinischen Fokus.
Ziel der Versorgung kariöser Zähne der ersten Dentition ist es, den Milchzahn möglichst bis zu seiner physiologischen Exfoliation zu erhalten. Der Langzeiterfolg der gewählten Therapieform, beziehungsweise des Materials stehen damit an erster Stelle. Meist werden für das Milchgebiss direkte Restaurationen bevorzugt.
Indikationsstellung für Kompositrestaurationen
Die zu erwartende Lebensdauer des Zahnes, die Ausdehnung der Kavität sowie das individuelle Kariesrisiko und Möglichkeit einer adäquaten Trockenlegung sind für die Indikationsstellung von Bedeutung. Im Bereich der plastischen Füllungsmaterialien hat sich über die letzten Jahrzehnte auch in der Kinderzahnheilkunde ein Wandel vollzogen.
Aus umweltmedizinischer und pharmakologischer Sicht soll heute bei Kindern und anderen vulnerablen Patientengruppen auf die Verwendung von zahnärztlichen Amalgamen verzichtet werden [Robert Koch-Insitut, 2007]. In einigen europäischen Ländern ist ihr Einsatz sogar verboten. Die als Alternative angebotenen Glasionomerzemente sind wegen ihrer ungünstigen mechanischen Eigenschaften nur im Bereich der einflächigen Füllungen mit adhäsiven Restaurationsmaterialien konkurrenzfähig [Hickel et al., 2005].
Für das Milchgebiss ist das klinische Verhalten von Kompositfüllungen weniger gut untersucht als von Füllungen mit Glasionomerzemente und Kompomere [Käkilehto et al., 2013; Qvist et al., 2010]. Dennoch gewinnen Komposite aufgrund ihrer vorteilhaften ästhetischen, biologischen und mechanischen Eigenschaften für die Füllungstherapie im Milchgebiss an Bedeutung [Bürkle et al., 2005].
Bedenken sind immer wieder hinsichtlich der Freisetzung von Bisphenol A, sowie Überempfindlichkeiten nach Applikation von Kompositen geäußert worden. Im Allgemeinen gilt es den Herstellerempfehlungen für eine korrekte Applikation, sowie Polymerisation und Ausarbeitung zu befolgen. In seltenen Fällen muss eine alternative Versorgung in Erwägung gezogen werden [aapd, 2012].
Komposit wird im Milchgebiss neben der Nutzung als Versiegelungsmaterial hauptsächlich im Rahmen der Füllungstherapie von kariösen oder auch hypoplastischen Zähnen verwendet. Dabei gibt es keine Einschränkung auf den Zahntyp. Die Indikationsbreite umfasst alle Black-Klassen.
Einschränkende Empfehlungen werden für Klasse II Kavitäten gegeben. Extendiert die Füllung nach oral oder vestibulär oder liegt gar eine vielflächiger Defekt an einem Milchmolaren vor, so ist die Verwendung von konfektionierter Kronen empfohlen.
Im Frontzahnbereich werden Komposite für die sogenannte Stripkronentechnik verwendet, bei der Komposit mithilfe von Form-gebern als vollständiger Kronenersatz ausgeformt wird. Auch hier stehen Alternativen mit konfektionierten Kronen zur Verfügung [aapd, 2012].
###more### ###title### Überlebensraten und Gründe für Füllungsverluste ###title### ###more###
Überlebensraten und Gründe für Füllungsverluste
Kompositfüllungen im Milchgebiss weisen etwas geringere Überlebensraten als Füllungen, die an bleibenden Molaren bei Erwachsenen mit Kompositen gelegt wurden auf. Während im bleibenden Gebiss etwa 80 Prozent der Kompositfüllungen bei Hochrisikopatienten über einen Zeitraum von fünf Jahren vorhanden sind, liegt dies im Milchgebiss bei Patienten, die in Narkose behandelt wurden vergleichbar hoch. Bei Kindern, die in wachem Zustand behandelt wurden häufig darunter [Bücher et al. 2014; Bücher et al., 2015; Hickel et al., 2005; Opdam et al., 2010].
Frühverluste von Kompositfüllungen im Milchgebiss sind mehrheitlich auf ein technisches Versagen zurückzuführen, während mittel- und langfristige Verluste mit dem Auftreten von Sekundärkaries, also dem individuellen Kariesrisiko des Patienten, in Zusammenhang stehen. Die Einflussfaktoren dafür sind vielfältig [Metz et al., 2015]. Wenngleich Komposit für alle Zahntypen verwendet wird, ist für Milchfrontzahnfüllungen mit einem geringeren Langzeiterfolg gegenüber Füllungen im Bereich der Milchmolaren zu rechnen. Dabei ist die Kavitätenausdehnung für die Retention der Füllung von Bedeutung.
Kompositfüllungen mit multiplen Füllungsflächen weisen höhere Verlustraten auf. Dies trifft nicht nur für Komposit, sondern auch für andere in der ersten Dentition eingesetzte Füllungsmaterialien wie etwa Kompomere oder Glasionomerzemente zu [Qvist et al., 2004; Qvist et al. 2010]. Die Ursache hierfür wird mit dem ungünstigen C-Faktor, also dem Verhältnis von gebundener zu ungebundener Füllungsoberfläche, zu sehen. Bei Zähnen, die mehrflächig von Karies betroffen sind, scheint daher die Verwendung von konfektionierten Kronen gegenüber plastischen Füllungsmaterialien für einen langfristigen Behandlungserfolg die bessere Alternative.
Hier geht's zur Themenseite ECC
Neben einer unzureichenden Trockenlegung, kann auch das für den Klebeverbund verwendete Haftsystem ausschlaggebend sein, wie sowohl in vitro als auch in vivo gezeigt werden konnte. Die Verwendung eines selbstätzenden Einflaschensystems gegenüber dem Total-Etch-Verfahren führt demnach im Milchgebiss zu einem verbesserten Haftverbund. Dies ist auf die Verwendung der milderen Säure und damit geringeren Gefahr der Überätzung des Dentins zurückzuführen.
Vorteilhaft ist es jedoch, der Verwendung des Einflaschensystems eine selektive Schmelzätzung mit Phosphorsäure voranzustellen [Krämer et al., 2014]. Eine gewissenhafte Trockenlegung der Kavität ist bei der Verwendung von Kompositen im Milchgebiss eine wichtige Voraussetzung. Dabei ist eine relative Trockenlegung das übliche Verfahren. Dies kann etwa durch die Verwendung eines in der Kinderzahnheilkunde üblichen Langloch-Kofferdams erreicht werden. Dafür werden immer mehrere Zähne durch einen längeren Schnitt im Kofferdam isoliert. Die Verwendung eines geeigneten Matrizensystems und Keils ist auch im Milchgebiss sowohl zur zervikalen Abdichtung der Kavität als auch für eine gute Formgebung der Füllung angezeigt.
Für den Füllunghalt kann natürlich auch die Mitarbeit, respektive das Alter des Kindes eine Rolle spielen. Bei Kleinstkindern unter drei Jahren ist eine technisch aufwendige Füllungstherapie häufig nicht möglich. Auch bei Kindergarten- und Vorschulkindern kann die Notwendigkeit zu einer Lokalanästhesie eine Hemmschwelle für die Füllungstherapie darstellen. Daher werden hier häufiger Kompromisse eingegangen. In Studien konnte folglich gezeigt werden, dass bei Kindern unter sechs Jahren, die Füllungen unter klinischen Bedingungen erhielten, eine signifikant höhere Verlustrate auftrat als bei Schulkindern.
Für kleinere Kinder unter sechs Jahren wird daher bei aufwändigerem und invasivem Therapiebedarf sowie einer bedarfsgerechten Indikationsstellung eine Behandlung in Sedierung oder Allgemeinanästhesie als ergänzende Maßnahme angeboten [Bücher et al., 2014; Eidelman et al. 2000].
Das Auftreten einer Sekundärkaries spiegelt ein anhaltend hohes Kariesrisiko bei den von Füllungsverlusten betroffenen Patienten wider. Insbesondere Kinder mit einem sehr ausgeprägten, generalisierten Kariesbefall sind davon betroffen. Dies trifft vor allem zu, wenn die Änderung ungünstiger Ernährungs- und Mundhygienegewohnheiten nach einer Sanierung der Zähne nicht gelingt [Metz et al., 2015].
Berufserfahrung und auch spezielle Kenntnisse auf dem Gebiet der Kinderbehandlung respektive Verhaltensführung scheinen sich positiv auf das Überleben von Füllungen im Milchgebiss auszuwirken [Bücher et al. 2015; Qvist et al. 2004]. Hier spielt nicht nur ein geübter Umgang mit Material und Milchzahn, sondern auch eine patientengerechte psychologische Führung eine wichtige Rolle für eine erfolgreiche Behandlung.
Zusammenfassung
Die bisherige Erfahrung mit Kompositen in der Kinderzahnheilkunde zeigt, dass der Erfolg der Restaurationen wesentlich von einer indikationsgerechten Anwendung und erfolgreichen Verringerung des Kariesrisikos der Patienten abhängt. Letztendlich stellt damit eine Optimierung des Ernährungs- und Mundhygieneverhalten durch Kind und Betreuende aber auch begleitende zahnärztliche Präventionsmaßnahmen den Schlüssel zum Erfolg dar. Im Rahmen eines präventiven Gesamtkonzeptes sind Kompositfüllungen für die Therapie kariöser Läsionen bei kindlichen Kariesrisikopatienten eine geeignete Wahl.OÄ Dr. Katharina BücherPoliklinik für Zahnerhaltung und ParodontologieKinder- und JugendbehandlungGoethestraße 70, 80336 Münchenkbuecher@dent.med.uni-muenchen.de
Literatur:American Academy of Pediatric Dentistry (2012). Guideline on pediatric restorative dentistry. Pediatr Dent 34:173–180.Bönecker M, Abanto J, Tello G et al. (2012). Impact of dental caries on preschool children`s quality of life: an update. Braz Oral Res 26 Suppl 1:102–107.Bücher K, Metz I, Pitchika V, Hickel R, Kühnisch J (2015). Survival characteristics of composite restorations in primary teeth. Clin Oral Investig 19:1653-1662. doi 10.1007/s00784-014-1389-9.Bücher K, Tautz A, Hickel R, Kühnisch J (2014). Longevity of composite restorations in patients with early childhood caries (ECC). Clin Oral Investig 18:775-782.Buerkle V, Kuehnisch J, Guelmann M et al. (2005). Restoration materials for primary molars – results from a European survey. J Dent 33:275–281.Espelid I, Mejàre I, Weerheijm K; EAPD (2003). EAPD guidelines for use of radiographs in children. Eur J Paediatr Dent 4:40-48.Hickel R, Kaaden C, Paschos E et al. (2005). Longevity of occlusally-stressed restorations in posterior primary teeth. Am J Dent 18:198–211.Krämer N, Tilch D, Lücker S et al. (2014). Status of ten self-etch adhesives for bonding to dentin of primary teeth. Int J Paediatr Dent 24:192–199.Metz I, Rothmaier K, Pitchika V, Crispin A, Hickel R, Garcia-Godoy F, Bücher K, Kühnisch J (2015). Risk factors for secondary caries in direct composite restorations in primary teeth. Int J Paediatric Dent 25:451-461.Qvist V, Laurberg L, Poulsen A et al. (2004). Class II restorations in primary teeth: 7-year study on three resin-modified glass ionomer cements and a compomer. Eur J Oral Sci 2004 112:188–196.Robert Koch Institut (2007). Amalgam: Stellungnahme aus umweltmedizinischer Sicht. Mitteilung der Kommission „Methoden und Qualitätssicherung in der Umweltmedizin“. Bundesgesundheitsbl-Gesundheitsforsch-Gesundheitsschutz 50:1304–1307.Splieth CH, Treuner A, Berndt C (2009). Orale Gesundheit im Kleinkindalter. Präv Gesundheitsf 4:119–123.Wyne AH (1999). Early childhood caries: nomenclature and case definition Community Dent Oral Epidemiol 27:313–315.






