Der Fall: Grenzen der Füllungstherapie bei MIH
Ein siebenjähriges Mädchen stellte sich gemeinsam mit ihrem Bruder und der Mutter zu einer Untersuchung vor. Zähnärztliche Untersuchungen hatten zuvor regelmäßig stattgefunden, doch aufgrund eines Umzugs musste der Behandler gewechselt werden. Die Mutter berichtete, dass vor nicht allzu langer Zeit einmal ein Backenzahn gefüllt werden musste, aber sie wisse nicht mehr, ob es sich dabei um einen Milch- oder einen bleibenden Zahn gehandelt hatte.
Helle Flecken auf den oberen Schneidezähnen
Vor etwa zwei Jahren habe schon einmal gebohrt werden müssen. Ihr Sohn sei etwas besser in der Zahnpflege, bei ihm seien die Zähne nur versiegelt worden. Sie selbst habe fast keine Füllungen und sei recht irritiert, dass ausgerechnet bei ihrer Tochter nun schon zum zweiten Mal gebohrt werden musste. Außerdem habe sie als Einzige in der Familie grobe helle Flecken auf den oberen Schneidezähnen. Ob sie bei der Zahnpflege ihrer Tochter etwas falsch gemacht habe?
Anamnestisch wies die junge Patientin eine Schrumpfniere auf, wegen derer sie aber bisher keine Behandlung benötigte; beim Bruder bestand der Verdacht auf eine Aufmerksamkeitsdefizit-Hyperaktivitäts-Störung. Die Mutter war allgemeinmedizinisch gesund. Die spezielle zahnmedizinische Anamnese ergab keinen Hinweis auf eine Fluoridüberdosierung, weder in den ersten Lebensjahren noch aktuell.
###more### ###title### Klinischer Befund ###title### ###more###
Klinischer Befund
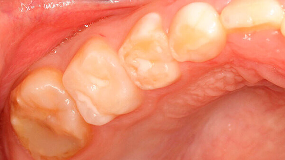
Die Patientin wies ein frühes Wechselgebiss auf, bei dem die Sechsjahr-Molaren, die gesamte Unterkieferfront und die oberen mittleren Inzisivi durchgebrochen waren. Der Zahn 54 hatte eine okklusal-distale Füllung, der Zahn 16 einen okklusal-distal-palatinalen Aufbau (Abbildung 1).
Zusätzlich zeigte der mesio-palatinale Höcker einen deutlichen Schmelzeinbruch (Abbildung 1). Die generelle Mundhygiene war nur mäßig, da insbesondere an den Glattflächen (obere mittlere Inzisivi) auch ohne Anfärbung deutlich sichtbarer Biofilm aufzufinden war (Abbildung 2). Die Zähne 26, 36 und 46 wiesen kaum sichtbare Opazitäten auf, sie waren alle versiegelt (nicht dargestellt).
Diagnose
Aufgrund der Verteilung der Opazitäten und Schmelzeinbrüche im Gebiss entsprach die Erkrankung zum Zeitpunkt der Untersuchung der Molaren-Inzisiven-Hypomineralisation (MIH). Erkrankt waren hier die typischen Index-Zähne: Sechsjahr-Molaren (in unterschiedlicher Intensität) sowie die bleibenden Schneidezähne.
Differenzialdiagnose(n):
1. Dentalfluorose:
Die klinischen Besonderheiten bei dieser Patientin entsprechen kaum dem üblichen Bild der Dentalfluorose, bestenfalls die lateralen Bereiche mittleren oberen Inzisivi weisen eine auch bei der Dentalfluorose aufzufindende wolkige Struktur auf. Es überwiegt jedoch die flächige Opazität, die eher für die MIH typisch ist.
Eine Fluorose als primäre Ursache wurde auch deshalb ausgeschlossen, weil in der Regel die betroffenen Zähne ein gleichmäßigeres Verteilungsmuster der Opazitäten aufweisen und die Fluorose normalerweise nicht singulär an einem der ersten bleibenden Molaren auftritt. Sofern eine Fluorose als Differenzialdiagnose in Betracht kommt, gibt in der Regel die Fluoridanamnese den entscheidenden Hinweis [Crawford et al., 2007].
2. Amelogenesis imperfecta:
Wie auch anderen vorausgegangenen Fallbeispielen sind hier nicht alle Zähne beider Dentitionen betroffen. Dies wäre in der Regel die Voraussetzung für eine genetisch bedingte Anomalie des Schmelzes. In sehr seltenen Ausnahmefällen kann es nur zu der Betroffenheit einzelner Zahngruppen kommen. Bei der hier vorgestellten Patientin überwiegen aber die klinischen Kriterien für eine Molaren-Inzisiven-Hypomineralisation [Weerheijm et al., 2001].
###more### ###title### Behandlungsablauf ###title### ###more###
Behandlungsablauf
Im Unterschied zu vielen anderen MIH-Patienten beschrieb diese junge Patientin keine Hypersensibilitäten an den betroffen Seitenzähnen. Die Frontzähne sind in der Regel von den Überempfindlichkeiten ausgenommen.
Da die Patientin große Angst vor einer zahnärztlichen Behandlung hatte, wurde zunächst die Verbesserung der Mundhygiene mittels Intensivprophylaxe angestrebt. Hier zeigte sie sich sehr kooperativ und machte große Fortschritte. Da bisher an Zahn 16 keine Beschwerden aufgetreten waren, sprachen sich Mutter und Tochter weiterhin gegen eine Behandlung aus - trotz der überaus auffälligen Insuffizienz und damit verringerten Reinigbarkeit der Zahnoberfläche.
Im Folgenden wird dargestellt, dass Schwierigkeiten bei der Füllungstherapie besonders häufig bei der Molaren-Inzisiven-Hypomineralisation auftreten, was die Ursachen dafür sind und welche Lösungsvorschläge es gibt.
Erläuterungen zum Therapieentscheid
Seit Langem ist bekannt, dass von der MIH betroffene Seitenzähne häufig zu Hypersensibilitäten neigen, was zu eingeschränkter Mundhygiene und/oder veränderter Nahrungsaufnahme führen kann [Jälevik und Klingberg, 2012].
Fällt dann der Entscheid zur (invasiven) Therapie, beginnen Probleme oft mit der Lokalanästhesie, deren Wirkung in MIH-Zähnen deutlich verringert erscheint [Steffen und van Waes, 2011]. Dies ist ein immer wieder auftretendes Phänomen. Seit einigen Jahren aber existiert ein wirksames Konzept, das in Kombination mit der Vorabgabe von Schmerzmitteln die Wirksamkeit erhöht und damit oft eine Behandlung erst möglich macht. Ebenfalls Anwendung findet der Einsatz höherer Dosen der Lokalanästhesie [Lygidakis et al., 2010].
Zusätzlich wurde aufgrund der oben genannten Probleme beschrieben, dass die Verhaltensführung bei Kindern mit MIH deshalb oft erschwert ist [Jälevik und Klingberg, 2012]. Kinder mit MIH werden bis zu Alter von neun Jahren durchschnittlich zehnmal häufiger behandelt als Kinder ohne MIH [Jälevik und Klingberg, 2012]. In den darauffolgenden Jahren ist die Behandlungsnotwendigkeit noch etwa um den Faktor vier erhöht [Jälevik und Klingberg, 2012].
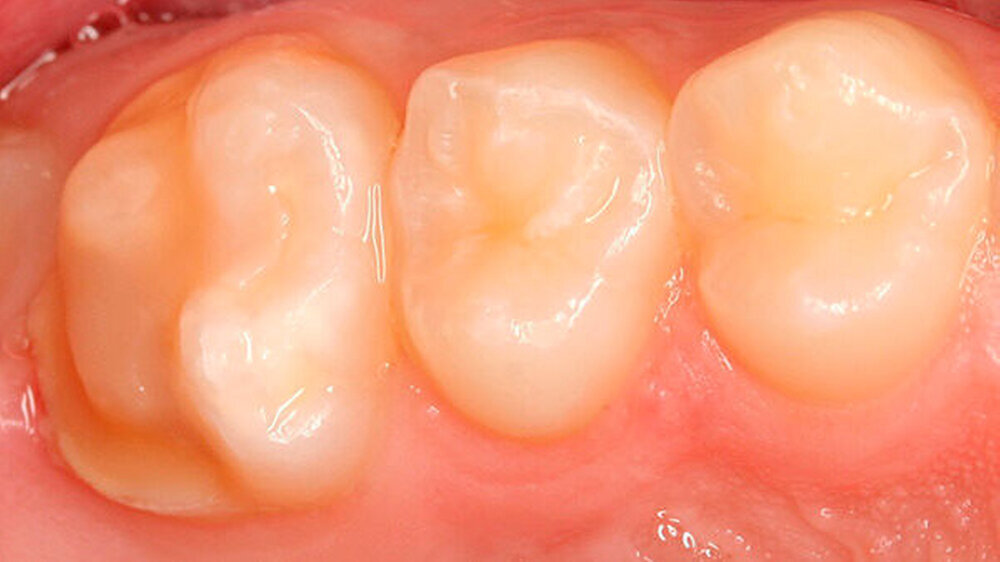
Zu all diesen Faktoren kommt hinzu, dass die nur geringen Erfolge der direkten Füllungstherapie einen häufigen Füllungsaustausch, Reparaturen oder Erweiterungen vorhandener Restaurationen bedingen [Lygidakis et al., 2010] (Abbildungen 3 und 4). Oft schon kommt es noch in der Durchbruchsphase zu ersten posteruptiven Schmelzeinbrüchen [Lygidakis et al., 2010], die meist nur eine temporäre Restauration erlauben.
Die generelle Schwierigkeit in der Versorgung der MIH-Zähne besteht in deren veränderter Zusammensetzung des Schmelzes: Der Anteil organischer Verbindungen ist deutlich erhöht, was neben der Instabilität des Schmelzes (siehe auch posteruptiver Schmelzeinbruch) dazu führt, dass das für die adhäsive Füllungstherapie erforderliche Ätzmuster in der Regel nicht ausgebildet werden kann [Crombie et al., 2013].
Auch ist keine normale Kristallgitterstruktur vorhanden [Crombie et al., 2013]. Ebenso gibt es Hinweise darauf, dass MIH-Zähne veränderte Relationen von Calcium zu Phosphat aufweisen [Fagrell et al., 2010].
Für die Umsetzung im klinischen Alltag bedeutet dies, dass es im Prinzip nur zwei Möglichkeiten gibt [Lygidakis et al., 2010]:
Die eingebrochene Zahnhartsubstanz zu entfernen, wobei in der Regel die Kavitätenbegrenzung dann noch in der betroffenen Zahnhartsubstanz liegt und deshalb mit erneuten Einbrüchen jenseits der Restauration zu rechnen ist.
Sämtliche betroffene Zahnhartsubstanz zu entfernen, was aber sehr oft das Kavitätendesign für eine direkte Füllungstherapie überschreitet (Abbildungen 5 und 6).
Andere zusätzliche Maßnahmen vor der eigentlichen Füllungstherapie haben sich bisher nicht als erfolgversprechend erwiesen, dazu gehört zum Beispiel die Infiltration der belassenen hypomineralisierten Zahnhartsubstanz [Crombie et al., 2013]. Füllungsmaterialien, die nicht adhäsiv verankert werden, haben sich in MIH-Zähnen bisher ebenso wenig bewährt [Lygidakis et al., 2010].
Die European Academy of Paediatric Dentistry (EAPD) selbst beschreibt in ihrem Positionspapier zur Versorgung von MIH-Zähnen die Schwierigkeit des Therapieentscheids: „Ideale Behandlungsoptionen sind gegebenenfalls nicht verfügbar und alternative Behandlungspläne werden notwendig.“ [Lygidakis et al., 2010].
###more### ###title### Fazit für die Praxis ###title### ###more###
Fazit für die Praxis
Die Grenzen der Füllungstherapie in MIH-Zähnen sind sehr eng. Oft wird die erste Therapie schon bei Durchbruch der Zähne notwendig. Diese anatomische Schwierigkeit wird durch die Zusammensetzung des hypomineralisierten Schmelzes verstärkt, hinzu kommen die schlechte Anästhesierbarkeit der Zähne sowie eine oft verringerte Compliance der jungen Patienten.
Die Entscheidung für eine Kavität, die von hypomineralisiertem Schmelz begrenzt bleibt, aber so die direkte Füllungstherapie aufgrund des Kavitätendesigns ermöglicht, sollte sorgfältig gegen die Entfernung sämtlicher betroffener Zahnhartsubstanz und erhöhter Wahrscheinlichkeit einer dauerhaften Restauration abgewogen werden. Dies kann nur für jeden Einzelfall entschieden werden.
stefanie.feierabend@gmail.com
Die Autorin dankt ZT Karl Halbleib für die Anfertigung der dargestellten Restaurationen (www.nice-zahntechnik.de).
Literatur
Crawford PJ, Aldred M, Bloch-Zupan A (2007) Amelogenesis imperfecta. Orphanet J Rare Dis doi:10.1186/1750-1172-2-17
Crombie FA, Manton DJ, Palamara JEA, Zaizniak I, Chochrane NJ, Reynolds EC (2013) Characterisation of developmentally hypomineralised human enamel. J Dent 41(7):611-618
Fagrell TG, Dietz W, Jälevik B, Norén JG (2010). Chemical, mechanical and morphological properties of hypomineralized enamel of permanent first molars. Acta Odontol Scand 68:215-222
Jälevik B, Klingberg G (2012) Treatment outcomes and dental anxiety in 18-year-olds with MIH, comparisons with healthy controls - a longitudinal study. Int J Paediatr Dent 22:85-91
Lygidakis NA, Wong F, Jälevik B, Vierrou AM, Alaluusua S, Espelid J (2010) Best clinical practice guidance for clinicians dealing with children presenting with molar-incisor-hypomineralisation (MIH): an EPAD policy document. Eur Arch Paediatr Dent11:75-81
Steffen R, van Waes H (2011) Die Behandlung von Kindern mit Molaren-Inzisiven-Hypomineralisation – Eine Herausforderung bei der Schmerzkontrolle und Verhaltenssteuerung. Quintessenz 2011; 62(12):1585
Weerheijm KL, Jälevik B, Alaluusua S (2001) Molar-incisor Hypomineralisation. Caries Res 35:390-391
Mehr zum Thema: MIH
Bei der systemisch bedingten Hypomineralisation können beide Dentitionen betroffen sein. Hier sehen Sie verschiedene Therapieoptionen.








