Der zweitbeste Nachwuchszahnarzt
Einführung in den Fall
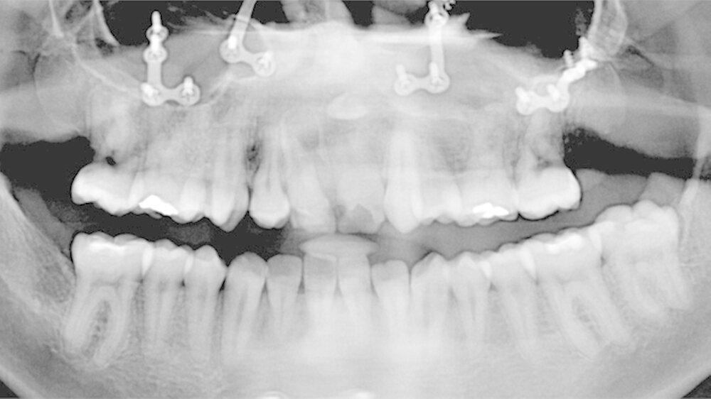
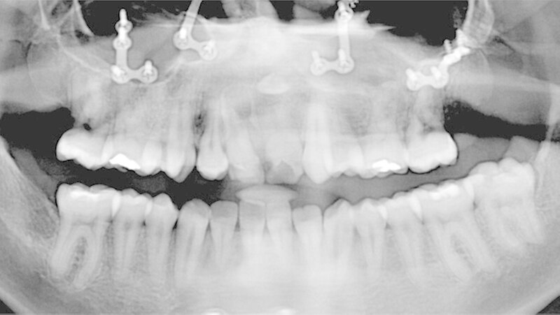
Der Patient zeigte eine operativ behandelte beidseitige Lippen-Kiefer-Gaumenspalte, sowie eine anomale Gebissformel. Zudem lagen eine Hypodontie (Agenesie der Zähne 15, 12, 22, 25) und eine Transposition zwischen Zahn 13 und 14 vor. Es wurde auch eine Schmelzanomalie mit Dysmorphie bei Zahn 11 festgestellt. Die Zähne 11 und 21 wiesen kariöse Läsionen auf. Der Patient wünschte eine ästhetische Versorgung.
Marterial und Methode
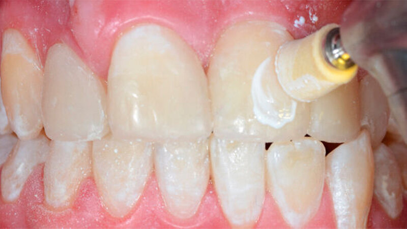
Bei diesem komplexen Fall musste mit Hilfe eines Wax-up ein Silikonschlüssel angefertigt werden, um die Formen aller Frontzähne sicher modifizieren zu können.Ceram.X Duo ermöglichte eine optimale Schichttechnik mit verschiedenen Opazitäten.
Diskussion und Fazit
Das Alter des Patienten (17 Jahre) spielte hier eine wichtige Rolle. Der Behandlungsplan sollte möglichst keine indirekten Restaurationen beinhalten und eine eventuelle Weiterentwicklung der dentalen Situation berücksichtigen. Deshalb wurde eine minimal-invasive Lösung gewählt, und die beschriebene Schichttechnik erschien angebracht.
Und das sind die weiteren Gewinner:
Platz 3: Yu-Hsin Huang, Zahnmedizinstudent in Taiwan, stellt seinen Fallhiervor.
Platz 5: Valentina Pankratz, Zahnmedizinstudentin in Witten/Herdecke, wurde mit ihrer Fall-Präsentation fünftbeste Nachwuchszahnärztin. Ihren Fall stellt siehiervor.












