Ausgedehntes Odontom des Kieferwinkels
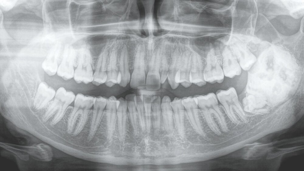
Eine 23-jährige Patientin stellte sich bei einem zunehmenden Druckgefühl im Kieferwinkel links in unserem Klinikum vor. Klinisch imponierten intraoral lediglich Verbreiterungen der Mandibula in regio 38 sowie des Ramus ascendens links. Der N. alveolaris inf. zeigte eine regelrechte Funktion. Eine faziale Asymmetrie bestand nicht. Es erfolgte die Anfertigung eines Orthopantomogramms (Abbildung 1), das eine ausgedehnte Verschattung im Kieferwinkel links zeigte. Da es keine älteren Röntgenaufnahmen dieser Region gab, konnten keine Aussagen über den Wachstumszeitraum der Raumforderung getroffen werden.
Zur weiteren Diagnostik wurde eine Computertomografie angefertigt und zur histologischen Sicherung eine Probebiopsie in regio 38 in Lokalanästhesie durchgeführt. Die histopathologische Begutachtung des mit dem Trepanbohrer entnommenen Knochenzylinders zeigt, dass ein komplexes Odontom vorlag.
Die Therapie der Wahl bei Odontomen stellt die Enukleation dar. Aufgrund der Ausdehnung der Raumforderung und der Nähe zum N. alveolaris inf. entschieden wir uns dazu, eine 3-D-virtuelle Operationsplanung durchzuführen. Anhand des zuvor angefertigten Computertomogramms erstellten wir eine Resektionsschablone im CAD/CAM-Verfahren, um so eine Kontinuitätserhaltung zu garantieren. Weiterhin erfolgte die CAD/CAM-Fertigung einer Rekonstruktionsosteosyntheseplatte (Abbildungen 2 bis 4).
Operatives Verfahren
Der Eingriff erfolgte über einen submandibulären Zugang in Intubationsnarkose. Intraoperativ zeigte sich eine starke Auftreibung der Kortikalis des Ramus ascendens. Der aufsteigende Unterkieferast wurde nahezu vollständig subperiostal dargestellt, das anhängende Weichgewebe mit dem Raspatorium gelöst. Die Resektionsschablone wurde eingebracht und die geplante Schnittführung mit dem Piezo markiert.
Anschließend wurde die Resektionsschablone wieder entfernt und der N. alveolaris inferior ebenfalls mit dem Piezo aus seinem Bett herausgelöst und nach lateral neurolysiert. Erst danach erfolgte die vollständige Resektion des Tumors entsprechend der Resektionsmarkierung. Der Tumor konnte en bloc entfernt werden (Abbildung 5).
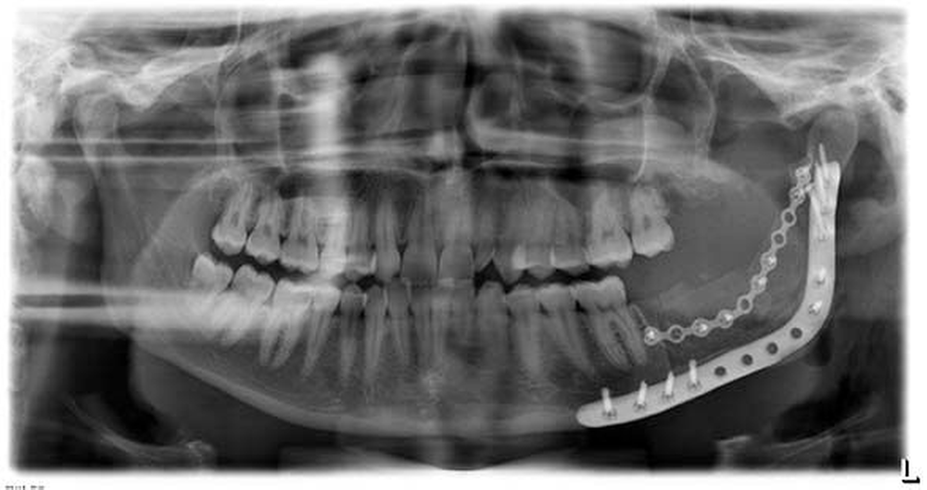
Der N. alveolaris inf. wurde zurück in sein ursprüngliches Bett verlagert und mit Fibrinkleber bedeckt. Nun erst wurde die Rekonstruktionsosteosyntheseplatte eingebracht und entsprechend der Planung verschraubt. Zur Augmentation des resektionsbedingten Knochenverlusts erfolgte die Transplantation zweier kortikospongiöser Beckenkammspäne von der rechten Spina iliaca anterior in den Defekt. Die Knochenblöcke wurden mit einer konventionellen Osteosyntheseplatte fixiert (Abbildung 6).
Der Zahn 37 befand sich in unmittelbarer Nähe zum Resektionsrand. Ein Versuch, den Zahn zu erhalten, hätte eine vollständige Exposition der distalen Wurzel bedeutet, so dass stattdessen die Extraktion erfolgte. Der Bereich der Extraktionsalveole stellte die einzige Verbindung der Wundfläche zur Mundhöhle dar, die lokal plastisch verschlossen werden konnte. Der nicht erhaltungswürdige Zahn 28 wurde anschließend auf Patientenwunsch ebenfalls entfernt.
Der postoperative Verlauf gestalte sich unauffällig. Nach fünf Tagen konnte die Patientin in die ambulante Nachsorge entlassen werden. Im Rahmen einer Nachsorgeuntersuchung sechs Monate postoperativ zeigte sich eine regelrechte Funktion des N. alveolaris inferior beidseits.
Diskussion
Odontome werden gemäß der WHO-Klassifikation der maxillofazialen Knochentumoren als gutartige, gemischt epithelial-mesenchymale odontogene Tumoren betrachtet [Baumhoer, 2018]. Odontogene Tumoren zeigen eine Inzidenz von unter 0,1 Prozent. Mit einem Anteil von 20 bis 67 Prozent stellt das Odontom einen der häufigsten odontogenen Tumoren dar [Troeltzsch et al., 2012]. Die Diagnose wird meist – aufgrund von Symptomfreiheit bei langsamem Wachstum – erst zufällig radiologisch gestellt [Boffano et al., 2012].
Odontome lassen sich klinisch und histopathologisch in zwei Arten unterteilen: Das Compound Odontom enthält multiple unstrukturierte zahnähnliche Gebilde. Das komplexe Odontom enthält unregelmäßig angeordnete, aber gut ausgebildete Zahnbestandteile und kann sich als ausgedehnte radioopake Masse darstellen. Die genaue Ätiologie ist unklar – Trauma, Entzündungen und genetische Prädispositionen werden als Auslöser diskutiert [Kämmerer et al., 2015].
Die Therapie der Wahl, unabhängig von der Art des Odontoms, stellt die Enukleation dar. Bei Symptomfreiheit oder bei erhöhtem Risiko für eine operative Schädigung umliegender Strukturen kann auch eine „watch and wait“-Strategie befolgt werden. Die Prognose nach vollständiger Enukleation ist gut und ein rezidivierendes Auftreten ist nicht bekannt [Bassetti et al., 2016].
Die computerassistierte Chirurgie ermöglicht eine präzise, 3-D-unterstützte Operationsplanung und kann im Fall von ausgedehnten Befunden eine vorhersagbar durchzuführende Operation ermöglichen. Im vorliegenden Fall konnte das Ausmaß der Resektion auf ein Minimum beschränkt werden; somit konnten sowohl die Unterkieferkontinuität als auch die Sensibilität des N. alveolaris inf. erhalten werden.
Durch die Anfertigung einer CAD/CAM-gefertigten Rekonstruktionsplatte kann eine ideale Positionierung und Passung des Osteosynthesematerials garantiert werden, was die Operationszeit verkürzen und postoperativen Komplikationen, zum Beispiel einer Plattenexposition, durch mangelhafte Passung entgegenwirken kann.
Fazit für die Praxis
Odontome sind gutartige, langsam und verdrängend wachsende Neoplasien, die aufgrund von Symptomfreiheit meist erst zufällig im Orthopantomogramm entdeckt werden.
Die Enukleation stellt die Therapie der Wahl dar.
Da sich die Therapie von Odontomen und anderen odontogenen Tumoren insbesondere im Umfang des chirurgischen Sicherheitsabstands unterscheidet, empfiehlt sich die initiale Durchführung einer Probebiopsie.
Bei ausgedehnten Befunden und unmittelbarer Nähe zu umliegenden Strukturen wie etwa dem N. alveolaris inf. kann eine computerassistierte Operationsplanung empfehlenswert sein, um das Resektionsausmaß und damit verbundene Komplikationen so gering wie möglich zu halten.
Eine 3-D-Planung ist nicht immer nötig
Bei unkritischer Lage des Tumors ist eine computerassistierte Operationsplanung nicht nötig. Das zeigt der folgende Patientenfall.
Abb. 8: Orthopantomogramm präoperativ
Eine 53-jährige Patientin stellte sich in unserem Klinikum vor und klagte über ein zunehmendes Druckgefühl im Bereich der linken Kieferhöhle sowie rezidivierende Sinusitiden. Ein durch den Hauszahnarzt angefertigtes Orthopantomogramm (Abbildung 8) sowie eine in domo angefertigte digitale Volumentomografie (Abbildung 9) zeigten eine umfangreiche Verschattung im Bereich der Maxilla und des Sinus maxillaris links. Der retinierte Zahn 28 zeigte sich durch die Raumforderung bis weit nach kranial verdrängt.
Abb. 9: DVT präoperativ
Klinisch zeigten sich reizlose Schleimhäute, es fiel jedoch eine Auftreibung von Maxilla und Tuber in regio 28 auf. Eine faziale Asymmetrie bestand nicht. Anamnestisch berichtete die Frau, dass die Raumforderung bereits vor mehr als 30 Jahren erstdiagnostiziert worden war, sie eine chirurgische Therapie zum damaligen Zeitpunkt jedoch abgelehnt hatte. Röntgenaufnahmen der initialen Diagnosestellung lagen leider nicht mehr vor, das Ausmaß der Raumforderung sei jedoch der Patientin zufolge weitaus geringer gewesen.
Zur histologischen Sicherung erfolgte die Entnahme einer Probebiopsie in regio 28 in Lokalanästhesie. Die histopathologische Begutachtung des mit dem Trepanbohrer entnommenen Knochenzylinders ergab das Vorliegen eines komplexen Odontoms.
Bei unkritischer Tumorlage wurde in diesem Fall auf eine 3-D-unterstützte Operationsplanung verzichtet. Der Eingriff erfolgte über einen transoralen Zugang in Intubationsnarkose. Intraoperativ zeigte sich eine starke Auftreibung der Kortikalis im Bereich der Maxilla und des Tubers links. Mit dem piezochirurgischen Instrument erfolgte die Resektion entlang der Auftreibung im anterioren und kranialen Bereich. Posterior erfolgte die Absetzung mit dem gebogenen Meißel, so dass die Raumforderung schließlich in toto enukleiert werden konnte (Abbildung 10).
Abb. 10: Resektat: Die Raumforderung konnte in toto geborgen werden, die Wurzelspitze des verdrängten Zahnes 28 ist an der rechten Resektatspitze erkennbar.
Abb. 11: Videoendoskopische Inspektion des Tumorbetts: Kranial zeigt sich eine MAV, das Bichat’sche Wangenfett wölbt sich im Bild rechts bereits über die MAV.
Der postoperative Verlauf gestaltete sich unauffällig. Nach drei Tagen konnte die Patientin in die ambulante Nachsorge entlassen werden.
Abb. 12: Postoperatives Orthopantomogramm
Literaturliste
Baumhoer, D., Odontogene Tumoren und Knochentumoren der Kieferregion. Pathologe39, 35–41 (2018).
Troeltzsch M, Liedtke J, Troeltzsch V, Frankenberger R, Steiner T, Troeltzsch M., Odontoma-associated tooth impaction: accurate diagnosis with simple methods? Case report and literature review. J Oral Maxillofac Surg. 2012 Oct;70(10):e516-20. doi: 10.1016/j.joms.2012.05.030. Epub 2012 Aug 9. PMID: 22883320.
Boffano P, Zavattero E, Roccia F, Gallesio C., Complex and compound odontomas. J Craniofac Surg. 2012 May;23(3):685-8. doi: 10.1097/SCS.0b013e31824dba1f. PMID: 22565876.
Kämmerer PW, Schneider D, Schiegnitz E, Schneider S, Walter C, Frerich B, Kunkel M., Clinical parameter of odontoma with special emphasis on treatment of impacted teeth-a retrospective multicentre study and literature review. Clin Oral Investig. 2016 Sep;20(7):1827-35. doi: 10.1007/s00784-015-1673-3. Epub 2015 Nov 27. PMID: 26612404.
Bassetti R, Tomasetti P, Crameri M, Kuttenberger J., Benigner odontogener Tumor im Unterkiefer. Ein Fallbericht [Benign odontogenic tumor in the lower jaw: A case report]. Swiss Dent J. 2016;126(4):361-70. French, German. PMID: 27142310.










