Chirurgische Aspekte
In der Akutphase des Traumas gilt – insbesondere für den unerfahrenen Zahnarzt – das Prinzip „Less is more“. Nur das Notwendige wird erledigt (zum Beispiel Abdeckung einer eröffneten Pulpa, Reposition eines dislozierten Zahnes, Replantation eines avulsierten Zahnes, Adaptation von denudiertem Weichgewebe), das Zeitaufwendige wird zurückgestellt (zum Beispiel endodontische Versorgung, Füllung, aufwendige Entfernung eines komplex zertrümmerten Zahnes).
Fortbildungsreihe zur neuen S2k-Leitlinie „Therapie des dentalen Traumas bleibender Zähne“
Als interdisziplinäres Fach ist die zahnärztliche Traumatologie auf ein fundiertes Wissen in verschiedenen Disziplinen der Zahnmedizin angewiesen. Gerade in komplexen Fällen müssen Entscheidungen auch außerhalb der eigenen therapeutischen Komfortzone getroffen werden. Daher ist es für viele Behandler sehr hilfreich, wenn sie auf aktuelle evidenzbasierte Therapieempfehlungen zurückgreifen können. Die im Oktober 2022 publizierte S2k-Leitlinie „Therapie des dentalen Traumas bleibender Zähne“ wurde unter Beteiligung zahlreicher Fachgesellschaften grundlegend aktualisiert und ergänzt. In fünf Fortbildungsbeiträgen werden die verschiedenen Aspekte der zahnärztlichen Therapie vorgestellt:
Teil 1: Dentales Trauma: Diagnostik, Dokumentation und Nachsorge (zm 9/2023)
Teil 4: Dentales Trauma: Chirurgische Aspekte (zm 11/2023)
Teil 5: Dentales Trauma: Kieferorthopädische Aspekte (zm 11/2023)
So sollten lockere Zahnfragmente bei Kronen-Wurzel-Frakturen mittels Schiene zunächst refixiert werden, was gute ästhetische Dienste leisten kann. Auch die Entscheidung zur Entfernung eines traumatisierten Zahnes kann in der Notfallsituation oftmals aufgeschoben werden, was eine mögliche notwendige Weichgewebsrekonstruktion erheblich erleichtert und alle Beteiligten vom Zeitdruck befreit.
Diese konservative Vorgehensweise wird von Patienten und Angehörigen im Übrigen sehr geschätzt, die sich in der Regel noch in einem Zustand der Aufregung befinden. Nach der Abschwellung der Weichteile sowie der Beruhigung von Patienten und Angehörigen kann bis zum dritten oder vierten posttraumatischen Tag der weitere Behandlungsplan stressfrei überlegt und besprochen werden.
Avulsion und Replantation
Die Diagnose „Avulsion“ beschreibt die vollständige Dislokation eines Zahnes aus der Alveole [Andreasen, 1972]. Diese Diagnose erfordert die solide anamnestische Befragung sowie die umfassende klinische und röntgenologische Untersuchung. Kann eine andere Art traumatischer Zahnverletzung ausgeschlossen werden, sind diese Aspekte aus klinischer Sicht zu beachten, um die Prognose des betroffenen Zahnes zu verbessern:
Austrocknung oder mechanische Schädigung der Zahnwurzel-Oberfläche vermeiden
möglichst zeitnahe Replantation des Zahnes anstreben
vorzugsweise zellphysiologische Lagerung (Zahnrettungsbox)
alternative Lagerung (nach Prognose in absteigender Reihenfolge): Alveolenfach, (H-)Milch, isotone Kochsalzlösung, Mundspeichel [Fouad et al., 2020; Osmanovic et al., 2018]
Tetanusschutz abklären
Diese Maßnahmen verfolgen unter anderem das Ziel, die desmodontalen Zellen auf der Wurzeloberfläche avulsierter Zähne vital zu halten. Die Vitalität dieser Zellen erhöht die Zahnüberlebensrate der Zähne erheblich, weswegen sich eine kürzere extraorale Verweildauer und ein optimales Transportmedium positiv auf die Prognose auswirken können [Lekic et al., 1996]. Im Rahmen der Leitlinienarbeit erging daher eine entsprechende Empfehlung zur Einschätzung der Vitalität der desmodontalen Zellen, die mit starkem Konsens verabschiedet wurde:
Bei zeitnaher Replantation oder kurzer extraoraler Verweildauer (< 60 Minuten) sind die PDL-Zellen des avulsierten Zahnes sehr wahrscheinlich vital.
Bei unphysiologischer Lagerung (Trockenlagerungszeit > 60 Minuten) sind die PDL-Zellen sehr wahrscheinlich nicht mehr vital.
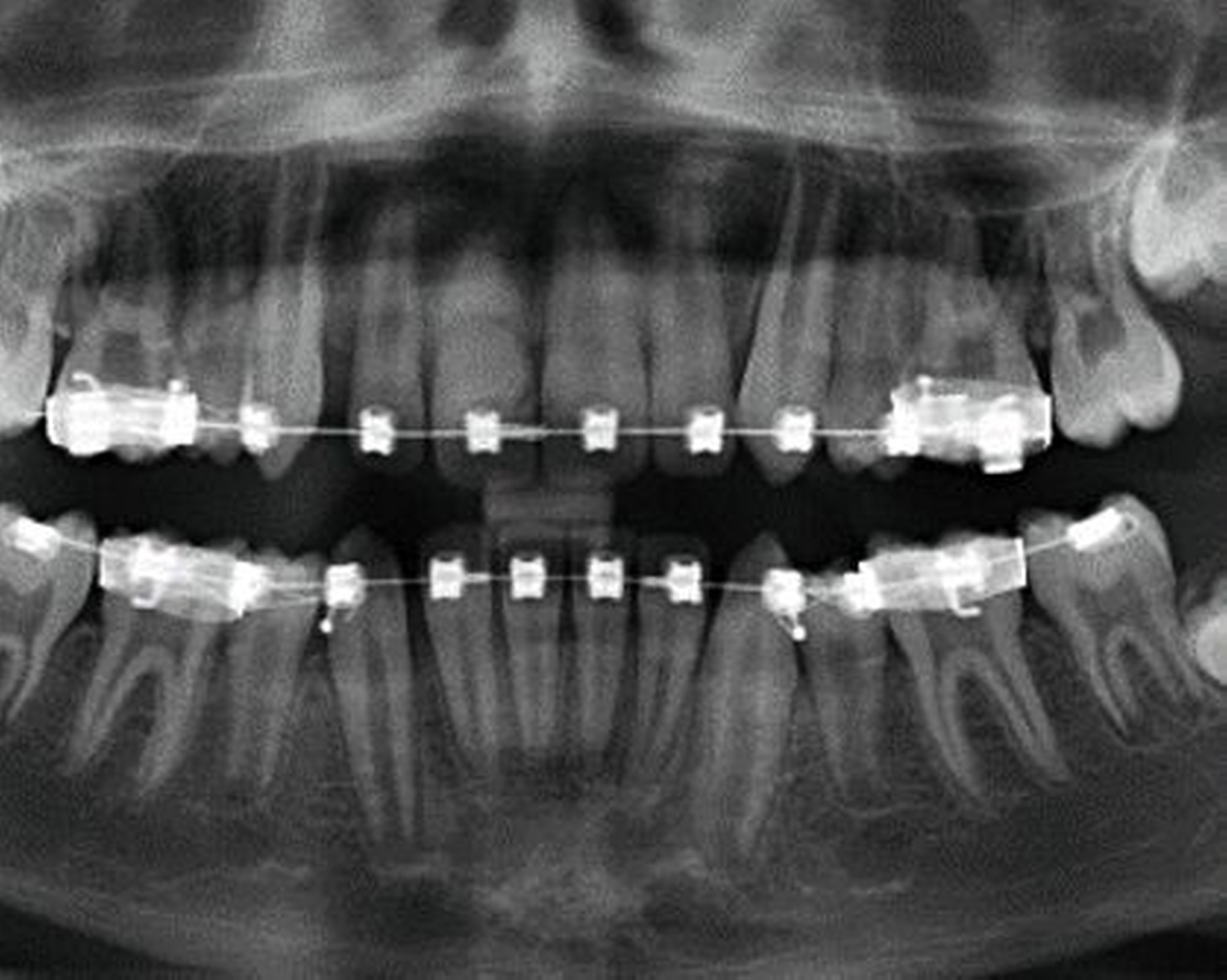
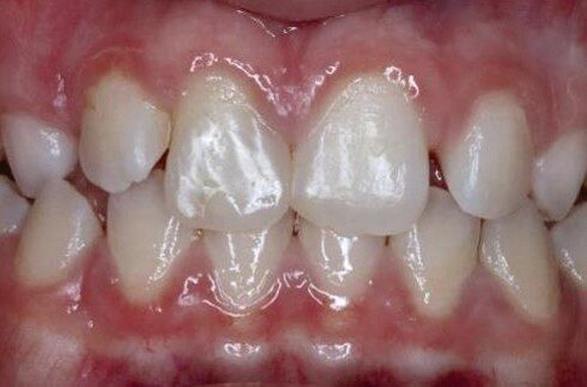
Nach der Einschätzung der Zellvitalität auf der oben genannten Basis folgt die therapeutische Intervention im Sinne der Replantation des betroffenen Zahnes in die gespülte Alveole (vorsichtige Entfernung des Blutkoagulums) mit steriler physiologischer Natriumchloridlösung. Schließlich muss die Replantation schonend erfolgen, da immer mit daran gedacht werden muss, dass es im Rahmen des Traumas zusätzlich zu einer Schädigung des Alveolarknochens gekommen sein kann (Abbildung 1). Diese Schädigung kann eine vollständige oder teilweise Alveolarfortsatzfraktur sein, die entsprechende Beachtung finden sollte. Im Anschluss erfolgt die Schienung des betroffenen Zahnes an den Nachbarzähnen. Dabei sollte ein Zeitraum von ein bis drei Wochen eingeplant werden (Tabelle 1).
Die Replantation sollte langsam und mit wenig Druck erfolgen, um eine zusätzliche Schädigung des Wurzelzements zu vermeiden. Anschließend sollte eine flexible Schienung des Zahnes erfolgen (Empfehlung 50) [Kahler et al., 2016].
Grundsätzlich muss darauf geachtet werden, ob die Wurzelbildung des betroffenen Zahnes bereits abgeschlossen ist oder nicht. In diesem Zusammenhang sind anschließend die weiteren therapeutischen Interventionen zu planen. Das betrifft vor allem die sorgfältige Planung von Beginn an sowie die Vorgehensweise der Wurzelkanaltherapie und des strukturierten Nachsorgeregimes.
Die Wurzelkanalbehandlung von replantierten avulsierten Zähnen mit geschlossenem Apex sollte unmittelbar vor der Schienenentfernung innerhalb von sieben bis zehn Tagen nach dem Trauma eingeleitet werden (Empfehlung 52).
Therapie bei posttraumatischer Ankylose und Zahnverlust
Biologie des Kieferwachstums
Zwischen dem 12. und dem 20. Lebensjahr erfährt der Alveolarfortsatz in der oberen Front ein Vertikalwachstum von bis zu 10 mm. Dieses Wachstum gleicht eine Bissöffnung aus, die aus der Eruption der zweiten Molaren und der individuellen muskulären Architektur und Funktion resultiert und vom pubertalen Wachstumsspurt angetrieben wird. Nach Proffitt wird das Vertikalwachstum des Alveloarfortsatzes im PDL generiert. Die extrazelluläre Fertigstellung des Kollagens entspricht einem Polymerisationsvorgang, der naturgemäß eine Schrumpfung beinhaltet. Aus dem Zusammenwirken aller Schrumpfungskräfte ergibt sich eine lebenslange Eruption. Der Zahn eruptiert damit auf Basis der stetigen Neubildung seiner Sharpey‘schen Fasern und „zieht dabei den Alveolarknochen hinter sich her“ [Proffitt, 1993]. Dieser Vorgang nimmt auch noch im dritten Lebensjahrzehnt, insbesondere bei Frauen, ein ästhetisch relevantes Ausmaß ein.
Während des Wachstums führt eine zunehmende Ankylose-bedingte Infraposition zu biologischen, funktionellen und ästhetischen Einbußen. Bei Patienten nach Abschluss des Wachstums kann die Ankylose als langfristiges Therapieergebnis akzeptabel sein, insofern diese nicht so weit fortgeschritten ist, dass die Gefahr einer Zahnfraktur oder einer Infektion aufgrund der Verbindung zwischen Resorptionsprozess und gingivalem Sulkus besteht (Empfehlung 58).
Was tun bei Ankylose?
Nach dem Wachstumsabschluss ist eine Ankylose (Ersatzresorption) des traumatisierten Zahnes als langfristiges Therapieergebnis akzeptabel. In der Regel wird die Zahnwurzel im Verlauf von drei bis 15 Jahren durch Alveolarknochen ersetzt, was eine spätere Implantation beim Erwachsenen an Ort und Stelle erleichtert. Während des Wachstums hingegen ist eine Ankylose mit funktionellen und ästhetischen Einbußen (Infraposition wegen des defizitären vertikalen Knochenwachstums) nicht erwünscht.
Mittelfristig kommt es beim Jugendlichen durch das Fortschreiten der Ersatzresorption zum vorhersagbaren (sekundären) Zahnverlust. Die erfolgreiche Therapie der posttraumatischen Ankylose im jugendlichen Gebiss stellt eine schwierige Aufgabe dar und setzt die interdisziplinäre Zusammenarbeit von MKG-/Oralchirurg, Zahnarzt und Kieferorthopäde im Hinblick auf die spätere definitive Versorgung voraus.
Dabei kommt dem richtigen „Timing“ (Zeitfenster) eine entscheidende Bedeutung für die erfolgreiche Therapie der posttraumatischen Ankylose zu. Im frühen Wechselgebiss (7. bis 12. Lebensjahr) mit Durchbruch der ersten Molaren sowie der ersten und zweiten bleibenden Schneidezähne scheidet eine aktive Bewegung der Nachbarzähne etwa für einen kieferorthopädischen Lückenschluss in der Regel aus.
Danach folgt eine Pause von bis zu 1,5 Jahren, bevor die zweite Phase des Zahnwechsels (spätes Wechselgebiss) beginnt. Nach dem Durchbruch von Prämolaren und Eckzähnen (12. bis 14. Lebensjahr) können dann die Kollegen der Kieferorthopädie tätig werden. Die verschiedenen zur Verfügung stehenden Therapieoptionen sind in Tabelle 2 nach therapeutischem Zeitfenster geordnet dargestellt [Nolte et al. 2022].
Dekoronation
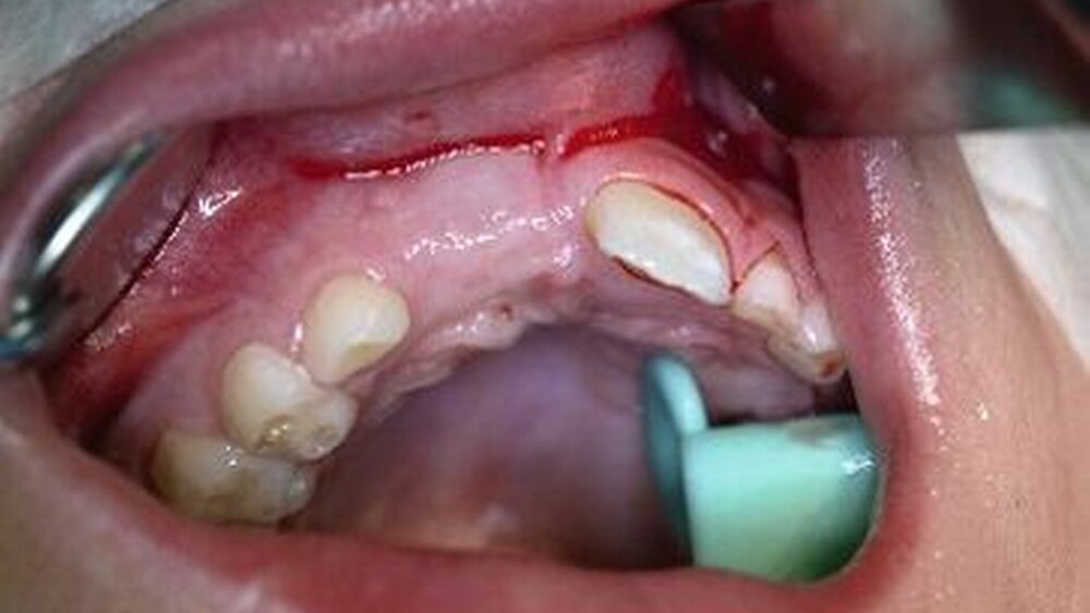
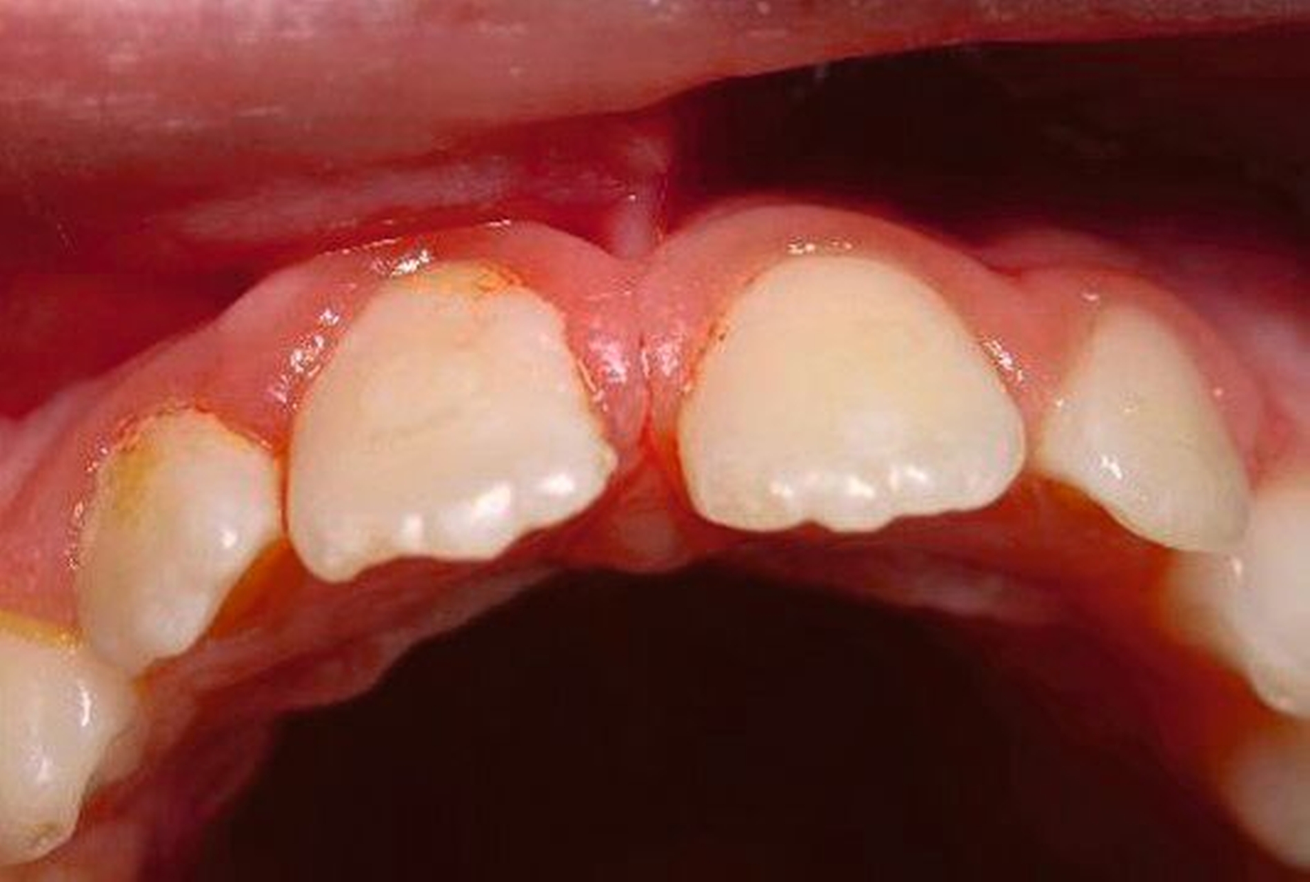
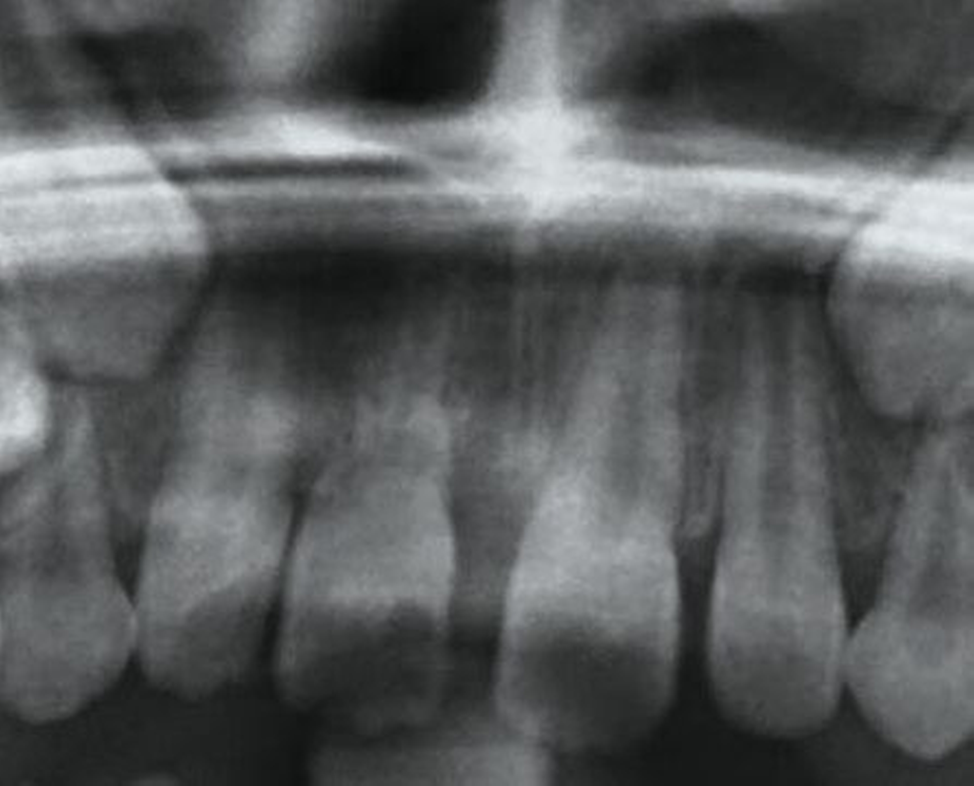
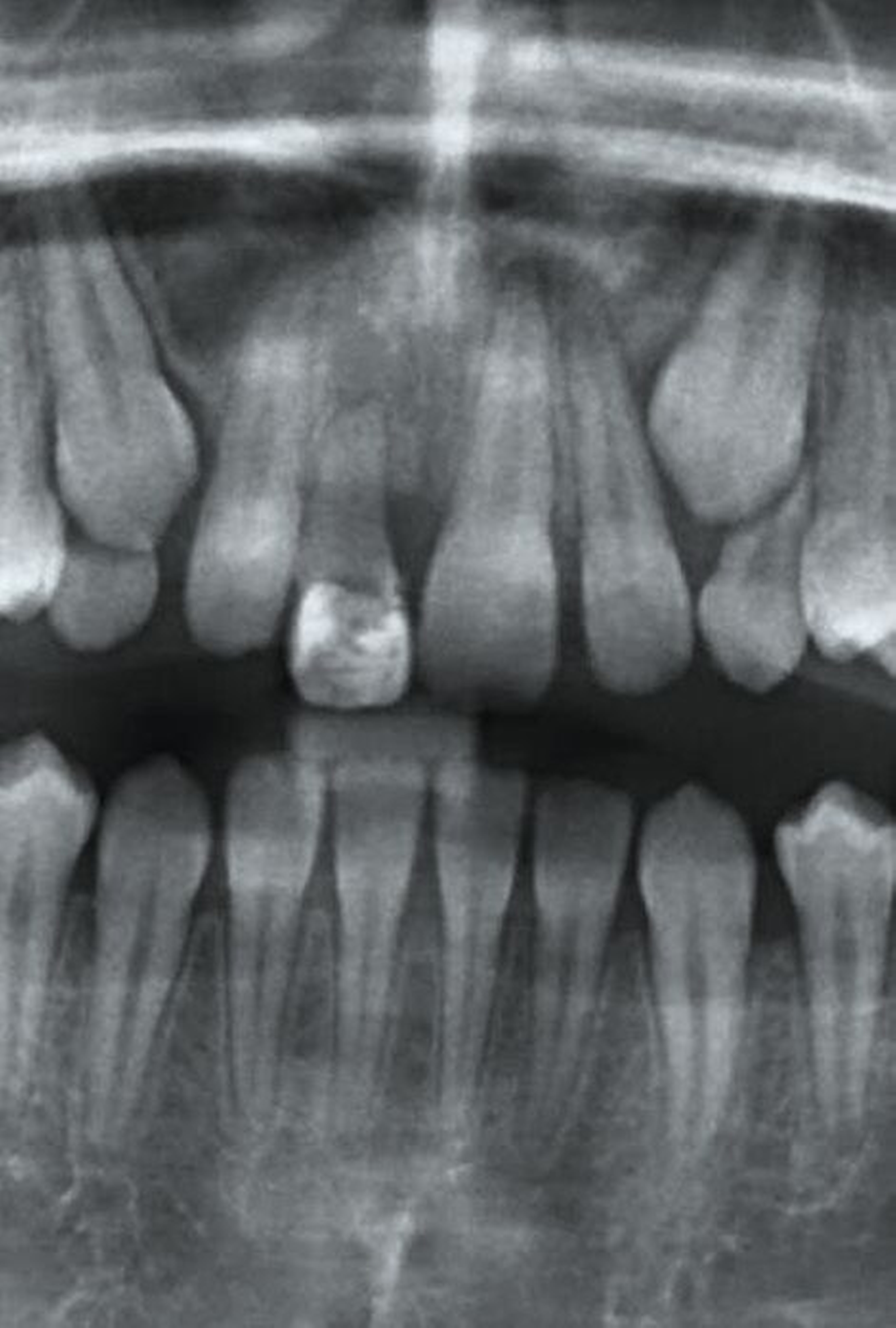
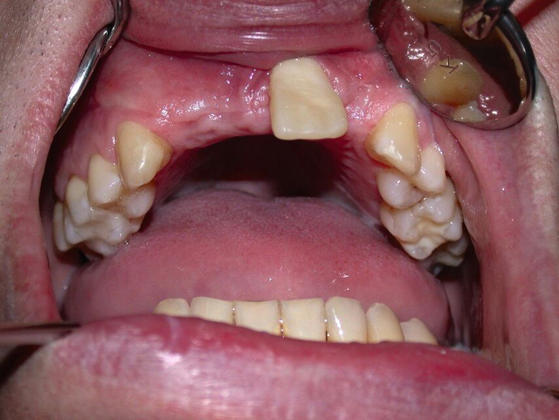
Eine Dekoronation ist eine chirurgische Intervention, die durchgeführt werden kann, wenn aufgrund ausgeprägter Schädigungen der desmodontalen Zellen und der Wurzeloberfläche eine Resorption auftritt. Im Rahmen der klinischen Untersuchung imponiert der betroffene Zahn aufgrund der Ankylose mit einem metallischen (hellen) Klopfschall. Röntgenologisch lassen sich Resorptionslakunen an der Wurzeloberfläche erkennen. Bei progressiver Resorption und Infraposition des betroffenen Zahnes in Relation zur Restdentition kann eine Dekoronation indiziert sein [Malmgren et al., 2015] (Abbildung 2).
Das Ziel der Dekoronation ist es, die klinische Krone unter Belassung der resorbierenden Wurzel zu entfernen, damit der Alveolarknochen aufgrund der Knochenneubildung bei Ersatzresorption erhalten und eine optimale Voraussetzung für spätere Interventionen gegeben werden kann [Malmgren et al., 2006]. Bei Patienten im Wachstum kann die Dekoronation eine sinnvolle Therapieoption darstellen, um den teils erheblichen Knochenverlust in Verbindung mit der chirurgischen Entfernung der ankylosierten Zahnwurzel zu vermeiden (Empfehlung 60).
Chirurgische Anluxation
Die chirurgische Anluxation ankylosierter Zähne ist als Therapieoption für Fälle beschrieben worden, in denen ein in Infraposition geratener, erhaltungswürdiger ankylosierter Zahn bei noch zu erwartendem Kieferwachstum wieder in Okklusionsposition gestellt werden soll [Huth et al., 2013; Nolte, 2022]. Voraussetzung für diese Maßnahme ist, dass die Zahnkrone und die Zahnwurzel noch nicht durch die Ersatzresorption aufgelöst sind.
Die Technik findet auch Anwendung bei Eruptionsstörungen von Zähnen, wenn die kieferorthopädische Bracketierung und die Extrusion von verlagerten Zähnen ohne Erfolg waren. Sie darf begrifflich nicht verwechselt werden mit der Technik der chirurgischen Extrusion, auch als intraalveoläre Transposition bezeichnet, bei der nach einer Kronen-Wurzel-Fraktur mit dem Verlust des koronalen Anteils die Restwurzel extrahiert, replantiert und in einer weiter koronal gelegenen Position wieder geschient wird [Plotino et al., 2021]. Die chirurgische Extrusion wird in Teil 3 „Restaurative Aspekte“ dieser Fortbildungsreihe abgehandelt.
Zeitnah nach der chirurgischen Anluxation ist eine sich anschließende kieferorthopädische Extrusion in derartigen Fällen wünschenswert, weil dadurch der fehlende Alveolarknochen und die fehlende Gingiva augmentiert werden können. Nichtsdestotrotz ist in der Mehrzahl der Fälle mit einer erneuten Ankylosierung und dem Fortschreiten der Ersatzgewebsresorption in der neu eingestellten Position zu rechnen.
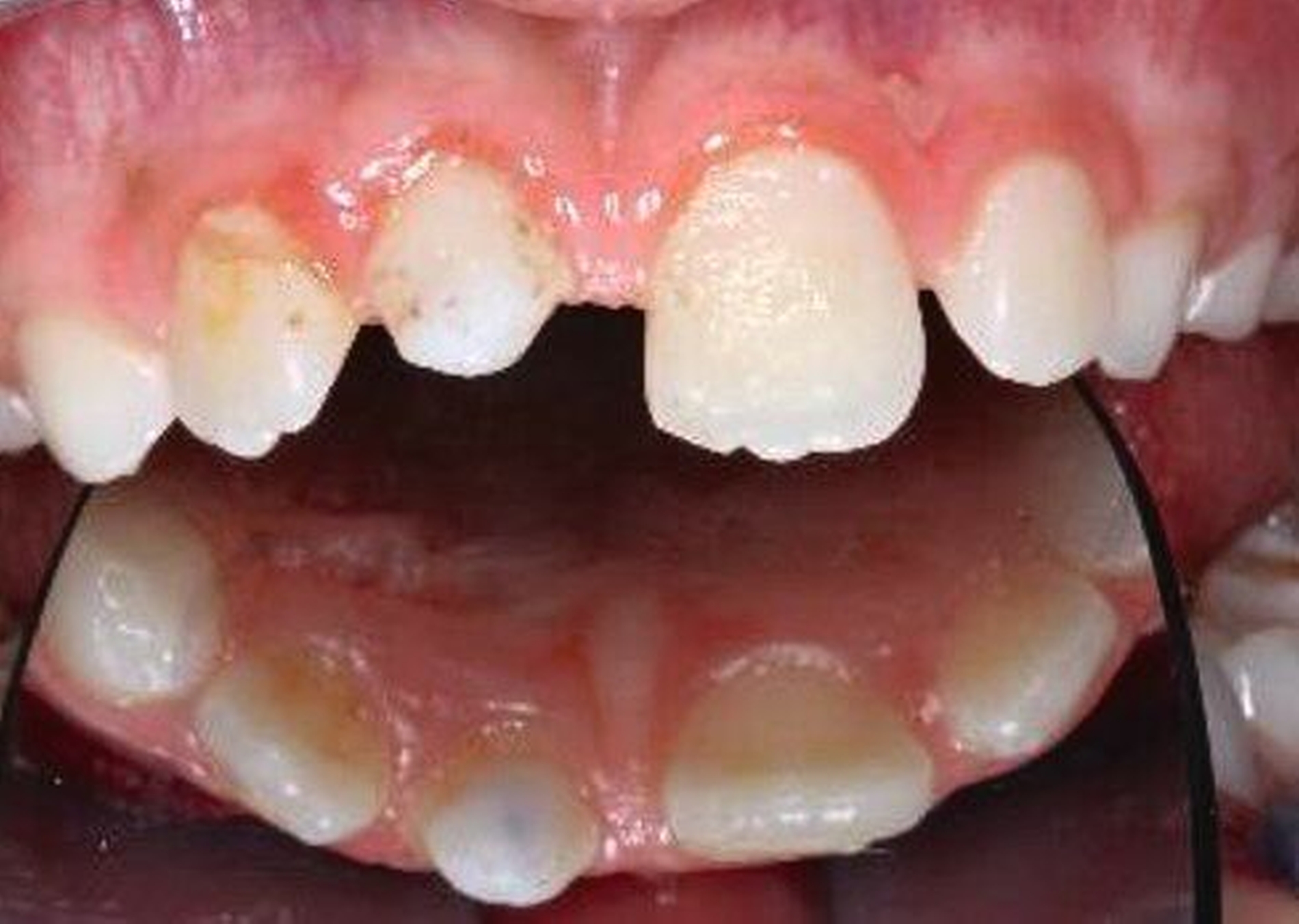
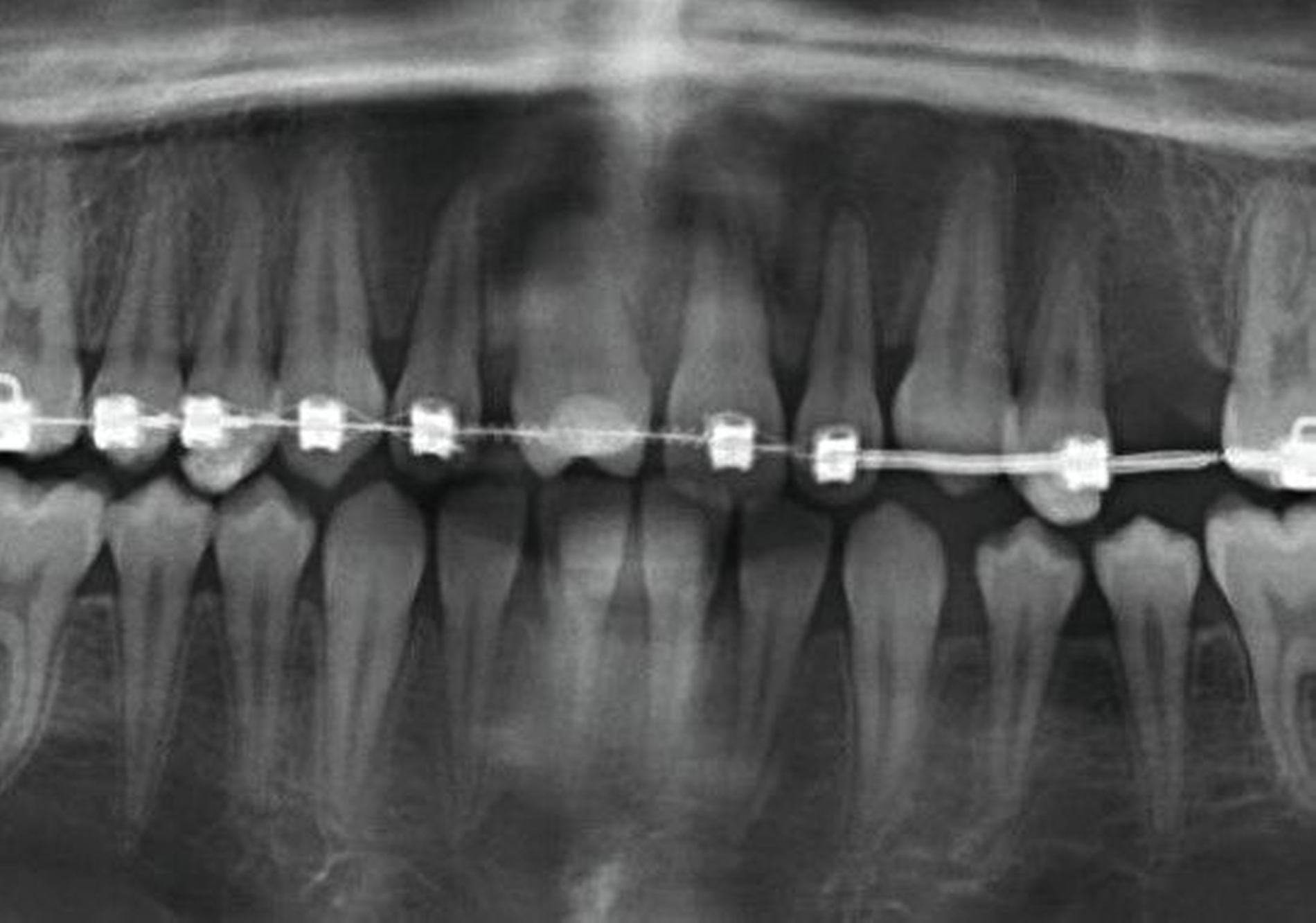
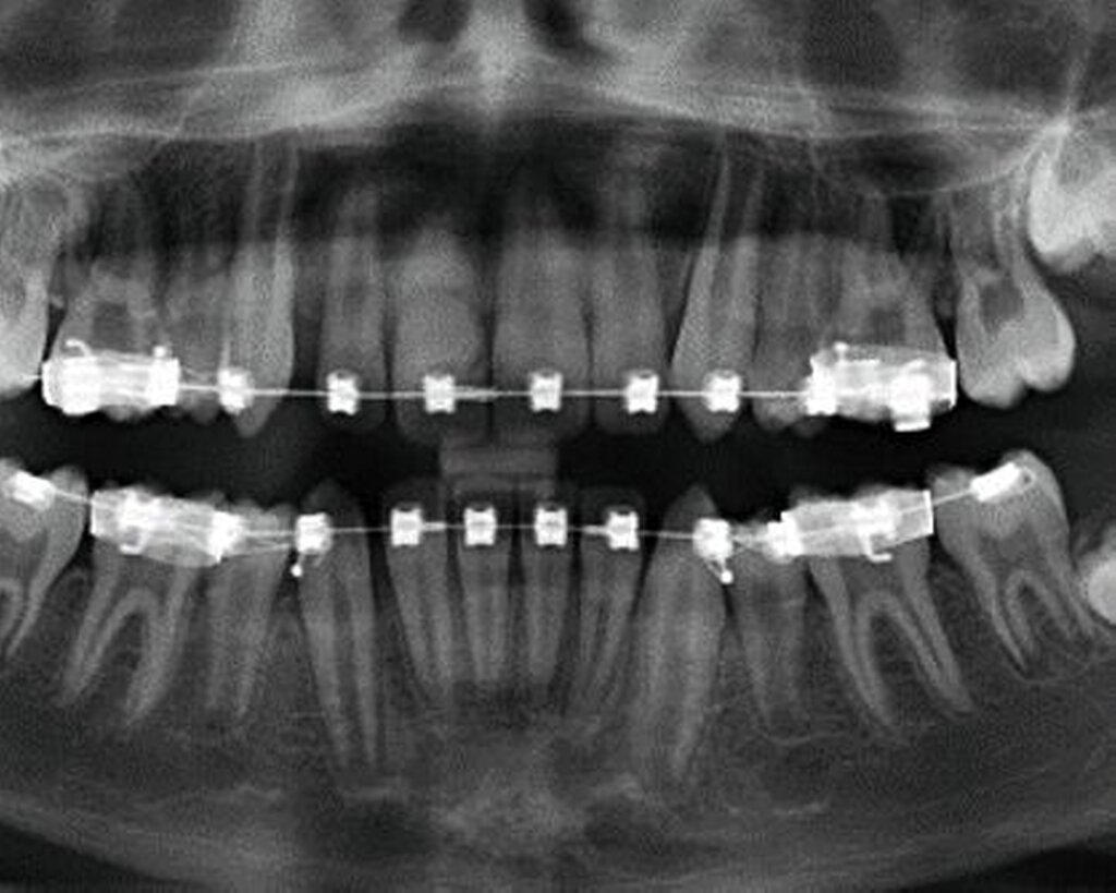
Der ankylosierte Zahn wird schonend gelöst („anluxiert“), bei Bedarf auch osteotomiert und aus seiner ursprünglichen Infraposition und/oder Verlagerung in die Okklusionsposition zum gesunden Nachbarzahn gestellt. Das Ziel dieser Maßnahme ist es, das vertikale Defizit durch die Ankylose-bedingte Wachstumshemmung aufzufangen (Abbildung 3). Je nach dem Zeitpunkt der Maßnahme und dem Verlauf kann der Zahn so vom frühen bis ins späte Wechselgebiss, in günstigen Fällen auch bis ins Erwachsenenalter, erhalten werden. Ob später ein kieferorthopädischer Lückenschluss, eine Prämolaren-Transplantation oder eine Implantation folgt, muss individuell nach der weiteren abzuschätzenden Prognose des Zahnes und nach dem Patientenwunsch entschieden werden.

Autogene Zahntransplantation
Die autogene Zahntransplantation bezeichnet das „Umsetzen“ eines Zahnes von einer Stelle auf eine andere Stelle in der Mundhöhle desselben Individuums. Ein besonderer Stellenwert kommt dieser Methode bei der Therapie der posttraumatischen Ankylose zu, die bei Berücksichtigung des idealen Zeitfensters für die Transplantation das vorhandene Knochendefizit bis zum Erreichen des Wachstumsabschlusses mit hoher Sicherheit nahezu vollständig aufholen kann [Andreasen, 2007; Pohl et al., 2008; Michl et al., 2017; Hoss et al., 2021].
Die Methode erfreut sich zunehmender Beliebtheit, weil das Verfahren einfach ist und hohe Erfolgsquoten hat (parodontal: nur selten Ankylose, endodontisch: hohe Revaskularisationsquote). Von Vorteil ist die schnelle Versorgung der Lücke mit einem natürlichen Zahn, der die alveoläre Architektur wiederherstellt.
Da ein optimales Ergebnis vom Stadium der Wurzelbildung des Transplantats abhängt (ideale Wurzellänge 2/3 bis 3/4 Wurzelwachstum) hat die Transplantation ein „Zeitfenster“. Dieses kann nach oben geöffnet werden, indem man auch Zähne mit abgeschlossenem Wurzelwachstum transplantiert [Watanabe et al., 2010; Nolte et al., 2011; Chung et al., 2014]. Allerdings wird dadurch die Notwendigkeit einer späteren Wurzelbehandlung erhöht. Nach unten lässt sich das Zeitfenster erweitern, indem man auf einen Milcheckzahn als Transplantat zurückgreift [Pohl et al., 2008; Tschammler et al., 2015, Hoss et al., 2021]. In diesem Fall entfällt das kieferorthopädische Schließen der Transplantatlücke.
Als Zwei-Phasen-Transplantationskonzept wird die Kombination aus Milchzahn-Transplantation im frühen Wechselgebiss und Prämolaren-Transplantation im späten Wechselgebiss bezeichnet [Nolte et al., 2017]. Das Besondere an dieser Methode ist, dass die traumatisierten Kinder mit Zahnverlust zeitnah ästhetisch rehabilitiert werden können und dabei das noch erhebliche, zu erwartende vertikale Wachstum des anterioren Kieferabschnitts zuverlässig unterstützt werden kann.
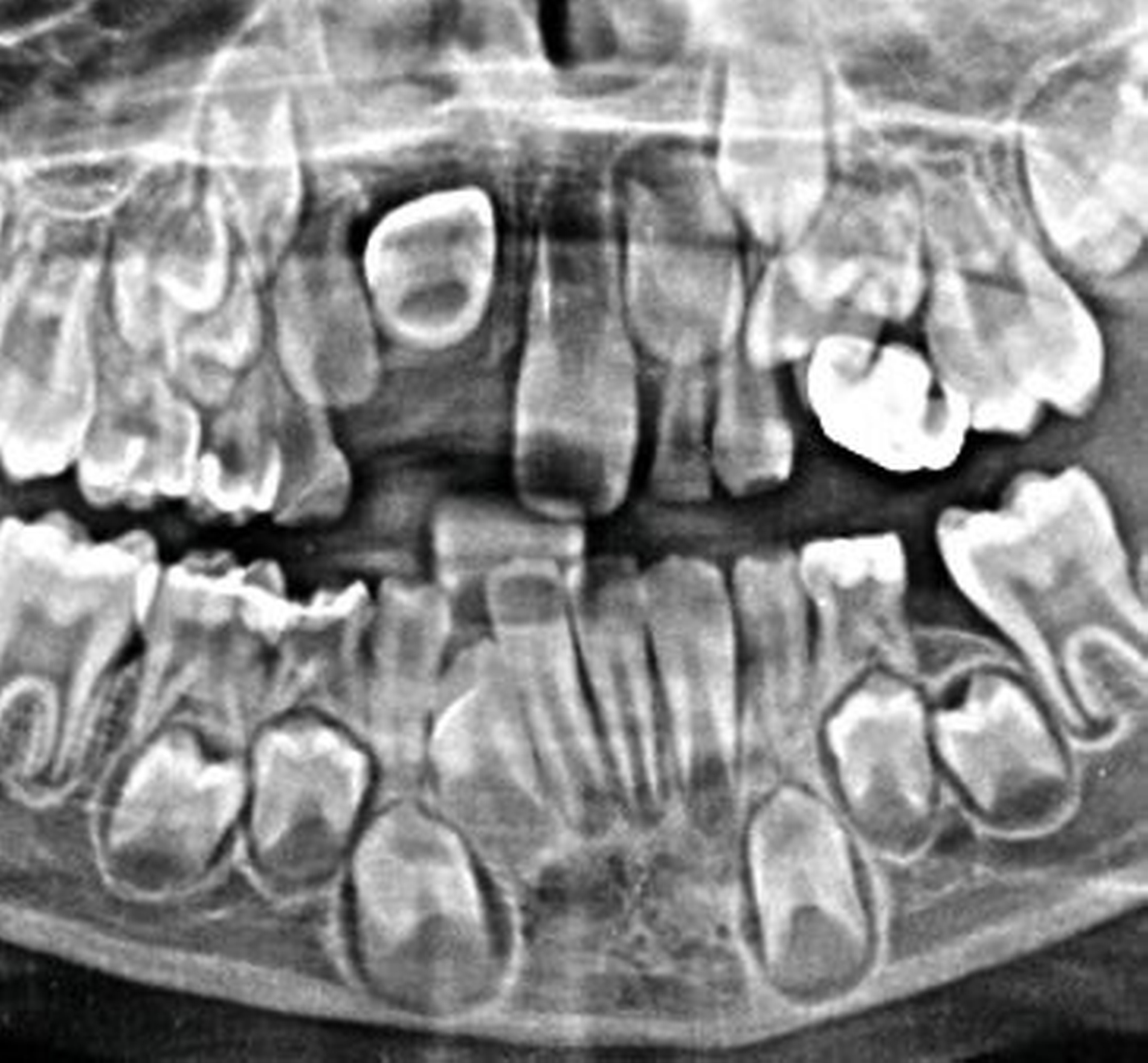
Abbildung 4 zeigt eine Milchzahn-Transplantation im frühen Wechselgebiss bei einem achtjährigen Mädchen bei nahezu vollständiger Ersatzresorption des Zahnes 11 nach Avulsion und Replantation. Trotz des sehr guten Zustands des Milchzahntransplants im Alter von zwölf Jahren entschied man sich in Rücksprache mit den Kollegen der Kieferorthopädie für die Prämolaren-Transplantation als eine zuverlässige Versorgung mit Überlebensraten von im Mittel 96,7 Prozent nach 8,75 Jahren [Akhlef et al., 2017]. Die Planung der Prämolaren-Transplantation sollte dabei immer in enger Absprache mit der Kieferorthopädie erfolgen, um zu klären, ob die Entnahme eines Prämolaren vertretbar und welche Entnahmestelle die geeignetste ist.


Zahnimplantate und dentales Trauma
Bei einer Avulsionsverletzung ist bei gesunden Zähnen der Replantation der Vorzug zu geben. Auch Zähne mit schlechter Prognose aufgrund langer extraoraler Trockenlagerungszeit sollen nach der aktuellen Leitlinie replantiert werden, weil sie mit großer Wahrscheinlichkeit ankylotisch einheilen und daher die Wurzel langsam durch Knochen ersetzt wird.
Dieser sekundär gebildete Knochen ist ein gutes Lager für Zahnimplantate oder im Wachstumsalter für ein autologes Zahntransplantat. In der Wachstumsphase sind Zahnimplantate möglichst zu vermeiden, weil aufgrund der ankylotischen Einheilung von Zahnimplantaten eine Infraposition der implantatgetragenen Restauration droht. Dies gilt insbesondere, wenn bereits vor dem pubertären Wachstumsschub implantiert wird. Zur Lückenversorgung im Wachstumsalter steht neben Provisorien die Adhäsivbrücke, der kieferorthopädische Lückenschluss oder die autologe Zahntransplantation zur Verfügung (Tabelle 2).
Zur Vorbereitung einer Implantatversorgung zu einem späteren Zeitpunkt sind im Wachstumsalter Maßnahmen förderlich, die die replantierten Zahnwurzeln und den Alveolarfortsatz über den pubertären Wachstumsschub konservierend erhalten, beispielsweise die oben erwähnte Dekoronation mit provisorischer Erhaltung der Wurzeln oder die chirurgische Anluxation ankylosierter Zähne. Im Erwachsenenalter verläuft die Ersatzresorption bei Ankylose deutlich langsamer als im Kindesalter, so dass replantierte Zähne auch nach Ankylose durchaus als eine längerfristige Versorgung angesehen werden können.
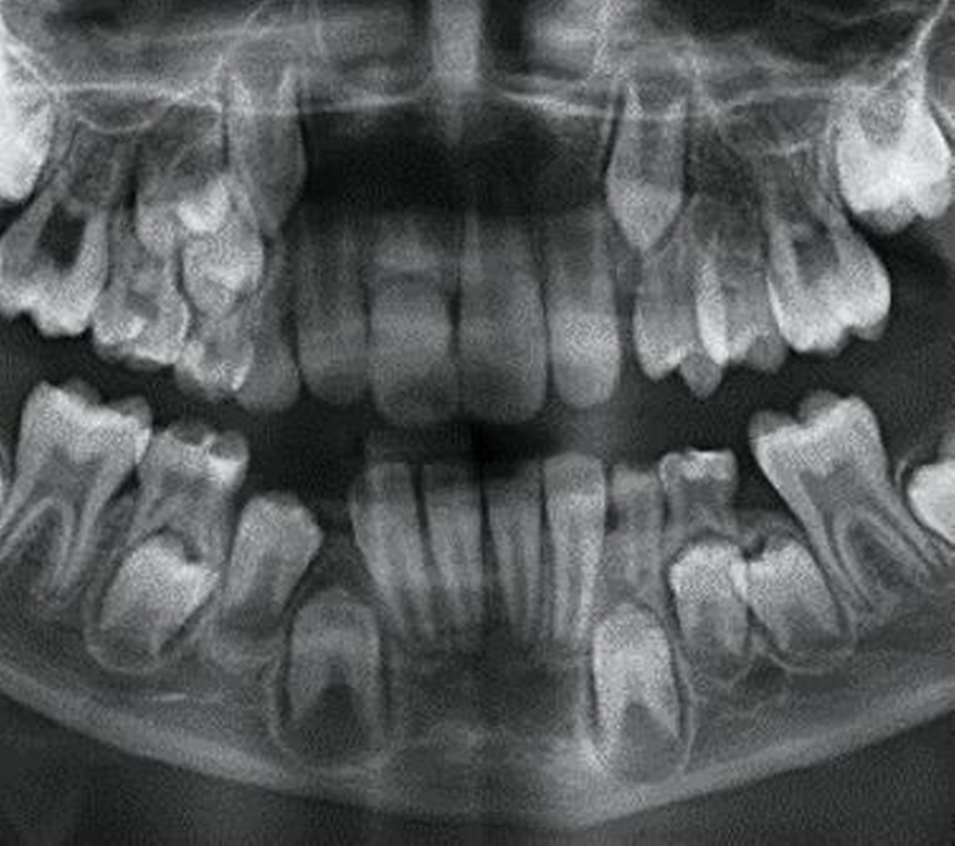
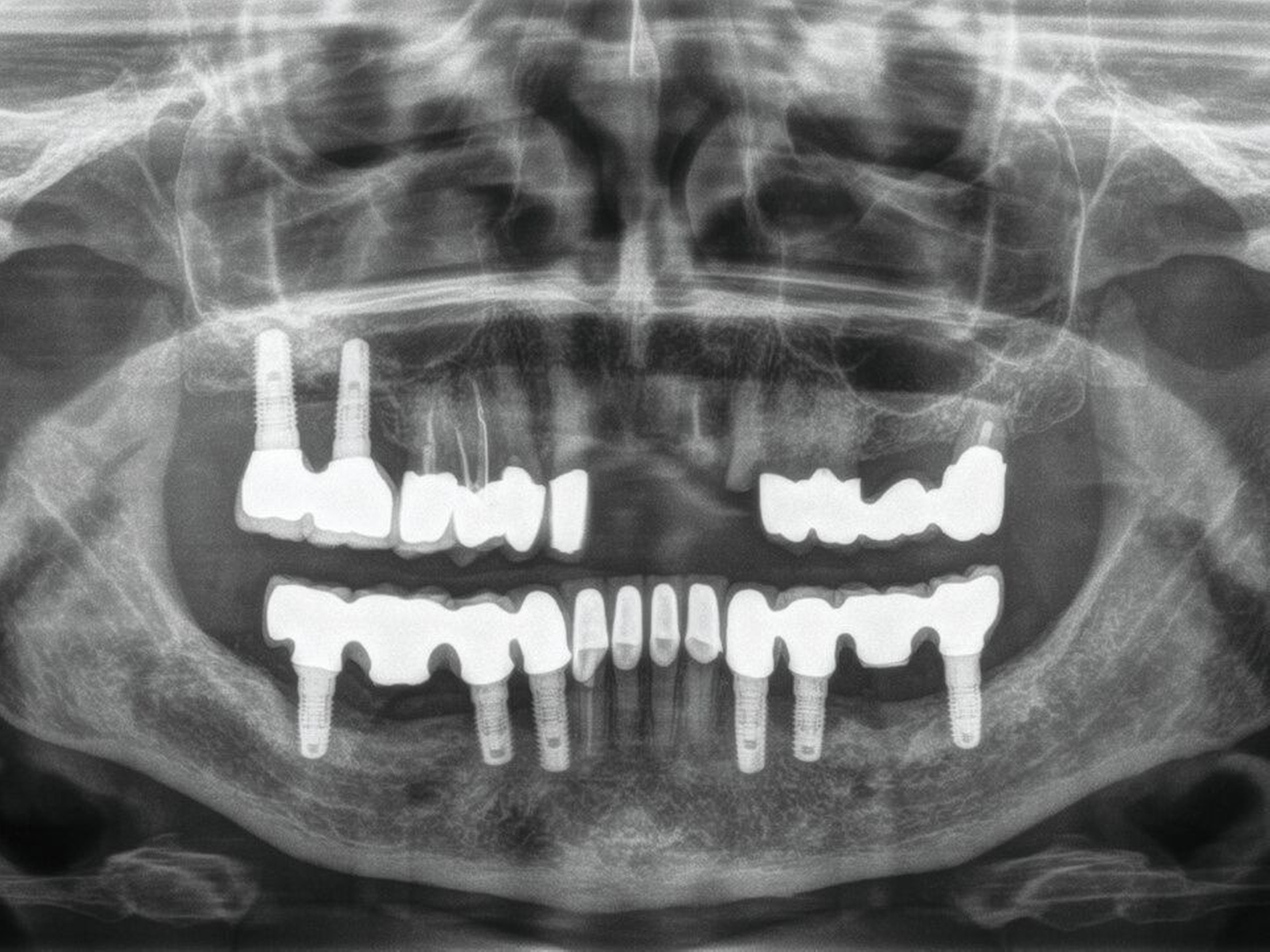
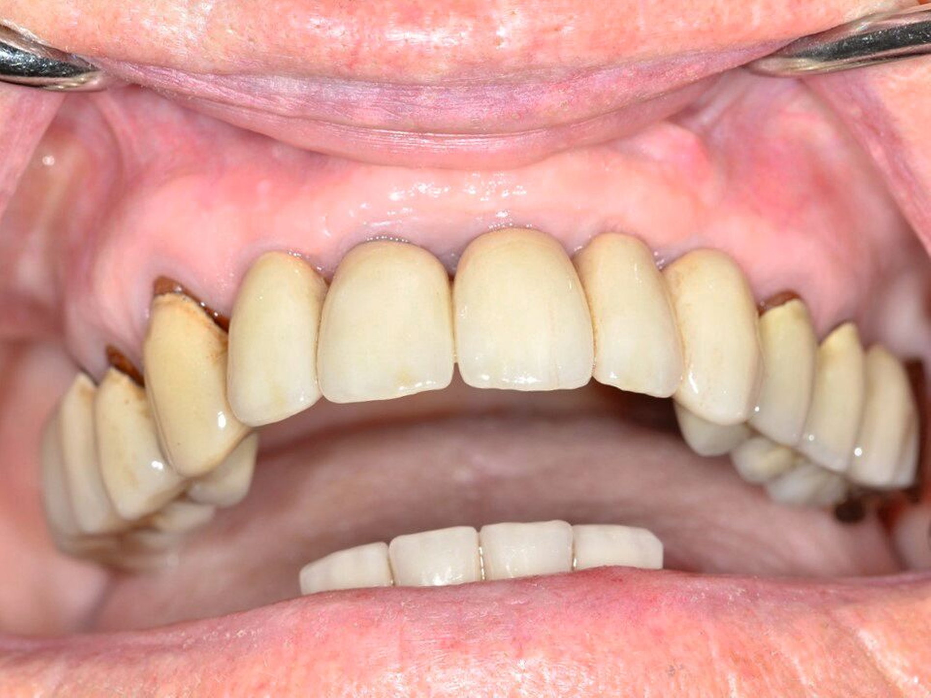
Die Versorgung einer Lücke mit Zahnimplantaten nach einem dentalen Trauma wird in der Regel nach Abschluss des pubertären Wachstumsschubes erwogen oder besser noch ins frühe Erwachsenenalter verlegt. Wenn zu diesem Zeitpunkt keine Sofortimplantation zusammen mit der Zahnwurzelextraktion erfolgt, sollte die Möglichkeit der Ridge preservation geprüft werden. Wenn eine Versorgung mit Zahnimplantaten erfolgt, dann nicht in der Akutphase des Traumas, sondern nach Abheilung der Weichteilwunden und der direkten allgemeinen Traumafolgen (Abbildung 5).
Alveolarfortsatzfrakturen
Dislokationsverletzungen von Zähnen können nicht selten mit einer Fraktur des zahntragenden Alveolarfortsatzes kombiniert sein, die auf Panoramaschichtaufnahmen oder gegebenenfalls weiterführenden Aufnahmen (Einzelzahnfilm, DVT) zur Darstellung kommen. Je nach Schweregrad wird hier zwischen einer partiellen Fraktur (Bruch der vestibulären oder oralen Alveolenwand) und einer vollständigen (Bruch der vestibulären und oralen Alveolenwand) im Sinne einer dislozierten beziehungsweise nicht dislozierten Fraktur des Alveolarfortsatzes unterschieden.
Klinisch findet sich neben häufigen, meist vertikalen Schleimhauteinrissen gegebenenfalls eine tastbare Stufenbildung (Abbildung 6). Dislozierte Alveolarfortsatzfrakturen gehen in der Regel mit einer Okklusionsstörung einher, die Sensibilität der betroffenen Zähne geht dabei häufig verloren. Die Therapie der Alveolarfortsatzfrakturen weist einige Besonderheiten auf, die in der entsprechenden Empfehlung der Leitlinie aufgeführt sind.
Schlussfolgerung
Das chirurgische Management von dentalen Traumata erfordert die interdisziplinäre Zusammenarbeit zwischen Zahnärzten, Kieferchirurgen und Kieferorthopäden. Bei komplexen Traumata ist eine chirurgische Intervention unvermeidlich. Dabei ist es entscheidend, die richtige Indikation und chirurgische Technik zum geeigneten Zeitpunkt zu wählen, um eine bestmögliche Prognose für den betroffenen Zahn beziehungsweise Kieferabschnitt und sein umliegendes Gewebe zu erreichen. Eine sorgfältige Nachsorge und eine regelmäßige Kontrolle sind unerlässlich, um eine langfristige Stabilität und Funktionalität für die Kinder und Jugendlichen sicherzustellen.
<bibliography>
Akhlef Y, Schwartz O, Andreasen JO, Jensen SS. Autotransplantation of teeth to the anterior maxilla: A systematic review of survival and success, aesthetic presentation and patient-reported outcome. Dent Traumatol 2018;34:20-27.
Andreasen JO (1972) Classification, Epidemiology and Etiology. In: Andreasen J, ed. Traumatic Injuries of the Teeth, 1 edn. Blackwell Munksgaard, Copenhagen: pp. 15-39.
Andreasen JO. Injuries to the supporting bone. In: Andreasen JO AF, Andersson L, Hrsg. Textbook and Color Atlas of Traumatic Injuries to the Teeth, 4th edn: Oxford: Blackwell Munksgaard; 2007: 489-515.
Andreasen JO, Schwartz O, Kofoed T, Daugaard-Jensen J (2009) Transplantation of premolars as an approach for replacing avulsed teeth. Pediatr Dent 31(2): 129-132.
Blomlöf L (1981) Milk and saliva as possible storage media for traumatically exarticulated teeth prior to replantation. Swed Dent J Suppl 8: 1-26.
Chung WC, Tu YK, Lin YH, Lu HK. Outcomes of autotransplanted teeth with complete root formation: a systematic review and meta-analysis. J Clin Periodontol. 2014 Apr;41(4):412-23. doi: 10.1111/jcpe.12228. Epub 2014 Feb 10.
Fouad AF, Abbott PV, Tsilingaridis G, Cohenca N, Lauridsen E, Bourguignon C, O'Connell A, Flores MT, Day PF, Hicks L, Andreasen JO, Cehreli ZC, Harlamb S, Kahler B, Oginni A, Semper M, Levin L (2020) International Association of Dental Traumatology guidelines for the management of traumatic dental injuries: 2. Avulsion of permanent teeth. Dent Traumatol 36(4): 331-342.
Hoss F, El-Mahdy, K, Linsenmann R, Franz, CW, Nolte D. Primary tooth autotransplantation: Update and retrospective clinical study. Acta Odontol Scand 79(8):582-592, 2021 (https://doi.org/10.1080/00016357.2021.1917656).
Huth KC, Nazet M, Paschos E et al. Autotransplantation and surgical uprighting of impacted or retained teeth: A retrospective clinical study and evaluation of patient satisfaction. Acta Odontol Scand 2013; 71: 1538-1546.
Kahler B, Hu JY, Marriot-Smith CS, Heithersay GS (2016) Splinting of teeth following trauma: a review and a new splinting recommendation. Aust Dent J 61 Suppl 1: 59-73.
Layug ML, Barrett EJ, Kenny DJ (1998) Interim storage of avulsed permanent teeth. J Can Dent Assoc 64(5): 357-363, 365-359.
Lekic P, Kenny D, Moe HK, Barretti E, McCulloch CA (1996) Relationship of clonogenic capacity to plating efficiency and vital dye staining of human periodontal ligament cells: implications for tooth replantation. J Periodontal Res 31(4): 294-300.
Malmgren B, Malmgren O, Andreasen JO (2006) Alveolar bone development after decoronation of ankylosed teeth. Endodontic Topics 14: 35-40.
Malmgren B, Tsilingaridis G, Malmgren O (2015) Long-term follow up of 103 ankylosed permanent incisors surgically treated with decoronation--a retrospective cohort study. Dent Traumatol 31(3): 184-189.
Michl I, Nolte D, Tschammler C et al. Premolar autotransplantation in juvenile dentition: quantitative assessment of vertical bone and soft tissue growth. Oral Surg Oral Med Oral Pathol Oral Radiol 2017; 124.
Nolte D, Ebeleseder K, Krastl G. Neues Therapiekonzept von posttraumatischer Ankylose und Zahnverlust. Der junge zahnarzt 03: 15-25, 2022.
Nolte D, Hinrichs K, Lange S. Die autogene Zahntransplantation: Evidenzbasierte aktuelle Daten. Dtsch Zahnärztl Z 66 (4): 279-294, 2011.
Nolte D, Tschammler C, Henzler M, Linsenmann R, Angermair J. Two-Phase Transplantation (TPTX) Concept: A new approach for instant rehabilitation of young children after avulsion of central incisor. Open J Stomatol 7:136-147, 2017.
Osmanovic A, Halilovic S, Kurtovic-Kozaric A, Hadziabdic N (2018) Evaluation of periodontal ligament cell viability in different storage media based on human PDL cell culture experiments-A systematic review. Dent Traumatol 34(6): 384-393.
Plotino G, Abella Sans F, Duggal MS, Grande NM, Krastl G, Nagendrababu V, Gambarini G (2020) Clinical procedures and outcome of surgical extrusion, intentional replantation and tooth autotransplantation - a narrative review. Int Endod J 53(12): 1636-1652.
Pohl Y, Geist P, Filippi A. Transplantation of primary canines after loss or ankylosis of upper permanent incisors. A prospective case series study on healing and survival. Dent Traumatol 2008; 24: 388-403.
Proffitt WR. Early stages of development. In: Proffitt WR, Hrsg. Contemporary orthodontics St. Louis, Missouri: Mosby Yearbook; 1993: S. 71.
Tschammler C, Angermair J, Heiligensetzer M, Linsenmann R, Huth KC, Nolte D (2015) Primary canine auto-transplantation: a new surgical technique. Oral Surg Oral Med Oral Pathol Oral Radiol 119(2): 158-169.
Watananbe 2010 Long-term observation of autotransplanted teeth with complete root formation in orthodontic patients. Am J Orthod Dentofacial Orthop 2010;138:720-6.
</bibliography>













































