Kombinationstherapie aus indirekten und direkten Kompositveneers nach Zahntrauma
Ein 17-jähriger, allgemeinmedizinisch gesunder Patient stellt sich mit dem Wunsch nach einer ästhetischen Verbesserung im Frontzahnbereich des Oberkiefers vor. Anlass ist der traumatische Verlust der mittleren Inzisiven sechs Jahre zuvor.
Vorgeschichte
Im Alter von elf Jahren erlitt der Patient ein Frontzahntrauma mit Avulsion der Zähne 11 und 21. Diese wurden zunächst replantiert und endodontisch behandelt. Aufgrund fortschreitender Resorptionen und einer infausten Prognose erfolgte jedoch etwa eineinhalb Jahre später die Extraktion. Mit dem Ziel eines späteren Lückenschlusses durch Mesialisierung wurde die Exfoliation der Milchzähne 53 und 63 abgewartet, um den natürlichen Mesialtrend der Eckzähne beim Durchbruch zu nutzen. Die entstandene Lücke in regio 011/021 wurde zunächst mit einer Interimsprothese versorgt, die regelmäßig approximal reduziert wurde, um die natürliche Mesialbewegung der seitlichen Schneidezähne zu fördern. Nach Durchbruch aller bleibenden Zähne wurde alio loco eine kieferorthopädische Therapie zur Mesialisierung eingeleitet. Im Verlauf wurden die Zähne 12 und 22 restaurativ mit Komposit leicht verbreitert. Außerdem wurde ein bestehender Kreuzbiss auf der rechten Seite korrigiert.
Ausgangssituation
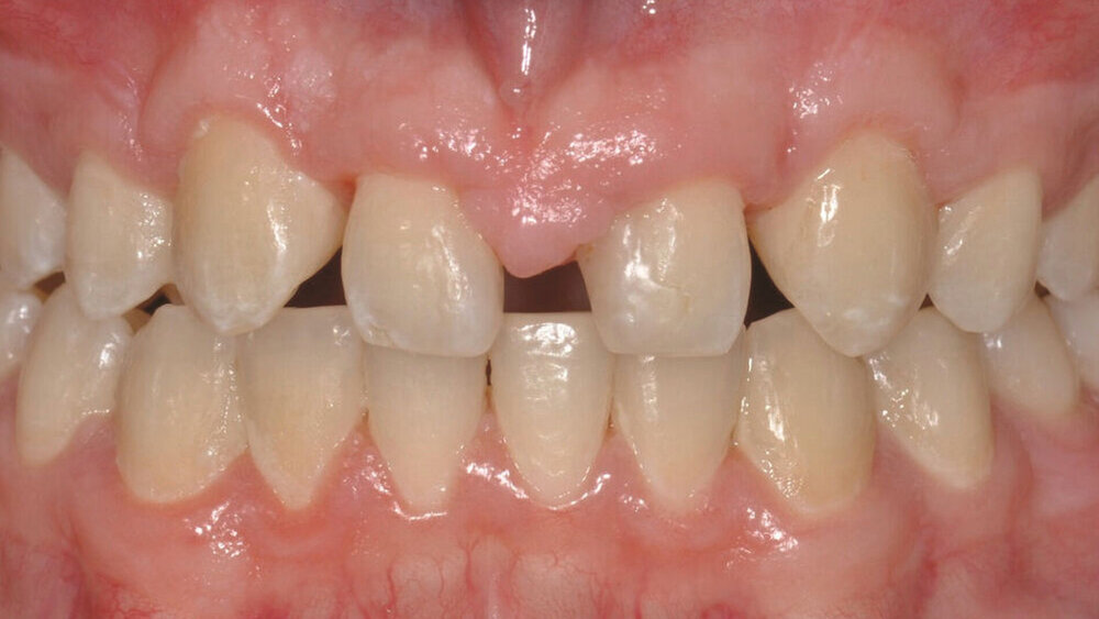
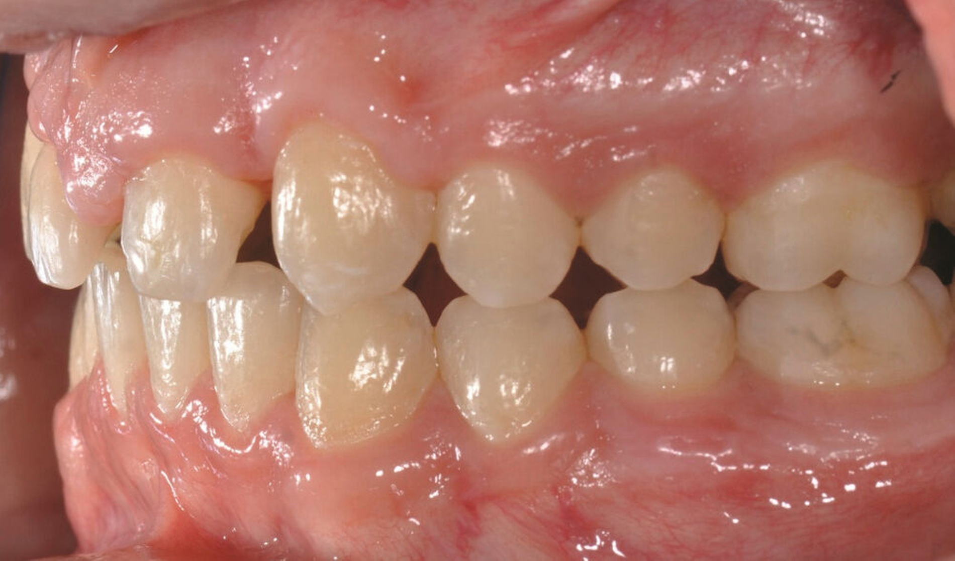
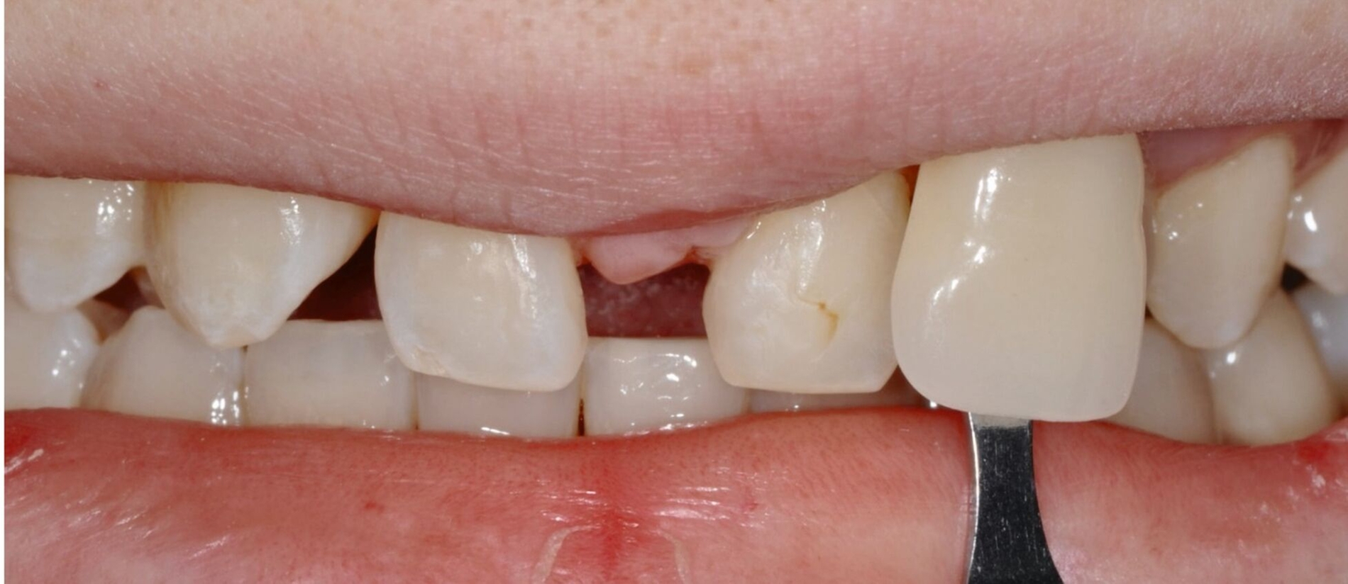
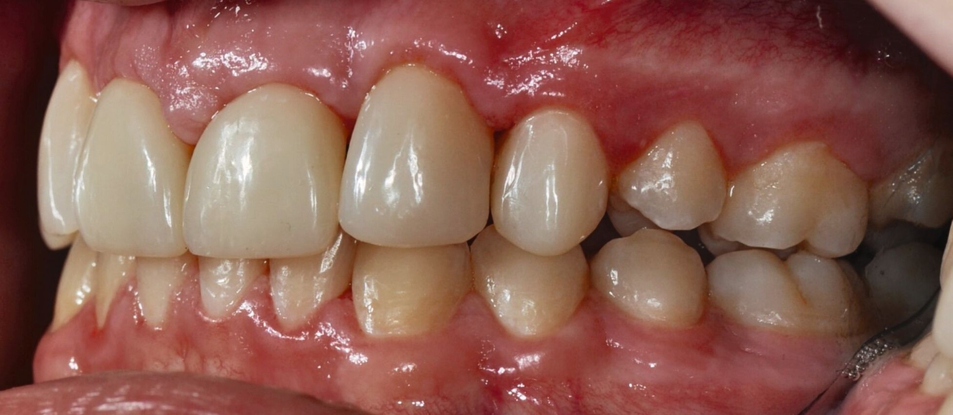
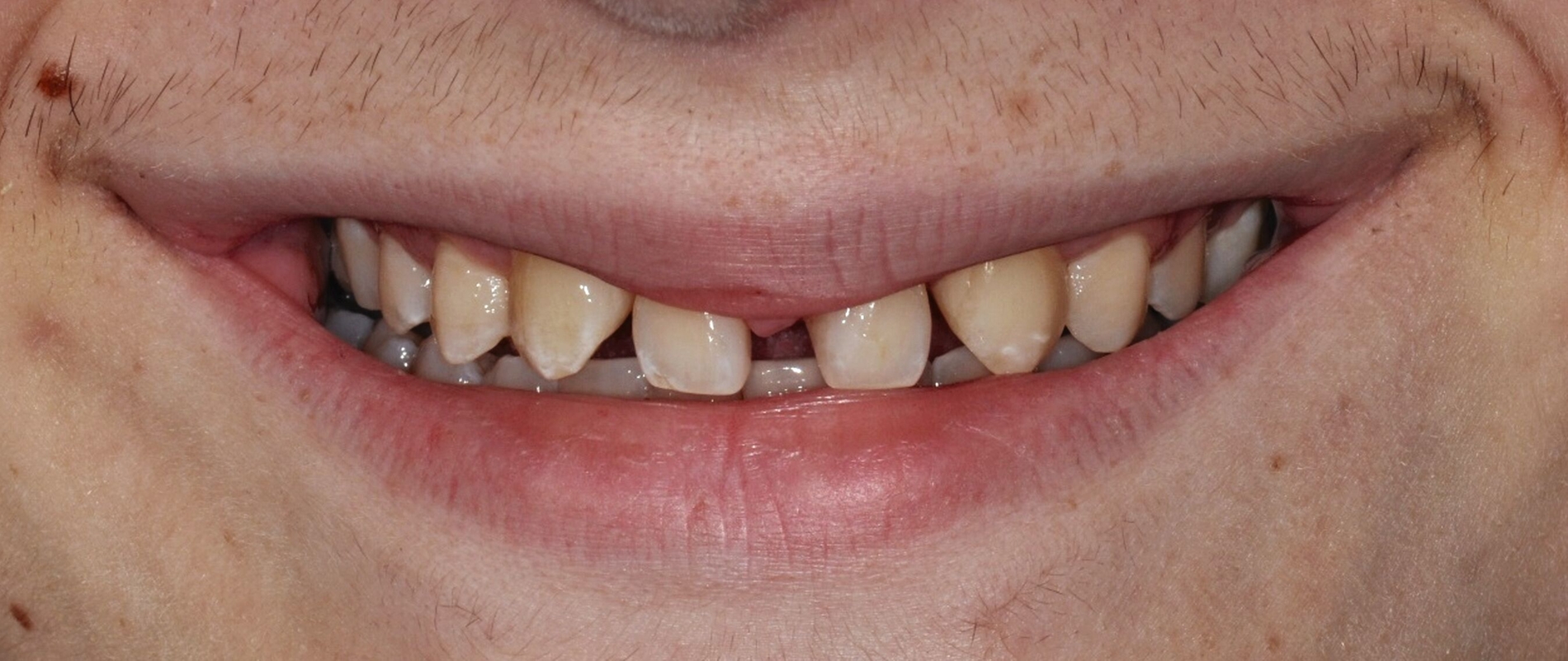
Bei der Erstvorstellung zeigt der Patient ein ausgeprägtes Diastema mediale sowie Restlücken und Asymmetrien im Oberkieferfrontzahnbereich nach kieferorthopädischer Therapie alio loco (Abbildung 1). Aufgrund mangelnder Adhärenz konnten nicht alle kieferorthopädischen Behandlungsziele erreicht werden, was insbesondere aus ästhetischer Sicht Herausforderungen für den restaurativen Lückenschluss mit sich bringt. Erschwerende Faktoren sind die Verschiebung der Mittellinie, die Achsenneigung der Zähne 13, 12, 22 und 23 sowie die inhomogene Lückenverteilung mit ungleich verteilten Lückengrößen (Abbildung 2). Eine erneute kieferorthopädische Korrektur lehnt der Patient allerdings ab. Subjektiv empfindet er insbesondere das kindliche Erscheinungsbild der lückig stehenden, kurz und klein wirkenden seitlichen Schneidezähne als störend. Ziele der Behandlung sind eine präventionsorientierte, ästhetisch-funktionale Rehabilitation des Oberkieferfrontzahnbereichs und eine Harmonisierung des dentofazialen Erscheinungsbildes.
Klinisches Vorgehen
Zur Planung und Simulation des restaurativen Lückenschlusses mithilfe eines Wax-ups werden zunächst Situationsmodelle des Ober- und des Unterkiefers angefertigt.
Nach einer präventiven Vorbehandlung in Form einer Professionellen Zahnreinigung und eines individuellen Mundhygienetrainings erfolgt die erste Behandlungssitzung, in der direkte Zahnformkorrekturen mit Komposit (IPS Empress Direct Dentin & Enamel A2, Ivoclar Vivadent, Liechtenstein) in Mehrfarben- und Mehrschichttechnik an den Zähnen 13 und 23 vorgenommen werden. Dabei werden die Eckzähne morphologisch zu seitlichen Schneidezähnen umgestaltet. Zur Orientierung der finalen Inzisalkantenlängen und ‑ausdehnungen dienen palatinal-inzisale Silikonstopps, die auf Basis des diagnostischen Wax-ups gefertigt wurden. Die Approximalflächen werden mithilfe einer individuellen Matrizenverschaltechnik unter Verwendung anatomisch vorgeformter Kunststoffmatrizen gestaltet. An den Zähnen 12 und 22 werden die vorhandenen mesialen Kompositrestaurationen entfernt, bevor Abformungen beider Kiefer mit Alginat erfolgen.
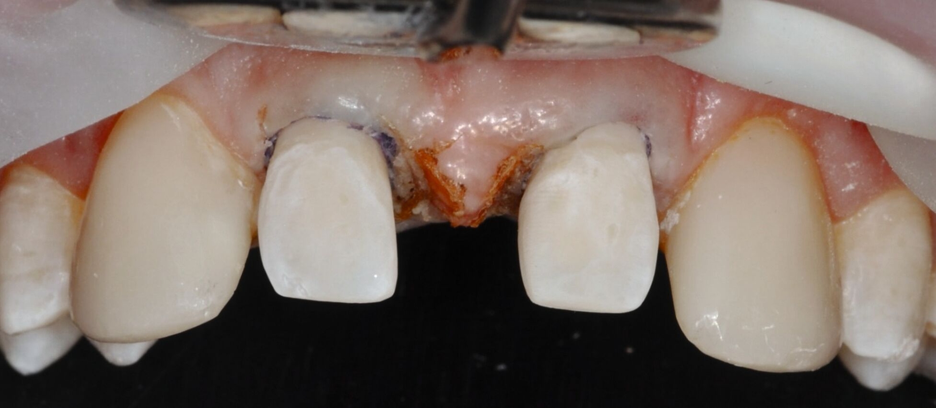
Anschließend werden laborgefertigte Non-prep-Kompositveneers aus dem gleichen Material für die Zähne 12 und 22 hergestellt. Diese werden in einer zweiten Sitzung nach dem Abstrahlen des Zahnschmelzes beziehungsweise der Restaurationsinnenflächen mit Al₂O₃-Pulver und dem Einbringen von Retraktionsfäden adhäsiv (IPS Empress Direct & Flow A2) eingesetzt. Zur Optimierung der Papillenästhetik wird der breite mediale Papillenbereich vor dem Einsetzen der Veneers durch eine externe Gingivektomie reduziert. Der marginale Gingivaverlauf der Zähne 12 und 22 wird unter Berücksichtigung der Lachlinie und in Absprache mit dem Patienten nicht nach apikal auf das Niveau der Eckzähne verlagert. Zusätzlich werden die Zähne 14 und 24 im Bereich der bukkalen Höckerspitzen direkt mit Komposit umgeformt und harmonisch an die neue Frontzahnsituation angepasst.
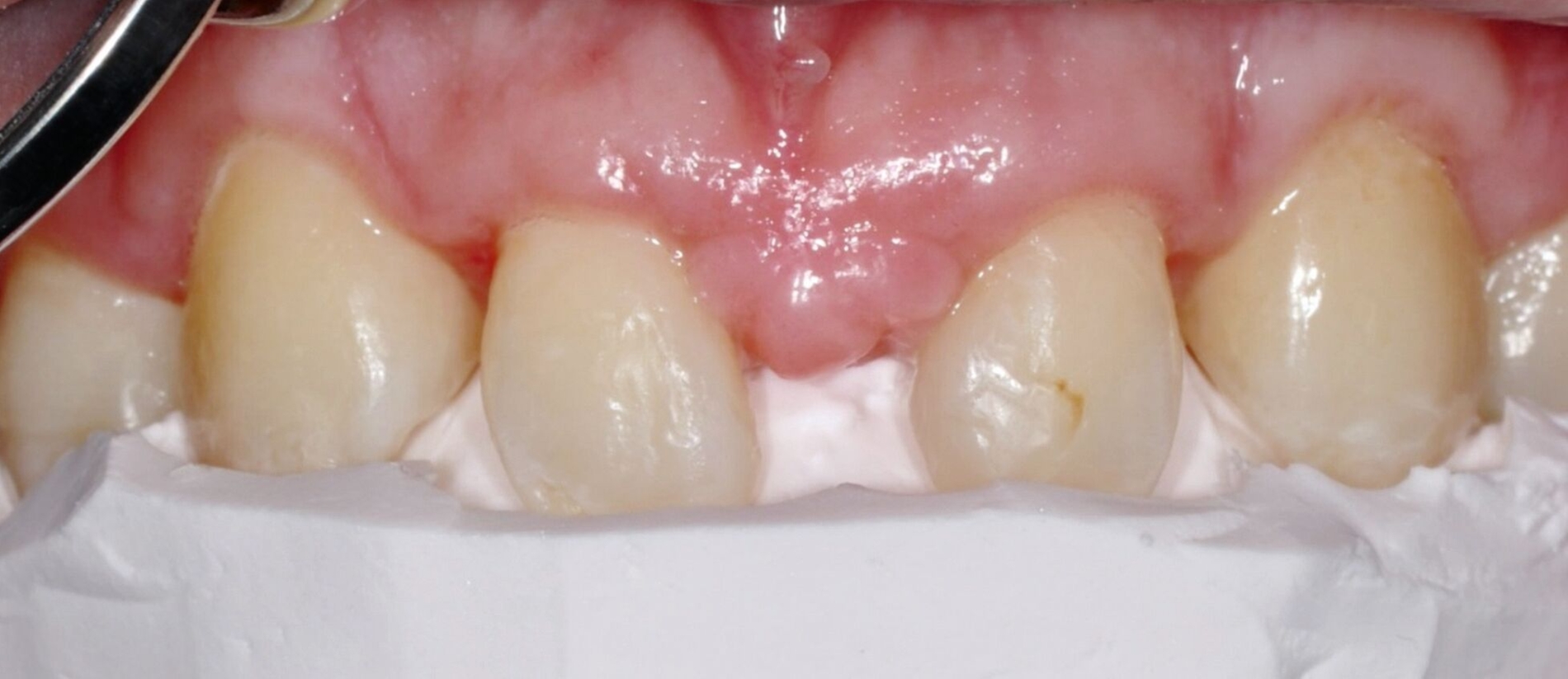
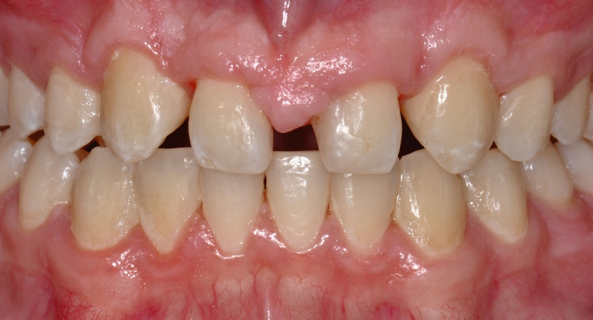
Die direkten und indirekten Kompositrestaurationen werden abschließend mit Skalpellen (Nr. 12), diamantierten Schallspitzen, rotierenden Instrumenten und Soflex-Scheiben ausgearbeitet, in statischer und dynamischer Okklusion kontrolliert, entsprechend eingeschliffen und auf Hochglanz poliert. Die Hygienefähigkeit der marginalen Bereiche wird sichergestellt und dem Patienten werden zur häuslichen Reinigung der Zahnzwischenräume passende Interdentalraumbürstchen angepasst (Abbildung 3).
Follow-up
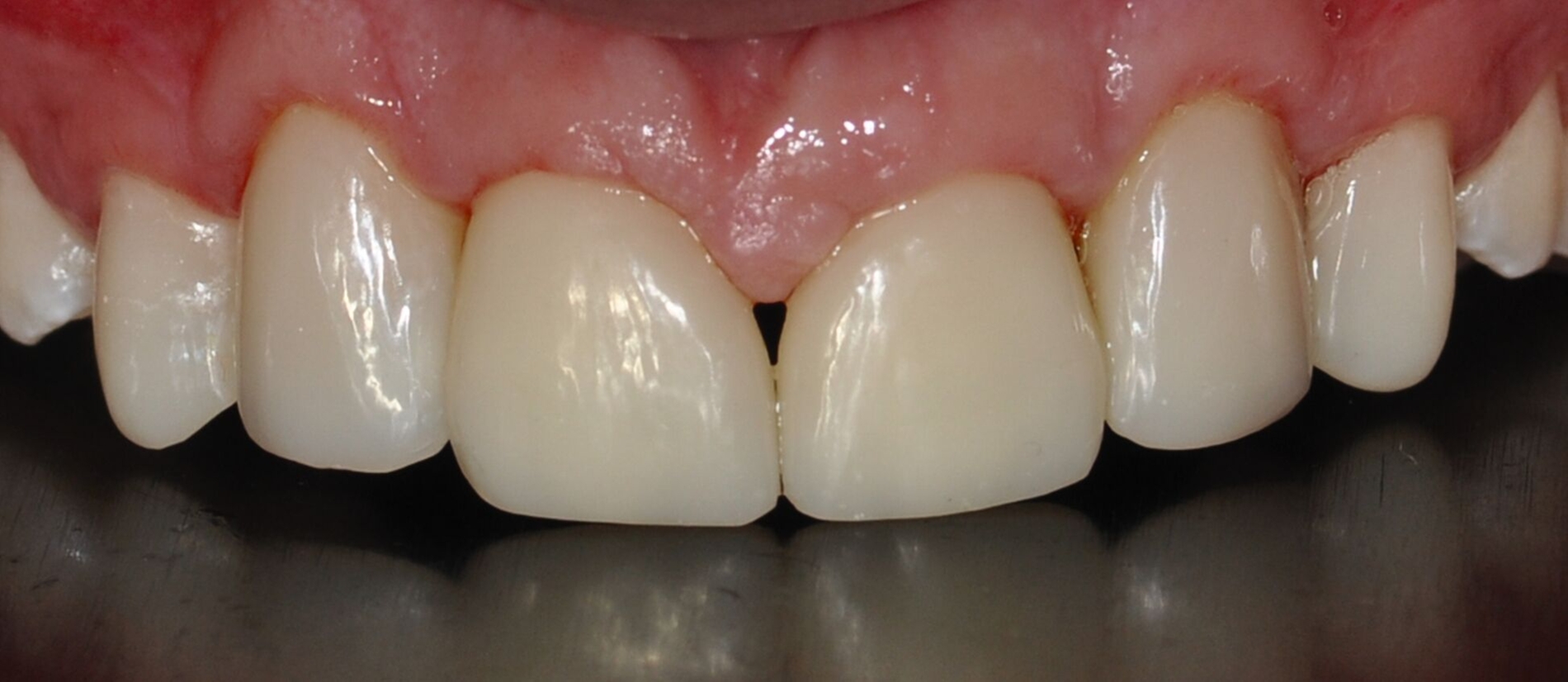
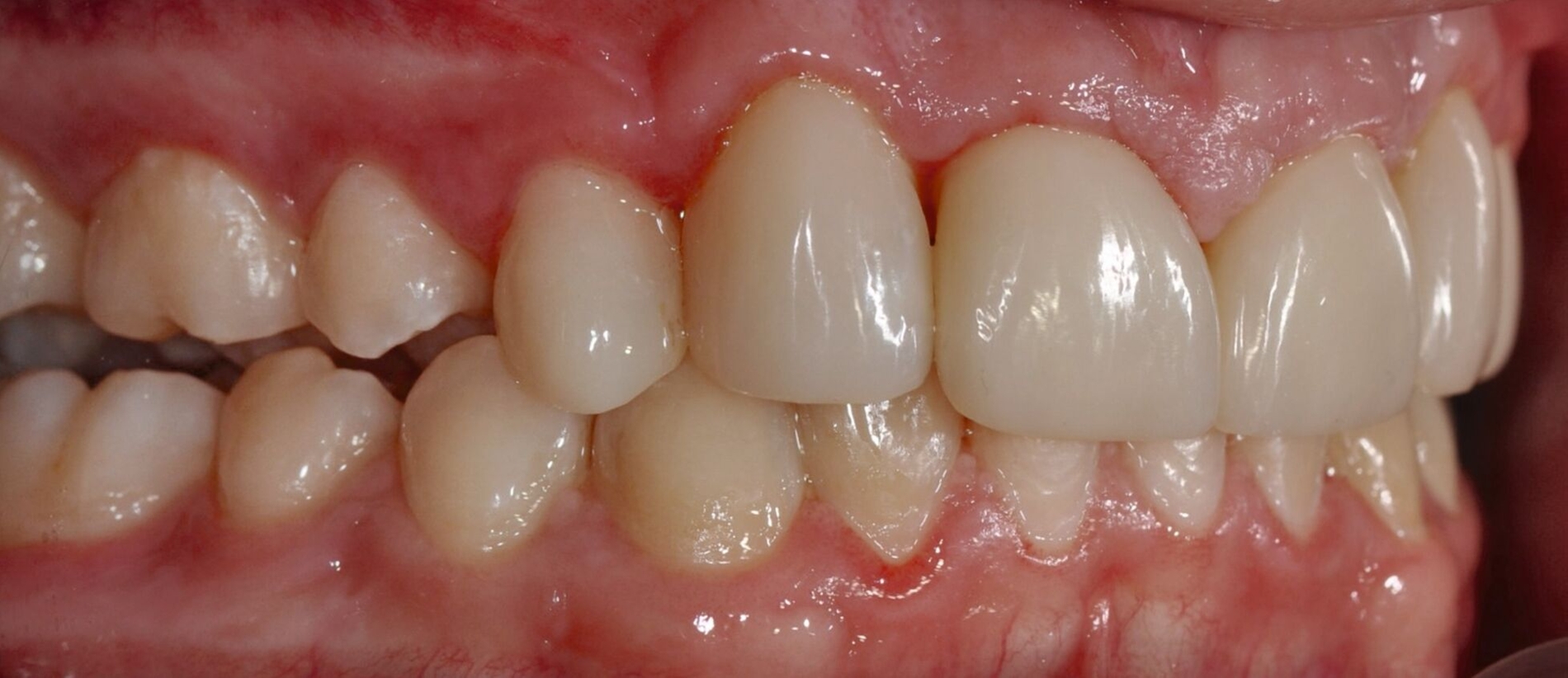
Nach sechs Monaten zeigen sich stabile restaurative und parodontale Verhältnisse mit Sondierungstiefen von maximal 3 mm. Der Patient befindet sich in der regelmäßigen Betreuung seines Hauszahnarztes und nimmt dort halbjährliche Vorsorgeuntersuchungen sowie Professionelle Zahnreinigungen wahr. Alio loco wurde der seitliche Kreuzbiss zwischenzeitlich nochmals kieferorthopädisch korrigiert, wenn auch das Behandlungsergebnis aufgrund ausbleibender Adhärenz weiterhin kompromittiert erscheint. Zur Sicherung des Behandlungsergebnisses wurden Retentionsschienen für den Ober- und Unterkiefer angefertigt. Im Unterkiefer wurde zusätzlich ein festsitzender Retainer eingegliedert.
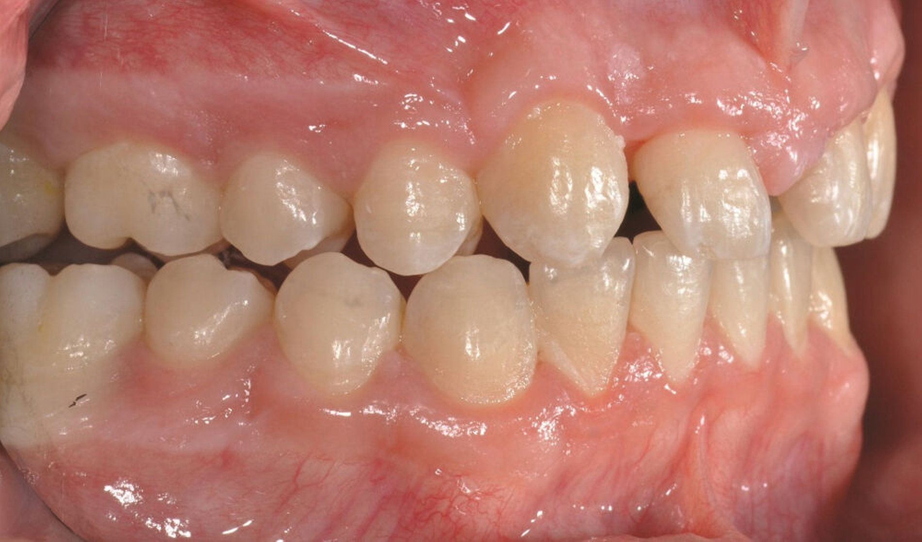
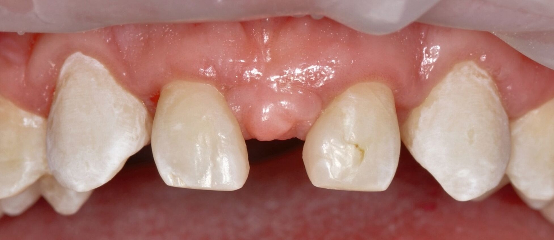
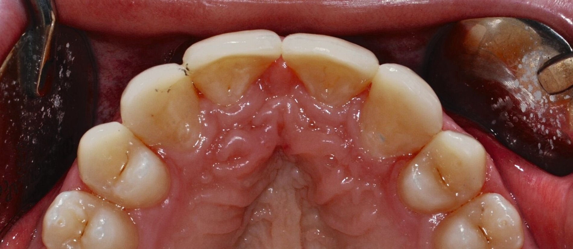
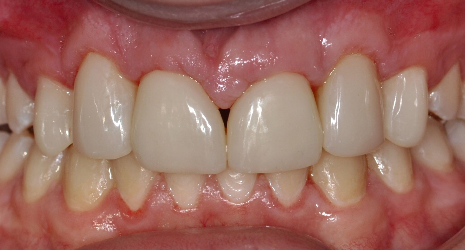
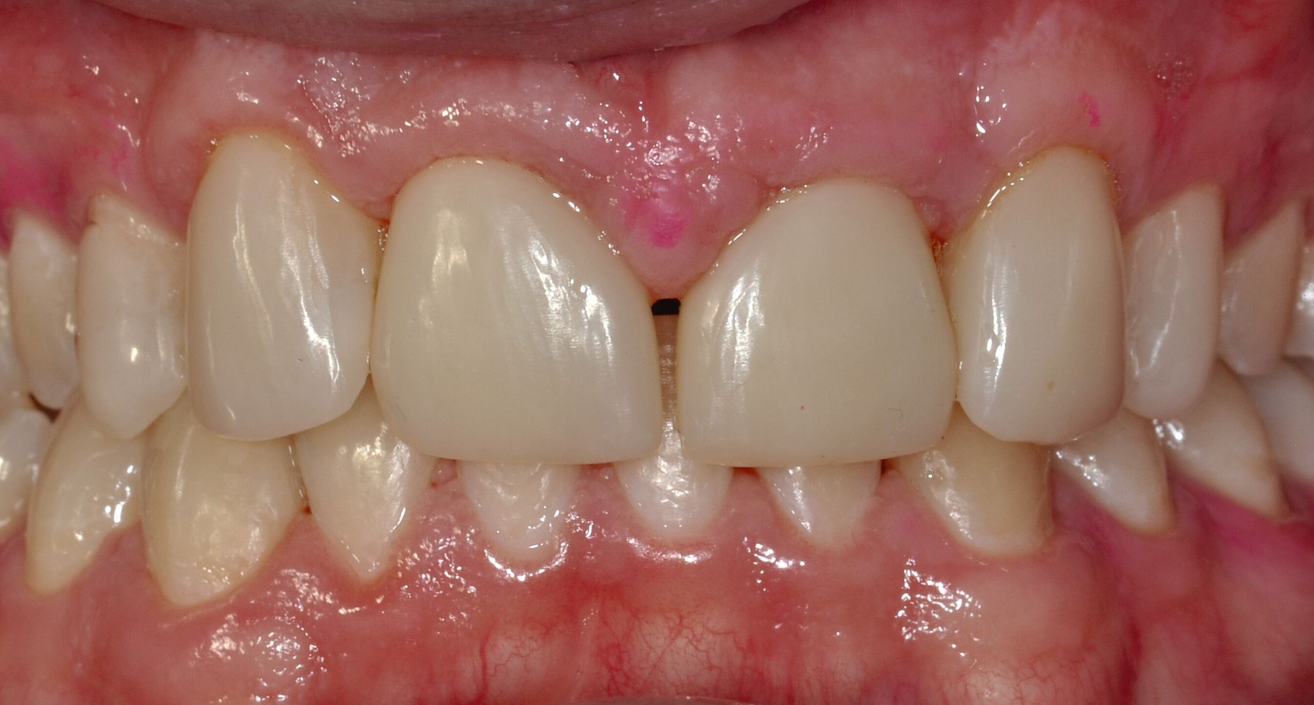
Auch bei einer Kontrolluntersuchung drei Jahre nach restaurativer Therapie sind die Versorgungen in situ, intakt, und das Parodontium zeigt keine entzündlichen Veränderungen. Trotz Anfertigung der Retentionsschienen fällt ein beginnendes Diastema mediale auf (Abbildung 4). Der Patient gibt auf Nachfrage an, die Schienen nicht regelmäßig getragen zu haben. Ihm wird die Möglichkeit eines Diastemaschlusses durch eine erneute Zahnformkorrektur angeboten. Da ihn die entstandene Lücke jedoch subjektiv nicht stört, entscheidet er sich zunächst gegen eine restaurative Korrektur.
Synopse
Dieser Fall veranschaulicht die komplexen Herausforderungen, die bei der zahnärztlichen Rehabilitation nach einem Frontzahntrauma im Kindes- und Jugendalter zu bewältigen sind. Ziel der Behandlung ist einerseits die funktionelle Wiederherstellung, um eine langfristige Stabilität der Zahnpositionen und -stellungen sowie eine uneingeschränkte Kaufunktion und Phonetik zu gewährleisten. Gleichzeitig spielt die Erwartung an ästhetisch ansprechende Behandlungsergebnisse eine zentrale Rolle in der Versorgung. Wachstumsbedingte Veränderungen des Kiefers und des dentofazialen Erscheinungsbildes stellen hohe Anforderungen an die Auswahl der geeigneten Therapieoptionen und Materialien.
Aufgrund des jungen Patientenalters wurde ein minimalinvasives, präventionsorientiertes Vorgehen mit Kompositmaterialien gewählt. Die Möglichkeit zur Reparatur oder Umarbeitung dieser Restaurationen war ein entscheidender Faktor, da das fortschreitende Wachstum des Patienten berücksichtigt werden musste und spätere Korrekturen – beispielsweise ein erneuter Diastemaschluss zwischen den Zähnen 11 und 21 – möglich bleiben sollten. Das indirekte Vorgehen wurde aufgrund der unterschiedlich großen Lücken sowie der individuellen Rot-Weiß-Ästhetik im Bereich der Zähne 12 und 22 gewählt und konnte problemlos mit den direkten Kompositrestaurationen kombiniert werden.
Die Evidenz zu indirekten Kompositveneers im Frontzahnbereich ist bislang begrenzt. Eine systematische Übersichtsarbeit von Lim et al. zeigte nach einer Nachbeobachtungszeit von 24 bis 97 Monaten eine Gesamtüberlebensrate von 84 Prozent für indirekte Kompositveneers, während direkt eingebrachte Kompositveneers – vergleichbar mit den hier vorgestellten Zahnformkorrekturen – eine Überlebensrate von 91 Prozent erreichten [Lim et al., 2023]. Hauptgründe für das Versagen der Restaurationen waren Frakturen und der Verlust der Retention, während biologische Komplikationen wie Sekundärkaries oder postoperative Sensibilitäten seltener auftraten.
Reparaturen und Nachbesserungen dieser direkten und indirekten Kompositrestaurationen sind in der Regel in einer Sitzung möglich. In einer retrospektiven Untersuchung zu direkt eingebrachten Zahnformkorrekturen aus Komposit wurde unter Berücksichtigung der Reparaturmöglichkeit eine funktionelle Überlebensrate von 98,5 Prozent nach 15 Jahren festgestellt [Frese et al., 2020]. Ästhetische Komplikationen wie Oberflächenrauheit, Farbabweichungen und marginale Verfärbungen wurden zwar häufig beobachtet, jedoch meist als klinisch akzeptabel bewertet. Auch die aktuelle S3-Leitlinie zu direkten Kompositrestaurationen an bleibenden Zähnen empfiehlt die Verwendung direkter Kompositmaterialien für Zahnformkorrekturen im Frontzahnbereich und befürwortet ein zahnhartsubstanzschonendes, direktes Vorgehen, wann immer dies möglich ist [Wolff et al., 2024].
Im Vergleich mit konventionellen Keramikveneers schnitten indirekte Kompositveneers in einer randomisiert kontrollierten Studie mit zehnjähriger Nachbeobachtung jedoch signifikant schlechter ab. Die Überlebensrate betrug 75 Prozent für Kompositveneers, während Keramikveneers eine Überlebensrate von 100 Prozent erreichten. Zudem zeigten Kompositveneers signifikante Nachteile hinsichtlich Farbpassung, Oberflächenrauigkeit, Frakturanfälligkeit und Materialverschleiß [Gresnigt et al., 2019].
Dennoch zeigt dieser Fall, dass Kompositveneers sowie die Kombination aus indirekten und direkten Restaurationsmethoden einen wertvollen Therapieansatz darstellen können. Insbesondere Kinder und Jugendliche mit Lückenbildungen oder Zahnwanderungen nach einem traumatischen Zahnverlust können durch dieses Vorgehen restaurativ versorgt werden, bis das Kieferwachstum abgeschlossen ist.
Die langfristige Behandlungsstrategie erfordert eine regelmäßige Nachkontrolle, um mögliche ästhetische und funktionelle Veränderungen frühzeitig zu erkennen und gegebenenfalls durch minimalinvasive Maßnahmen zu korrigieren. Durch die Wahl eines dynamischen Restaurationskonzepts mit reparierbaren Materialien wird eine patientenindividuelle Anpassung ermöglicht, die sowohl funktionelle als auch ästhetische Aspekte berücksichtigt. Somit stellt dieses Vorgehen eine sinnvolle und nachhaltige Behandlungsoption für junge Patienten mit komplexen Frontzahnsituationen dar.
Literaturliste
Frese, C., Wohlrab, T., Soliman, S., Hahn, B., Büsch, C., Babai, A., . . . Wolff, D. (2020). A Multicenter Trial on the Long-term Performance of Direct Composite Buildups in the Anterior Dentition - Survival and Quality Outcome. J Adhes Dent, 22(6), 573-580. doi:10.3290/j.jad.a45514.
Gresnigt, M. M. M., Cune, M. S., Jansen, K., van der Made, S. A. M., & Özcan, M. (2019). Randomized clinical trial on indirect resin composite and ceramic laminate veneers: Up to 10-year findings. J Dent, 86, 102-109. doi:10.1016/j.jdent.2019.06.001.
Lim, T. W., Tan, S. K., Li, K. Y., & Burrow, M. F. (2023). SURVIVAL AND COMPLICATION RATES OF RESIN COMPOSITE LAMINATE VENEERS: A SYSTEMATIC REVIEW AND META-ANALYSIS. J Evid Based Dent Pract, 23(4), 101911. doi:10.1016/j.jebdp.2023.101911.
Wolff, D., Frese, C., Frankenberger, R., Haak, R., Braun, A., Krämer, N., . . . Sekundo, C. (2024). Direct Composite Restorations on Permanent Teeth in the Anterior and Posterior Region - An Evidence-Based Clinical Practice Guideline - Part 1: Indications for Composite Restorations. J Adhes Dent, 26, 185-200. doi:10.3290/j.jad.b5748881.







































