Falltyp 4: Rehabilitation des gesamten Zahnbogens
Der Zeitpunkt der Behandlung unterscheidet sich bei Fällen mit zahngetragenen Vollbogenrestaurationen von Fällen mit implantatgetragenen Vollbogenrestaurationen:
Zahngetragene Restaurationen
Bei zahngetragenen Restaurationen wird nach dem erfolgreichen Abschluss von Stufe 1 der Parodontalbehandlung häufig eine Interimsversorgung eingesetzt. Stufe 2 der Parodontalbehandlung, einschließlich der Zahnsteinentfernung und der subgingivalen Instrumentierung der Pfeilerzähne, wird bei eingesetzter Interimsversorgung durchgeführt. Das Einsetzen einer definitiven Versorgung (oder einer langfristigen Interimsversorgung) erfolgt nach erfolgreichem Abschluss der Parodontalbehandlung und dem Erreichen flacher, gut zu erhaltender Taschen sowie der Kontrolle der parodontalen Entzündung.
Implantatgetragene Restaurationen
Bei implantatgetragenen Fällen, die eine Extraktion der bleibenden Dentition erfordern, werden die Zähne in einem oder in beiden Zahnbögen extrahiert und die Implantate nach dem erfolgreichen Abschluss von Stufe 1 der Parodontalbehandlung eingesetzt, wenn ein Zahnbogen noch natürliche Zähne aufweist. Die Reihenfolge der Behandlung und das Einsetzen von festsitzenden oder herausnehmbaren Interimsversorgungen dient dem Zweck, die Biologie der Wundheilung zu sichern, die Erwartungen des Patienten zu erfüllen und ein angemessenes Maß an Komfort während des Übergangs zu gewährleisten.
Im Folgenden werden fünf klinische Fragestellungen im Zusammenhang mit Parodontitis von Stadium IV mit dem Falltyp 4 und die entsprechend konsentierten Empfehlungen auf der Basis der vorliegenden wissenschaftlichen Evidenz aufgeführt.
Klinische Empfehlungen
Wie effektiv ist festsitzender Zahnersatz bei Patienten mit einem durch Parodontitis im Stadium IV geschädigten Gebiss und einer ausreichenden Anzahl von adäquat verteilten Zähnen?
Für die Beantwortung der Frage zu festsitzendem Zahnersatz über den gesamten Zahnbogen bei Patienten mit Parodontitis Stadium IV und mindestens vier bilateral verteilten, erhaltungsfähigen Zähnen wurden sieben retrospektive Beobachtungsstudien (n = 522 Patienten) mit einer mittleren Nachbeobachtungszeit von über acht Jahren eingeschlossen. Auf Basis von drei dieser Studien zeigte sich, dass die Zahnverlustquote gering (4,9 Prozent über 12,7 Jahre) und die Rate technischer Komplikationen ebenfalls niedrig ist (8,0 Prozent über 7,2 Jahre) [Tomasi et al., 2022]. Trotz der hohen Überlebensrate und der geringen Komplikationsrate muss bei diesen Daten berücksichtigt werden, dass die Ergebnisse von einer nur geringen Anzahl von Wissenschaftlerinnen und Wissenschaftlern erbracht wurden, so dass die Übertragbarkeit unklar ist. Aufgrund der hohen Gefahr von Verzerrungen und dem Fehlen von Patient-Reported Outcome Measures (PROMs), die erst eine validierte Aussage bezüglich der patienteneigenen Einschätzung des Versorgungserfolgs ermöglichen würden, lassen sich keine eindeutigen Aussagen treffen. Zudem entspricht die klinische und ästhetische Umsetzung von festsitzenden Restaurationen über den gesamten Zahnbogen möglicherweise nicht den ästhetischen und funktionellen Anforderungen der Patienten. Einschränkungen ergeben sich insbesondere bei ausgeprägtem Gewebeverlust oder hohen ästhetischen Anforderungen.
Die Leitliniengruppe in Deutschland sieht zusätzlichen Forschungsbedarf, um die Effektivität festsitzender Restaurationen, unter anderem in Hinblick auf die erforderliche Pfeileranzahl und im Vergleich zu implantatgetragenen festsitzenden Restaurationen bei Patienten mit Parodontitis Stadium IV, durch hochwertige randomisierte klinische Studien systematisch zu evaluieren.
Wie effektiv ist herausnehmbarer Zahnersatz über den gesamten Zahnbogen bei Patienten mit einem beeinträchtigten Gebiss aufgrund einer Parodontitis im Stadium IV?
Bei Patienten mit Parodontitis Stadium IV mit einer geringen Anzahl erhaltungswürdiger Zähne kann ein zahngetragener herausnehmbarer Zahnersatz (TSRP) eine Versorgungsoption sein. Dieser kann über verschiedene Retentionselemente verankert werden. Daten aus 22 Studien (n = 1.660 Prothesen) weisen auf Zahnebene Überlebensraten von 86 bis 100 Prozent (prospektiv, Ø 37 Monate) und 34 bis 94 Prozent (retrospektiv, Ø 83 Monate) auf [Donos et al., 2022]. Das Überleben der Prothese variierte zwischen 38 und 100 Prozent [Donos et al., 2022]. Die Evidenz ist jedoch aufgrund der erheblichen Heterogenität, dem hohen Risiko für Verzerrungen sowie von unzureichenden Informationen zu Komplikationen gering. Die Verfahren stellen hohe technische Anforderungen dar. Bei der Entscheidung über die Form der Therapie sollte der psychologische Vorteil des Zahnerhalts während der Übergangsphase gegenüber der Zahnlosigkeit in Betracht gezogen werden.
Wie schneidet implantatgetragener festsitzender Zahnersatz über den gesamten Zahnbogen bei Patienten ab, deren Gebiss aufgrund einer Parodontitis im Stadium IV gefährdet ist und bei denen Zahnerhalt nicht möglich ist?
Bei Patienten mit Parodontitis Stadium IV, bei denen kein Zahnerhalt möglich ist, stellt eine implantatgetragene festsitzende Vollbogenrestauration auf ≥ vier Implantaten eine evidenzgestützte Versorgungsoption dar. Die prothetischen Versorgungen wurden überwiegend verschraubt. Die nachfolgenden Angaben und Ergebnisse basieren auf den systematischen Übersichtsarbeiten von Tomasi et al. sowie Ramanauskaite et al. zu Implantat-prothetischen Rehabilitationen [Ramanauskaite et al., 2022; Tomasi et al., 2022]. In 15 Studien (n = 670 Patienten) zeigte sich eine Implantatverlustrate von nur 3,5 Prozent über 3,9 Jahre. In neun Studien (n = 766 Patienten) wurde der Verlust von Restaurationen während eines Beobachtungszeitraums von 3,2 Jahren auf 4,6 Prozent geschätzt. In einem Nachbeobachtungszeitraum von 2,6 Jahren (bei neun Studien und 723 Patienten) traten bei 41,7 Prozent aller Restaurationen technische Komplikationen auf. Biologische Komplikationen wurden in Studien (n = 984 Patienten) über einen Zeitraum von 3,1 Jahren untersucht. Bei 8,5 Prozent aller Implantate trat im Laufe dieses Zeitraums mindestens eine biologische Komplikation auf. Trotz der hohen Überlebensrate von Restaurationen und Implantaten ist die Evidenz aufgrund der kurzen Nachbeobachtung und von Verzerrungsrisiken begrenzt. Darüber hinaus sind die große Anzahl technischer Komplikationen zu berücksichtigen sowie das Fehlen von PROMs, zwei Studien deuten jedoch auf eine hohe Patientenzufriedenheit hin.
Im hier gezeigten Dokumentationsfall wird die Behandlung eines Patienten mit fortgeschrittener Parodontitis im Stadium IV, Falltyp 4, dargestellt (Abbildung 4). Klinisch zeigte sich eine stark reduzierte Restbezahnung mit nur einem verbleibenden Zahn Region 33 im Unterkiefer. Hier wurde im Unterkiefer eine prothetische Rehabilitation durch eine festsitzende, implantatgestützte Versorgung über den gesamten Zahnbogen an sechs strategisch platzierten bilateral verteilten Implantaten durchgeführt. Die Bilddokumentation zeigt die einzelnen Behandlungsschritte, beginnend mit der präoperativen Diagnostik, über die chirurgische Phase bis zur endgültigen Eingliederung des festsitzenden Zahnersatzes. Bei der Versorgung ist es von Bedeutung eine adäquate Hygienefähigkeit, zum Beispiel durch die Ermöglichung einer effektiven Reinigung mit Interdentalbürsten, zu berücksichtigen, um nach Möglichkeit eine langfristige periimplantäre Stabilität zu erreichen. Der Fall verdeutlicht die Möglichkeit einer prothetischen implantatgestützten Versorgung bei vollständig kompromittierten Unterkieferverhältnissen infolge einer terminalen Parodontitis.
Wie schneiden implantatgetragene, herausnehmbare Prothesen bei Patienten mit einem gefährdeten Gebiss aufgrund einer Parodontitis im Stadium IV ab, bei denen ein Zahnerhalt als unmöglich erachtet wurde?
Bei zahnlosen Patienten mit Parodontitis Stadium IV, bei denen keine ausreichende Implantatanzahl für festsitzenden Zahnersatz möglich ist, kann eine implantatgetragene herausnehmbare Prothese erwogen werden. Die Verankerung kann über verschiedene Retentionselemente wie Stift-, Steg-, Magnet- und Teleskopgeschiebe erfolgen. In fünf Beobachtungsstudien (n = 136) lag die Überlebensrate der Prothesen über 3,3 Jahre bei 100 Prozent, jene der Implantate zwischen 96 bis 100 Prozent [Donos et al., 2022; Ramanauskaite et al., 2022]. Technische und biologische Komplikationen sowie PROMs wurden kaum und uneinheitlich berichtet. Die Nachuntersuchungen deuten auf günstige Ergebnisse in Bezug auf Prothesen- und Implantatüberleben hin. Der Mangel an Informationen über Komplikationen und PROMS sowie kurze Nachbeobachtungszeiten sollten jedoch bei der Bewertung berücksichtigt werden.
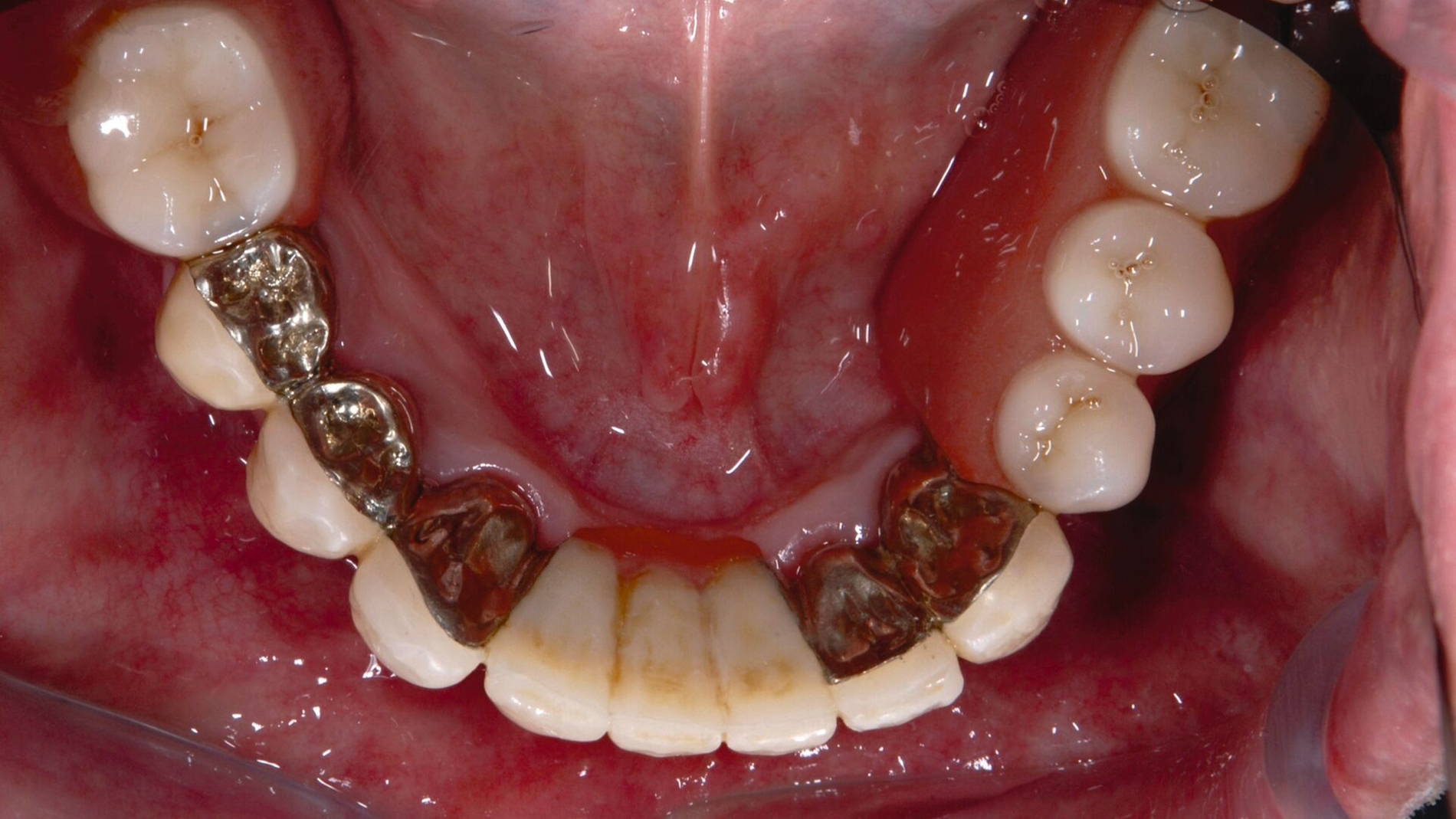
Ein prothetischer Dokumentationsfall über 13 Jahre veranschaulicht die praktische Anwendung der Leitlinienempfehlungen R10.1 und R10.4 (Abbildung 6): Der hier dargestellte Patient wies sowohl fortgeschrittene klinische als auch röntgenologische Befunde auf, die charakteristisch für Parodontitis im Stadium IV, Falltyp 4, sind – darunter eine reduzierte Anzahl strategisch verteilter Zähne, ausgeprägte Attachmentverluste sowie horizontale und vertikale Knochendefekte. Im Oberkiefer wurde ein festsitzender Zahnersatz als prothetische Versorgung eingesetzt, während im Unterkiefer eine herausnehmbare Konstruktion auf Teleskopkronen realisiert wurde. Dieser Fall illustriert die komplexen Entscheidungsprozesse und therapeutischen Optionen bei fortgeschrittener parodontaler Schädigung, insbesondere im Hinblick auf eine funktionelle und ästhetische Rehabilitation.
Wie effektiv sind kombiniert zahn- und implantatgetragene, herausnehmbare Restaurationen über den gesamten Zahnbogen bei Patienten mit einem gefährdeten Gebiss aufgrund einer Parodontitis im Stadium IV?
Bei einer unzureichenden Anzahl parodontal erhaltungsfähiger Zähne kann die Restauration mit einer kombiniert zahn- und implantatgetragenen herausnehmbaren Prothese zur Pfeilervermehrung indiziert sein. In Abhängigkeit von der Anzahl und der Verteilung der verbliebenen Zähne und insbesondere in Freiendsituationen unterliegen herausnehmbare Restaurationen dem Risiko von Komplikationen, wie zum Beispiel einer Überlastung der verbliebenen Zähne sowie der Fraktur des Zahnersatzes. Hier kann die Kombination von Zähnen mit Implantaten im Sinne einer Pfeilervermehrung herangezogen werden. Eine Metaanalyse von zwölf Studien (n = 408 Patienten) zeigte Fünf-Jahres-Überlebensraten der Pfeiler von über 90 Prozent und der Prothesen von 100 Prozent [Molinero-Mourelle et al., 2022]. Komplikationen konnten durch ≥ 5 Pfeiler reduziert werden [Molinero-Mourelle et al., 2022]. Darüber hinaus wurde von der Leitliniengruppe eine weitere Recherche für dieselben Suchkriterien für den Zeitraum ab 2022 durchgeführt, bei der insgesamt 195 Studien identifiziert wurden. Die erhobenen Daten belegen zweifelsfrei günstige Ergebnisse in Bezug auf zahn- und implantatgetragene Restaurationen und zeigen zudem Verbesserungen der Lebensqualität und der Kaufunktion.
Prof. Dr. med. dent. Meike Stiesch
Medizinische Hochschule Hannover, Klinik für Zahnärztliche Prothetik und Biomedizinische Werkstoffkunde
Carl-Neuberg-Str. 1, 30625 Hannover
1994: Promotion zur Dr. med. dent., Universität Hamburg
2001: Ernennung zur Spezialistin für Prothetik der DGPro – Deutsche Gesellschaft für Prothetische Zahnmedizin und Biomaterialien
2002: Habilitation und Venia legendi für Zahn-, Mund- und Kieferheilkunde, MHH
2005: Berufung auf den Lehrstuhl (W3) für Zahnärztliche Prothetik und Biomedizinische Werkstoffkunde an der MHH und Direktorin der Klinik für Zahnärztliche Prothetik und Biomedizinische Werkstoffkunde, MHH
2016–2021: Präsidentin der DGPro
Seit 2019: Vorstand des Niedersächsischen Zentrums für Biomedizintechnik, Implantatforschung und Entwicklung (NIFE)
Seit 2021: Sprecherin des von der Deutschen Forschungsgemeinschaft (DFG) geförderten Transregio-Sonderforschungsbereichs 298 „Sicherheitsintegrierte und infektionsreaktive Implantate“
2025: Ernennung zur Forschungsdekanin der Medizinischen Hochschule Hannover
PD Dr. med. dent. Amelie Bäumer-König, M.Sc.
Fachzahnarztpraxis für Parodontologie
Niedernstr. 16, 33617 Bielefeld
2007–2022: Wissenschaftliche Mitarbeiterin an der Sektion Parodontologie, Poliklinik für Zahnerhaltungskunde der Universität Heidelberg, seit 2011 Oberärztin
2009–2011: Masterstudium für Parodontologie und Implantattherapie der DG PARO und Dresden International University (DIU)
2012: Spezialistin für Parodontologie der DG PARO
2012–2017: Fachzahnarztpraxis für Parodontologie Dr. Körner & Dr. Bäumer-König, Bielefeld
2013: Fachzahnärztin für Parodontologie (ZÄK WL)
2015–2016: Parodontologische Tätigkeit Privatpraxis PD Dr. Paul, Zürich (Schweiz)
2015: Verleihung der Venia Legendi (Habilitation), Universität Heidelberg
seit 2017: Fachzahnarztpraxis PD Dr. Bäumer-König, Bielefeld
seit 2020: Vorstandsmitglied der ARPA-Wissenschaftsstiftung
seit 2023: Lehrbeauftragte an der Charité Universitätsklinikum Berlin
Literaturliste
Deutsche Gesellschaft für Parodontologie (DG PARO), Deutsche Gesellschaft für Zahn-, Mund- und Kieferheilkunde (DGZMK). S3-Leitlinie – Die Behandlung von Parodontitis Stadium I–IV. 2. aktualisierte Auflage 2025. AWMF-Registernummer: 083-043.
Donos N, Andre Mezzomo L, Mardas N, Goldoni M, Calciolari E (2022). Efficacy of tooth-supported compared to implant-supported full-arch removable prostheses in patients with terminal dentition. A systematic review. J Clin Periodontol 49 Suppl 24: 224-247.
Molinero-Mourelle P, Bischof F, Yilmaz B, Schimmel M, Abou-Ayash S (2022). Clinical performance of tooth implant-supported removable partial dentures: a systematic review and meta-analysis. Clin Oral Investig 26: 6003-6014.
Ramanauskaite A, Becker K, Wolfart S, Lukman F, Schwarz F (2022). Efficacy of rehabilitation with different approaches of implant-supported full-arch prosthetic designs: A systematic review. J Clin Periodontol 49 Suppl 24: 272-290.
Tomasi C, Albouy JP, Schaller D, Navarro RC, Derks J (2022). Efficacy of rehabilitation of stage IV periodontitis patients with full-arch fixed prostheses: Tooth-supported versus Implant-supported-A systematic review. J Clin Periodontol 49 Suppl 24: 248-271.


































