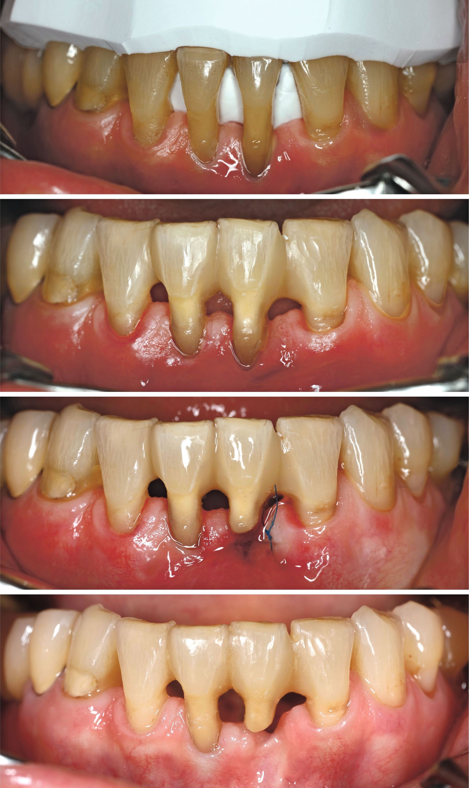
Falltyp 1: Hypermobile Zähne
Beim Falltyp 1können die betroffenen Patienten noch über ihre vollständige Dentition verfügen, zeigen jedoch aufgrund des fortgeschrittenen Attachmentverlusts eine erhöhte Mobilität einzelner oder mehrerer Zähne (zum Beispiel in der Oberkieferfront), die zusätzlich – aufgrund der erhöhten Mobilität – ein sekundäres okklusales Trauma erleiden. Die Kaufunktion (Abbeiß- und okklusale Funktion) ist bei diesen Patienten erheblich eingeschränkt, weswegen spezifische Interventionen erforderlich sind, um Hypermobilität und sekundäre okklusale Traumata adäquat zu adressieren. Eine wichtige Kernaussage der Leitlinie ist, dass Zähne mit Hypermobilität aufgrund eines sekundären okklusalen Traumas behandelt und erhalten werden können (Abbildungen 1 und 2).
Univ.-Prof. Dr. Henrik Dommisch
Direktor der Abteilung für Paro-
dontologie, Oralmedizin und Oralchirurgie
CharitéCentrum 3 für Zahn-, Mund- und Kieferheilkunde, Charité – Universitätsmedizin Berlin
Aßmannshauser Str. 4-6, 14197 Berlin
henrik.dommisch@charite.de
2004: Promotion, Universität Kiel
2002–2014: wissenschaftlicher Mitarbeiter und Oberarzt in der Poliklinik für Parodontologie, Zahnerhaltung und Präventive Zahnheilkunde, Universität Bonn
2006–2007: Postdoctoral Fellow
2007–2022: Affiliate Professor (University of Washington, Seattle, USA)
2008: Habilitation, Venia legendi, Universität Bonn
seit 2014: Universitätsprofessor und Direktor an der Charité
Spezialist für Parodontologie® der DG PARO, Spezialist für Endodontologie der DGET, Präsident der BG PARO
Univ.-Prof. Dr. med. dent. Dr. med. Søren Jepsen, MS
Direktor der Poliklinik für Parodontologie, Zahnerhaltung und Präventive Zahnheilkunde
Zentrum für Zahn-, Mund- und Kieferheilkunde
Universitätsklinikum Bonn
Welschnonnenstr. 17, 53111 Bonn
soeren.jepsen@ukbonn.de
1992–2002: Oberarzt, Klinik für Zahnerhaltungskunde u. Parodontologie, Universität Kiel
seit 2002: Direktor der Poliklinik für Parodontologie, Zahnerhaltung und Präventive Zahnheilkunde Universitätsklinikum Bonn
seit 2005: gewähltes Mitglied der Leopoldina
2008–2015: Sprecher der DFG-Klinischen Forschergruppe „Ursachen und Folgen parodontaler Erkrankungen“ Universität Bonn
2012–2017: Vorstandsmitglied, 2015–2016 Präsident der European Federation of Periodontology (EFP)
2017: Co-Chair AAP/EFP World Workshop on a New Classification for Periodontal and Peri-implant Diseases
2019: IADR/PRG Award in Regenerative Periodontal Medicine
2019, 2021, 2022: Co-Chair European Workshops zu S3-Leitlinien für die Therapie der Parodontitis und peri-implantärer Erkrankungen (EFP)
2022: R. Earl Robinson Periodontal Regeneration Award (AAP)
2023: Distinguished Scientist Award (EFP), AAP Clinical Research Award
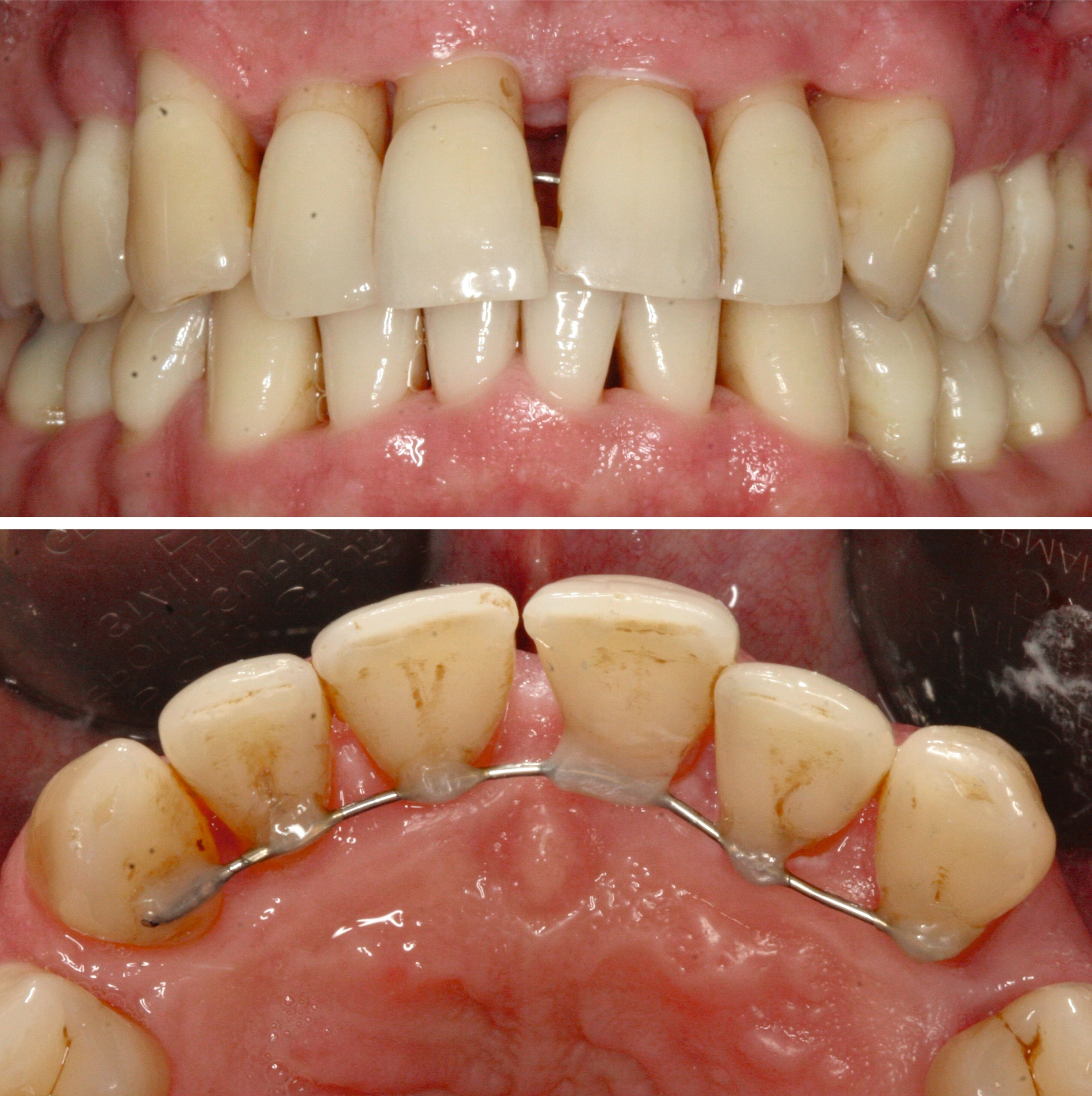
Um das sekundäre okklusale Trauma und die Auswirkungen der Zahnhypermobilität auf den Patientenkomfort zu bewältigen, können während der Therapiestufe 1 eine provisorische Zahnschienung (Abbildungen 3 bis 6) und eine anfängliche okklusale Adjustierung durchgeführt werden. Die Notwendigkeit einer längerfristigen Schienung muss nach Abschluss der Stufen 2 und 3 der Parodontaltherapie neu bewertet werden (Abbildung 7).
Hier geht es direkt zur Fortbildung „Einführung: Krankheitsbild und therapeutische Optionen und Falltyp 1: Hypermobile Zähne“ sowie „Falltyp 2: Die kombiniert parodontal-kieferorthopädische Behandlung“.
Im Folgenden werden die klinischen Fragestellungen im Zusammenhang mit der Parodontitis von Stadium IV mit dem Falltyp 1 und die entsprechend konsentierten Empfehlungen auf der Basis der vorliegenden wissenschaftlichen Evidenz aufgeführt. Dabei geht es um die Frage „Wie wirksam ist bei vollbezahnten Patienten mit Parodontitis im Stadium IV und erhöhter Zahnmobilität aufgrund eines fortgeschrittenen Verlusts des parodontalen Attachments eine Zahnschienung und/oder eine begrenzte okklusale Adjustierung der hypermobilen Zähne?“
Die Schienung von Zähnen (TS – Tooth Splinting) wurde in zwei retrospektiven Studien (n = 72) über bis zu 32,4 Jahre untersucht [Graetz et al., 2019; Sonnenschein et al., 2017]. Der Zahnverlust lag bei TS-Patienten bei 8,4 Prozent, gegenüber 10,1 Prozent ohne TS. TS zeigte keinen Einfluss auf die Sondierungstiefe (PPD – Probing Pocket Depth), auf den Attachmentverlust (CAL – Clinical Attachment Level) oder auf das Knochenniveau (BL – Bone level). Patientenbezogene Ergebnisparameter (PROM – patient-related outcome measures) und andere Komplikationen wurden uneinheitlich berichtet. Eine randomisierte Studie wies auf einen kurzfristigen positiven Einfluss von TS auf die Lebensqualität hin, unabhängig vom Zeitpunkt der Anwendung [Sonnenschein et al., 2021]. Häufig waren Reparaturen notwendig [Graetz et al., 2019]. Bei Stadium-IV-Parodontitis kann TS ästhetisch problematisch sein. Vor regenerativen Eingriffen (Stufe 3) kann TS aufgrund erhöhter Zahnmobilität vorteilhaft sein [Cortellini et al., 2001].
Für TS deutet die allgemeine Evidenz auf ein sehr schwaches positives Verhältnis zwischen Nutzen und Schaden/Risiken hin. Obwohl TS das Überleben der Zähne nicht verbessert, besteht ein positiver Effekt auf den individuellen Patientenkomfort [Sonnenschein et al., 2021]. Wenn eine TS durchgeführt wird, sollten Schienungstechnik, Material und Design eine optimale selbstständige und professionelle Mundhygiene ermöglichen. Die zukünftige Forschung sollte mittels prospektiver Studien die Möglichkeiten der Schienungstechnik und der Materialien sowie langfristige PROMs weiterführend beurteilen.
Zur okklusalen Anpassung (OA – Occlusal Adjustment) wurden drei prospektive Studien (n = 205) analysiert [Burgett et al., 1992; Fleszar et al., 1980; Kerry et al., 1982]. Zwei Studien integrierten OA in die Initialphase der Parodontitistherapie [Fleszar et al., 1980; Kerry et al., 1982], eine weitere randomisierte Studie ermöglichte den direkten Vergleich zweier Gruppen mit und ohne OA [Burgett et al., 1992]. Die Nachbeobachtungszeit lag bei zwei bis acht Jahren. Zahnverlust und PROMs wurden nicht berichtet. OA zeigte positive Effekte auf das klinische Attachmentlevel, jedoch keinen Einfluss auf die Sondierungstiefe oder die Blutung auf Sondierung. Der Nutzen von OA für Zahnerhalt bleibt unklar.
Für OA deuten die vorhandenen Belege auf ein schwaches positives Verhältnis zwischen Nutzen und Schaden/Risiken und damit klinischer Relevanz hin. Es gibt keine Informationen zu PROMs und unerwünschten Ereignissen. Diese müssen in der künftigen Forschung näher untersucht werden.
Für OA deuten die vorhandenen Belege auf ein schwaches positives Verhältnis zwischen Nutzen und Schaden/Risiken und damit klinischer Relevanz hin. Es gibt keine Informationen zu PROMs und unerwünschten Ereignissen. Diese müssen in der künftigen Forschung näher untersucht werden.
Literaturliste
Burgett, F. G., Ramfjord, S. P., Nissle, R. R., Morrison, E. C., Charbeneau, T. D., & Caffesse, R. G. (1992). A randomized trial of occlusal adjustment in the treatment of periodontitis patients. J Clin Periodontol, 19(6), 381–387. doi:10.1111/j.1600-051x.1992.tb00666.x.
Die Behandlung von Parodontitis - Stadium IV. Registernummer: 083-056. 2025. register.awmf.org/de/leitlinien/detail/083-056
Cortellini, P., Tonetti, M. S., Lang, N. P., Suvan, J. E., Zucchelli, G., Vangsted, T., . . . Adriaens, P. (2001). The simplified papilla preservation flap in the regenerative treatment of deep intrabony defects: clinical outcomes and postoperative morbidity. J Periodontol, 72(12), 1702–1712. doi:10.1902/jop.2001.72.12.1702.
Fleszar, T. J., Knowles, J. W., Morrison, E. C., Burgett, F. G., Nissle, R. R., & Ramfjord, S. P. (1980). Tooth mobility and periodontal therapy. J Clin Periodontol, 7(6), 495–505. doi:10.1111/j.1600-051x.1980.tb02156.x.
Graetz, C., Ostermann, F., Woeste, S., Salzer, S., Dorfer, C. E., & Schwendicke, F. (2019). Long-term survival and maintenance efforts of splinted teeth in periodontitis patients. J Dent, 80, 49–54. doi:10.1016/j.jdent.2018.10.009.
Kerry, G. J., Morrison, E. C., Ramfjord, S. P., Hill, R. W., Caffesse, R. G., Nissle, R. R., & Appleberry, E. A. (1982). Effect of periodontal treatment on tooth mobility. J Periodontol, 53(10), 635–638. doi:10.1902/jop.1982.53.10.635.
Sonnenschein, S. K., Betzler, C., Rutters, M. A., Krisam, J., Saure, D., & Kim, T. S. (2017). Long-term stability of splinted anterior mandibular teeth during supportive periodontal therapy. Acta Odontol Scand, 75(7), 475–482. doi:10.1080/00016357.2017.1340668.
Sonnenschein, S. K., Ziegler, P., Ciardo, A., Rutters, M., Krisam, J., & Kim, T. S. (2021). The impact of splinting mobile mandibular incisors on Oral Health-Related Quality of Life - Preliminary observations from a randomized clinical trial. J Clin Periodontol. doi:10.1111/jcpe.13454.



















