Übergreifende Strategie für die Behandlung der Falltypen 3 und 4
Hierzu müssen mehrere wichtige Fragen geklärt werden, darunter
die Ermittlung des Restaurationsbedarfs mit Schwerpunkt auf der Begrenzung des Umfangs der prothetischen Behandlung bei gleichzeitiger Gewährleistung von Patientenkomfort und Stabilität,
die Ermittlung des Bedarfs an Interims-Zahnersatz,
der Zeitplan für die Versorgung mit provisorischem und definitivem Zahnersatz sowie
die Notwendigkeit und der Zeitpunkt des Einsetzens von Zahnimplantaten.
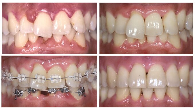
Die Leitlinienexperten haben Empfehlungen für die grundsätzlichen Prinzipien des Managements der Patienten mit einem aufgrund einer Parodontitis im Stadium IV beeinträchtigten Gebiss, das eine Rehabilitation erfordert, formuliert.
Wie wichtig ist die Ermittlung des Restaurationsbedarfs des individuellen Falls bei Patienten mit Parodontitis im Stadium IV?
Ist eine Interimsversorgung bei Patienten mit Parodontitis im Stadium IV notwendig, und wie sind die Zeitabschnitte der Therapie zu wählen?
Was sind die generellen Prinzipien des Designs und der Versorgung mittels einer Prothese bei Patienten mit Parodontitis im Stadium IV?
Die weiteren Empfehlungen (R8.4, R8.5 und R8.6) beziehen sich auf Überlegungen zu Implantatversorgungen bei Stadium-IV-Parodontitis:
Was sind die grundsätzlich zu bedenkenden Faktoren, wenn eine Implantatversorgung bei Patienten mit Stadium-IV-Parodontitis in Betracht gezogen wird?
Was sind die spezifisch zu bedenkenden Faktoren, wenn eine Implantatversorgung bei Patienten mit Stadium-IV-Parodontitis in Betracht gezogen wird?
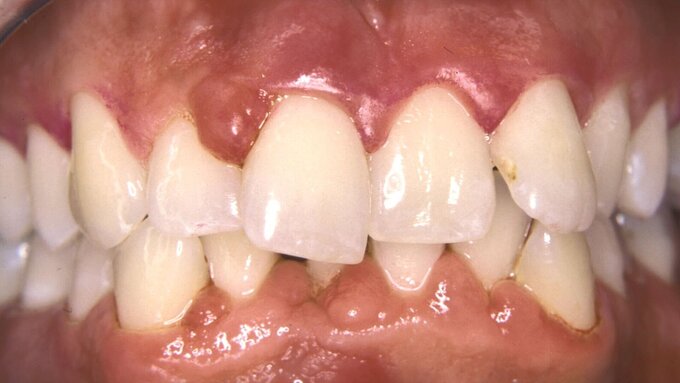
Es gibt zahlreiche Hinweise darauf, dass Personen mit fortgeschrittenen Formen der Parodontitis ein höheres Risiko für Implantatverlust und Periimplantitis haben als die Allgemeinbevölkerung oder Personen ohne Parodontitis in der Vorgeschichte [Carra et al., 2021; Schwarz et al., 2018]. Zwar scheint ein Teil des Risikos damit verbunden zu sein, dass Zahnimplantate vor vollständiger Kontrolle einer Parodontitis gesetzt wurden, und eventuell auch bei Rauchern, doch lässt sich anhand der vorliegenden Daten nicht ausschließen, dass ein Teil des mit Parodontitis verbundenen erhöhten Risikos auch nach einer angemessenen Parodontalbehandlung bestehen bleibt. Die Annahme, dass die Gesundheit und Funktion von Zahnimplantaten bei adäquat behandelten Parodontitis-Patienten im Stadium IV auch bei guter Nachsorge der Langlebigkeit entspricht, die bei Zahnimplantaten in der Allgemeinbevölkerung beobachtet wird, ist wahrscheinlich optimistisch.
Was sind die spezifisch zu bedenkenden Faktoren für das Design von implantatgetragenen Versorgungen bei Patienten mit Parodontitis im Stadium IV?




















