KZBV-VertreterversammlungEßer: "Frust und Enttäuschung in positive Energie verwandelt" In Köln tagt die Vertreterversammlung der KZBV erstmals seit Beginn der Corona-Pandemie wieder in Präsenz. Dort bekannte sich Bundesgesundheitsminister Jens Spahn zum Dualen Krankenversicherungssystem. 30.06.2021 Politik
Wissenswertes zum VirusCorona-News kompakt Gesichtsmaske diagnostiziert COVID +++ 6 Eta-Fälle in Paderborn +++ Erste Corona-Epidemie vor 25.000 Jahren +++ Griechenland: 150-Euro-Gutschein für Erstimpfung +++ Homeoffice: Gang zum WC ist nun versichert 30.06.2021 GesellschaftPolitikCOVID-19-Pandemie
Einfacher ReisenEU-weites digitales Impfzertifikat ab Juli Alle Mitgliedstaaten der Europäischen Union (EU) verfügen jetzt über die notwendige Technik – damit tritt das digitale EU-COVID-Impfzertifikat wie geplant ab 1. Juli in Kraft. 30.06.2021 GesellschaftCOVID-19-Pandemie
Beschluss der GesundheitsministerkonferenzImpfzentren sollen ab Herbst zurückgefahren werden Die Gesundheitsminister der Länder haben beschlossen, den Betrieb der Impfzentren bis zum 30. September zurückzufahren. Stattdessen sollen ab Herbst Arztpraxen und mobile Teams in den Fokus rücken. 30.06.2021 Gesellschaft
EU-KommissionEMA prüft fünf Medikamente zur COVID-19-Therapie Die EU-Kommission hat fünf potenzielle COVID-19-Therapeutika vorgestellt, die für eine Behandlung von Patienten in der EU infrage kommen. Die EMA ist bereits dabei, die Medikamente zu überprüfen. 30.06.2021
Bundesverband der zahnmedizinischen Alumni in DeutschlandAlumni-Preis 2021 geht an Thomas Attin Der Bundesverband der zahnmedizinischen Alumni in Deutschland (BdZA) hat Prof. Thomas Attin mit dem Alumni-Preis 2021 ausgezeichnet. 30.06.2021 GesellschaftStudium
Urlaubsreisen in der PandemieKeine verschärften Einreiseregeln für Rückkehrer Bund und Länder haben entschieden, vorerst die Einreiseregelungen für Reiserückkehrer nicht auszuweiten. Kanzlerin Merkel spricht sich gegen die erneute Einführung von Grenzkontrollen aus. 29.06.2021 Gesellschaft
Alternative zur gematik-LösungAOK will E-Rezept in Kassen-Apps integrieren Das elektronische Rezept sollte künftig nicht nur in der E-Rezept-App der gematik, sondern in den Apps und Online-Plattformen der gesetzlichen Krankenkassen angeboten werden, meint der AOK-Bundesverband. 29.06.2021 GesellschaftPraxis
Diskussionspapier der LeopoldinaDigitale Werkzeuge bleiben für Pandemie-Eindämmung wichtig Um Bürger in die Pandemiebekämpfung aktiv miteinzubinden, sind digitale Werkzeuge wichtige Instrumente, betont die Leopoldina in ihrem neuen Papier. Auch bei einer hohen Immunisierungsrate sollten sie bleiben. 29.06.2021 GesellschaftPolitikCOVID-19-Pandemie
Studie zur Kopf-Hals-Tumoren-TherapieIst die Chemo wirklich immer nötig? Bei der Behandlung von Tumoren im Kopf-Hals-Bereich ist heute die Immuntherapie mit Checkpoint-Inhibitoren zusätzlich zu Bestrahlung und Chemotherapie üblich – doch ist letztere immer nötig? 28.06.2021 Zahnmedizin
Neue IDZ-PublikationNeue Ziele für die Mundgesundheit bis 2030 „Mundgesundheitsziele für Deutschland bis zum Jahr 2030“ - so lautet der Titel der neuen Publikation des Instituts der Deutschen Zahnärzte (IDZ) in Köln. Die Autoren machen darin konkrete Vorgaben für 2030. 28.06.2021 ZahnmedizinGesellschaft
Kassenzahnärztliche BundesvereinigungPAR-Behandlungsstrecke: Das ist für vulnerable Gruppen zu beachten Die Kassenzahnärztliche Bundesvereinigung (KZBV) hat den finalen Film ihres dreiteiligen Videoprojekts zum Inkrafttreten der neuen Parodontits-Richtlinie veröffentlicht. Im Zentrum stehen vulnerable Gruppen. 28.06.2021 PraxisZahnmedizin
Digitale Impfnachweise32 Millionen Impfzertifikate bei 28,9 Millionen vollständig Geimpften? Seit dem Start Mitte Juni sind in Deutschland bislang mehr als 32 Millionen Impfnachweise ausgestellt worden. Allerdings wurden erst 28,9 Millionen Personen vollständig geimpft. Nachfrage beim BMG. 28.06.2021 GesellschaftPolitik
Änderung des InfektionsschutzgesetzesEinreisebeschränkungen auch ohne Pandemielage möglich Beschränkungen bei der Einreise aus Corona-Risikogebieten nach Deutschland können weiter bestehen, auch wenn die epidemische Lage von nationaler Tragweite ausläuft. Das hat der Bundestag jetzt beschlossen. 28.06.2021 GesellschaftPolitikCOVID-19-Pandemie
Zahnärztekammer Sachsen-AnhaltHünecke als Präsident wiedergewählt Am 26. Juni wurde Dr. Carsten Hünecke von den Delegierten der Zahnärztekammer Sachsen-Anhalt im ersten Wahlgang im Amt als Präsident bestätigt. Gleichzeitig feierte die Kammer ihr 30-jähriges Jubiläum. 28.06.2021 Zahnmedizin
Amtsgericht OffenburgZahnarzt: 21.250 Euro Strafe für falsche Masken-Atteste Ein Zahnarzt aus Offenburg hatte als bekennender Coroa-Leugner insgesamt 232 falsche Atteste zur Befreiung von der Maskenpflicht ausgestellt. Nun wurde er zu einer hohen Geldstrafe verurteilt. 28.06.2021 GesellschaftPraxis
Wissenswertes zum VirusCorona-News kompakt +++ Erster Pflanzen-Impfstoff durchläuft Phase I +++ Impfpflicht lässt Impfbereitschaft sinken +++ Hacker-Kollektiv führt Testzentren vor +++ Leipziger Oper: Neue Luftdesinfektion kann auch heizen +++ 25.06.2021 Gesellschaft
Auswertung der neuesten Daten in den USAMyokarditis: US-Impfkommission sieht keine Gefahr nach mRNA-Impfung Myokarditis und Perikarditis treten extrem selten nach einer Impfung mit mRNA-Vakzinen auf und haben meistens einen milden Verlauf. Zu diesem Ergebnis kommt die US-Impfkommission ACIP. 25.06.2021 Gesellschaft
Datenmodellierung der Universität KentErste COVID-19-Fälle schon im Oktober 2019? Nach einer Datenmodellierung der Universität Kent könnten die ersten COVID-19-Fälle bereits im Oktober 2019 aufgetaucht sein. Das Virus könnte sich dann schneller global verbreitet haben als bisher bekannt. 25.06.2021 GesellschaftCOVID-19-Pandemie
Tweet-AnalyseDie Pandemie verstärkt Zahnarztangst Ein Forscher hat gezeigt, dass negative Emotionen, die mit oralchirurgischen Eingriffen verknüpft sind, durch die Pandemie noch verstärkt wurden. Dafür analysierte er über tausend Tweets vor und nach Corona. 25.06.2021 Zahnmedizin
Phase-out statt Phase-downBritische Zahnärzte gegen Amalgam-Ausstieg bis 2030 Die British Dental Association (BDA) macht sich für ein Phase-down bei Dentalamlagam stark – auch sie stellt sich somit gegen den von der EU vorgeschlagenen harten Ausstieg bis 2030. 25.06.2021 PolitikAmalgam
TariferhöhungMehr Geld für ZFA zum 1. Juli Zum 1. Juli tritt die zweite Stufe des Gehaltstarifvertrags für ZFA in Hamburg, Hessen, Saarland und Westfalen-Lippe in Kraft. Die Gehälter bis zum 15. Berufsjahr steigen damit um linear drei Prozent. 25.06.2021 Praxis
Medscape Gehaltsreport 2021So kamen die Ärzte finanziell durch die Corona-Krise Die Pandemie hat das Arbeitsleben von Ärzten definitiv verändert. Die finanziellen Folgen zeigt der Gehaltsreport von Medscape. 24.06.2021 PraxisGesellschaft
BMG-SchätzungenGestiegene GKV-Ausgaben bei Zahnersatz? Während die GKV-Ausgaben im ersten Quartal bei Krankenhausbehandlungen sowie Vorsorge- und Rehabilitationsleistungen zurückgegangen sind, kam es zu einem starken Anstieg bei zahnärztlichen Behandlungen und ZE. 24.06.2021 GesellschaftPolitik
TK-Gesundheitsreport 2021Wie uns der Dauerlockdown mürbe machte Der Krankenstand ist 2020 gesunken und es gab so wenig Antibiotika-Verschreibungen wie noch nie, aber Dauerlockdown und Kinderbetreuung im Homeoffice haben uns mürbe gemacht, wie der TK-Gesundheitsreport zeigt. 24.06.2021 Gesellschaft
GrundlagenforschungWie Tumoren in der Mundhöhle entstehen Neue Erkenntnisse in der Grundlagenforschung: Ein Forschungsteam aus China hat die Mechanismen aufgedeckt, die das Tumorwachstum in der Mundhöhle begünstigen. 24.06.2021 Zahnmedizin
Aktueller RKI-BerichtDelta-Variante schon bei 15 Prozent in Deutschland Der Anteil der Delta-Variante hat sich in Deutschland mit 15 Prozent erneut innerhalb einer Woche verdoppelt, meldet das Robert Koch-Institut (RKI). 24.06.2021 GesellschaftPolitik
InfektionsschutzgesetzÄrzte haften nicht für Corona-Impfschäden bei Schwangeren Das Infektionsschutzgesetz sichert Mediziner auch gegen die Haftung bei Folgeschäden ab, wenn sie schwangere Frauen impfen, berichten die Fachgesellschaften mit Verweis auf eine neue Stellungnahme der STIKO. 24.06.2021 GesellschaftCOVID-19-Pandemie
Antrag im BundestagGrüne für eine Europäische Gesundheitsunion Um in Pandemiezeiten die Versorgung in der EU mit medizinischen Produkten sicherzustellen, plädieren die Grünen für eine Europäische Gesundheitsunion. Etabliert werden müsse ein europäisches Frühwarnsystem. 23.06.2021 Politik
ZahnmedizinstudiumKünftig darf auch digital gelehrt werden Keine weiteren Belastungen für Zahnmedizinstudierende: Lehrformate sollen künftig digital abgehalten und Präsenzveranstaltungen auch bei höheren Inzidenzen an der Uni stattfinden können, heißt es aus dem BMG. 23.06.2021 Studium
BundeszahnärztekammerCorona-Hygienepauschale wird erneut verlängert! Bundeszahnärztekammer (BZÄK), PKV-Verband und Beihilfe von Bund und Ländern haben sich auf eine weitere Verlängerung der Corona-Hygienepauschale bis zum 30. September verständigt. 23.06.2021 Politik
Repräsentative Umfrage des BKK DachverbandesKrankenversicherung: Mitglieder sind oft uninformiert und unzufrieden Was zeichnet eine gute Krankenversicherung aus? Der BKK Dachverband fand heraus, dass es nicht so einfach ist, die Versicherten zufriedenzustellen. Jüngere sind skeptisch und viele kennen die Angebote nicht. 23.06.2021 Gesellschaft
Vereinigtes KönigreichLockdowns könnten Mundkrebs-Sterblichkeit drastisch erhöhen Die Mundkrebs-Überweisungen in Großbritannien sind seit März 2020 um 60 Prozent zurückgegangen, meldet die BDA. Sie warnt, dass dies zu einem "verheerenden Anstieg der Sterblichkeit" führen könnte. 23.06.2021 Gesellschaft
Landesarbeitsgericht KölnKein Beschäftigungsanspruch ohne Maske – trotz Attest Ein Arbeitnehmer hatte Klage eingereicht, weil er wegen eines ärztlichen Attests von der Maskenpflicht entbunden war, sein Arbeitgeber aber auf der Maske bestand. Das Gericht wies die Klage zurück. 23.06.2021 Gesellschaft
Pfälzischer ZahnärztetagGestalten, nicht verhindern! Angesichts der bevorstehenden Bundestagswahl und des Generationenwechsels im Berufsstand forderte der Pfälzische Zahnärztetag Initiative statt Stillstand. Weitere Themen: Alterszahnmedizin und KI. 23.06.2021 Politik
CDU und CSU stellen ihr Wahlprogramm vor"Eine Einheitsversicherung und Schritte dahin lehnen wir ab!" Einkommensabhängige paritätische Beiträge in der Gesetzlichen Krankenversicherung, Nein zur Bürgerversicherung und Ja zur Selbstverwaltung – die Union hat ihr Programm zur Bundestagswahl vorgestellt. 23.06.2021 Politik
Aktion Zahnfreundlich e.V.Friedrich-Römer-Ehrenmedaille geht an Rojas Dr. Gudrun Rojas, Leiterin des Zahnärztlichen Dienstes in Brandenburg an der Havel und Mitinitiatorin des Präventionsprogramms "Kita mit Biss", wurde mit der Friedrich-Römer-Ehrenmedaille ausgezeichnet. 22.06.2021 Praxis
Elektronische PatientenakteKeine Sanktionen bei unverschuldeter Nichteinhaltung der Frist? Praxen, die bis zum 30. Juni nicht mit Konnektor und PVS ausgestattet sind, weil die Hersteller nicht liefern können, werden laut BMG wohl nicht sanktioniert. Dennoch rät die KZBV zur Bestellung der Dienste. 22.06.2021 Praxis
Kleine UmfrageBritische Zahnärzte wollen die Praxis rocken "Delta? I don't care!" Die britischen Zahnärzte lechzen nach Normalität, sie wollen investieren, Patienten behandeln und endlich wieder Kollegen treffen. 22.06.2021 Praxis
MedienrechtSocial Media: Vorsicht beim Teilen von Patientendaten! Zahnärzte nutzen Social Media auch, um mit klinischen Vorher-Nachher-Aufnahmen Werbung für die eigene Praxis zu machen. Wir haben die Rechtsanwältin Rebecca Richter gefragt, was erlaubt ist – und was nicht. 21.06.2021 PraxisZahnmedizin
Auszeichnung für Sumita MitraEuropäischer Erfinderpreis für Nanotechnologie in der Zahnmedizin Sie gilt als Wegbereiterin der Nanotechnologie in Dentalmaterialien: Sumita Mitra hatte in den 1990ern eine nanomaterialbasierte Zahnfüllung entwickelt. Jetzt bekam sie dafür den Europäischen Erfinderpreis. 21.06.2021 Zahnmedizin
BundesgesundheitsministeriumÜber 22 Millionen Deutsche haben digitalen Impfpass Zehn Tage nach dem offiziellen Start des digitalen Impfpasses in Deutschland sind mehr als 22 Millionen CovPässe ausgestellt. Die Hälfte der Deutschen hat die Erstimpfung, über 30 Prozent auch die Zweitimpfung. 21.06.2021 Gesellschaft
Kassenzahnärztliche BundesvereinigungPAR-Richtlinie: So können Praxen die neuen Leistungen abrechnen! Die Kassenzahnärztliche Bundesvereinigung (KZBV) hat ihr zweites Video zur neuen Parodontits-Richtlinie veröffentlicht. Diesmal geht es um Fragen rund um die Abrechnung. 21.06.2021 Praxis
Wahlprogrammentwurf für die BundestagswahlCDU und CSU kontra Bürgerversicherung Weniger Bürokratie, mehr Vernetzung und Digitalisierung und auf keinen Fall die Bürgerversicherung – das sind die Pläne der Union für die nächste Legislatur. 18.06.2021 Politik
Zentralinstitut für die kassenärztliche VersorgungModellrechnung: Impfkampagne könnte sich verzögern Die Corona-Impfkampagne könnte sich laut einer Modellrechnung um vier Wochen verzögern. Die Zweitimpfung aller Erwachsenen wäre dann erst Mitte Oktober abgeschlossen. 18.06.2021 Gesellschaft
Sonderregelungen zur Corona-PandemieTelefonische AU bis zum 30. September verlängert Der Gemeinsame Bundesausschuss hat seine Sonderregeln zur telefonischen Krankschreibung und zur telefonischen Beratung in der ambulanten spezialfachärztlichen Versorgung bis zum 30. September verlängert. 18.06.2021 PraxisGesellschaft
Wissenswertes zum VirusCorona-News kompakt +++ Die Corona-Warn-App wird ein Jahr alt +++ Impfpass-Sefies in den Sozialen Medien vermeiden +++ Bund fördert Einbau von Luftfiltern in Schulen +++ Suche nach Virus in Abwasser wird ausgeweitet +++ 18.06.2021 GesellschaftPolitikCOVID-19-Pandemie
Studie zu psychischen Auswirkungen der PandemieJeder Vierte schwer Erkrankte leidet unter PTBS Ein Viertel der schwer an COVID-19 Erkrankten entwickelt drei Monate nach körperlicher Genesung eine posttraumatische Belastungsstörung. Zu dem Ergebnis kommt eine repräsentative Studie der Uni Duisburg-Essen. 18.06.2021 Gesellschaft
Studien zu heterologen COVID-ImpfungKombination von COVID-Vakzinen erzielt hohe Wirksamkeit Nach Berichten aus Großbritannien und Spanien legt eine weitere deutsche Untersuchung nahe, dass die Kombination der COVID-Vakzine von AstraZeneca und BioNTech sicher ist und zu einer guten Immunantwort führt. 18.06.2021 Gesellschaft
ZwischenanalyseCureVac nur halb so effektiv wie andere mRNA-Impfstoffe Der Impfstoff von CureVac erreicht in einer Zwischenanalyse nur eine Wirksamkeit von 47 Prozent, was nicht zuletzt an der Bandbreite der Virusvarianten liegt. Vor August wid nicht mit einer Zulassung gerechnet. 17.06.2021
Gesundheitsministerkonferenz (GMK)Impfzentren sollen über den Sommer erhalten bleiben Die Corona-Impfzentren von Bund und Ländern sollen über den Verlauf des Sommers erhalten bleiben. Auch für Flugreisende aus dem Ausland bleibt es bei der generellen Testpflicht vor dem Flug. 17.06.2021 Gesellschaft
UPD-Patientenmonitor 2020Unabhängige Patientenberatung gefragt wie nie zuvor Nie zuvor haben sich so viele Menschen an die Unabhängige Patientenberatung Deutschland (UPD) gewandt wie im Corona-Jahr 2020. Vor allem beim Thema Impfung wurden die Anfragen emotional. 17.06.2021 Gesellschaft
Aktueller RKI-BerichtDelta-Variante in 6,2 Prozent der positiven Proben Auch in Deutschland ist der Anteil der Delta-Variante innerhalb kürzester Zeit angestiegen. Noch kommt die Mutation hierzulande bisher selten vor. Mit ihrem Anstieg geht jedoch die Alpha-Variante zurück. 17.06.2021 Politik
Studien-Review zu Vitamin DKeine ausreichende Evidenz für die Wirkung gegen COVID-19 Bislang gibt es keine stichhaltigen Nachweise über eine Wirksamkeit im Rahmen einer COVID-19 Erkrankung oder einer Krankheitsprävention. Wissenschaftler widerlegen diese Annahme in einer aktuellen Übersichtsarb 17.06.2021 Gesellschaft
Vortrag auf der DG Paro Jahrestagung„Mundhygiene ist nicht alles“ Mundhygiene sei ein bei Zahnärzten unbeliebtes Thema, weil die Instruktion der Patienten viel Zeit koste und häufig mühsam sei. Das spricht Prof. Dr. Christof Dörfer ganz ehrlich in seinem Vortrag an. 17.06.2021 ZahnmedizinPraxis
Daten aus Großbritannien zur Delta-VarianteHospitalisierungsrisiko sinkt durch Impfungen Neueste Daten der Gesundheitsbehörde Public Health England (PHE) zeigen, dass eine vollständige Impfung auch bei einer Infektion mit der Delta-Variante das Hospitalisierungsrisiko verringert. 16.06.2021 Gesellschaft
Hauptstadtkongress 2021„Jetzt muss eine gesellschaftliche Debatte erfolgen“ Welche Lehren ziehen wir aus der Pandemie? Viel Prominenz aus Politik und Wissenschaft auf dem Kongress sieht Deutschland zwar für die Virus-Bekämpfung gut gerüstet, betont aber die notwendige Debatte. 16.06.2021 Gesellschaft
Gesetzliche Krankenkassen (GKV)Studie errechnet Rekordminus von 27,3 Milliarden Euro Eine Studie der DAK-Gesundheit prognostiziert eine deutliche Verschlechterung der Finanzlage der GKV bis 2025. Der durchschnittliche Zusatzbeitrag für Versicherte könnte dadurch um 1,6 Prozent steigen. 16.06.2021
PEI-SicherheitsberichtAuch in Deutschland: Fälle von Myokarditis nach COVID-Impfungen Bislang sind dem Paul-Ehrlich-Institut (PEI) 90 Fälle von Herzmuskelentzündungen (Myokarditis) nach einer COVID-Impfung gemeldet worden. Sie traten am häufigsten bei jungen Männern auf. 16.06.2021 Politik
Delta-Variante bei 90 ProzentGroßbritannien verschiebt Lockdown-Ende Die britische Regierung hatte geplant, die Corona-Einschränkungen am 21. Juni aufzuheben. Da sich die Delta-Variante so rasant verbreitet, werden die geplanten Lockerungen nun um vier Wochen verschoben. 15.06.2021 Politik
Verband medizinischer Fachberufe (VmF)Digitaler Impfnachweis: Patienten sollen auf Nachfragen verzichten Der VmF weist daraufhin, dass die Ausstellung digitaler Impfausweise in Arztpraxen noch nicht möglich ist. Um die Versorgung und Corona-Impfungen nicht zu behindern, sollten Patienten auf Nachfragen verzichten. 15.06.2021 PolitikCOVID-19-Pandemie
Deutsche Zahnmedizin im internationalen VergleichFrankenberger: „Erfolgreich trotz chronischer Unterfinanzierung“ DGZMK-Präsident Prof. Dr. Roland Frankenberger weist auf eine neue Studie hin, die die deutsche zahnmedizinische Forschung im internationalen Vergleich erheblich besser zeigt als bisher dargestellt. 15.06.2021 Politik
Epidemische Lage von nationaler TragweiteBundestag verlängert Frist bis Ende September Der Bundestag hat einer weiteren Verlängerung der epidemischen Lage von nationaler Tragweite zugestimmt. Die Frist läuft jetzt bis Ende September. 14.06.2021 Politik
Parodontologie - Wissenschaft für die PraxisFast 1.000 Teilnehmer bei der DG-PARO-Jahrestagung Die Jahrestagung der Deutschen Gesellschaft für Parodontologie (DG PARO) fand am 4./5. Juni 2021 als Onlineveranstaltung statt – die hohe Teilnehmerzahl zeigt das steigende Interesse an der Parodontologie. 14.06.2021 Zahnmedizin
Gesetz zur Weiterentwicklung der Gesundheitsversorgung (GVWG)Bundestag beschließt umstrittenes „Omnibusgesetz” Das GVWG regelt unter anderem die Verpflichtung zur Berufshaftpflichtversicherung im fünften Sozialgesetzbuch für Vertragszahnärztinnen und –ärzte. 14.06.2021 Politik
Bundestagsbeschluss zu Frauen in FührungspositionenEine Quote soll es richten Um den Frauenanteil in der Führung von Wirtschaft und öffentlichem Dienst zu erhöhen, wird es künftig verbindliche Vorgaben und eine Quote geben, hat der Bundestag beschlossen. Die KZBV fällt nicht darunter. 14.06.2021 Politik
US-amerikanische StudieSenolytika könnten Sterblichkeit bei Älteren reduzieren In einer präklinischen Studie konnte die Sterblichkeit bei COVID-infizierten Mäusen durch die Gabe von Senolytika um die Hälfte gesenkt werden. 14.06.2021 Gesellschaft
Bundesgesundheitsminister zur MaskenpflichtFür Reisende und im Innenbereich bleiben Masken empfohlen Gekoppelt an den lokalen Inzidenzwert und die Impfquote kann die Pflicht zum Maskentragen stufenweise fallen – vor allem draußen, erklärte Bundesgesundheitsminister Jens Spahn (CDU) jetzt gegenüber Medien. 14.06.2021 GesellschaftPolitik
Wissenswertes zum VirusCoronanews kompakt +++ G7-Gesundheitsminister einig: bessere Vorbereitung für die Zukunft +++ Mit der Impfung in die Freiheit – BMG engagiert David Hasselhoff für Kampagne +++ Geimpfte dürfen gratis aufs Empire State Building +++ 11.06.2021 Gesellschaft
STIKO gibt Corona-Impfempfehlung für Kinder und Jugendliche„Nur für 12- bis 17-Jährige mit bestimmten Vorerkrankungen“ Die Ständige Impfkommission (STIKO) empfiehlt Corona-Impfungen mit BioNTech für Kinder und Jugendliche mit bestimmten Vorerkrankungen. Eine generelle Empfehlung in dieser Altersgruppe gibt sie damit nicht. 11.06.2021
KBV zum digitalen Impfnachweis CovPass„Nicht sofort flächendeckend“ Der digitale Impfnachweis wird nicht sofort flächendeckend bei den Ärzten starten, da es noch keine Klarheit über die genauen technischen Abläufe in den Praxen gibt. Das stellt die KBV klar. 11.06.2021
US-Studie zu COVID-19 und ErnährungErnährung beeinflusst den Krankheitsverlauf Eine vorwiegend pflanzenbasierte Ernährung kann vor einem schweren Verlauf einer COVID-19-Infektion schützen, fanden US-amerikanische Wissenschaftlerinnen und Wissenschaftler heraus. 11.06.2021 GesellschaftStudien zu COVID-19
Strategische PartnerschaftGoogle erhält Patientendaten einer US-Krankenhauskette zur Analyse Der US-Gesundheitsdienstleister HCA Healthcare gewährt Google künftig die Datenanalyse von rund 32 Millionen jährlichen Patientenkontakten. Der Datenschutz sei gewährleistet, heißt es. US-Medien zweifeln daran. 11.06.2021 Gesellschaft
Aktueller RKI-BerichtVariante Delta liegt in Deutschland bei 2,5 Prozent Während sich die in Indien entdeckte Virusvariante Delta in Großbritannien zunehmend ausbreitet, kommt sie in Deutschland noch selten vor. 10.06.2021
Digitaler Impfnachweis ab heute verfügbarCovPass für alle – Zielmarke: Ende Juni Ab heute wird der digitale Impfnachweis Schritt für Schritt in Deutschland eingeführt. Bis Ende des Monats soll er flächendeckend zur Verfügung stehen. Er ergänzt das weiterhin gültige gelbe Impfheft. 10.06.2021 Gesellschaft
Aktueller Bericht zur FinanzlageBundesrechnungshof kritisiert Spahn für die hohen Corona-Ausgaben Einem aktuellen Bericht des Bundesrechnungshofs zufolge hat das BMG im Jahr 2020 zu viel Geld für überteuerte Schutzmasken, Ausgleichszahlungen an Krankenhäuser und die Schaffung neuer Intensivbetten gezahlt. 10.06.2021 Politik
Neue Corona-Testverordnung auf dem WegHärtere Vorgaben für Testzentren Um weitere Betrugsfälle zu vermeiden, wird die Corona-Testverordnung nachgeschärft. So soll etwa die Vergütung für die Bürgertests gesenkt werden, heißt es in einem Entwurf, der gestern in die Abstimmung ging. 10.06.2021
BundeszahnärztekammerNeues BZÄK-Führungstrio stellt sich vor Bei seinem ersten gemeinsamen Pressegespräch hat sich der frisch gewählte Geschäftsführende Vorstand der Bundeszahnärztekammer (BZÄK) der Fachpresse vorgestellt und erste Arbeitsschwerpunkte gesetzt. 10.06.2021
Charité – Universitätsmedizin BerlinStudie belegt verzögerte Impfantwort bei über 70-Jährigen Nach mehreren Fällen ist klar: In Pflegeheimen kann es trotz vollständiger Impfung der Bewohner zu SARS-CoV-2-Ausbrüchen kommen. Die virologische Analyse eines Forschungsteams der Charité zeigt, warum. 10.06.2021 Gesellschaft
Krankenhaushygieniker sehen Mängel bei Import-Masken„Gigantischer Fehlkauf“ Gravierende Mängel bei den von Bundesgesundheitsminister Jens Spahn importierten FFP2-Masken sehen führende Krankenhaushygieniker. Die Ware sollte schnellstmöglich entsorgt werden, fordern sie. 10.06.2021
Indonesische StudieMit Flüssigrauch aus Reishülsen gegen Parodontitis In Indonesien haben Wissenschaftler eine ungewöhnliche Wirkstoffquelle zur Behandlung von Parodontitis untersucht – scheinbar mit Erfolg. 09.06.2021 ZahnmedizinGesellschaft
Aktionsnetzwerk Health for FutureGesundheitsberufler: „Klimawandel gefährdet die Gesundheit“ Eine umgehende und stringente Umsetzung weitreichender Klimaschutzmaßnahmen fordern Gesundheitsberufler im Aktionsnetzwerk Health for Future. Zur Bundestagswahl legen sie ihre Positionen vor. 09.06.2021 GesellschaftPolitikKlima und Gesundheit
COVID-ImpfstoffCureVac: Zulassung nicht vor August Nach BioNTech ist CureVac das zweite deutsche Unternehmen, das einen Impfstoff gegen SARS-CoV-2 entwickelt hat. Allerdings gibt es im Zulassungsprozess erhebliche Verzögerungen. Warum, bleibt unklar. 09.06.2021
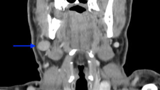
Patientenfall in der MKG-ChirurgieMetastase in der Mundschleimhaut Die klinische Untersuchung ließ auf ein Plattenepithelkarzinom schließen, differenzialdiagnostisch kam auch eine Epulis in Betracht. Anamnestisch zeigte sich eine schwere langjährige Vorerkrankung. 09.06.2021 ZahnmedizinPraxis
Titandioxid in ZahnpastaEinige Hersteller verzichten auf potenziell erbgutschädigenden Stoff Mitte Mai hat die Europäische Union den Lebensmittelzusatzstoff Titandioxid als „nicht mehr sicher“ eingestuft. Jetzt kündigen einige Zahnpasta-Hersteller einen Verzicht auf den Weißfarbstoff an – andere nicht. 09.06.2021 GesellschaftTitandioxid
Infos zum digitalen Corona-ImpfpassDigitaler Impfnachweis ab 14. Juni in Apotheken und Impfzentren Ab Montag der kommenden Woche sollen sich vollständig geimpfte Personen den digitalen Impfnachweis in vielen Apotheken ausstellen lassen können. Die Adressen der teilnehmenden Stellen sind online zu finden. 09.06.2021 GesellschaftPolitikCOVID-19-Pandemie
Versorgungs-Report „Klima und Gesundheit“Wen der Klimawandel besonders krank macht Klimawandel macht krank. Das zeigt der neue Versorgungs-Report des Wissenschaftlichen Instituts der AOK (WIdO). Viele Klinikeinweisungen gehen demnach auf Hitze zurück und besonders Ältere sind betroffen. 08.06.2021 GesellschaftNachrichten
COVID-19-ImpfstoffModerna beantragt EU-Zulassung für Kinder ab zwölf Jahren Das US-Unternehmen Moderna hat den Zulassungsantrag seines mRNA-Vakzins für Kinder und Jugendliche ab zwölf Jahren in Europa gestellt. Studien zufolge sei der Impfstoff auch in der Altersgruppe hochwirksam. 08.06.2021
Delta-Mutation B.1.617.2 dominiert in GroßbritannienUm 40 Prozent ansteckender, aber nicht tödlicher Mit Analysen der Neuinfektionen mit der Delta-Mutation versucht die Organisation Public Health England (PHE) die pandemische Lage abzuschätzen. Die Mutante sei deutlich ansteckender, aber nicht tödlicher. 08.06.2021 Gesellschaft
RückblickDie Highlights der Bundesversammlung Am 4. und 5. Juni fand in Berlin die außerordentliche Bundesversammlung statt – unter Pandemiebedingungen und mit der Wahl eines neuen Geschäftsführenden Vorstandes, darunter erstmals einer Frau. Ein Rückblick. 07.06.2021 Politik
Hartmannbund fordert neue Strategie zur Pandemie-BewältigungReinhardt: „Professionelle Routine statt Daueralarm“ Für den weiteren Umgang mit der Corona-Krise fordert der Vorsitzende des Hartmannbundes, Dr. Klaus Reinhardt, eine professionelle Routine statt Daueralarm. 07.06.2021 Gesellschaft
Spahn weist Maskenvorwürfe zurückQualität entsprach Anforderungen des Infektionsschutzgesetzes Bundesgesundheitsminister Jens Spahn hat die Verwendung minderwertiger Corona-Schutzmasken für Obdachlose und Hartz IV-Empfänger dementiert. Die Masken würden allen notwendige Anforderungen gerecht werden. 07.06.2021
Tag der ApothekeNur ein Drittel der Deutschen vertraut Apothekern In der Coronavirus-Pandemie sind und waren die Apotheken wichtige Beratungsstellen für Bürger, die in der Masse an Informationen Orientierung geben. Dennoch vertrauen nur gut ein Drittel den Apothekern. 07.06.2021 Gesellschaft
Impfungpriorisierung entfälltBetriebs- und Privatärzte können ab jetzt auch impfen Ab dem 7. Juni fällt die Impfpriorisierung weg. Somit kann sich ab jetzt jeder Bürger ab 12 Jahren impfen lassen. Unter den Jugendlichen ist die Bereitschaft dafür hoch, doch der Impfstoff bleibt knapp. 07.06.2021 GesellschaftCOVID-19-Pandemie
BundesversammlungBZÄK beschließt Resolution zur Zukunft des Gesundheitssystems Nach der Wahl des Geschäftsführenden Vorstandes am Freitag stand der zweite Tag der Bundesversammlung im Zeichen inhaltlicher Positionierungen der Bundeszahnärztekammer. 05.06.2021 Politik
BundesversammlungProf. Dr. Christoph Benz ist neuer BZÄK-Präsident Neuer Präsident der Bundeszahnärztekammer (BZÄK) ist Prof. Dr. Christoph Benz. Als Vizepräsidenten neu gewählt sind Konstantin von Laffert und – als erste Frau im Geschäftsführenden Vorstand – Dr. Romy Ermler. 04.06.2021
Wissenswertes zum VirusCoronanews kompakt +++ Fällt bald die Testpflicht? +++ Indoor-Event ohne Ansteckungen möglich +++ Charité: Heterologe Impfung ist wirksamer +++ Virusmutation in Vietnam entdeckt +++ Fünf Millionen für Long COVID-Forschung +++ 04.06.2021 Gesellschaft
Eurobarometer-UmfrageNur 35 Prozent der Deutschen sind zufrieden mit Corona-Politik der EU Im Durchschnitt sind 48 Prozent der Europäer zufrieden mit der Corona-Politik der EU. In Deutschland sind es nur 35 Prozent. 04.06.2021
BundeszahnärztekammerBundesversammlung in Berlin gestartet Die außerordentliche Bundesversammlung der Bundeszahnärztekammer ist heute in Berlin gestartet. Der am meisten beachtete Tagesordnungspunkt 6 ist die Wahl des neuen dreiköpfigen Geschäftsführenden Vorstandes. 04.06.2021 Politik
Kassenzahnärztliche BundesvereinigungDrei Videos zur neuen PAR-Richtlinie Am 1. Juli tritt die neue Parodontitis-Richtlinie in Kraft. Wie die Behandlungsstrecke aussieht, zeigt die KZBV in drei neuen Videos. Teil 1 (Leistungsstrecke der systematischen PAR-Therapie) ging heute live. 04.06.2021 Politik
Greifswalder Studie bestätigtZahnfleischschwund fördert Demenzrisiko Wissenschaftler der Universitätsmedizin Greifswald konnten in einer neuen Studie den Zusammenhang zwischen Parodontitis und einer Alzheimer-Erkrankung bestätigen. 04.06.2021 Zahnmedizin
Antikörperstudie zu COVID-19Magdeburg: Jede zweite Infektion war unbekannt Die ersten Ergebnisse einer großangelegten Antikörperstudie der Universitätsmedizin Magdeburg liegen vor: Danach kommt auf jede gemeldete SARS-CoV-2-Infektion eine nicht erfasste. 04.06.2021 Gesellschaft
Studie der University of BirminghamGroßbritannien: Zahnärzte hatten über 2,5-faches Infektionsrisiko Eine Studie der University of Birmingham mit rund 1.500 Zahnärzten zeigt, dass sie während der ersten Welle in Großbritannien einem erhöhten berufliches Risiko für eine SARS-CoV-2-Infektion ausgesetzt waren. 03.06.2021 PraxisCOVID-19-Pandemie
STIKO-Chef Thomas Mertens„Die Impfung ist kein Lakritzbonbon!” Anfang nächster Woche wird sich die Ständige Impfkommission (STIKO) am RKI wohl zur Corona-Impfung von Kinder und Jugendliche äußern. Erwartet wird eine eingeschränkte Empfehlung für Kinder mit Vorerkrankungen. 03.06.2021 GesellschaftCOVID-19-Pandemie
Neue Coronavirus-ImpfverordnungÄrzte erhalten sechs Euro für ein Impfzertifikat Ab Montag tritt die neue Impfverordnung in Kraft: Darin ist auch die Vergütung für das Ausstellen von digitalen Impfausweisen geregelt: Es gibt sechs Euro je Zertifikat für die Impfung in eigener Praxis. 03.06.2021 Politik
Zusätzlicher BundeszuschussSieben Milliarden mehr für die GKV Das Bundeskabinett hat einen zusätzlichen Bundeszuschuss zur gesetzlichen Krankenversicherung in Höhe von sieben Milliarden Euro für 2021 beschlossen, gab Bundesgesundheitsminister Jens Spahn bekannt. 03.06.2021
Vier IntensitätsstufenRKI legt Stufenplan zur Öffnung vor Das Robert Koch-Institut (RKI) hat ein Öffnungskonzept vorgelegt. Das Corona-Risiko für die deutsche Bevölkerung wurde von den Experten um eine Stufe von „sehr hoch“ auf „hoch“ heruntergestuft. 02.06.2021
Infos zum digitalen Corona-ImpfpassSo funktioniert die CovPass-App In Deutschland läuft der Feldtest zum digitalen Impfpass – das Robert Koch-Institut (RKI) erklärt jetzt, wie der Impfnachweis über die CovPass-App funktionieren soll. 02.06.2021 Gesellschaft
Über 150 Exponate von der Antike bis zur GegenwartLetzte Chance: die Ausstellung "In aller Munde" Noch bis zum 6. Juni ist die Ausstellung "In aller Munde - Von Pieter Bruegel bis Cindy Sherman" im Kunstmusem Wolfsburg geöffnet. Die Exponate reichen von antiker Malerei bis zu moderner Kunst. 02.06.2021 Gesellschaft
BundeszahnärztekammerBundesversammlung für Gäste nur im Livestream Am 4. und 5. Juni findet in Berlin die außerordentliche Bundesversammlung der BZÄK mit der Wahl des neuen Geschäftsführenden Vorstandes statt. Achtung: Gäste dürfen der Veranstaltung nur per Livestream folgen. 02.06.2021 Politik
Elektronischer MedikationsplanDer eMP ist einsatzbereit! Anders als andere elektronische Anwendungen kann der elektronische Medikationsplan (eMP) bereits genutzt werden. Der Patient benötigt dafür eine sechsstellige PIN, die er bei seiner Krankenkasse anfordern muss. 02.06.2021 PraxisZahnmedizin
Internationaler Ärztinnenkongress zur Digitalisierung des Gesundheitswesens"Die Genderperspektive muss mit rein!" Genderspezifische Aspekte müssen bei politischen Fragen zur Pandemie und bei der Digitalisierung berücksichtigt werden, fordert der Internationale Ärztinnenkongress. 02.06.2021 Politik
Konsequenzen aus Betrugsfällen mit SchnelltestsLaborärzte fordern Schließung nichtärztlicher Testzentren Die Laborärzte fordern die Schließung nichtärztlich geführter Schnelltest-Zentren. Die Vorfälle um überhöhte Testzahlen und Pannen beim Patientendatenschutz seien alarmierend. 02.06.2021 Gesellschaft
Elektronischer HeilberufsausweisBis zum 30. Juni muss der eHBA bestellt sein! Bis Ende Juni müssen Zahnarztpraxen mindestens einen elektronischen Heilberufsausweis (eHBA) bestellt haben. Damit müssen sie nachweisen, dass die Praxen bereit sind für die elektronische Patientenakte (ePA). 02.06.2021 PraxisPolitik
Russischer Corona-ImpfstoffSputnik V: EU-Zulassung erst im Herbst? Werden mit Sputnik V lebende Adenoviren injiziert? Deutsche Allergologen gehen davon aus, dass der russische Corona-Impfstoff in dieser Form vorerst keine EU-Zulassung erhält, doch Bayern drängt. 01.06.2021 Gesellschaft
Entscheidung der EU-KommissionEU gibt ersten Impfstoff für Kinder frei Nachdem die Europäische Arzneimittelbehörde das Vakzin von BioNTech/Pfizer für die Impfung von Kindern ab 12 Jahren empfohlen hat, ließ die EU-Kommission den Impfstoff für diese Gruppe in der EU zu. 01.06.2021 Politik
Barmer Zahnreport 2021Antibiotika könnten MIH begünstigen Der diesjährige Barmer-Zahnreport rückte die Molaren-Inzisiven-Hypomineralisation (MIH) in den Fokus. Antibiotika könnten eine Schlüsselrolle bei der Entstehung der Erkrankung spielen. 01.06.2021 ZahnmedizinMIH
Bund und Länder planen schärfere KontrollenRegierung geht gegen Betrugsfälle bei Corona-Schnelltests vor Auf mutmaßliche Betrugsfälle bei der Abrechnung von Corona-Schnelltests haben Bund und Länder jetzt reagiert. Es soll schärfere Vorgaben für Teststellen geben und die Testverordnung soll angepasst werden. 01.06.2021
Auswanderung oder BerufswechselNo Future – Zahnärzte in Portugal Die Wirtschaft ist mau, der Arbeitsmarkt gesättigt – fast sechs Prozent der Zahnärzte haben 2020 darum Portugal verlassen: Die Zahnärztekammer rät jungen Menschen nun explizit davon ab, den Beruf zu ergreifen. 01.06.2021 PraxisStudium