NHS-KriseAntibiotika sind kein Behandlungsersatz Zahnärzte im Vereinigten Königreich warnen die Regierung vor den Gefahren übermäßiger Antibiotika-Verschreibungen als Folge des eingeschränkten Zugangs vieler Menschen zur zahnärztlichen Versorgung. 31.03.2025 Politik
Online-Hilfeportal für ArbeitgeberSo unterstützen Sie psychisch erkrankte Mitarbeiter Beschäftigte im Gesundheitswesen gelten als besonders belastet: Sie haben überdurchschnittlich viele psychisch bedingte Fehltage. Ein Online-Hilfeportal gibt Arbeitgebern Tipps. 31.03.2025 Gesellschaft
Zi-UmfrageMehrheit der Ärzte schätzt Vorteile der eigenen Praxis Die meisten neu niedergelassenen Ärzte würden erneut den Schritt in die Selbstständigkeit gehen. Allerdings klagen viele über Bürokratie. Das ergab eine aktuelle Zi-Befragung. 31.03.2025 Politik
BZÄK und FVDZ auf der Speaker's Corner der IDSSo meistern Sie die GOZ! GOZ? Die ist ja so 80er! Die BZÄK-Vizepräsidentin Dr. Romy Ermler und der FVDZ-Bundesvorsitzende Dr. Christian Öttl diskutierten auf der IDS, wie Zahnarztpraxen die Gebührenordnung dennoch gekonnt anwenden. 28.03.2025 IDS 2025PolitikIDS 2025
KoalitionsverhandlungenGemischtes Echo auf Eckpunkte der AG Gesundheit Die AG Gesundheit und Pflege von Union und SPD hat ein Ergebnispapier vorgelegt. Die Reaktionen fallen verhalten positiv aus. Die Kassen bemängeln allerdings fehlende Pläne zur Begrenzung der Ausgaben. 28.03.2025 Politik
GKV-SV stellt Fehlverhaltensbericht vorAbrechnungsbetrug im Gesundheitswesen auf neuem Höchststand Mehr als 200 Millionen Euro beträgt der Schaden, der der gesetzlichen Kranken- und Pflegeversicherung in den Jahren 2022/2023 durch Fehlverhalten entstanden ist, teilte der GKV-Spitzenverband gestern mit. 28.03.2025 Politik
Vertrauen statt Dokumentationswahnsinn und MisstrauenskulturBundeszahnärztekammer begrüßt geplanten Bürokratieabbau Die Bundeszahnärztekammer begrüßt die Pläne der Arbeitsgemeinschaft „Gesundheit und Pflege“ zum Bürokratieabbau uneingeschränkt – und macht konkrete Vorschläge, wie sich die Zahnärzteschaft entlasten lässt. 28.03.2025 Politik
Umfrage unter PrivatversichertenViele Beschwerden über gestrichene Erstattungen Laut einer Umfrage des Verbraucherportals Finanztip wurden mehr als jedem dritten privat Versicherten in den vergangenen fünf Jahren Erstattungen teilweise gestrichen, fast jedem zehnten sogar vollständig. 28.03.2025 Politik
Karl Häupl-Kongress 2025Differenzialindikation und therapeutische Konzeption im Fokus Beim diesjährigen Karl Häupl-Kongress ging es um praxisnahe Entscheidungsprozesse. Rund 600 Teilnehmer waren am 22. März zur zentralen nordrheinischen Fortbildungsveranstaltung in den Kölner Gürzenich gekommen. 28.03.2025 Zahnmedizin
AG Gesundheit und PflegeBedarfsplanung für Zahnärzte im Gespräch Union und SPD überlegen offenbar, eine Bedarfsplanung für Zahnärzte einzuführen. Außerdem wollen sie iMVZ regulieren. Das geht aus dem Ergebnispapier der Arbeitsgruppe (AG) Gesundheit und Pflege hervor. 27.03.2025 Politik
Strukturfonds im SaarlandAuch Förderung von ZFA-Fortbildungen möglich Seit gut zwei Jahren besteht der zahnärztliche Strukturfonds im Saarland – aus dem Topf konnten bereits 30 ZFA-Fortbildungen mitfinanziert werden. 27.03.2025 Politik
Grenzüberschreitende GesundheitsversorgungEuropäischer Gesundheitsdatenraum tritt in Kraft Die Verordnung für den Europäischen Gesundheitsdatenraum (EHDS) ist in Kraft getreten. Die Mitgliedsstaaten haben nun zwei Jahre Zeit für die Umsetzung. 27.03.2025 Politik
Bundesverband der implantologisch tätigen Zahnärzte in EuropaNeuer Praxisleitfaden erschienen Der BDIZ EDI hat im Gefolge der 20. Europäischen Konsensuskonferenz des Verbandes seinen Praxisleitfaden 2025 veröffentlicht. In dem 12-seitigen Papier geht es um Komplikationen bei der Implantatbehandlung. 27.03.2025 Zahnmedizin
Cannabis-LegalisierungUnion will Cannabisgesetz reformieren Seit knapp einem Jahr ist der nicht medizinische Cannabiskonsum für Volljährige in Deutschland legal. Ob es dabei bleibt, ist derzeit noch unklar. 27.03.2025 Gesellschaft
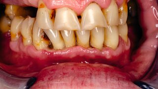
Zahnärzte warnenNikotinbeutel schädigen Zähne und Zahnfleisch Nikotinbeutel beeinflussen die mikrobiologischen Gleichgewichte in der Mundhöhle und schädigen Zähne und Zahnfleisch, warnt der Parodontologe Univ.-Prof. Dr. Johan Wölber vom Universitätsklinikum Dresden. 26.03.2025 Zahnmedizin
Deutsches Zentrum für InfektionsforschungNeuer Antikörper gegen Hepatitis E-Erreger identifiziert Aus dem Blut geheilter Patienten isolierten Forscher Immunzellen, die Antikörper gegen das Hepatitis E-Virusprotein (HEV) produzieren. Diese Antikörper könnten alsbald auch therapeutisch eingesetzt werden. 26.03.2025 Zahnmedizin
Studie des Instituts für Arbeitsmarkt- und Berufsforschung (IAB)„Ich geh doch lieber woanders hin“: Ghosting im Job nimmt zu Immer mehr Betriebe in Deutschland berichten von Problemen bei der Besetzung von Ausbildungsplätzen: Jeder vierte Betrieb mit unbesetzten Ausbildungsplätzen erlebt sogar, dass Bewerber kurzfristig abspringen. 26.03.2025 Praxis
Bundeszahnärztekammer auf der IDS„Wir sind die Leitmedizin – auch in unruhigen Zeiten“ Auf der Internationalen Dental-Schau (IDS) in Köln hat die BZÄK gemeinsam mit ihren Partnern ihren Messestand eröffnet. Anlass zur Freude gibt die gerade erneut bestätigte gute Mundgesundheit der Deutschen. 26.03.2025 IDS 2025GesellschaftIDS 2025
Studie aus den USAZahnarztbesuch senkt Risiko für Schwangerschaftsdiabetes Die Wahrscheinlichkeit für Komplikationen während der Schwangerschaft kann durch Inanspruchnahme zahnärztlicher präventiver Maßnahmen gesenkt werden. 26.03.2025 Zahnmedizin
Zahnärztetag Westfalen-LippeImplantologie 360° Beim diesjährigen Zahnärztetag Westfalen-Lippe, der vom 19. bis 22. März in Gütersloh stattfand, stand die Implantologie im Fokus des Programms. Die Veranstaltung konnte online und in Präsenz besucht werden. 25.03.2025 Zahnmedizin