Weltnichtrauchertag am 31. MaiFünf Prozent aller bösartigen Tumore betreffen die Mundhöhle Tabakkonsum gilt als einer der wesentlichen Risikofaktoren für die Entwicklung des Mundhöhlenkarzinoms, warnt die Initiative proDente anlässlich des Weltnichtrauchertags am 31. Mai. 31.05.2023 Gesellschaft
Stiftung Warentest86 von 110 Kindermüslis haben zu viel Zucker Eine Auswertung der Stiftung Warentest zeigt: Von 110 eingekauften Kinder-Müslis überschreiten 86 die WHO-Empfehlungen für Zucker – und das teils drastisch. Nur 24 Produkte sind empfehlenswert. 30.05.2023 Zahnmedizin
OpenAI-Chef spricht von "Überregulierung"Ist die KI-Verordnung der EU das Ende von ChatGPT in Europa? Der Chef von OpenAI hält die geplante EU-Verordnung zu Künstlicher Intelligenz für übertrieben. Er droht: Falls man die Vorschriften nicht einhalten kann, werde der Betrieb in Europa eingestellt. 30.05.2023 Gesellschaft
Der Podcast zum zm-TitelthemaKurse zu Goldhämmerfüllungen in Greifswald: „Die Studenten lieben das!“ Unser Titel „Goldhämmerfüllungen“ in den zm 7/2023 ging durch die Decke. Nun hat Podcaster Dr. Tomas Lang zm-Autorin Dr. Heike Steffen in einem längeren Interview befragt. 26.05.2023 Zahnmedizin
Umfrage zu digitalen Services im GesudnheitswesenDas Interesse an der Videosprechstunde sinkt Digitale Serviceangebote im Gesundheitswesen stehen mit dem Auslaufen der Pandemie weniger hoch im Kurs bei den Deutschen. Das hat eine repräsentative Umfrage unter gesetzlich Krankenversicherten ergeben. 26.05.2023 Gesellschaft
British Dental Association fordert echte ReformenZahl der NHS-Zahnärzte sinkt auf den Stand von 2012 Im Nationalen Gesundheitsdienst NHS arbeiten nur noch 23.577 Zahnärzte, 695 weniger als im Vorjahr und mehr als 1.100 weniger als vor der Pandemie. Das meldet die BDA – und fordert ein Rettungspaket. 26.05.2023 Gesellschaft
Bundestag beschließt PflegeversicherungsreformMehr Leistungen, aber auch höhere Beiträge Der Bundestag hat heute die Pflegeversicherungsreform beschlossen. Die Pflege soll bis 2025 abgesichert werden, Pflegebedürftige werden entlastet. Dafür sollen die Beiträge für die meisten Menschen steigen. 26.05.2023
COVID-19RKI veröffentlicht endgültige Impfempfehlung Wer jetzt noch gegen COVID geimpft werden soll: Die Ständige Impfkommission des Robert Koch-Instituts (STIKO) hat ihre endgültige Impfempfehlung für Covid-19 veröffentlicht. 26.05.2023 Gesellschaft
Sylter WocheIst man ohne Intraoralscanner von gestern? "Gilt man schon als altbacken, wenn man noch keinen Intraoralscanner in der Praxis hat?" Prof. Bernd Wöstmann aus Gießen beantwortete auf der Sylter Woche Fragen rund um das Thema digitale Abformungen. 25.05.2023 Zahnmedizin
Urteil des Europäischen GerichtshofsVerstoß gegen DSGVO allein reicht nicht für Schadenersatz Der bloße Verstoß gegen die DSGVO begründet keinen Schadenersatz. Ein Schaden muss vorliegen und zwischen dem Verstoß und dem Schaden muss ein Kausalzusammenhang bestehen. Das entschied jetzt der EuGH. 25.05.2023
Gesundheitsziel erreichtSchweden ist bald das erste rauchfreie Land der Welt Schneller als geplant: Eigentlich hatte Schweden sich zum Ziel gesetzt, bis 2025 rauchfrei zu werden. Offenbar gelingt das aber schon in diesem Jahr. 24.05.2023 Gesellschaft
Bundesärztekammer legt Eckpunkte zur Krankenhausreform vorÄrztlichen Sachverstand dringend einbinden Die Krankenhausreform muss zügig und mit dem nötigen Sachverstand umgesetzt werden, fordert die Bundesärztekammer (BÄK) in einem Eckpunktepapier. Dazu müsse ärztliche Expertise dringend eingebunden werden. 24.05.2023
Erste Alumni-FachtagungBdZA zufrieden mit AluFaTa-Premiere Drei Tage Fortbildung speziell für junge Zahnärztinnen und Zahnärzte bot die erste Alumnifachtagung (AluFaTa) des Bundesverbands der Zahnmedizinischen Alumni in Deutschland. Der BdZA zieht ein positives Fazit. 23.05.2023
KZV Sachsen-Anhalt kritisiert"Die Regierung lehnt die Einführung einer Landeszahnarztquote im Studium ab!" "Der Zahnarztmangel in Sachsen-Anhalt wird immer offensichtlicher, doch die Landesregierung bleibt untätig: In einer Mitteilung lehnt sie die Einführung einer Landeszahnarztquote im Studium ab", rügt die KZV. 23.05.2023
Konzept für eine regionale Gesundheitsversorgung mit Zukunft„Der Schlüssel liegt bei den Akteuren vor Ort!“ Um den Reformstau im Gesundheitswesen aufzulösen, schlagen Experten die Stärkung der regionalen Versorgung vor. Dazu gehört auch die Vernetzung von Ärzten, Pflege, Kommunen und Vereinen. 23.05.2023
65. Sylter Woche„Ganz in Weiß! Von Kunststoff bis Keramik“ Am gestrigen Nachmittag wurde in Westerland die Sylter Woche eröffnet. Das Fortbildungs-Highlight der Zahnärztekammer Schleswig-Holstein läuft vom 22. Mai bis 26. Mai 2023. 23.05.2023 Zahnmedizin
ArzneimittelforschungDiese Pillen aus dem 3-D-Drucker sind keine Design-Spielerei! Eine Gruppe von InformatikerInnen aus Deutschland und den USA hat ein neuartiges 3-D-Druck-Verfahren für Pillen entwickelt. Der Clou: Allein die Form des Objekts sorgt für eine gezielte Wirkstoff-Freisetzung. 23.05.2023 Arzneimittel
Studie zu MundhöhlenkrebsHohe Nervendichte erhöht das Sterberisiko Eine hohe Nervendichte bei oralen Plattenepithelkarzinomen könnte das Sterberisiko der Patienten erhöhen. Zu dem Ergebnis kommt eine Studie der University of Michigan. 22.05.2023 Zahnmedizin
Beschlüsse des Deutschen Ärztetages„Ärzte müssen bei der Digitalisierung mit entscheiden“ Ganz strikt lehnen die Ärzte die geplante Ausgrenzung bisheriger Gesellschafter aus der gematik ab. Man wolle dort weiter mitentscheiden, so der Deutsche Ärztetag. Ein weiteres zentrales Thema: Klimaschutz. 22.05.2023
Erforschung der mikrobiellen SteinzeitMolekül aus Neandertaler-Zahnstein zum „Leben“ erweckt Auf der Grundlage Zehntausende Jahre alter DNA von Neandertalern haben Forscher das Genom einer Gruppe von bisher unbekannten Bakterien rekonstruiert und ein prähistorisches Molekül wiederhergestellt. 22.05.2023 Gesellschaft
Forderung nach GKV-FinanzreformenKrankenkassen schreiben Brief an Lauterbach In einem Brief fordern die sechs großen Kassenverbände Bundesgesundheitsminister Karl Lauterbach auf, GKV-Finanzreformen einzuleiten und mehr Fokus auf Qualität und Wirtschaftlichkeit zu legen. 22.05.2023
Regulierung von iMVZKZVB begrüßt Vorstoß der Länder für ein MVZ-Gesetz Bayern, Rheinland-Pfalz und Schleswig-Holstein haben Vorschläge für ein MVZ-Regulierungsgesetz vorgelegt. Die KZVB begrüßt diese Initiative, fordert aber mehr Tempo im Gesetzgebungsverfahren. 17.05.2023
Umbrella-Review aus ChinaUnter der Lupe: Studienlage zum Thema Zuckerkonsum Wie aussagekräftig sind Studien zum Thema Zucker? Dieser Frage gehen chinesische Forschende in einer umfassenden Überblicksanalyse auf den Grund. 17.05.2023 Medizin
Richtlinie der WeltgesundheitsorganisationWHO: Zuckerfreie Süßstoffe sind ein Problem In einer neuen Richtlinie empfiehlt die Weltgesundheitsorganisation WHO, zuckerfreie Süßstoffe nicht als Mittel zur Gewichtskontrolle einzusetzen: Man nimmt nicht ab und sie schaden der Gesundheit. 17.05.2023 Gesellschaft
Deutscher ÄrztetagReinhardt: „Pro-forma-Beteiligungen der organisierten Zivilgesellschaft sind demokratiegefährdend“ In Essen hat heute der 127. Deutsche Ärztetag begonnen. Zum Auftakt musste sich Bundesgesundheitsminister Karl Lauterbach der Kritik der Ärzteschaft stellen. 16.05.2023
Ärztliche ApprobationsordnungMedizinstudierende kritisieren „unfaire Prüfungsbedingungen“ Die Bundesvertretung der Medizinstudierenden in Deutschland (bvmd) ist unzufrieden mit der Gestaltung der Staatsexamina im aktuellen Zwischenentwurf für eine neue ärztliche Approbationsordnung. 16.05.2023
Medscape-Umfrage „Ärzte und ihre Freundschaften“Gratis-Beratung für Freunde? Kein Problem! Eine Umfrage der Online-Plattform Medscape liefert Einblicke in das Sozialleben und die Freundschaften von Medizinern. Ärzte teilen demnach gern ihr medizinisches und berufliches Interesse auch im Privatleben. 16.05.2023 Gesellschaft
Medscape-UmfrageFehlverhalten von Ärztinnen und Ärzten ist weit verbreitet Mobbing, Sexismus, Rassismus: In einer Umfrage der Online-Plattform Medscape berichten Ärztinnen und Ärzte über Fehlverhalten ihrer KollegInnen, das sie beobachtet oder selbst erfahren haben. Ausgabe 10/2023Gesellschaft
Zi-UmfrageDigitalisierung im Praxisalltag: teuer, zeitraubend, fehleranfällig Zwischen 7.000 und 15.000 Euro pro Jahr geben Ärztinnen und Ärzte für die IT ihrer Praxis aus. Das geht aus einer aktuellen Umfrage des Zentralinstituts für die kassenärztliche Versorgung (Zi) hervor. Ausgabe 10/2023Praxis
Schweizer Studie zur Belastung am ArbeitsplatzGestresste Menschen tippen anders Das Tipp- und Mausverhalten von Menschen im Büro sagt mehr über ihr gefühltes Stresslevel aus als ihre Herzfrequenz. Das hat eine Schweizer Studie herausgefunden. Ausgabe 10/2023Gesellschaft
KZBV-Analyse zu iMVZDynamische Entwicklung von Investoren setzt sich fort Getrieben von der Gier nach zweistelligen Renditen machen sich Private-Equity-Gesellschaften mit hoher Dynamik in der vertragszahnärztlichen Versorgung breit. Welche Folgen das hat, zeigt eine Analyse der KZBV. Ausgabe 10/2023
Vertreterversammlung der Kassenärztlichen Bundesvereinigung (KBV)„Gesundheitspolitik arbeitet wie ein Bergwerk“ Die Kassenärztliche Bundesvereinigung fordert bessere Rahmenbedingungen für die ambulante Versorgung. Ohne Einblick von außen werde an einer Vielzahl von Gesetzen gearbeitet, kritisierte KBV-Chef Gassen. 15.05.2023
Studie zur Lebenserwartung in WesteuropaSpanier leben im Schnitt deutlich länger als Deutsche Im westeuropäischen Vergleich belegt Deutschland bei der durchschnittlichen Lebenserwartung einen der hinteren Plätze. Grund sind deutlich mehr Todesfälle durch kardiovaskuläre Erkrankungen. 15.05.2023 Gesellschaft
Studie aus Berlin und Magdeburg zu Paper MillsGefälschte Wissenschaftspublikationen nehmen zu Die Anzahl gefälschter wissenschaftlicher Publikationen steigt offenbar stark an. Einer Studie zufolge erstellen „Paper Mills“ mithilfe von KI unzählige Arbeiten, um sie anschließend zu verkaufen. 15.05.2023 Zahnmedizin
Landessozialgericht Berlin-BrandenburgGesetzliche Unfallversicherung greift nicht bei Firmenläufen ArbeitnehmerInnen stehen bei Firmenläufen nicht unter dem Schutz der gesetzlichen Unfallversicherung. Das hat das Landessozialgericht Berlin-Brandenburg jetzt entschieden. 15.05.2023 Praxis
MedienberichtSicherheitslücken in Gesundheitsapps gefunden Novego, Cancado und edupression sind die Namen von drei zugelassenen digitalen Gesundheitsanwendungen (DiGA), die erstattungsfähig sind – aber offensichtlich Sicherheitslücken aufwiesen oder aufweisen. 12.05.2023 Gesellschaft
Studie zum Zahnabrieb bei WiederkäuernWarum Kühe so gute Zähne haben Haben Sie sich auch schon mal gefragt, warum Kühe eine ausgesprochen exzellente Zahngesundheit aufweisen? Nein? Nun gut. Forschern ist das jedenfalls aufgefallen und sie haben diesen Umstand sodann untersucht. 12.05.2023 Gesellschaft
Europäischer Tag der ParodontologieDG PARO startet Online-Veranstaltung für Patienten Zum Europäischen Tag der Parodontologie am 12. Mai verweist die DG PARO auf eine neue Informationskampagne. Patienten können dabei gezielt ihre Fragen an die Fachgesellschaft richten. 12.05.2023 Gesellschaft
Pilotstudie aus FinnlandMit Musik präppt es sich leichter Eine Gruppe finnischer WissenschafterInnen stellte fest, dass der Einsatz von Hintergrundmusik den Stress von Zahnmedizinstudierenden reduziert und ihre Leistung bei präklinischen Zahnpräparationsübungen… 12.05.2023 Zahnmedizin
US-Studie untersucht Hyperintensitäten der weißen SubstanzSchlafapnoe erhöht offenbar Demenzrisiko Wer unter Schlafapnoe leidet und nachts auf weniger Tiefschlaf kommt, scheint aufgrund von Veränderungen im Gehirn ein höheres Risiko für Schlaganfälle, Alzheimer und Demenz zu haben. 12.05.2023 Medizin
proDenteKostenloses Online-Werbematerial für die Praxis Um Azubis für die eigene Praxis zu gewinnen, stellt proDente ZahnärztInnen ab sofort einen Werbefilm zur Verfügung. Der Clou: Der Film kann mithilfe eines Konfigurators individuell gestaltet werden. 11.05.2023 Praxis
Internationale StudieWas Zahnschmelz über frühes Leben verrät Wissenschaftler und Wissenschaftlerinnen untersuchten chemische Eigenschaften im Zahnschmelz, um herauszufinden, wie prähistorische Menschen vor fast 100.000 Jahren lebten. 11.05.2023 Zahnmedizin
US-Studie über Social-Media-NutzungTikTok als Hilfe für Teenies mit Essstörungen? Ein Großteil der TikTok-Videos zum Thema Essstörungen beschäftigt sich mit dem Überwinden der Krankheit. Das geht aus einer Studie der University of South Carolina hervor. 10.05.2023 Gesellschaft
Studie aus den USAIneffizientes Kauen verschlechtert Blutzuckerspiegel PatientInnen mit Typ-2-Diabetes, die über eine vollständige Kaufunktion verfügen, haben einen deutlich niedrigeren Blutzuckerspiegel als Patienten, deren Kaufähigkeit beeinträchtigt ist. 10.05.2023 Zahnmedizin
Bayern, Rheinland-Pfalz und Schleswig-HolsteiniMVZ: Gemeinsame Initiative im Bundesrat erhöht Druck auf Ampel-Koalition Bayern, Rheinland-Pfalz und Schleswig-Holstein wollen iMVZ stärker regulieren. So sollen Monopolstellungen einzelner Träger verhindert und eine am Patientenwohl orientierte ambulante Versorgung gestärkt werden. 10.05.2023
Im Falle zwingender TarifbindungZFA-Tarifverträge gelten in Niedersachsen Rückwirkend zum 20. Januar 2023 gelten die ZFA-Tarifverträge im Fall zwingender Tarifbindung nun auch für die Zahnarztpraxen in Niedersachsen. 09.05.2023 ZFA
Grundsteinlegung am UKBBonner Zahnis erhalten supermodernes Lehrgebäude Jetzt wurde der Grundstein für das Lehrgebäude der Zahnklinik des Universitätsklinikums Bonn gelegt, Anfang 2025 soll der Neubau mit Patientensimulationseinheiten und digitalen Laboratorien eingeweiht werden. 09.05.2023 Studium
Auswertung der Stiftung GesundheitDrei Viertel aller Zahnärzte haben eine Praxis-Website Drei Viertel aller Zahnärzte im Land haben einen Online-Auftritt, bei den Humanmedizinern sind es zwei Drittel und bei den Psychologischen Psychotherapeuten präsentiert sich so nicht einmal jeder Zweite. 08.05.2023 Praxis
Israelische Befragung von Eltern und KindernErstgeborene haben weniger Angst vorm Zahnarzt Forschende der Tel Aviv University School of Dental Medicine haben untersucht, welchen Einfluss das familiäre Milieu auf die Angst vor zahnärztlichen Behandlungen bei Kindern und Jugendlichen hat. 08.05.2023 Zahnmedizin
KrankenhausreformDroht jetzt eine Blockade der Länder? Der Zeitplan für die geplante Klinikreform könnte ins Wanken geraten. Jetzt wurde bekannt, dass die Bundesländer mehr Geld, Mitsprache und Zeit fordern. Für zentrale Teile der Regierungspläne gebe es Bedenken. 08.05.2023
Große Online-BefragungCorona hat Ärzte traumatisiert Konnten Mediziner den Stress, dem sie in der Pandemie ausgesetzt waren, wegstecken oder hat ihre Psyche darunter gelitten? In einer großen Online-Befragung kamen Klinikärzte und auch Niedergelassene zu Wort. 08.05.2023 Praxis
Kammerwahl in Schleswig-HolsteinBrandt im Amt bestätigt Dr. Michael Brandt wurde als Präsident der Zahnärztekammer Schleswig-Holstein in seinem Amt bestätigt. Vizepräsident bleibt Dr. Kai Voss. 08.05.2023
Krankenkassen-UntersuchungKrank durch Instagram & Co.? Daten der KKH Kaufmännischen Krankenkasse zeigen, dass ärztlich diagnostizierte Essstörungen wie Anorexie und Bulimie von 2020 auf 2021 um 31 Prozent zugenommen haben. Die vermuteten Ursachen sind vielfältig. 05.05.2023 Gesellschaft
Umfrage unter Medizinstudierenden im PJ„Überlastet und praktisch im Dauereinsatz“ 40 bis 50 Stunden im Dauereinsatz, Nachtschichten und Dienste an Wochenenden – Medizinstudierende im Praktischen Jahr (PJ) sind oft stark belastet. Grund ist der Personalmangel in Krankenhäusern. 05.05.2023
BundesverwaltungsgerichtMobbing ist systemische Schikane Kommt es zu Mobbing im Team, kann das eine justiziable Pflichtverletzung des Arbeitgebers sein. Welche Voraussetzung dafür jedoch erfüllt sein muss, zeigt jetzt ein neues Urteil. 05.05.2023 Gesellschaft
Zi zu Integrierten NotfallzentrenNotfallreform könnte ambulante Versorgung verknappen Würde die Notfallversorgung an großen Kliniken konzentriert, könnte dies zur Verknappung der Kapazitäten in Arztpraxen führen. Zur Behandlung von Notfällen müssten 600 Praxen aus der Regelversorgung fallen. 05.05.2023
Studie aus SpanienSystemischer Lupus erythematodes: Das sind die oralen Manifestationen Was sind die frühen Anzeichen eines systemischen Lupus erythematodes? Forschende aus Spanien haben mögliche orale Läsionen und Symptome zusammengetragen. 05.05.2023 Zahnmedizin
Umfrage des Europäischen VerbraucherverbandesEU-Bürger wollen Daten nicht mit Ärzten im Ausland teilen Sensible Gesundheitsdaten mit einem Arzt im Ausland teilen? Viele EU-Bürger zeigen sich da skeptisch, wie eine Umfrage des europäischen Verbraucherverbandes zeigt. 04.05.2023
Studie des Wissenschaftlichen Instituts der Ortskrankenkassen (WIdO)Das Solidarprinzip der GKV steht hoch im Kurs Auf große Akzeptanz in der Bevölkerung stößt das Solidarprinzip in der Gesetzlichen Krankenversicherung (GKV). Das gilt laut neuem WIdO-Monitor gleichermaßen für GKV-und PKV-Versicherte. 04.05.2023
Isolierung von DNA aus ZähnenForscher extrahieren aus einem Hirschzahn-Anhänger das Erbgut der Trägerin Anthropologen haben aus einem 20.000 Jahre alten Hirschzahn-Anhänger das uralte Erbgut der Trägerin gewonnen – einer Steinzeit-Frau. 04.05.2023 Zahnmedizin
Studie aus den NiederlandenDas Pseudohypersalivation-Xerostomie-Paradoxon Eine aktuelle Studie beleuchtet die komplexe Problematik des Speichelflusses bei Parkinson-PatientInnen und die Auswirkungen auf die Mundgesundheit. 04.05.2023 Zahnmedizin
Künstliche Intelligenz in der PatientenversorgungGesundheitsfachkräfte offen für KI-Support Gesundheitsfachkräfte fehlen an allen Ecken und Enden. Könnte Künstliche Intelligenz das Personal mit spezifischen Anwendungen unterstützen? Es ist jedenfalls offen dafür, wie eine Umfrage zeigt. 04.05.2023 Gesellschaft
Bundesarbeitsgericht zur LohnfortzahlungÄrztliche Schweigepflicht kann aufgehoben werden Wenn ein Anspruch auf längere Lohnfortzahlung mit verschiedenen Erkrankungen begründet wird, müssen Angestellte alle relevanten Daten offenlegen — und behandelnde ÄrztInnen von der Schweigepflicht entbinden. 04.05.2023 Recht
Demo auf Schalke: „Rote Karte für die Gesundheitspolitik!"1.111 Teilnehmer beim Zahnärzteprotest auf Schalke Zu einer Demonstration gegen die Kostendämpfungspolitik der Regierung kamen mehr als 1.000 Zahnärzte und ihre Teams in die Arena auf Schalke. Die Politik spare die Zahnmedizin kaputt, kritisierten sie. 03.05.2023
Gelockerte Einfuhrregeln für Produkte aus dem Ausland.Bundesländer reagieren auf Antibiotika-Engpass Immer mehr Bundesländer haben Notmaßnahmen für den Antibiotika-Mangel bei Kindern erlassen. Sie lockern die Einfuhrregeln für Produkte aus dem Ausland. Auch in der Zahnmedizin sind bestimmte Antibiotika knapp. 03.05.2023
Einigung nach Streik im britischen NHSGesundheitspersonal nimmt Angebot der Regierung an Nach monatelangem Streik haben die Gewerkschaften der Fachkräfte im britischen Gesundheitswesen ein Angebot der Regierung angenommen. Mehr als eine Million Beschäftigte erhalten eine Gehaltserhöhung. 03.05.2023
Repräsentative ADAC-UmfrageNur ein Drittel der Deutschen kennt die 116117 Nur knapp ein Drittel der Deutschen kennt die bundesweit einheitliche Telefonnummer 116117, über die der ärztliche Bereitschaftsdienst erreichbar ist. Das zeigt eine repräsentative Befragung des ADAC. 03.05.2023 Gesellschaft
Übersichtsarbeit zur ProthesenstomatitisGebissreinigung wirkt gegen Prothesenstomatitis Eine interdisziplinäre klinische Übersichtsarbeit aus Irland beleuchtet Ursachen, Behandlung und mögliche Zusammenhänge der Prothesenstomatitis mit Aspirationspneumonien. 02.05.2023 Zahnmedizin
Argumentationshilfen für das PraxispersonalDiese Fakten entkräften Impfmythen! Das Robert Koch-Institut (RKI) hat eine Faktensammlung entwickelt, die vor allem medizinischen Fachkräften dabei helfen soll, Bedenken impfkritischer Patienten auszuräumen. 02.05.2023 Gesellschaft
Dritte Förderphase der NAKO GesundheitsstudieAuch die Zahngesundheit wird untersucht Die bundesweit größte repräsentative NAKO Gesundheitsstudie ist ab Mai für weitere fünf Jahre gestartet. Auch die Zahnmedizin ist in der Langzeituntersuchung abgedeckt. 02.05.2023
Neuwahl in der Bezirkszahnärztekammer FreiburgDr. Norbert Struß ist neuer Vorsitzender Neuer Vorsitzender des Vorstands der Bezirkszahnärztekammer Freiburg ist Dr. Norbert Struß. Der Vorstand der Kammer wurde in Teilen neu gewählt. 02.05.2023
Appell von 62 Organisationen und VerbändenGeflüchtete sollen in GKV mit einbezogen werden Geflüchtete Menschen sollen in die gesetzliche Krankenversicherung (GKV) einbezogen werden. Das fordern 62 Organisationen und Verbände. 01.05.2023
Urteil gegen Aligner-Anbieter DrSmileÖsterreich verhängt hohe Geldstrafe Das Bezirksgericht (BG) Donaustadt hat per Beschluss eine Strafe von 77.500 Euro gegen DrSmile verhängt. Der zu Straumann gehörende Aligneranbieter hatte gegen Auflagen eines gerichtlichen Vergleichs verstoßen. Ausgabe 9/2023Gesellschaft
Studie zur Generation Z„Die illoyalsten Jobber aller Zeiten“ Faul, fordernd, freizeitaffin – ihr Ruf eilt ihr voraus. Aber wie tickt die Generation Z wirklich und was müssen Unternehmen tun, um sie zu halten? Denn fest steht: Tut man nichts, zieht sie weiter. Ausgabe 9/2023Praxis
Angst vor der WeisheitszahnextraktionMusik und VR-Brille beruhigen Sowohl Musik als auch VR-Brillen können während einer Weisheitszahn-Extraktion eine angstlösende und schmerzlindernde Wirkung auf Patienten haben. Das belegt eine Studie aus Spanien. Ausgabe 9/2023Zahnmedizin
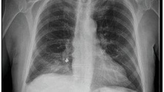
Pneumonie durch ZahnkroneUnbemerkte Fremdkörperaspiration Ein Patient aspiriert während einer Extraktion unbemerkt eine Zahnkrone und entwickelt erst zwei Jahre später Symptome. Ausgabe 9/2023Zahnmedizin
Aktualisierter Leitfaden der BundesärztekammerDas sollten Ärztinnen und Ärzte auf Social Media beachten! Die Bundesärztekammer aktualisiert ihre Tipps zur sicheren Verwendung von Social Media und gibt dabei auch Hinweise zu Microblogging-Plattformen, Medical Influencern und dem Umgang mit Urkunden und Dokumenten. Ausgabe 9/2023Praxis
Umfrage der Stiftung GesundheitJeder neunte Arzt hat bereits ein Angebot von einem Investor vorliegen Fast 12 Prozent der niedergelassenen ÄrztInnen haben bereits ein Angebot zur Übernahme ihrer Praxis von einem Investor bekommen. Gut ein Drittel ist aufgeschlossen für den Verkauf. Ausgabe 9/2023
Bundeskabinett bringt Pflegereform auf den WegDie Beitragssätze steigen, aber Eltern zahlen weniger Die gesetzliche Pflegeversicherung soll reformiert, der Beitragssatz angehoben und die Finanzgrundlage stabilisiert werden. Dazu hat das Bundeskabinett jetzt einen Gesetzesentwurf auf den Weg gebracht. Ausgabe 9/2023
Studie zu den Ursachen und zur Vermeidung von BehandlungsfehlernZahnärzte sind auch nur Menschen Behandlungsfehler können jedem unterlaufen. Die Ursachen sind meist ähnliche wie bei kleinen Missgeschicken. Eine Studie zeigt, dass bereits einfache Maßnahmen dazu beitragen, das Risiko für Fehler zu senken. Ausgabe 9/2023Zahnmedizin
Studie aus ÖsterreichFrauen in Gesundheitsberufen haben ein erhöhtes Suizidrisiko Forschende der MedUni Wien untersuchten erstmals in Österreich das Suizidrisiko von Angehörigen mehrerer Gesundheitsberufe im Vergleich zur Allgemeinbevölkerung. Ergebnis: Frauen sind besonders gefährdet. Ausgabe 9/2023Gesellschaft