zm bekommt neuen VerlagspartnerZeit der Veränderung Ein mehr als ereignisreiches Jahr neigt sich langsam dem Ende entgegen. Schon jetzt ist klar: 2023 stehen für die zm die Zeichen auf Veränderung. 26.12.2022 Nachrichten
Zahl des Monats3,5 Milliarden Rund 3,5 Milliarden Menschen leiden unter Zahn- und Munderkrankungen, zeigt der „Global oral health status report” der Weltgesundheitsorganisation (WHO). 26.12.2022 Gesellschaft
Acht medizinische Fakultäten kooperierenNeues Netzwerk für geschlechtersensible Medizin gegründet Frauen und Männer reagieren häufig unterschiedlich auf Erkrankungen und Therapien. „Doch immer noch werden Geschlechterunterschiede in der Medizin unzureichend beachtet”, kritisieren Experten. 23.12.2022
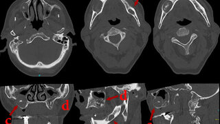
Deutsche Gesellschaft für Endodontologie und zahnärztliche Traumatologie e. V. (DGET)Update für die Endodontie Rund 500 Teilnehmende verfolgten die Vorträge, Kurzvorträge und klinischen Fallpräsentationen auf der DGET-Jahrestagung vom 24. bis 26. November 2022 in Köln. Eine Zusammenfassung. 23.12.2022 Zahnmedizin
Bundesregierung beschließt EckpunkteNationale Ernährungsstrategie geht vielen nicht weit genug Weniger Fett, Zucker und Salz in verarbeiteten Lebensmitteln und gesundes Essen in Kantinen und Mensen: Ernährungsminister Cem Özdemir hat die Eckpunkte der bundesweiten Ernährungsstrategie vorgestellt. 23.12.2022 Gesellschaft
Zentralinstitut für die kassenärztliche Versorgung (Zi)Post COVID ist keine neue Volkskrankheit Trotz hoher Infektionszahlen stabilisiert sich die Zahl der PatientInnen mit Post-COVID-Diagnose, meldet das Zi. Dessen FaziT: Bislang könne daher nicht von einer neuen Volkskrankheit die Rede sein. 23.12.2022 Gesellschaft
ParodontitisbehandlungWeniger Frühgeburten mit Chlorhexidin-Mundspülung Wird Parodontitis bei schwangeren Frauen mit Chlorhexidin-haltigen Mundspüllösung behandelt, könnte dies einen günstigen Einfluss auf das Geburtsergebnis nehmen: Weniger Frühgeburten, weniger Untergewicht. 23.12.2022 ZahnmedizinParodontologie
Corona-News kompaktForschende können Viren beim Scheitern zusehen Forschende können Viren beim Scheitern zusehenForschende aus Zürich haben Viren bei einer Tröpfcheninfektion auf ihrem Weg durch Gesichtsmasken verfolgt und ihr Scheitern an den Filterschichten verschiedener… 22.12.2022 Gesellschaft
KabinettsbeschlussUPD soll Stiftung werden – finanziert von den Kassen Die Unabhängige Patientenberatung Deutschland (UPD) soll als Stiftung verstetigt, vom GKV-Spitzenverband errichtet und von den Kassen finanziert werden. Doch die äußern verfassungsrechtliche Bedenken. 22.12.2022
Coronavirus-ImpfverordnungVerlängerung und Übergang in die Regelversorgung Die Coronavirus-Impfverordnung ist bis zum 7. April 2023 hinaus verlängert. Impfungen werden ab Januar nur noch in Arztpraxen und Apotheken angeboten, teilte das Bundesgesundheitsministerium mit. 22.12.2022
Altersforschung in der ZahnmedizinStudie zur Mundgesundheit bei Hundertjährigen gestartet Wenn Menschen ein Alter von 100 Jahren erreichen, haben sie dann gleichzeitig auch eine bessere Mundgesundheit? Dieser Frage geht das Team um Dr. Caroline Sekundo aus Heidelberg in einer Studie nach. 22.12.2022 Zahnmedizin
Bundesarbeitsgericht (BAG)Ohne Arbeitgeberhinweis keine Verjährung von altem Urlaub Praxischefs sollten ihre ZFA am besten gleich zu Jahresbeginn über ihren Urlaubsanspruch informieren und erinnern, den Urlaub bis zum Jahresende zu nehmen. Denn der Anspruch verjährt nicht, urteilte das BAG. 21.12.2022 Praxis
Eckpunktepapier zu Lieferengpässen bei ArzneimittelnDie Kassen müssen mehr bezahlen Um Lieferengpässe bei Arzneimitteln künftig zu vermeiden, will das Bundesgesundheitsministerium den Herstellern höhere Gewinnspannen einräumen und die Produktion in Europa fördern. 21.12.2022
OnlineumfrageForschung zur schmerzfreien Zahnmedizin Wie individuell therapieren Sie Schmerzen? Im Rahmen des „DentMed”-Projektes an der Universität Mainz sollen Daten zum Verschreibungs- und Empfehlungsverhalten in Zahnarztpraxen erhoben werden. Helfen Sie mit! 21.12.2022 Zahnmedizin
Digitalen Gesundheitsanwendungen (DiGA)KVB: „Wir können DiGA-Verordnung nicht empfehlen” Seit der Einführung der Digitalen Gesundheitsanwendungen (DiGA) legen Experten das erste umfassende Gutachten zur Studienlage vor. Es zeigt: Vielfach fehlt es an wissenschaftlicher Tiefe und Evidenz. 21.12.2022 Gesellschaft
Verband medizinischer Fachberufe (vmf)König: „Arbeitsmarkt für ZFA ist faktisch leer” Der Verband medizinischer Fachberufe setzt seine Protestaktionen am Brandenburger Tor in Berlin am 8. Februar 2023 fort. Die Situation in Arzt- und Zahnarztpraxen sei ernst – die Praxisteams am Limit, heißt es. 21.12.2022
Medizinische Fakultät HeidelbergMedizinstudium: Schauspieler testen sozial-kommunikative Kompetenzen Die Medizinische Fakultät Heidelberg setzt auf ein neues Auswahlverfahren: Bewerber müssen typische Herausforderungen des Arzt-Alltags kommunikativ bestehen. 21.12.2022 Gesellschaftzm starter
Bundeszahnärztekammer (BZÄK)Neue Abrechnungsbasis für Parodontologie-Leistungen Die Bundeszahnärztekammer (BZÄK), die Vertreter der Beihilfe und der Verband der Privaten Krankenversicherung (PKV) haben gemeinsam eine neue Abrechnungsbasis für Leistungen der Parodontologie entwickelt. 20.12.2022
Deutsche Gesellschaft für ImplantologieDas sind die besten Vorträge und Poster vom DGI-Kongress 2022 Die Deutsche Gesellschaft für Implantologie (DGI) zeichnete auf ihrem diesjährigen Kongress die Autorin und Autoren von drei Kurzvorträgen und zwei Posterpräsentationen mit Tagungspreisen aus. Eine Fotostrecke. 20.12.2022 Zahnmedizin
AWMF kritisiert europäische Medizinprodukteverordnung„Eine Gefahr für die Innovationskraft“ Die europäische Medizinprodukteverordnung – kurz MDR – muss aus Sicht der AWMF dringend in der praktischen Umsetzung verbessert werden. Das Prüfungssystem sei überlastet. 20.12.2022