Erste systematische ÜbersichtWie verändert Karies das orale Mikrobiom von Jugendlichen? Wissenschaftler aus Spanien und den Niederlanden haben untersucht, wie sich das orale Mikrobiom bei Jugendlichen mit und ohne Karies unterscheidet. 30.04.2024 Zahnmedizin
Report der DAK GesundheitHitzewellen: Fast 50 Prozent der Pflegekräfte fühlen sich belastet Beschäftigte leiden sehr unter den Folgen des Klimawandels. Fast die Hälfte der Pflegekräfte fühlt sich bei Hitze stark belastet. Zum Vergleich: Im Baugewerbe oder im Handwerk sind es 28 Prozent. 30.04.2024 Politik
Wahl beim Verband medizinischer FachberufeKönig bleibt vmf-Präsidentin Auf der Bundeshauptversammlung des Verbandes medizinischer Fachberufe (vmf) am Wochenende in Göttingen wurde Hannelore König als Präsidentin wiedergewählt. 30.04.2024 Praxis
Urteil des Landessozialgerichts Berlin-BrandenburgKostenzusage gilt auch bei Wegfall eines kieferchirurgischen Eingriffs Die GKV-Kostenzusage für eine KFO-Therapie bleibt gültig, auch wenn ein bei der Planung für nötig erachteter Eingriff letztlich entfällt. Maßgeblich ist der prognostizierte Bedarf zu Beginn der Behandlung. 30.04.2024 Praxis
Wegweisender Anbieter feiert Jubiläum50 Jahre Zahnmedizinisches Fortbildungszentrum Stuttgart Das Zahnmedizinische Fortbildungszentrum Stuttgart wird 50 Jahre alt. Bereits in seinen Anfängen galt es als wegweisend, bis heute ist das ZFZ ein Eckpfeiler der zahnmedizinischen Fortbildung. 29.04.2024 Politik
Bundesrat verabschiedet EntschließungLänder fordern Strategie zur besseren Arzneimittelversorgung Der Bundesrat hat die Bundesregierung aufgefordert, mit einer nationalen Strategie und gesetzlichen Regelungen die Versorgung von Kindern und Jugendlichen mit Arzneimitteln zu verbessern. 29.04.2024 Politik
Bundesministerium für Ernährung und LandwirtschaftVerarbeitete Lebensmittel enthalten weiter zu viel Zucker Verarbeitete Lebensmittel enthalten weiter zu viel Zucker, Fette oder Salz. Das zeigt ein Bericht des Bericht des Max-Rubner-Instituts. Die freiwilligen Selbstverpflichtungen der Industrie funktionieren nicht. 29.04.2024 Politik
Im Vorfeld zum Deutschen Ärztetag„Effiziente Versorgungssteuerung ist aktueller denn je!“ Eine bessere Steuerung der Patienten durch das Versorgungssystem und mehr Koordinierung hat Ärztepräsident Dr. Klaus Reinhardt gefordert. Das Thema wird ein Schwerpunkt auf dem Deutschen Ärztetag sein. 26.04.2024 Politik
Anhörung zur Gebührenordnungen für Ärzte und ZahnärzteBZÄK: „Eine Novelle ist dringend notwendig!“ Die GOZ ist völlig veraltet. Als Abrechnungsgrundlage für eine moderne Zahn-, Mund- und Kieferheilkunde ist sie nur noch bedingt geeignet, verdeutlichte die BZÄK auf einer Anhörung im Gesundheitsausschuss. 25.04.2024 Politik
Social Media propagiert gefährliche HypesEssstörungen bei jungen Frauen steigen um über 50 Prozent Die Anzahl an Essstörungen bei jungen Frauen ist in den letzten zehn Jahren um über 50 Prozent gestiegen. Das belegen Daten der Kaufmännischen Krankenkasse. Dabei spielen vor allem soziale Medien eine Rolle. 25.04.2024 Medizin
EU-ParlamentGrünes Licht für Europäischen Gesundheitsdatenraum Viel los auf EU-Ebene: Gestern stimmte das Parlament für die Schaffung des Europäischen Gesundheitsdatenraums (EHDS). Die Gesundheitskommissarin brachte außerdem eine Arzneimittel-Allianz an den Start. 25.04.2024 Politik
Neuer Case Report aus den USAVierjähriger mit OSA profitiert von Stimulation des Hypoglossusnervs US-Forschende haben einem vierjährigen Jungen mit Down-Syndrom und OSA ein Gerät zur Stimulation des Hypoglossus-Nervs implantiert: Vor der OP wachte er bis zu 15-mal pro Nacht auf, jetzt schläft er durch. 25.04.2024 Zahnmedizin
BZÄK und CP GABA schreiben Award ausIm Fokus: Mundgesundheit in der häuslichen Pflege Zum ersten Mal schreibt die „Initiative für eine mundgesunde Zukunft in Deutschland“ den Preis „PraxisAWARD Prävention“ aus. Schwerpunktthema ist die Mundgesundheit in der häuslichen Pflege. 24.04.2024 Gesellschaft
European Federation of Periodontology (EFP)Moritz Kebschull ist neuer EFP-Präsident Im Fokus seiner Amtsperiode stehen unter anderem die Stärkung der beruflichen Aus- und Weiterbildung in Europa und die Förderung parodontaler Wissenschaft. 24.04.2024 Zahnmedizin
Erste Dentalhygiene-Awards 2024DG PARO will Dentalhygienikerinnen auszeichnen In diesem Jahr werden zum ersten Mal die Dentalhygiene-Awards verliehen. Initiatoren der Auszeichnung sind die Deutsche Gesellschaft für Parodontologie und die Deutsche Gesellschaft für Dentalhygieniker/Innen. 24.04.2024 Praxis
G-BA-Beschluss tritt heute in KraftFluoridlack bezahlt jetzt bis zum 6. Lebensjahr die Kasse! Ab heute ist das Auftragen von Fluoridlack für alle Kinder bis zum vollendeten 72. Lebensmonat eine Leistung der gesetzlichen Krankenversicherung. Der Anspruch besteht unabhängig vom individuellen Kariesrisiko. 24.04.2024 Politik
Feierliche Verabschiedung an der CharitéProf. Radlanski geht in den Ruhestand Mit Standing Ovations wurde der langjährige Leiter der Abteilung „Orale Struktur- und Entwicklungsbiologie“ der Berliner Charité, Univ.-Prof. Dr. med. (mult.) Ralf J. Radlanski, in den Ruhestand verabschiedet. 23.04.2024 Zahnmedizin
„Die politischen Rahmenbedingungen torpedieren die Arbeit der Niedergelassenen“KBV-Kampagne lenkt den Blick auf die schwierige Situation der Praxen Mit einer groß angelegten Kampagne wollen Kassenärztliche Bundesvereinigung (KBV) und KVen auf die zugespitzte Situation in der ambulanten Gesundheitsversorgung aufmerksam machen. 23.04.2024 Politik
US-StudieBehandlung von Ärztinnen führt zu niedrigerer Mortalität Patienten haben niedrigere Sterblichkeitsraten und Rehospitalisierungsraten, wenn sie von weiblichen Ärzten behandelt werden, zeigt eine neue Studie. Davon profitieren besonders Patientinnen. 23.04.2024 Gesellschaft
Studie der Philipps-Universität MarburgKI unterscheidet zwischen Erregern von Entzündungen Ein neues KI-Verfahren unterscheidet Infektionen nach ihrer Verursachung durch Bakterien, Viren oder durch den Körper selbst. Wie das funktioniert, berichten Forschende im Fachblatt „Frontiers in Immunology“. 23.04.2024 Medizin
Interview mit Dr. Friederike S. Bornträger über VeränderungenDas Gehirn muss mitspielen Wie man sich erfolgreich auf Veränderung einlässt, weiß Dr. Friederike S. Bornträger. Die Psychologin begleitet mit ihrer Innovationsberatung „zukunft zwei“ Organisationen dabei, Dinge neu und anders zu machen. 23.04.2024 Praxis
„Weniger Bürokratie, mehr Praxisnähe“BZÄK verstärkt Protest gegen aktuelle Gesundheitspolitik Zu viel Bürokratie, zu wenig Geld für Prävention, Praxissterben auf dem Land: Die Bundeszahnärztekammer (BZÄK) warnt vor den Folgen der aktuellen Gesundheitspolitik und fordert eine Kehrtwende. 23.04.2024 Politik
Fossilfund könnte bis zu 1,9 Millionen Jahre alt seinZahnarzt entdeckt Kieferknochen im Küchenboden Beim Umbau im Haus seiner Eltern ist ein Zahnarzt in Großbritannien auf die Überreste einer längst ausgestorbenen menschlichen Spezies gestoßen. Experten schätzen den Fund als echt ein. 22.04.2024 Gesellschaft
Internationales ForscherteamWas geht, wenn KI Ursache und Wirkung mitdenkt? Kausales Maschinelles Lernen, das im Marketing schon länger erprobt wird, könnte die Medizin revolutionieren, schreiben Forschende in Nature Medicine. Das soll Behandlungen wirksamer und sicherer machen. 22.04.2024 Gesellschaft
Ärztestatistik 2023Mehr Ärzte braucht das Land Die vorläufigen Ergebnisse der Ärztestatistik 2023 geben „Anlass zur Sorge“, meldet die Bundesärztekammer (BÄK), besonders vor dem Hintergrund des wachsenden Versorgungsbedarfs und des demografischen Wandels. 22.04.2024 Gesellschaft
22 Fälle landesweitUS-Behörden warnen vor Botulismus-Risiko Die US-Gesundheitsbehörde CDC warnt vor Botox-Injektionen durch nicht lizenziertes Personal, nachdem es Berichten zufolge in elf Bundesstaaten in 22 Fällen zu Komplikationen gekommen sein soll. 22.04.2024 Gesellschaft
Weitere Kritik am Referentenentwurf zum GVSGDer VDZI warnt vor „absehbaren Fehlentwicklungen“ bei i-MVZ Auch der Verband Deutscher Zahntechnikerinnungen kritisiert den Referentenentwurf zum Gesundheitsversorgungsstärkungsgesetz – vor allem die Ausbreitung investorenbetriebener Medizinischer Versorgungszentren. 19.04.2024 Politik
Umfrage zum PraxisalltagIhr Stimmungsbild ist gefragt! Wie geht es Zahnärztinnen und Zahnärzten derzeit in ihrem Praxisalltag? Noch bis zum 20. Mai läuft eine kurze Online-Befragung der KZBV, mit der ein Stimmungsbarometer erstellt werden soll. 19.04.2024 Praxis
Antwort auf Kleine Anfrage der Union2024 wurden bisher 133 Millionen E-Rezepte eingelöst Seit seinem Start Anfang des Jahres wurden 133 Millionen elektronische Rezepte eingelöst, täglich kommen bis zu zwei Millionen hinzu, heißt es in der Antwort der Regierung auf eine Anfrage der Unionsfraktion. 19.04.2024 Politik
Mehr Mittel gegen den Zahnärztemangel in Sachsen-AnhaltLandesregierung will Zahnärzte in Ungarn ausbilden Um dem Zahnärztemangel in Sachsen-Anhalt zu begegnen, will die Landesregierung das Programm der KZV zur Ausbildung von zahnmedizinischem Nachwuchs in Ungarn ausweiten und dafür extra Mittel bereitstellen. 19.04.2024 Politik
Pionier der ImplantologieTrauer um Peter Tetsch Mit Prof. Dr. Dr. Peter Tetsch ist am 4. April „ein Pionier, eine treibende Kraft und eine inspirierende Persönlichkeit der Implantologie“ gegangen, meldet die Deutsche Gesellschaft für Implantologie (DGI). 19.04.2024 Gesellschaft
Aktuelle Auswertung der KZBViMVZ breiten sich weiter aus Die Auswertung der Kassenzahnärztlichen Bundesvereinigung (KZBV) zeigt, dass immer mehr Investoren in die zahnärztliche Versorgung drängen. Für die Patienten ist das keine gute Nachricht. 19.04.2024 Politik
Repräsentative Umfrage der Deutschen KrankenhausgesellschaftGewalt gegen Krankenhauspersonal steigt weiter Insgesamt 73 Prozent der Krankenhäuser gaben in einer Blitzumfrage an, dass die Anzahl an Übergriffen gegen das Personal in den letzten fünf Jahren gestiegen ist, vor allem in der Pflege und den Notaufnahmen. 18.04.2024 Gesellschaft
US-StudiePAR-Behandlung reduziert wiederholtes Auftreten von Vorhofflimmern Eine Parodontitisbehandlung kann bei Patienten mit Herzrhythmusstörungen das Risiko eines erneuten Auftretens deutlich reduzieren, zeigt eine neue Studie im Journal of the American Heart Association. 17.04.2024 Medizin
BKK Dachverband warntGKV-Zusatzbeitrag könnte 2025 massiv steigen Die gesetzliche Krankenversicherung (GKV) gerät finanziell stärker unter Druck, meldet der Dachverband der Betriebskrankenkassen. Kommendes Jahr könnten Zusatzbeiträge von 2,45 Prozent und mehr erreicht werden. 17.04.2024 Politik
Seniorenzahnmedizin auf dem Kongress „Zahnheilkunde 2024“Der alte Mensch im Fokus Der von der Landeszahnärztekammer Rheinland Pfalz veranstaltete Kongress fand am 12. und 13. April in Mainz statt und bot ein umfassendes wissenschaftliches Programm zur Seniorenzahnmedizin. 16.04.2024 Zahnmedizin
Umfrage in GroßbritannienFrust über Wartezeiten schürt Wut gegenüber Zahnärzten Beleidigungen, Beschimpfungen, Androhung von Gewalt: Der Frust über exorbitant lange Wartezeiten auf Termine schürt in Großbritannien die Wut der Patienten gegenüber Zahnärztinnen und Zahnärzten. Ausgabe 8/2024Titel
Mundzellen von Rauchern ähneln KrebszellenSind E-Zigaretten nicht so harmlos wie angenommen? Sind E-Zigaretten nicht so harmlos? Anhand der veränderten Mundzellen ähnlich wie bei Krebs können Forscher mit einer Genauigkeit von über 90 Prozent sagen, ob Raucher Tabak, E-Zigaretten oder Snus konsumieren. Ausgabe 8/2024Medizin
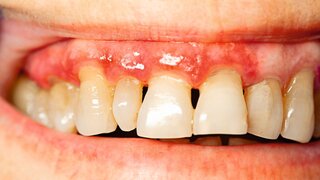
US-Studie untersucht Glasionomerzement-Versiegelungen versus SDFSilberdiaminfluorid: eine kostengünstige Kariesprävention Silberdiaminfluorid wirkt kariespräventiv und unterstützt die Arretierung von bestehenden Läsionen, kann aber auch unerwünschte Wirkungen haben. Ausgabe 8/2024Zahnmedizin
Bundesgerichtshof in KarlsruheBGH setzt Grenzen bei der Kontrolle von Beitragserhöhungen in der PKV Private Krankenversicherer müssen Beitragserhöhungen genau begründen. Eine komplette Offenlegung der Kalkulation können Versicherte aber nicht verlangen, urteilte der Bundesgerichtshof (BGH) in Karlsruhe. Ausgabe 8/2024Politik
Tabakkonsum versus VapingE-Zigaretten könnten Periimplantitis begünstigen Der negative Einfluss von E-Zigaretten auf den Implantaterfolg ist möglicherweise größer als bislang vermutet. Ausgabe 8/2024Zahnmedizin
Zwölf Punkte der BZÄK zur EuropawahlDer Einfluss der EU auf den Zahnarztberuf steigt Am 9. Juni findet in Deutschland die Europawahl statt. Die Bundeszahnärztekammer (BZÄK) hat im Vorfeld ein Positionspapier verfasst, in dem sie ihre Kernanliegen für die kommenden Jahre definiert. Ausgabe 8/2024Politik
Warnung der DG PAROCannabis-Konsum kann das Parodontitis- Risiko erhöhen Cannabis könnte durch direkte Zytotoxizität gegenüber Zellen des Parodonts und durch dysregulative Prozesse für parodontale Schäden, insbesondere bei jungen Menschen, verantwortlich sein, warnt die DG PARO. Ausgabe 8/2024Zahnmedizin
Schwimmer Jan-Philip Glania eröffnet eigene PraxisOlympionike wechselt in die Niederlassung Bei seiner dritten Olympiade wollte es Jan-Philip Glania unbedingt aufs Treppchen schaffen. Doch dank Corona startete der frisch approbierte Zahnarzt in die Anstellung. Jetzt eröffnete er seine eigene Praxis. Ausgabe 8/2024Praxis
Deeskalation in der ZahnarztpraxisZehn Tipps zum Umgang mit aggressiven Patienten Gewalt am Arbeitsplatz ist auch in Zahnarztpraxen ein allgegenwärtiges Problem. Zehn Tipps, wie Sie auf aggressive, streitlustige und störende Patienten sicher und effektiv reagieren. Ausgabe 8/2024Titel
Finanzierung von Lehrgängen für ZFAWer richtig gut ist, kann sich für ein Weiterbildungsstipendium bewerben ZFA, die ihre Ausbildung mit der Note 1,9 oder besser abgeschlossen haben und jünger als 25 Jahre sind, können sich für ein Weiterbildungsstipendium bewerben. Bis zu 8.700 Euro Förderung sind möglich. 15.04.2024 Praxis
Feierliche Immatrikulation der Erstsemester48 Zahnis starten in Brandenburg Am 6. April fand im St. Paulikloster in Brandenburg an der Havel die feierliche Immatrikulation der ersten 48 Zahnmedizinstudierenden an der Medizinischen Hochschule Brandenburg (MHB) statt. 12.04.2024 Zahnmedizin
Technische Hochschule Ulm (THU)Bund fördert Forschung zu Implantatmaterial mit 1,6 Millionen Euro Das BMBF fördert zwei Verbundprojekte zur Entwicklung eines neuen titanbasierten Implantatmaterials, das den unkomplizierten Wechsel zwischen herausnehmbarer und festsitzender Versorgung ermöglichen soll. 12.04.2024 Zahnmedizin
Teil der Krankenhausreform?Lauterbach überlegt offenbar Einführung einer neuen Arztart Gesundheitsminister Karl Lauterbach (SPD) überlegt offenbar, eine komplett neue Arztart einzuführen. Das erklärte er Donnerstag auf einer Pressekonferenz zur Krankenhausreform. 12.04.2024 Politik
Reformvorschläge für das MedizinstudiumUnion fordert einheitliche Aufwandsentschädigung im PJ Die Unionsfraktion kritisiert die Zustände im PJ und fordert für die Medizinstudierenden eine einheitliche Aufwandsentschädigung, ein besseres Lehrangebot sowie die Bewilligung von Krankheitstagen. 12.04.2024 Politik
Deutsche Apotheker- und Ärztebank (apoBank)apoBank will 6 Prozent Dividende zahlen Die apoBank hat das Geschäftsjahr 2023 mit einem gestiegenen Jahresüberschuss abgeschlossen. Aufsichtsrat und Vorstand werden der Vertreterversammlung eine Dividende von 6 Prozent vorschlagen. 12.04.2024 Gesellschaft
Studie untersucht den Nutzen des LabelsNutri-Score beeinflusst das Kaufverhalten Eine Studie der International School of Management zeigt, dass der Nutri-Score die Kaufentscheidung positiv beeinflusst. Experten aus der Lebensmittelindustrie warnen aber vor einem „Nutritional Greenwashing“. 11.04.2024 Gesellschaft
Brüssel unterstützt ArzneimittelreformEuropaparlament votiert für Pläne gegen Arzneimittelengpässe Die Überarbeitung des EU-Arzneimittelrechts soll die Versorgung leichter zugänglich und erschwinglicher machen. Ein wichtiger Punkt ist dabei auch die Bekämpfung von Antibiotikaresistenzen. 11.04.2024 Politik
Lauterbach hält Keynote auf der DMEA„Künstliche Intelligenz wird die Medizin komplett verändern“ Gestern startete in Berlin die Digital-Health-Messe DMEA. Bundesgesundheitsminister Lauterbach nutzte die Gelegenheit, um in seiner Keynote die Digitalisierungsprojekte der Koalition Revue passieren zu lassen. 10.04.2024 Politik
GroßbritannienUmfrage zeigt Ausmaß sexueller Belästigung im NHS Wie häufig anzügliche Witze, Annäherungsversuche oder sexuelle Übergriffe im Nationalen Gesundheitsdiensts NHS vorkommen, zeigt eine Umfrage unter 12.000 Beschäftigten: 10 Prozent haben es bereits erlebt. 10.04.2024 Gesellschaft
Repräsentative Doctolib-UmfrageHier leben die zufriedensten Patienten Deutschlands In welchem Bundesland gibt es die höchste Dichte an zufriedenen Patienten, wenn es um die Gesundheit und die medizinische Versorgung geht? Das wollte das Healthtech-Unternehmen Doctolib wissen. 10.04.2024 Praxis
DAK-PflegereportFinanzierung der Pflege steht vor dem Kipppunkt Höhere Beiträge zur Pflegeversicherung kommen voraussichtlich schon 2025 auf die Versicherten in Deutschland zu, prognostiziert die Krankenkasse DAK-Gesundheit in ihrem heute vorgestellten Pflegereport. 09.04.2024 Politik
„Gehosted in Deutschland und DSGVO-konform“Erster TI-Messenger zugelassen! Mit dem TI-Messenger (TIM) soll die Kommunikation zwischen Praxen und Apotheken vereinfacht werden, später dann auch mit Patienten und Krankenkassen. Die gematik hat nun den ersten Anbieter zugelassen. 09.04.2024 Praxis
Repräsentative Umfrage zu freiwilligen ZusatzleistungenMit diesen Benefits punkten Sie als Arbeitgeber! Mit Fitnessstudio-Mitgliedschaften, Obstkörben und Firmenfahrrädern wollen Arbeitgeber ihren Mitarbeitenden das Arbeitsleben schmackhaft machen. Doch die wünschen sich in Wirklichkeit was ganz anderes. 09.04.2024 Praxis
Bundesverband der implantologisch tätigen Zahnärzte in EuropaBMG versucht GOZ-Klage auszusitzen Das Verwaltungsgericht Berlin „wartet“ immer noch auf die Stellungnahme aus dem BMG zur Klage wegen Nichtanhebens des GOZ-Punktwerts, meldet der BDIZ EDI. 08.04.2024 Politik
Erfolgreiches StreikendeBritische Ärzte erhalten bis zu 20 Prozent mehr Lohn Nach monatelangen Arbeitskämpfen, Kampagnen und Verhandlungen ist der Ärztestreik von Fach- und Krankenhausärzten im National Health Service (NHS) in Großbritannien jetzt beendet. 08.04.2024 Politik
Diskussion um Überarbeitung der Leitlinie im Vereinigten KönigreichExperten für Endokarditisprophylaxe bei zahnmedizinischen Behandlungen In Großbritannien fordert ein Autorenteam um den MKG-Chirurgen und Ex-NHS-Berater Prof. Martin Thornhill die Abkehr von der strikten Ablehnung der Endokarditisprophylaxe bei zahnmedizinischen Behandlungen. 08.04.2024 Gesellschaft
Repräsentative Befragung zur elektronischen PatientenakteVor allem Jüngere nutzen die ePA aktiv Inzwischen haben drei Viertel der Deutschen zumindest von der elektronischen Patientenakte (ePA) gehört. Neun Prozent nutzen sie aktiv, das ist vor allem bei Jüngeren der Fall. 08.04.2024 Politik
Jubiläum von „Healthy Athletes“20 Jahre und mehr als 58.000 kostenlose Untersuchungen Am Weltgesundheitstag am 7. April mit dem Motto „Recht auf Gesundheit“ macht Special Olympics Deutschland (SOD) auf das 20-jährige Jubiläum ihres Gesundheitsprogramms Healthy Athletes® aufmerksam. 05.04.2024 Gesellschaft
Stimmungsbarometer der Stiftung GesundheitNoch keine Stimmungs-Trendwende in Sicht Die wirtschaftliche Stimmung der Ärzte ist zwar etwas besser geworden, eine Trendwende gibt es aber noch nicht, so die Stiftung Gesundheit. Bei den Zahnärzten hat sich die Lage sogar verschlechtert. 05.04.2024 Politik
Internationale Studie zum embryonalen ZahnwachstumZahnentwicklung: Signalzentren entstehen durch Druck Mechanische Kompression ist entscheidend für die Entstehung von Schmelzknoten während der Zahnentwicklung. 05.04.2024 Zahnmedizin
Umstrukturierung der BundeswehrSanitätsdienst ist künftig kein eigenständiger Bereich mehr Mit den Reformplänen von Boris Pistorius zur Bundeswehr soll der Sanitätsdienst neu organisiert werden. Künftig wird er als militärischer Organisationsbereich aufgelöst und mit anderen Bereichen zusammengelegt. 05.04.2024 Politik
Patientenbeauftragter der Bundesregierung„Startschuss für die UPD noch vor dem Sommer“ Die Unabhängige Patientenberatung Deutschland (UPD) soll noch vor dem Sommer starten, sagt der Patientenbeauftragte der Bundesregierung Stefan Schwartze (SPD) in einem Interview. Man sei auf einem guten Weg. 04.04.2024 Politik
Global Burden of Disease Study 202143 Prozent der Bevölkerung haben neurologische Erkrankungen Neurologische Erkrankungen waren im Jahr 2021 die Hauptursache für die globale Krankheitslast, noch vor Herz-Kreislauf-Erkrankungen. 04.04.2024 Zahnmedizin
Aktuelle Zahlen im GesundheitsatlasHerzerkrankungen gehen zurück Die Häufigkeit Koronarer Herzerkrankungen (KHK) sinkt, zeigen neue Daten aus dem Gesundheitsatlas Deutschland. Doch die Häufigkeit von Diabetes steigt, und der Osten ist von KHK immer noch stark betroffen. 04.04.2024 Politik
BayernLandarztprämie stößt auf großes Interesse Bei Ärztinnen und Ärzten in Bayern stößt die Landarztprämie auf großes Interesse. Allein in den ersten drei Monaten dieses Jahres sind fast 50 Anträge eingegangen, meldet das Gesundheitsministerium. 03.04.2024 Politik
Der Trend verfestigt sichImmer mehr Ärzte arbeiten als Angestellte Zwar ist die Zahl an Ärzten gestiegen, dennoch bleibt die Arztzeit eine knappe Ressource. Der Grund: Immer mehr von ihnen arbeiten zunächst in Anstellung, wie aus der neuen Arztzahlstatistik hervorgeht. 03.04.2024 Politik
Studie aus IrlandMikrobiomveränderungen über Jahrtausende Zähne aus der Bronzezeit ermöglichen Rückblicke auf die Entwicklung der menschlichen Ernährung sowie Veränderungen des Mikrobioms im Laufe der Jahrtausende. 03.04.2024 Zahnmedizin
Preisindex 1. Quartal 2024Leichter Preisanstieg, aber keine Tendenz Der aktuelle Preisindex zeigt, dass die Preise für einige medizinische Verbrauchsmaterialien im ersten Quartal leicht gestiegen sind. Eine deutliche Preissteigerung sei aber nicht zu erwarten. 03.04.2024 Praxis
Vereinigtes KönigreichNeue Befugnisse für zahnärztliches Personal In Zukunft sollen Dentalhygienikerinnen und Dentaltherapeuten mehr Befugnisse bekommen, zum Beispiel für die Verabreichung von Medikamenten. 02.04.2024 Zahnmedizin
Tarifeinigung für Uniklinik-ÄrzteMehr Gehalt, weniger Arbeitszeit Zehn Prozent mehr Gehalt und zwei Stunden weniger Wochenarbeitszeit – das sind die zentralen Punkte im Tarifabschluss nach fünf Verhandlungsrunden. Die Regelungen gelten zunächst bis Ende März 2026. 02.04.2024 Gesellschaft
Deutsches Zentrum für Infektionsforschung (DZIF)Multiresistente Tuberkulose Das Deutsche Zentrum für Infektionsforschung weist auf Probleme mit Antibiotikaresistenzen bei der Behandlung von Tuberkulose hin und empfiehlt einen Beitrag im Fachjournal Nature Reviews Disease Primers. 02.04.2024 Zahnmedizin
Risikostrukturausgleich der KrankenkassenWirtschaftsforscher wollen Prävention beim RSA belohnen Die hohe Zahl chronisch Kranker bei uns sei auch auf die zu kurzfristige Ausrichtung des Systems zurückzuführen: Der Risikostrukturausgleich muss laut Ökonomen daher stärker auf Prävention ausgerichtet werden. Ausgabe 7/2024Politik
BMG setzt Card Link durchKZBV kritisiert neuen Einlöseweg für das E-Rezept Die Kassenzahnärztliche Bundesvereinigung (KZBV) kritisiert den Beschluss der gematik-Gesellschafterversammlung zum „Card Link“, mit dem Patienten ihre E-Rezepte über Apps von Drittanbietern einlösen können. Ausgabe 7/2024Politik
Karl-Häupl-Kongress 2024 in Köln„Universität und Praxis sind keine Parallelwelten“ Beim Karl-Häupl-Kongress ging es um die Schnittstellen zwischen der Zahnmedizin in Universität und Praxis. Rund 900 Teilnehmer waren am 9. März in den großen Festsaal des Kölner Gürzenich gekommen. Ausgabe 7/2024Zahnmedizin
Studie zur zahnmedizinischen ForensikWie die Zahnmedizin Tote identifiziert DNA, Fingerabdrücke und Zähne sind die primären Merkmale, mit denen unbekannte Tote identifiziert werden. Welche Rolle dabei die Zahnmedizin spielt, hat jetzt eine Mainzer Arbeitsgruppe untersucht. Ausgabe 7/2024Zahnmedizin
Beilage als ePaperImpulspapier „Orale Medizin“ vorab online In der nächsten zm-Ausgabe, die am 1. April erscheint, ist eine umfangreiche Beilage zur Diskussion um die „Orale Medizin“ enthalten. Das ePaper der Beilage können Sie bereits vorab online lesen. 01.04.2024 Zahnmedizin
Zahl des Monats6.533 Ende 2022 lag die Zahl der Kooperationsverträge zwischen Zahnärzten und Alten- und Pflegeheimen bei 6.533 – und stieg damit trotz der Einschränkungen aufgrund der Corona-Situation gegenüber dem Vorjahr. 01.04.2024 Praxis
Studie zum PublikationsverhaltenParodontologie ist weltweit Topthema in der zahnmedizinischen Forschung Mit welchen Themen beschäftigt sich die zahnmedizinische Forschung? Überraschenderweise dominiert eine Disziplin, die hierzulande immer noch um ihren adäquaten Platz in der Patientenversorgung kämpft. Ausgabe 7/2024Zahnmedizin
Pläne des Verteidigungsministeriums stoẞen auf WiderstandSelbstverwaltung gegen Umstrukturierung des Sanitätsdienstes der Bundeswehr Ärzte- und Zahnärzteverbände sind geschlossen gegen die Pläne des Verteidigungsministeriums, den Sanitätsdienst der Bundeswehr als eigene Einheit aufzulösen. Sie warnen vor dem Verlust an Fachlichkeit. Ausgabe 7/2024Politik
Urteil des BundessozialgerichtsBSG bestätigt Honorarkürzung für TI-Verweigerer Arzt- und Zahnarztpraxen müssen die TI nutzen und damit einen Versicherten-Stammdatenabgleich vornehmen. Und das bereits seit Anfang 2019, urteilte heute das Bundessozialgericht (BSG) in Kassel. Ausgabe 7/2024Politik
Neue DGE-ErnährungsempfehlungenMaximal ein Ei Mehr Obst und Gemüse und weniger Fleisch und Milch: Die Deutsche Gesellschaft für Ernährung (DGE) hat ihre Empfehlungen aktualisiert. Ist das gut oder schlecht für die Zahngesundheit? Ausgabe 7/2024Politik
Vorstoẞ aus Thüringen, Sachsen und Sachsen-AnhaltMitteldeutsche Zahnärztekammern fordern Landeskinderquote Die mitteldeutschen Universitäten sollen Studienplätze in der Zahnmedizin zu einem festen Anteil an Bewerber vergeben, die später in der Region arbeiten wollen, fordern Thüringen, Sachsen und Sachsen-Anhalt. Ausgabe 7/2024Politik
Studie des Wissenschaftlichen Instituts der PKV (WIP)63.000 Euro Mehrumsatz durch die PKV je Praxis Der Mehrumsatz der Privatversicherten lag 2022 bei 12,33 Milliarden Euro. Das waren 650 Millionen Euro mehr als im Jahr davor, errechnet eine Studie des Wissenschaftlichen Instituts der PKV (WIP). Ausgabe 7/2024Politik