Umfrage zum Gesundheitsdienst in GroßbritannienDie meisten Bürger sind mit dem NHS unzufrieden Die Zufriedenheit der Bürger mit dem britischen Nationalen Gesundheitsdienst NHS ist auf einem Rekordtief. 2023 war weniger als ein Viertel der Menschen mit dem NHS zufrieden – der niedrigste Wert seit 1983. 28.03.2024 Politik
Kabinett beschließt MedizinforschungsgesetzZulassung von Arzneimitteln soll beschleunigt werden Das Kabinett hat den Entwurf eines Medizinforschungsgesetzes beschlossen. Ziel ist es, die Rahmenbedingungen für die Entwicklung, Zulassung und Herstellung von Arzneimitteln in Deutschland zu verbessern. 28.03.2024 Politik
Deutsche Gesellschaft für Mund-, Kiefer- und GesichtschirurgieHautkrebs: Die meisten Tumore entstehen im Gesicht Eine Aufklärungskampagne der DGMKG soll die Aufmerksamkeit für Hautkrebs erhöhen – insbesondere im Gesichtsbereich. 28.03.2024 Zahnmedizin
Internationale StudieChatbots verbreiten Desinformationen zu Gesundheitsthemen Chatbots mit künstlicher Intelligenz (KI) verfügen nicht über ausreichende Sicherheitsvorkehrungen. Auf Wunsch generieren die Systeme Desinformationen über Gesundheitsthemen inklusive gefälschter Quellen. 28.03.2024 Gesellschaft
In-vitro-StudieStatine gegen Parodontalerkrankungen Cholesterinsenkende Medikamente könnten dazu beitragen, die mit Parodontalerkrankungen verbundenen Entzündungsprozesse zu dämpfen. 27.03.2024 Zahnmedizin
Bundesregierung zur NährwertkennzeichnungAmpel hält EU-weiten Nutri-Score für sinnvoll Die Bundesregierung plädiert für eine EU-weit einheitliche Lebensmittelkennzeichnung mit dem Nutri-Score. Zusammen mit anderen EU-Staaten setzt sie sich für dessen Weiterentwicklung auf europäischer Ebene ein. 27.03.2024 Politik
Pläne zur Stärkung der Gesundheitsversorgung in der KommuneBoni für Hausärzte und Förderung neuer Medizinstudienplätze Das Bundesgesundheitsministerium will die ambulante Versorgung stärken. Geplant ist die Entbudgetierung für Hausärzte, Boni für den Hausarztbesuch, Gesundheitskioske und die Förderung von Medizinstudienplätzen. 26.03.2024 Politik
Lohnstatistik in AusbildungsberufenAzubis in Pflegeberufen verdienen überdurchschnittlich In der Alten- und Krankenpflege verdienen Auszubildende nach Angaben des Statistischen Bundesamts überdurchschnittlich. Die Gehälter von ZFA-Azubis fallen im Vergleich dazu deutlich ab. 26.03.2024 Gesellschaft
Deutsche Gesellschaft für Neurologie (DGN)Neurologische Komplikationen nach Lachgaskonsum Distickstoffmonoxid (Lachgas) erobert derzeit als Partydroge Deutschland. Es gilt als vermeintlich risikoarm, da die Wirkung bereits nach wenigen Minuten nachlässt – ein Trugschluss, wie die DGN mitteilt. 26.03.2024 Gesellschaft
Bundesrat billigt KrankenhaustransparenzgesetzOnline-Verzeichnis für Kliniken ab 1. Mai Der Bundesrat hat das Krankenhaustransparenzgesetz gebilligt. Damit wird – nach langem Streit – ein Online-Transparenzverzeichnis eingeführt. Bürger können sich über die Leistungen von Kliniken informieren. 26.03.2024 Politik
Reaktionen auf das CannabisgesetzVon „völliger Irrweg“ bis „absolut überfällig“ Geteiltes Echo: Am 22. März 2024 hat der Bundesrat das Cannabisgesetz der Bundesregierung passieren lassen. Daran macht sich heftige Kritik fest. Aber es gibt auch Zustimmung. 26.03.2024 Politik
Festzeitungen des Leipziger Klinischen VogelschießensWie sich Studenten damals über ihre Professoren mokiert haben Schon vor über 150 Jahren haben Medizinstudenten ihre Professoren an der Universität verhohnepiepelt. Medium für das spöttische „Feedback“ war die Festzeitung des Leipziger Vogelsschießens zum Schützenfest. 26.03.2024 Gesellschaft
Forsa-Umfrage im Auftrag der KKHImmer mehr Eltern sind Burnout-gefährdet Fast 70 Prozent der Eltern mit minderjährigen Kindern fühlen sich erschöpft oder ausgebrannt, zeigt eine Forsa-Umfrage. Die Gründe sind hohe Belastungen durch Erziehung und Betreuung und finanzielle Sorgen. 25.03.2024 Politik
Deutsche Gesellschaft für ErnährungDGE bestätigt Empfehlung für Fluorid Die Deutsche Gesellschaft für Ernährung (DGE) hat den Richtwert für die Zufuhr von Fluorid bestätigt. Er liegt weiterhin zwischen 0,25 und 3,5 Milligramm pro Tag. 25.03.2024 Gesellschaft
Deutsche Apotheker- und ÄrztebankSchellenberg bleibt bis 2029 Matthias Schellenberg bleibt bis 2029 an der Spitze der Deutschen Apotheker- und Ärztebank (apoBank). Sein laufender Vertrag wurde vorzeitig verlängert. 25.03.2024 Gesellschaft
BundesratLänderkammer billigt Cannabisgesetz Der Bundesrat hat in seiner Sitzung am 22. März 2024 das Cannabisgesetz gebilligt. Anträge auf Einberufung des Vermittlungsausschusses fanden keine Mehrheit. 22.03.2024 Politik
Statistisches Bundesamt meldetHochschulausgaben sind 2022 gestiegen Für die medizinischen Einrichtungen wendeten die Universitäten für Lehre, Forschung und Krankenbehandlung 34,4 Milliarden Euro auf, meldet das Statistische Bundesamt. Das waren vier Prozent mehr als 2021. 22.03.2024 Gesellschaft
Cochrane ReviewWie behandelt man eine orale submuköse Fibrose? Ein neuer Cochrane Review gibt einen Überblick über das Krankheitsbild der oralen submukösen Fibrose und bewertet den Nutzen von Therapien: Es gibt kaum welche, deren Wirksamkeit bestätigt werden kann. 22.03.2024 Zahnmedizin
Konjunkturbefragung der Freien BerufeWie hoch ist die Belastung durch Bürokratie? Derzeit läuft die turnusmäßige Umfrage, die das Institut der Freien Berufe im Auftrag des Bundesverbands der Freien Berufe (BFB) durchführt. Um Teilnahme bis Ende April wird gebeten. 22.03.2024 Praxis
ZFA von morgen begeisternMachen Sie mit beim Jungen-Zukunftstag 2024 Der Boys' Day am 25. April ist die Gelegenheit, um dem Nachwuchs von morgen einen Einblick in den Berufsalltag der ZFA zu ermöglichen – frei von Geschlechterklischees. 22.03.2024 Praxis
Studie des Deutschen Instituts für Wirtschaftsforschung (DIW)Junkfood-Werbeschranken belasten nicht die Wirtschaft Die geplanten Beschränkungen der Werbung für ungesunde Lebensmittel können die Gesundheit von Kindern und Jugendlichen effektiv schützen, ohne die Wirtschaft zu belasten. Zu diesem Ergebnis kommt eine Studie. 21.03.2024 Politik
Kritik an Ernährungsempfehlungen der DGE„Für große Teile der Bevölkerung problematisch“ Präventivmediziner üben Kritik an den neuen Empfehlungen der Deutschen Gesellschaft für Ernährung. Sie könnten größten Teilen der Bevölkerung sogar schaden. Dem Klimaschutz werde zu viel Platz eingeräumt. 20.03.2024 Politik
Bayerische Landeszahnärztekammer zum Cannabisgesetz„Cannabis-Konsum schadet der Mund- und Allgemeingesundheit“ Im Bundesrat geht es am 22. März 2024 um das Cannabisgesetz der Regierung. Vor der Sitzung warnt die Bayerische Landeszahnärztekammer (BLZK) vor den negativen Folgen des Cannabiskonsums für die Mundgesundheit. 20.03.2024 Politik
Aktualisierte Arbeitshilfe aus Baden-WürttembergNur begrenztes Beschäftigungsverbot für angestellte Zahnärztinnen in der Stillzeit? Baden-Württemberg hat eine Arbeitshilfe zum Beschäftigungsverbot für angestellte stillende Frauen in Zahnarztpraxen aktualisiert, die die Anlässe für die Verhängung einer solchen Anordnung stark eingrenzt. 20.03.2024 Praxis
Bund der Steuerzahler übt Kritik am RKIFünf Euro in bar für Teilnahme an Studie Der Bund der Steuerzahler kritisiert das Robert Koch-Institut (RKI): Das Institut verschenke Fünf-Euro-Scheine, um Menschen zur Teilnahme an einer Gesundheitsstudie zu motivieren. Das sei Steuerverschwendung. 20.03.2024 Politik
E-Commerce-Riese steigt in Offline-Handel einAmazon eröffnet Apotheke in Italien Schon lange ist Amazon im Gesundheits- und Apothekenbereich aktiv. Bisher allerdings nur online. Jetzt will das Unternehmen offenbar seine erste physische Apotheke in Europa in Mailand eröffnen. 20.03.2024 Gesellschaft
Deutsche Gesellschaft für KinderzahnmedizinDGKiZ: Fluoridempfehlungen enthalten „Sicherheitsspielraum“ Die Deutsche Gesellschaft für Kinderzahnmedizin (DGKiZ) stellt in einem Statement zur Sicherheit fluoridhaltiger Kinderzahnpasten klar: Es gibt kein Überdosierungsrisiko und damit kein erhöhtes Fluoroserisiko. 20.03.2024 Zahnmedizin
Digitale Vernetzung mit LeistungserbringernFax ade: Barmer führt eNachrichten ein Mit den sogenannten eNachrichten will die Barmer als erste Krankenkasse allen Leistungserbringern einen digitalen Kommunikationskanal für einen sicheren Informationsaustausch zur Verfügung stellen. 20.03.2024 Praxis
Akademie für freiberufliche Selbstverwaltung und PraxismanagementAS Akademie: 13. Studiengang gestartet! 13 Zahnärztinnen und 9 Zahnärzte aus 10 Bundesländern starteten im März ihre zweijährige Fortbildung an der AS Akademie. Zur Eröffnungsfeier in Berlin waren viele Vertreter der Trägerorganisationen angereist. 19.03.2024 Zahnmedizin
Gesundheitsorganisationen veröffentlichen ErklärungDemokratie und Pluralismus sind unser Fundament Für ein Leben in „Frieden und Freiheit“ sprechen sich mehr als 200 Organisationen aus dem Gesundheitswesen in einer gemeinsamen Erklärung aus. Auch die Zahnärzteschaft unterstützt den Appell. 19.03.2024 Gesellschaft
Reaktionen zu Lauterbachs KrankenhausplänenKliniknovelle steht in der Kritik Lauterbachs Gesetzesentwurf zur Krankenhausreform stößt in der Fachwelt auf viel Kritik. Der Gesundheitsminister verkenne die reale Versorgungssituation, sagen Ärzte. Kassen äußern ein geteiltes Echo. 19.03.2024 Politik
Neue Ausgabe des „ZahnRat“Die Chirurgie im Blick In ihrer aktuellen Ausgabe gibt die Patientenzeitschrift ZahnRat einen Überblick zu chirurgischen Behandlungen in der Zahnarztpraxis. 19.03.2024 Praxis
World Dental Federation (FDI)Aktionstag will Notwendigkeit guter Mundhygiene vermitteln Am 20. März veranstaltet der Weltzahnärzteverband FDI wieder den Weltmundgesundheitstag. Das Motto 2024 lautet „A happy mouth is a happy body!“ 19.03.2024 Gesellschaft
Herz- und Diabeteszentrum NRW, Bad OeynhausenErstmals in Europa: Holografie in der Herzmedizin Am Herz- und Diabeteszentrum NRW erlaubt neue Technik dem Arzt, das Herz des vor ihm liegenden Patienten während des Eingriffs als dreidimensionales Echtzeit-Hologramm in Augenhöhe zu sehen. 19.03.2024 Medizin
SchottlandLokale NHS-Behörden warnen vor „erheblichem Datendiebstahl“ Ein Trust des NHS Schottland hat vor einer Unterbrechung der Versorgung und möglicher Datenkompromittierung gewarnt, nachdem er von Cyberkriminellen angegriffen wurde. 19.03.2024 Gesellschaft
Fußballtorwart Peter Kunter wurde 82 Jahre altDer fliegende Zahnarzt ist tot Dr. Peter Kunter ist gestern im Alter von 82 Jahren nach kurzer, schwerer Krankheit verstorben, meldet Eintracht Frankfurt. Der "fliegende Zahnarzt“ stand bei dem Verein von 1965 bis 1976 im Tor. 19.03.2024 Gesellschaft
Europäischer GesundheitsdatenraumEU-weiter Austausch von Gesundheitsdaten wird einfacher Der Austausch von Gesundheitsdaten wird europaweit leichter: EU-Bürger haben künftig das Recht auf eine ePA, beim Zugriff auf Daten können Patienten mitsprechen, die Weitergabe an Krankenkassen ist untersagt. 18.03.2024 Politik
„Die Versorgungssicherheit in Bayern ist gefährdet!“KZVB fordert wirksames MVZ-Gesetz Die Kassenzahnärztliche Vereinigung Bayerns appelliert an die Bundesregierung, endlich ein Gesetz auf den Weg zu bringen, dass den Vormarsch internationaler Investoren in der ambulanten Versorgung begrenzt. 18.03.2024 Politik
Kanadische MetastudieVor 40 bringt ein Rauchstopp am meisten Eine Rauchentwöhnung reduziert die Sterblichkeit und Morbidität, erheblich aber vor allem, wenn man vor dem 40. Lebensjahr aufhört, gewinnt man viele Jahre. Das zeigt eine neue Meta-Studie aus Kanada. 18.03.2024 Medizin
British Dental AssociationDas hat die Zuckersteuer in Großbritannien gebracht Im April 2018 hat das Vereinigte Königreich eine Zuckersteuer auf Erfrischungsgetränke eingeführt. Gegenüber dem Weltzahnärzteverband FDI erklärte die BDA die Folgen – und warum sie für eine Ausweitung ist. 18.03.2024 Politik
Referentenentwurf zur Krankenhausreform liegt vorMaximal 40 Auto-Minuten bis zur nächsten Klinik Eine Vorhaltefinanzierung statt Fallpauschalen und einheitliche Leistungsgruppen sieht der neue Entwurf zur Krankenhausreform vor. Und die nächste Klinik soll innerhalb von 40 Auto-Minuten erreichbar sein. 18.03.2024 Politik
Nutzungsfläche von etwa 900 QuadratmeternKieferorthopädie im Saarland erhält Neubau Die Kieferorthopädie am Universitätsklinikum des Saarlandes erhält einen Neubau. Geplant ist ein zweieinhalbgeschossiges Gebäude mit Behandlungsräumen und Arztzimmern. Jetzt wurde mit den Bauarbeiten begonnen. 18.03.2024 Zahnmedizin
Ab heute online zum Spender werdenSo funktioniert das neue Organspende-Register Mit dem Start des Organspende-Registers können Entscheidungen zur Organ- und Gewebespende ab heute auch online festgehalten werden. 18.03.2024 Gesellschaft
Gemeinschaft stellt Positionspapier vorHeilberufe in Thüringen gehen mit 6 Forderungen an die Politik Ambulantisierung, Finanzierung, Fachkräfte, Nachwuchs, Bürokratie, Digitalisierung: Die Heilberufe in Thüringen haben der Landespolitik ein Positionspapier mit sechs Forderungen zu diesen Baustellen übergeben. 15.03.2024 Politik
Zahnarzt Christian Bartelt kommt doch nicht zum ZugKristine Lütke wird FDP-Obfrau im Gesundheitsausschuss Die Bundestagsabgeordnete Kristine Lütke (FDP) wird die neue Obfrau ihrer Fraktion im Gesundheitsausschuss. Zahnarzt Christian Bartelt, der laut Medienberichten für das Amt vorgesehen war, kommt nicht zum Zug. 15.03.2024 Politik
Nach Verstoß gegen die Hausordnung des BundestagesOrdnungsgeldverfahren gegen AfD-Mann eingeleitet Die Verletzung der Hausordnung des Bundestages zieht ein Ordnungsgeldverfahren für den AfD-Abgeordneten Kay-Uwe Ziegler nach sich. Er hatte widerrechtlich den Vorsitz im Gesundheitsausschuss beansprucht. 15.03.2024 Politik
Ständige ImpfkommissionKlaus Überla ist neuer STIKO-Vorsitzender Die Ständige Impfkommission (STIKO) hat den Virologen Prof. Klaus Überla zu ihrem Vorsitzenden und die niedergelassene Gynäkologin Dr. Marianne Röbl-Mathieu zur Stellvertretenden gewählt. 15.03.2024 Politik
Fachärztetag des Spitzenverbandes Fachärzte Deutschlands„Ärzten werden Knüppel zwischen die Beine geworfen“ Fortschreitender Ärzte- und Fachkräftemangel gehört zu den brennenden Problemen im Gesundheitswesen, so die Meinung auf dem SpiFa-Fachärztetag. Bundesgesundheitsminister Lauterbach kündigte Reformen an. 15.03.2024 Politik
Bundesweite MitmachaktionGemeinsam rauchfrei werden im Mai Mit dem Rauchen aufhören – für viele Menschen ein Ziel, das unerreichbar erscheint. Eine bundesweite Mitmachaktion soll das ändern. Zahnärztinnen und Zahnärzte können in ihrer Praxis auf die Aktion hinweisen. 15.03.2024 Gesellschaft
Zahnärztetag Westfalen-Lippe in GüterslohRieckesmann: „Helfen wir uns selbst!“ Am heutigen Vormittag startete in der Stadthalle Gütersloh das wissenschaftliche Programm des 69. Zahnärztetages Westfalen-Lippe. Über 2.500 Teilnehmerinnen und Teilnehmer sind vor Ort und im Livestream dabei. 15.03.2024 Zahnmedizin
Bundesärztekammer-Präsident zur Approbationsordnung„Wir haben mit dieser Reform jetzt schon vier Jahre Verzug" Die Novellierung der Ärztlichen Approbationsordnung ist Teil des Masterplans Medizinstudium 2020: Dem Namen nach sei die Reform also schon vier Jahre in Verzug, beklagt BÄK-Präsident Dr. Klaus Reinhardt. 14.03.2024 Politik
Statistisches Bundesamt73 Prozent der neuen Zahnis sind Frauen Die Zahl der Erstsemester steigt das zweite Jahr in Folge und liegt noch einmal um 1,6 Prozent über dem Studienjahr 2022. Im Fachbereich Zahnmedizin steigt der Anteil der Studentinnen weiter. 14.03.2024 Gesellschaft
Erste S3-LeitlinieDiagnostik, Therapie, Prävention und Nachsorge des Oro- und Hypopharynxkarzinoms ERstmals wurde im Leitlinienprogramm Onkologie eine S3-Leitlinie zur Diagnostik, Therapie, Prävention und Nachsorge des Oro- und Hypopharynxkarzinoms veröffentlicht. 14.03.2024 Zahnmedizin
Gesundheitsausschuss befasst sich mit Private Equity im GesundheitswesenFachleute plädieren im Bundestag für Stärkung ärztlich getragener MVZ Der Gesundheitsausschuss hat sich gestern mit dem Thema „Private Equity im Gesundheitswesen“ befasst. Dabei ging es vor allem um die steigende Zahl investorengetragener Medizinischen Versorgungszentren (iMVZ). 14.03.2024 Politik
BundeszahnärztekammerLeitfaden und Musterdokumente zur Famulatur Die Bundeszahnärztekammer (BZÄK) stellt einen Leitfaden zum Ablauf der zahnärztlichen Famulatur sowie die dafür benötigten Musterformulare zur Verfügung. Ausgabe 6/2024Praxis
Förderpreis der Zahnärztekammer Sachsen-AnhaltStudie: Geschlecht kann Erfolg von Teleskopkronen beeinflussen Forscherinnen und Forscher aus der Schweiz untersuchten die Langlebigkeit von Teilprothesen auf Teleskopkronen in einer deutschen Praxis. Dafür gab es den Förderpreis 2023 der Zahnärztekammer Sachsen-Anhalt. Ausgabe 6/2024Zahnmedizin
Forscher sehen enormes Potenzial für regenerative TherapienNeue Studie kartiert das gesamte Genom oraler Stammzellen US-Forscher haben erstmals Zahnpulpa-Stammzellen (DPSC) und parodontale Ligament-Stammzellen (PDLSC) kartiert. Sie identifizierten das gesamte Genom oraler Stammzellen und deren Differenzierungsverläufe. Ausgabe 6/2024Zahnmedizin
Oberlandesgericht HamburgWer Arbeitgeber schlecht bewertet, bleibt nicht anonym Arbeitgeber-Bewertungsportale erfreuen sich großer Beliebtheit. Ohne Namensnennung kann man sich dort über den aktuellen oder ehemaligen Arbeitgeber äußern. Jetzt stärkt ein Urteil die Rechte von Unternehmen. Ausgabe 6/2024Praxis
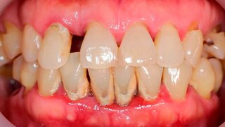
Ergebnisse der SHIP-Studie zur InterdentalreinigungZahnseide und Interdentalbürsten reduzieren Plaque, Gingivitis und Parodontitis-Schweregrad Die Nutzung von Zahnseide und Interdentalbürsten kann laut SHIP-Studie Plaque, Gingivitis und den Schweregrad von Parodontitis senken. Klare Effekte auf Karies und die Zahl fehlender Zähne sind nicht ableitbar. Ausgabe 6/2024Zahnmedizin
Arbeitgeber-Bewertungsportal lässt Urteil prüfenkununu widerspricht Gericht – und gibt keine Klarnamen raus Trotz anderslautendem Urteil will kununu Arbeitgebern keine Klarnamen von Verfassern kritischer Bewertungen aushändigen. Der Grund: Es sieht einen klaren Widerspruch zur Rechtsprechung des Bundesgerichtshofs. Ausgabe 6/2024Praxis
„Eine Firma ist kein Arzt“PKV erstattet Rechnung ärztlicher GmbHs nicht Rechnungen von Ärztinnen und Ärzten, die ihre Praxis an eine GmbH verkauft haben, werden von privaten Krankenversicherungen unter Umständen nicht erstattet, zeigt der Tätigkeitsbericht des PKV-Ombudsmanns. Ausgabe 6/2024Politik
Untersuchung der Justus-Liebig-Universität GießenWie gut sind Intraoralscanner bei der Kariesdetektion? Wie schlagen sich Intraorale Scanner bei der Erkennung okklusaler Karies bei Kindern? Das hat eine Arbeitsgruppe der Zahnklinik an der Justus-Liebig-Universität Gießen untersucht. Ausgabe 6/2024Zahnmedizin
Landtag in Magdeburg berät über Zahnärztemangel in Sachsen-AnhaltKZV warnt vor Wiedereinführung von Zulassungsbeschränkungen Was man gegen den Zahnärztemangel tun kann, beriet der Landtag Sachsen-Anhalt. Gesundheitsministerin Petra Grimm-Benne will Zulassungsbeschränkungen, die KZV sieht darin eine Gefahr für die Freiberuflichkeit. Ausgabe 6/2024Politik
Barmer veröffentlicht neue Statistik„Deutschland bekommt Diabetes nicht in den Griff“ In Deutschland ist die Zahl der Menschen mit Diabetes mellitus Typ 2 erneut gestiegen, geht aus dem Barmer-Diabetes-Atlas hervor. Auch viele junge Menschen seien betroffen. 13.03.2024 Gesellschaft
Landeszahnärztekammer Baden-WürttembergHeinrich Schneider erhält posthum Verdienstmedaille Posthum ehrte die Landeszahnärztekammer Baden-Württemberg Dr. Dr. Heinrich Schneider mit der Ehrennadel der deutschen Zahnärzteschaft für sein 30-jähriges standespolitisches Wirken in zahlreichen Ehrenämtern. 13.03.2024 Gesellschaft
Ärztekammer Brandenburg lehnt Bundesethikkommission ab„Drohenden Schaden von den föderalen Strukturen abwenden“ Die Landesärztekammer Brandenburg kritisiert die vom Bundesgesundheitsministerium (BMG) geplante zentrale Bundesethikkommission, die ab 2025 für bestimmte Typen klinischer Studien zuständig sein soll. 13.03.2024 Politik
Probleme beim E-Rezeptgematik führt Störungen auf TI-Anbieter zurück Für die wiederkehrenden Probleme beim E-Rezept macht die gematik den Dienstleister Medisign verantwortlich. Man sei mit dem Unternehmen in Kontakt, um die Störungen möglichst schnell zu beheben. 13.03.2024 Praxis
Deutsches Zentrum für Neurodegenerative Erkrankungen (DZNE)PFAS im Blut könnten kardiovaskuläres Risiko erhöhen Forschende konnten zeigen, dass Spuren der allgegenwärtigen PFAS-Chemikalien im Blut mit ungünstigen Fettprofilen und daher mit einem erhöhten Risiko für kardiovaskuläre Erkrankungen einhergehen. 13.03.2024 Medizin
Academy of OsseointegrationNeugebauer ist neuer Präsident der AO Der Oralchirurg Prof. Dr. Jörg Neugebauer ist als erster Deutscher während der diesjährigen Mitgliederversammlung zum Präsidenten der Academy of Osseointegration (AO) ernannt worden, meldet der BDIZ EDI. 12.03.2024 Zahnmedizin
BMG veröffentlicht vorläufige GKV-Finanzergebnisse für 202345 Krankenkassen haben ihre Zusatzbeiträge erhöht Zum Jahresbeginn haben 45 Kassen ihren Zusatzbeitrag erhöht. Im Schnitt liegt der Zusatzbeitrag bei 1,7 Prozent, nach 1,6 Prozent im Vorjahr. Und die Kassen gaben 2023 fünf Milliarden Euro mehr aus als 2023. 12.03.2024 Politik
Marburger Bund zur StreikaktionMindestens 7.000 Klinikärzte gingen gestern auf die Straße Rund 7.000 Ärztinnen und Ärzte aus 23 Universitätskliniken haben sich am Montag an den Warnstreik-Kundgebungen des Marburger Bundes beteiligt. 12.03.2024 Gesellschaft
Repräsentative ABDA-UmfrageE-Rezept dominiert Apothekenalltag Beim E-Rezept gibt es offfenbar weiterhin große technische Umsetzungsprobleme, die die Apotheken belasten. Zu dem Ergebnis kommt eine repräsentative Umfrage der Bundesvereinigung Deutscher Apothekerverbände. 11.03.2024 Gesellschaft
Probleme infolge Teil-und ElternzeitKind und Karriere bleiben für Ärztinnen schwer vereinbar Die Vereinbarkeit von Kind und Karriere halten Ärztinnen für eine größere Herausforderung als ihre männlichen Kollegen. Gerade der Elternurlaub ist aus ihrer Sicht häufiger mit einem Karriereknick verbunden. 11.03.2024 Praxis
Deutscher Ärztinnenbund (DÄB)„Gestaltungsposten im Gesundheitswesen gehen an Männer“ Der Runde Tisch „Frauen im Gesundheitswesen“ kritisiert mangelnde Parität bei der Neubesetzung von Schlüsselpositionen im Gesundheitswesen. Inzwischen stünden alle Bundesoberbehörden unter männlicher Führung. 07.03.2024 Politik
Cochrane ReviewMassagen bei Nackenschmerzen haben keine klaren Nutzen Nackenschmerzen sind weit verbreitet und können zu ausstrahlenden Schmerzen führen. Für die Behandlung sind Massagen beliebt, deren nutzen auch nach einem neuen Cochrane Review umstritten bleibt. 07.03.2024
KfW-GründungsmonitorFrauen liegen bei der Existenzgründung vorn Im Jahr 2022 lag der Frauenanteil bei Gründungen im Durchschnitt bei 37 Prozent. Bei akademischen Heilberufen indes noch weit höher: Unter Zahnärzten gründeten 53 Prozent Frauen, unter Ärzten sogar 61 Prozent. 07.03.2024 Praxis
StudienNanoplastik im Körper wird bei Zellteilung weitergegeben Über die Nahrung nimmt jeder pro Woche etwa die Menge einer Kreditkarte an Plastikpartikel im Mikro- und Nanometerbereich auf. Das könnte das Darmkrebsrisiko, Schlaganfall und Herzinfarktrisiko erhöhen. 07.03.2024 Medizin
Landeszahnärztekammer Baden-Württemberg warntNeue Betrugs-E-Mail mit Zahlungsaufforderung im Umlauf Aktuell kursieren Betrugs-E-Mails mit dem Betreff „Offene Rechnung für … wartet auf Ihre Zahlung“ von dem Absender „FFOL|Firmenfinder Online“. Darauf weist die Landeszahnärztekammer Baden-Württemberg hin. 07.03.2024 Praxis
Präklinischer WissensstandForscher wollen orales Mikrobiom transplantieren Forscher der University of Adelaide in Australien untersuchen, ob die Transplantation des oralen Mikrobioms – möglicherweise durch eine spezielle Zahnpasta – die Zahngesundheit verbessern könnte. 06.03.2024 Zahnmedizin
Report der DAK-Gesundheit zu Arbeitsausfällen aufgrund psychischer ErkrankungenBeschäftigte in Kitas und Altenpflege besonders oft psychisch krank Beschäftigte in Kitas und in der Altenpflege hatten 2023 pro Kopf im Schnitt 5,3 Fehltage aufgrund einer psychischen Erkrankung, 65 Prozent mehr als der Durchschnitt aller Berufsgruppen. 06.03.2024 Politik
Analyse des GKV-Spitzenverbandes„Wie lohnenswert ist es in Deutschland eine Vertragsarztpraxis zu führen?“ Bei den Jahresüberschüssen verzeichnet die deutsche Vertragsärzteschaft deutliche Zuwächse, errechnet der GKV-Spitzenverband (GKV-SV) und beruft sich dabei auf Daten des Statistischen Bundesamts. 06.03.2024 Politik
Folgen des GKV-Finanzstabilisierungsgesetz auf die ParodontitisversorgungKZV Rheinland-Pfalz beklagt starken Einbruch der Neubehandlungsfälle Daten der KZV Rheinland-Pfalz belegen einen Einbruch der Neubehandlungsfälle in der Parodontitistherapie um über 40 Prozent: Trotz unverändert hoher Krankheitslast fiel die Zahl im Dezember 2023 auf rund 4.000. 06.03.2024 Politik
Handreichung britischer Dermatologen und OralmedizinerHautkrebs: Worauf Zahnärzte achten sollten Britische Dermatologen und Oralmediziner haben in einer Übersichtsarbeit zusammengefasst, worauf Zahnärzte bei der Erkennung von Hautkrebs achten sollten. Diese 7 Punkte sind wichtig! 06.03.2024 Medizin
Studie untersucht HypervakzinierungMann ließ sich 217 Mal gegen Corona impfen Ein 62-jähriger Mann aus Magdeburg ließ sich innerhalb von 29 Monaten 217 Mal gegen SARS-CoV-2 impfen, berichten Forschende der Friedrich-Alexander-Universität Erlangen-Nürnberg und des Uniklinikums Erlangen. 06.03.2024 Gesellschaft
Gedankenspiele des dm-ChefsDiagnosen, Impfungen und Medikamente aus der Drogerie? Deutschlands größte Drogeriekette möchte ihr Angebot erweitern: Nach US-Vorbild könnte dies künftig Diagnosen, verschreibungspflichtige Medikamente und Impfungen umfassen, erklärte der dm-Chef. 06.03.2024 Gesellschaft
Hinweise geben Zähne und KnochenfragmenteDas Leben eines Steinzeitmenschen wurde erstmals kartiert Forscher haben erstmals das Leben eines Steinzeitmenschen kartiert. Zähne und Knochen belegen, dass der „Vittrup-Mann“, der 1915 erschlagen in einem Moor gefunden wurde, eine lange Reise hinter sich hatte. 05.03.2024 Gesellschaft
Gesundheit von Kindern und JugendlichenPsychosomatische Beschwerden an Schulen sind stark gestiegen Viel zu wenig Bewegung und einen starken Anstieg an psychosomatischen Beschwerden hat eine Studie bei Schulkindern in Deutschland belegt. Und: Gesundheit hängt stark von Wohlstand, Alter und Geschlecht ab. 05.03.2024 Politik
Umbrella-Review im British Medical JournalHochverarbeitete Lebensmittel mit 32 Gesundheitsproblemen assoziiert Verkürztes Leben, viele Krankheiten: Ein großes Umbrella-Review mit fast 10 Millionen Probanden bringt hochverarbeitete Lebensmittel mit über 30 gesundheitsschädlichen Folgen in Verbindung. 05.03.2024 Medizin
Verhaltenstherapie via SmartphoneMit einer App gegen die Zahnarztangst 30 Prozent aller US-Bürger haben Angst, zum Zahnarzt zu gehen. Forschende aus New York und Philadelphia haben jetzt eine App mit einer Verhaltenstherapie für diese Patienten entwickelt. 05.03.2024 Zahnmedizin
Christian Bartelt beerbt Lars LindemannZahnarzt soll FDP-Obmann im Gesundheitsausschuss werden Einem Bericht zufolge soll Christian Bartelt (FDP) neuer Obmann seiner Fraktion im Gesundheitsausschuss werden. Er beerbt damit seinen durch die Berliner Neuwahlen ausgeschiedenen Parteikollegen Lars Lindemann. 05.03.2024 Politik
Probe aus dem Wurzelkanal isoliertNeue Bakteriengattung entdeckt: Radixoralia hellwigii Eine an der Universität Freiburg entdeckte neue Bakteriengattung soll nach dem kürzlich emeritierten Direktor der Klinik für Zahnerhaltungskunde und Parodontologie, Prof. Dr. Elmar Hellwig, benannt werden. 05.03.2024 Zahnmedizin
Landessozialgericht Schleswig-HolsteinDie „Beratung vor Regress“ gibt es nur einmal Handeln niedergelassene Ärzte unwirtschaftlich und werden von Prüfgremien im Anschluss dazu zum Regress beraten, dann gibt es diese Beratung nur einmal und gilt auch Jahre später. 05.03.2024 Recht
Studie der Universität zu KölnPotenzieller Wirkstoff zur Nervenregeneration gefunden Kölner Forschende haben in einer Studie einen Wirkstoff vorgestellt, der im Tierversuch nach täglicher intravenöser Gabe den Heilungsprozess von geschädigten Nerven deutlich beschleunigt. 05.03.2024 Medizin
Bundesgerichtshof in KarlsruheBGH untersagt Werbung für Mundspülung gegen Corona Eine Mundspülung gegen Corona? Ob es hilft oder nicht – entsprechende Publikumswerbung ist jedenfalls unzulässig, wie der Bundesgerichtshof (BGH) in Karlsruhe in einem jetzt veröffentlichten Urteil entschied. 04.03.2024 Politik
EuGH zu ArzneimittelangebotenWann muss eine Plattform selbst Apotheke sein? Der Europäische Gerichtshof (EuGH) hat sich zu der Frage geäußert, wann der Betreiber einer Plattform, über die rezeptfreie Arzneimittel verkauft werden, selbst Apotheker sein muss. 04.03.2024 Politik
Analyse der VersorgungslandschaftSo unterschiedlich ist die Ärztedichte in Deutschland In Hamburg versorgen Ärzte im Schnitt 313 Einwohner, in Brandenburg 526. Die Stiftung Gesundheit hat analysiert, wie sich die Versorgungslandschaft im letzten Jahr entwickelt hat. 04.03.2024 Gesellschaft
Änderung bei der Vergabe von StudienplätzenOst-Ministerpräsidenten fordern Quote für Landeskinder im Medizinstudium Die ostdeutschen Ministerpräsidenten sprechen sich für Änderungen bei der Vergabe von Medizinstudienplätzen aus. Sie plädieren für eine Flexibilisierung des Staatsvertrags, um Absolventen im Land zu halten. 04.03.2024 Politik
Lancet-StudieJeder achte Mensch ist adipös Weltweit hat die Gesamtzahl der adipösen Kinder, Jugendlichen und Erwachsenen die Milliardenmarke überschritten. Das geht aus einer neuen Studie hervor, die das Fachmagazin The Lancet online veröffentlicht hat. 01.03.2024 Gesellschaft
Marburger Bund ruft zu Arbeitsniederlegungen aufWarnstreik der Klinikärzte am 11. März Der Marburger Bund hat die Ärztinnen und Ärzte in insgesamt 23 Universitätskliniken zu einem ganztägigen Warnstreik am 11. März aufgerufen. 01.03.2024 Politik
Internationaler ReviewFrauen in Gesundheitsberufen leiden eher an Burn-out als Männer Die Arbeitsumstände in Berufen des Gesundheitswesens fördern bei Frauen stärker Stress und Burn-out als bei Männern. Das zeigt eine Auswertung von 71 Studien aus dem Zeitraum 1979 bis 2022. 01.03.2024 Gesellschaft
Vertreterversammlung der Kassenärztlichen BundesvereinigungKBV: „Die Politik muss endlich handeln!“ Dringenden Handlungsbedarf forderte heute die Kassenärztliche Bundesvereinigung (KBV), um die ambulante Versorgung zu entlasten. Dazu zählten die hausärztliche Entbudgetierung und die Abschaffung von… 01.03.2024 Politik
Zahnärztemangel in ländlichen RegionenFVDZ: Zulassungsbeschränkungen lösen kein Problem Wie die KZV Sachsen-Anhalt kritisiert auch der Freie Verband Deutscher Zahnärzte (FVDZ) die Pläne von Sachsen-Anhalts Gesundheitsministerin Petra Grimm-Benne, (SPD) wieder Zulassungsbeschränkungen einzuführen. 01.03.2024 Politik
Christdemokraten diskutieren GrundsatzprogrammIm Gesundheitswesen setzt die CDU auf Eigenverantwortung Die CDU tourt gerade mit dem Entwurf ihres neuen Grundsatzprogramms durch Deutschland, um dessen Inhalte mit der Parteibasis zu diskutieren. Welche Ideen für das Gesundheitswesen enthält das 74-Seiten-Papier? 01.03.2024 Politik
KZV HessenZahnärzte warnen vor geplanter Cannabis-Freigabe Im Vorfeld der Bundesratsabstimmung zum Cannabisgesetz warnt die Kassenzahnärztliche Vereinigung Hessen vor negative Auswirkungen auf die Allgemeingesundheit und „Risiken bei der zahnärztlichen Behandlung". 01.03.2024 Politik
Wie Artemis Privatpatienten schröpfen willMVZ-Kette gibt Ärzteseminar zur Gewinnmaximierung Die Augenarztkette Artemis gab im Herbst ein Webinar für ihre angestellten Ärzte. Inhalt: Wie sie bei Privatpatienten „eine Menge mehr abrechnen können“. Nach einem TV-Bericht zieht das I-MVZ nun Konsequenzen. Ausgabe 5/2024Politik
Konsensus des WeltzahnärzteverbandesFDI gibt Empfehlungen zur täglichen Mundhygiene Die FDI World Dental Federation hat mit internationalen Fachleuten evidenzbasierte Empfehlungen zu Zahnputzmethoden und damit verbundenen Verhaltensweisen für die allgemeine Bevölkerung formuliert. Ausgabe 5/2024Zahnmedizin
KindeswohlgefährdungIst frühkindliche Karies gleich Kindeswohlgefährdung? Frühkindliche Karies ist fast automatisch Dental Neglect, also Kindeswohlgefährdung. Das ist für die zahnärztliche Praxis relevant. Ausgabe 5/2024TitelKinderzahnheilkunde