Kassenzahnärztliche BundesvereinigungNeue Infos zur IT-Sicherheitsrichtlinie für Praxen Auf der Website der KZBV sind neue Informationen zu den Anforderungen der „Richtlinie zur IT-Sicherheit in der vertragsärztlichen und vertragszahnärztlichen Versorgung“ abrufbar, die ab dem 1. April kommen. 31.03.2021 PraxisZahnmedizin
Neue STIKO-EmpfehlungAstraZeneca nur noch für über 60-Jährige Aufgrund weiterer Fälle von Sinusvenenthrombosen sollen nun vor allem Personen über 60 Jahre mit dem AstraZeneca-Vakzin geimpft werden. Zuvor veröffentlichte die STIKO eine entsprechende Altersempfehlung. 31.03.2021 GesellschaftPolitikCOVID-19-Pandemie
Corona-Warn-AppNach Ostern mit Event-Registrierung Nach den Feiertagen soll die Corona-Warn-App ein weiteres Update erhalten. Die Funktionen werden um eine Event-Registrierung erweitert. Die Datenspeicherung erfolgt auf dem eigenen Smartphone. 31.03.2021 Gesellschaft
Kältesensor auf den OdontoblastenEntdeckung macht Hoffnung auf Hilfe bei kälteempfindlichen Zähnen Der Kältesensor TRPC5 ist für die Kälteempfindlichkeit von Zähnen verantwortlich und liegt direkt auf den Odontoblasten. Dass auch diese als Kälterezeptoren funktionieren, wurde nun erstmals festgestellt. 31.03.2021 Zahnmedizin
Studie der US-Gesundheitsbehörde bestätigtmRNA-Impfstoffe schützen zu 90 Prozent Eine aktuelle US-Studie belegt die hohe Wirksamkeit von mRNA-Impfstoffen. Die Vakzine von Moderna und BioNTech/Pfizer schützen nach vollständiger Impfung zu 90 Prozent vor einer SARS-CoV-2-Infektion. 30.03.2021 Gesellschaft
Ulrich Kelber stellt Tätigkeitsbericht vorBundesdatenschutzbeauftragter fordert Nachbesserungen bei der ePA Mehr Sorgfalt bei Gesetzen zu Corona-Maßnahmen hat der Bundesdatenschutzbeauftragte Ulrich Kelber angemahnt. Er rügte die Ausgestaltung der elektronischen Patientenakte (ePA) und lobte die Corona-Warn-App. 29.03.2021 Politik
Bundesgesundheitsminister Jens SpahnAb Mitte April soll mit Johnson & Johnson geimpft werden Ab Mitte April soll der vierte COVID-19-Impfstoff in Deutschland verimpft werden. Das kündigte Bundesgesundheitsminister Jens Spahn auf der Online-Veranstaltung „Zusammen gegen Corona“ vergangenen Samstag an. 29.03.2021 Gesellschaft
Untersuchung von BVG und TU BerlinLüften senkt die Aerosolkonzentration im ÖPNV deutlich Wie gefährlich ist Bahn- und Busfahren? Wissenschaftler der TU Berlin haben in Zusammenarbeit mit der Charité geprüft, ob konsequentes Lüften die Aerosolausbreitung im öffentlichen Personennahverkehr eindämmt. 29.03.2021 Gesellschaft
Wissenswertes zum VirusCorona-News kompakt Kommt Sputnik V nach Europa? +++ Ist die zweite Impfung überflüssig? +++ PIMS-Syndrom: Schwere Verläufe bei Kindern +++ Studie simuliert Strategien für sicherere Flüge +++ Die Pandemie als positiver Störfall 26.03.2021 GesellschaftCOVID-19-Pandemie
Endodontie im Zoo OsijekGeglückte Zahnerhaltung beim Tiger Nachdem Tiger „Misko“ zwei Tage lang jede Nahrung verweigerte, wurden die Tierpfleger im Zoo Osijek, Kroatien, misstrauisch und holten den Veterinär. Der sah schnell, was der Raubkatze fehlte. 26.03.2021 Zahnmedizin
Neue Daten zum ImpfstoffAstraZeneca korrigiert Angaben zur Wirksamkeit nach unten Der Impfstoffhersteller AstraZeneca hat nach Zweifeln der US-Gesundheitsbehörde neue Daten vorgelegt und die Wirksamkeit seines Impfstoffs aus seiner US- Phase-III-Studie leicht nach unten korrigiert. 26.03.2021 GesellschaftPolitik
KBV-Chef Dr. Andreas Gassen"Die Praxen stehen bereit und wollen endlich anfangen!" Während andere Länder impfen, wo und wie es nur geht, doktere Deutschland an immer neuen Verordnungen herum – "statt die Praxen einfach machen zu lassen", rügte KBV-Chef Andreas Gassen heute auf der KBV-VV. 26.03.2021 PolitikCOVID-19-Pandemie
Deutsche Gesetzliche Unfallversicherung (DGUV)COVID 19: Zahl der Berufskrankheiten steigt seit Jahresbeginn Seit Jahresbeginn gehen viel mehr Anzeigen auf Verdacht einer Berufskrankheit und Arbeitsunfallmeldungen in Zusammenhang mit COVID-19 ein. Das geht aus einer Sondererhebung für Januar und Februar hervor. 26.03.2021 Gesellschaft
Warnhinweise zur ImpfungPEI veranlasst Rote-Hand-Brief zu AstraZeneca Nach den gehäuft aufgetretenen Hirnvenenthrombosen in Zusammenhang mit der Impfung mit AstraZeneca hat das Paul-Ehrlich-Institut (PEI) einen Rote-Hand-Brief vom Hersteller mit Warnhinweisen veröffentlicht. 25.03.2021 Gesellschaft
Cochrane ReviewSo gut sind die Schnelltests wirklich! Wie genau weisen Antigenschnelltests SARS-CoV-2-Infektionen nach? Diese Frage stellten sich Wissenschaftler von Cochrane in einem systematischen Review. Haben die Erkrankten auch Symtome, sind die Tests besser. 25.03.2021 Gesellschaft
Sachverständigenrat fordert verpflichtende ePA Die elektronische Patientenakte (ePA) soll für alle GKV-Mitglieder Pflicht werden, fordert der Sachverständigenrat in seinem neuen Gutachten zur Digitalisierung im Gesundheitswesen. 25.03.2021
Aktueller Ökotest35 Kinderzahnpasten im Test Ökotest hat aktuell 35 Zahncremes für Kinder bis sechs Jahren getestet: Viele enthalten problematische Inhaltsstoffe oder empfehlen nicht die richtige Menge an Fluorid. 15 schneiden mit Bestnote ab. 25.03.2021 Gesellschaft
Empfehlungen für Politik, Medien und BevölkerungWie man die Pandemie psychisch gut bewältigen kann Wie man die Pandemie psychisch gut bewältigen kann 25.03.2021 Gesellschaft
Laborärzte fordern verpflichtende Aufklärung über Schnelltests"Ein negatives Testergebnis ist kein Freifahrtschein!" Laborärzte fordern, dass Menschen in Testzentren verpflichtend über den eng begrenzten Nutzen von Schnelltests aufgeklärt werden sollen. Ein negatives Testergebnis werde oft als Freifahrtschein missverstanden. 25.03.2021 GesellschaftCOVID-19-Pandemie
Geänderte FörderrichtlinienAusbildungsprämien werden verdoppelt Die Bundesregierung hat Änderungen in den beiden Förderrichtlinien des Bundesprogramms „Ausbildungsplätze sichern“ beschlossen – mit veränderten Fristen und erhöhten Prämien. 24.03.2021 Praxis
Verwendete das Unternehmen veraltete Daten?US-Behörde hat Zweifel an neuer Studie von AstraZeneca Die US-Gesundheitsbehörde NIAID vermutet, dass AstraZeneca in seiner aktuellen Studie zum Impfstoff auch veraltete Daten verwendet hat. Bislang ist das Vakzin in den USA noch nicht zugelassen. 24.03.2021 Gesellschaft
Repräsentative BefragungGroße Mehrheit bevorzugt Corona-Impfung beim Arzt Insgesamt 87 Prozent der Deutschen würde sich am liebsten beim Haus- oder Facharzt gegen Corona impfen lassen. Fas zeigt der repräsentative Gesundheitsmonitor des Bundesverbandes der Arzneimittel-Hersteller. 24.03.2021 GesellschaftCOVID-19-Pandemie
Corona-Infektionen im BundestagBislang 184 Abgeordnete und Mitarbeiter infiziert Auch vor dem Bundestag macht die Coronavirus-Pandemie nicht Halt. Nach Angaben der Bundestagsverwaltung haben sich dort bislang 184 Beschäftigte mit dem Virus angesteckt. 23.03.2021 GesellschaftPolitikCOVID-19-Pandemie
Paul-Ehrlich-Institut bietet digtale MeldemöglichkeitGeimpfte können Nebenwirkungen in „SafeVaC“-App melden Geimpfte Personen können Verdachtsfälle von Nebenwirkungen nach einer COVID-19-Impfung an das Paul-Ehrlich-Institut (PEI) weitergeben. Mit der „SafeVac”-App ist eine Meldung digital und schnell möglich. 23.03.2021 GesellschaftCOVID-19-Pandemie
Europa im VergleichDeutschland hat mit die strengsten Corona-Regeln Die Universität Oxford hat einen Index erstellt, der zeigt, in welchem Land die strengsten Corona-Maßnahmen gelten. Bereits vergangene Woche lag Deutschland mit einem Wert von 78 auf Platz 2 in Europa. 23.03.2021 GesellschaftPolitik
Simulation der TU BerlinPrivate Besuche sind Infektionstreiber Simulationen der TU Berlin zeigen: Infektionen finden praktisch nur drinnen statt, wenn es dort zu längeren Kontakten ohne Maske kommt - im eigenem Haushalt, bei Pivatbesuchen, auf der Arbeit und in der Schule. 23.03.2021 Gesellschaft
Erweiterte Studien zum ImpfstoffkandidatenCureVac lässt Wirksamkeit für Corona-Varianten prüfen CureVac aus Tübingen kündigt für seinen Impfstoffkandidaten erweiterte klinische Studien hinsichtlich der Wirksamkeit des Vakzins gegen die Virus-Varianten an. Ergebnisse werden im zweiten Quartal erwartet. 23.03.2021 Gesellschaft
Corona-PandemieVertragszahnärzte erhalten 275 Millionen Euro "Pandemiezuschlag" Die Vertragszahnärztinnen und -zahnärzte bekommen einen einmaligen „Pandemiezuschlag“ in Höhe von insgesamt 275 Millionen Euro. Das hat die KZBV mit dem GKV-Spitzenverband ausgehandelt. 22.03.2021
BARMER-AnalyseCorona-Pandemie stoppt Grippewelle Die Grippewelle fällt in diesem Winter und Frühjahr voraussichtlich komplett aus. Zu dem Ergebnis kommt eine Auswertung unter krankgeschriebenen Barmer-versicherten Erwerbstätigen zwischen 15 und 64 Jahren. 22.03.2021 Gesellschaft
Annalena Baerbock und Robert HabeckGrüne legen Wahlprogrammentwurf vor Eine Bürgerversicherung für Gesundheit und Pflege, Vorsorge als Leitprinzip und sektorenübergreifende Zusammenarbeit auch bei der Eindämmung von Pandemien - dafür wollen sich die Grünen künftig einsetzen. 22.03.2021 Politik
AstraZenecaGreifswalder Forscher finden Ursache für Thrombose-Risiko Greifswalder Forscher haben den Mechanismus entschlüsselt, der die Komplikationen beim Vakzin von AstraZeneca auslöst: Ein Körper-Abwehrstoff aktiviert Blutplättchen, die ihrerseits die Thrombosen hervorrufen. 22.03.2021 GesellschaftCOVID-19-Pandemie
28. Schleswig-Holsteinischer ZahnärztetagAlterszahnmedizin im Fokus Unter dem Motto „Mit Biss ins hohe Alter“ fand am 19. und 20. März 2021 der Zahnärztetag in Schleswig-Holstein statt. Das Fortbildungsprogramm bot ein umfangreiches Update in Sachen Alterszahnmedizin. 22.03.2021 ZahnmedizinAlterszahnheilkunde
Positionspapier der BundeszahnärztekammerPsyche und Zähne hängen eng zusammen Psychosomatische Beschwerden haben zunehmend Einfluss auf die Mundgesundheit - erklärt die BZÄK in ihrem neuen Positionspapier. Und appelliert daran, auf den Zusammenhang von Psyche und Zähnen zu achten. 19.03.2021
66. Zahnärztetag Westfalen-LippeRieckesmann: Deutschland verzettelt sich bei Pandemiebekämpfung im Bürokratie-Dickicht In einer emotional vorgetragenen Rede machte der Präsident der Zahnärztekammer Westfalen-Lippe, Jost Rieckesmann, die überbordende Bürokratie für das Chaos im Kampf gegen die Corona-Pandemie verantwortlich. 19.03.2021
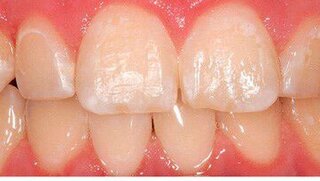
Review aus ChinaNichtkavitierte Läsion im Approximalraum mikroinvasiv behandeln! Kariesinfiltration und Versiegelung sind erfolgreiche Therapiemethoden bei kariösen Läsionen im Approximalraum. Die mikroinvasiven Behandlungen stoppen eine Karies wirksamer als Fluoridlacke und Zahnseide. 19.03.2021 Zahnmedizin
Neue Studienerkenntnisse zur brasilianischen MutanteSchützen die Impfstoffe gegen B.1.1.7? Inzwischen liegt der Anteil der Virusvariante B.1.1.7 unter den Neuinfektionen in Deutschland bei 72 Prozent. Die Uni Oxford attestiert den Impfstoffen von BioNTech und AstraZeneca aber ausreichenden Schutz. 19.03.2021 Gesellschaft
Wissenswertes zum VirusCorona-News kompakt +++ So viele Corona-Straftaten gab es 2020 +++ Erste Behandlungsrichtlinie +++ AstraZeneca schützt nicht vor milden Verläufen mit B.1.351 +++ Forschungsförderung für Pandemie-Folgen +++Milliarden für Gutscheine 19.03.2021 GesellschaftCOVID-19-Pandemie
Bei Uneinigkeit der Eltern über die Schutzimpfung des KindesUrteil: Wer den STIKO-Empfehlungen zustimmt, darf entscheiden Wenn Eltern uneinig sind, kann die Entscheidung über Schutzimpfungen auf den Elternteil übertragen werden, der seine Haltung an den STIKO-Empfehlungen orientiert. Das hat das OLG Frankfurt/Main entschieden. 19.03.2021 Nachrichten
BundesgesundheitsministeriumImpfungen mit AstraZeneca gehen in Deutschland weiter Die Impfungen mit dem Vakzin von AstraZeneca sollen in Deutschland noch am Freitag wieder starten. Das hat Bundesgesundheitsminister Jens Spahn gestern Abend bei einer Pressekonferenz in Berlin angekündigt. 19.03.2021
FDI zum World Oral Health Day am 20. MärzSei stolz auf Deinen Mund! Mehr Karies, fortgeschrittene Zahnfleischerkrankungen – zum World Oral Health Day am 20. März warnt der Weltzahnärzteverband FDI vor den Folgen der Pandemie für die Zahngesundheit - und startet eine Kampagne. 18.03.2021 Gesellschaft
Europäische Arzneimittel-AgenturEMA hält AstraZeneca für sicher Die Europäische Arzneimittel-Agentur (EMA) hält den Impfstoff von AstraZeneca trotz der bekannt gewordenen unerwünschten Ereignisse nach wie vor für ein "sicheres Produkt". 18.03.2021
Reaktion auf das hohe InfektionsgeschehenG-BA verlängert erneut Corona-Sonderregeln Der G-BA hat die Corona-Sonderregeln für die Ausstellung von Krankschreibungen, ärztlich verordnete Leistungen und Krankentransporte sowie für die telefonische Beratung in der ASV weiter verlängert. 18.03.2021 PolitikCOVID-19-Pandemie
StellungnahmeWHO empfiehlt vorerst Fortsetzung der Impfungen mit AstraZeneca Die Weltgesundheitsorganisation (WHO) ist zum jetzigen Zeitpunkt der Ansicht, dass beim AstraZeneca-Impfstoff der Nutzen die Risiken überwiegt und empfiehlt, die Impfungen fortzusetzen. 18.03.2021 Gesellschaft
BundeszahnärztekammerCorona-Hygienepauschale wird verlängert! Bundeszahnärztekammer (BZÄK), PKV-Verband und Beihilfe von Bund und Ländern haben sich auf eine erneute Verlängerung der Corona-Hygienepauschale bis zum 30. Juni 2021 verständigt. 18.03.2021 PraxisCOVID-19-Pandemie
American Dental AssociationUSA: Zahnärzte und Studierende dürfen gegen Corona impfen In den USA dürfen jetzt auch Zahnärzte und Zahnmedizinstudierende landesweit gegen Corona impfen. Das teilte die American Dental Association mit. Bislang waren sie nicht in allen Bundesstaaten dazu berechtigt. 18.03.2021 Gesellschaft
WIP-AnalysePKV-Studie sieht GKV unter wachsendem finanziellen Druck Das Wissenschaftliche Institut der PKV erwartet für die kommenden Jahre hohe Bundeszuschüsse zur Gesetzlichen Krankenversicherung: Die Gelder würden die GKV-Finanzprobleme aber nur kaschieren, nicht lösen. 17.03.2021
66. Zahnärztetag Westfalen-Lippe„Quo vadis Prothetik – zwischen Klassik und Moderne“ Die größte Fortbildungsveranstaltung der Zahnärzte in Westfalen-Lippe startet heute mit drei Sonderveranstaltungen. Im Fokus des viertägigen Kongressprogramms steht die Prothetik. 17.03.2021 Praxis
Ständige ImpfkommissionZweite Impfung muss mit demselben Präparat erfolgen Mit dem vorübergehenden Stopp der Impfungen mit AstraZeneca stellt sich die Frage, ob die zweite Dosis nicht auch mit einem anderen Vakzin verabreicht werden könnte. Die STIKO stellt klar: Nein! 17.03.2021 Gesellschaft
Verband Deutscher Zahntechniker-InnungenGysi-Preisträger gekürt! Gysi-Preis 2021: Die Siegerinnen und Sieger des VDZI-Nachwuchswettbewerbs stehen fest. Eine unabhängige Jury bewertete anonym die eingereichten Arbeiten aus den drei Gruppen des 2., 3. und 4. Ausbildungsjahres. 17.03.2021 Praxis
Landeszahnärztekammer Thüringen zum Tag der BerufeZFA – ein Beruf mit Biss Heute am Tag der Berufe werben Praxen für den Beruf der Zahnmedizinischen Fachangestellten (ZFA). Die Landeszahnärztekammer Thüringen knüpft unter dem Motto"Beruf mit Biss" an die virtuelle Aktionswoche an. 17.03.2021 PraxisAnstellung
Nebenwirkungen des ImpfstoffsEMA informiert über AstraZeneca Nachdem die Bundesregierung gestern mit sofortiger Wirkung die Impfungen mit AstraZeneca vorerst gestoppt hat, bleiben viele Fragen offen. Nun hat sich die Europäische Arzneimittelagentur (EMA) geäußert. 16.03.2021 Gesellschaft
StepStone-Gehaltsreport 2021Zahnärzte und Ärzte bleiben vorne Das Studium ist teuer, aber die Investition lohnt sich - auch finanziell. Der StepStone Gehaltsreport 2021 zeigt, wieviel Ärzte und Zahnärzte im Durchschnitt verdienen. 16.03.2021 Praxis
Medizinische Innovationen in der ambulanten VersorgungPKV-Versicherte profitieren schneller als Kassenpatienten Medizinische Innovationen in der ambulanten ärztlichen Versorgung werden privat Versicherten oft deutlich früher erstattet als Kassenpatienten. Doch das ist nicht nur von Vorteil, wie eine PKV-Studie zeigt. 16.03.2021
Studie zu Kinder-MarketingKinder sehen pro Tag 15 Werbungen für ungesundes Essen Kinder in Deutschland sehen durchschnittlich pro Tag 15,48 Werbungen für ungesundes Essen. Das ist das Ergebnis einer Studie der Universität Hamburg, basierend auf Daten noch vor der Corona-Krise. 16.03.2021 Gesellschaft
BundesgesundheitsministeriumDeutschland stoppt Impfungen mit AstraZeneca Aufgrund einer aktuellen Empfehlung des Paul-Ehrlich-Instituts (PEI) setzt die Bundesregierung die Corona-Impfungen mit AstraZeneca vorsorglich aus. Das teilte Bundesgesundheitsminister Jens Spahn heute mit. 15.03.2021 PolitikCOVID-19-Pandemie
KZBV zum BarriereabbauVirtueller Praxis-Rundgang aus Sicht gehandicapter Patienten Auf welche Hindernisse und Probleme stoßen Patienten mit Einschränkungen in einer Zahnarztpraxis? Der erweiterte virtuelle Rundgang durch eine barrierearme Praxis auf der Website der KZBV zeigt genau das. 15.03.2021 Praxis
Dritte STIKO-ImpfempfehlungSARS-CoV-2: Genesene benötigen erstmal keine Impfung Auch in Anbetracht des Impfstoffmangels sollten immungesunde Personen, die eine SARS-CoV-2-Infektion durchgemacht haben, nach Ansicht der Ständigen Impfkommission (STIKO) vorerst nicht geimpft werden. 15.03.2021 Gesellschaft
Praxistippss des Virchow-BundesWas Ärzte gegen den Klimawandel tun können Ärzte können viel gegen den Klimawandel und seine Folgen tun. Konkrete Tipps dazu hat der Virchow-Bund jetzt in einem Arbeitspapier für Praxen veröffentlicht. 15.03.2021 Praxis
Analyse der ArbeitsunfähigkeitsdatenSo viele ZFA waren wegen Corona krankgeschrieben Erzieher und das Gesundheitspersonal waren 2020 am meisten wegen COVID-19 krankgeschrieben. Das zeigt die AOK mit einer Auswertung der AU-Daten ihrer Mitglieder. MFA sind auf dem 5., ZFA auf 11. Platz von 150. 15.03.2021 Gesellschaft
Umfrage zur ImpfbereitschaftÄrzte und Pflegekräfte skeptisch gegenüber AstraZeneca Zwar ist die Impfbereitschaft unter Ärzten und Pflegekräften seit Dezember auf 75 Prozent gestiegen, doch sind fast 40 Prozent gegen eine Impfung mit dem Vakzin von AstraZeneca, wie eine Umfrage zeigt. 12.03.2021 PolitikCOVID-19-Pandemie
Wissenswertes zum VirusCorona-News kompakt Shutdown verbessert das Klima nicht +++ Pollenflug steigert Infektionsgefahr +++ Chile impft schneller als Israel +++ Fast die Hälfte der Deutschen hat einen Test gemacht +++ BMI unter 18,5 erhöht Sterberisiko 12.03.2021 GesellschaftCOVID-19-Pandemie
Dritte Änderung der ImpfverordnungZahnärzte bleiben Prio 2 Die aktualisierte Corona-Impfverordnung tritt rückwirkend zum 8. März in Kraft.Beauftragte Arztpraxen dürfen impfen und wie sie dafür entlohnt werden. Zahnärzte und ihr Praxispersonal bleiben Prio-Gruppe-2. 12.03.2021
Europäische UnionEMA empfiehlt Zulassung von Johnson & Johnson-Impfstoff Die Europäische Arzneimittel-Agentur hat die Zulassung des Vakzins von Johnson & Johnson empfohlen. Bei dem Impfstoff reicht eine Dosis. Er soll voraussichtlich ab April an die EU geliefert werden. 11.03.2021
Weltgesundheitsorganisation1 Jahr Corona-Pandemie Vor genau einem Jahr erklärte die WHO den COVID-19-Ausbruch zur weltweiten Pandemie - mit insgesamt 118.000 Infektionen. Das RKI meldete heute mehr als 14.300 Neuinfektionen innerhalb der letzten 24 Stunden. 11.03.2021 GesellschaftCOVID-19-Pandemie
Studie mit akut infizierten PatientenSpüllösung mit Povidon-Iod senkt Viruslast Französische Forscher belegen die antivirale Wirkung von Povidon-Iod in nasopharyngealer Anwendung bei leicht und mittelschwer erkrankten COVID-Patienten. Bereits eine Anwendung senkt die Viruslast. 11.03.2021 Praxis
Chirurgische Eingriffe nach COVID-19Corona-Infektion: Eine OP ist erst 7 Wochen danach wieder sicher Elektive OPs bei Patienten mit überstandener Corona-Infektion sollten um mindestens sieben Wochen aufgeschoben werden, um das postoperative Sterblichkeitsrisiko zu senken. Das zeigt eine Studie mit 116 Ländern. 11.03.2021 GesellschaftStudien zu COVID-19
LandeszahnärztekammerBaden-Württemberg ermöglicht Impfung von ZFA-Azubis unter 18 In Baden-Württemberg können sich nun auch ZFA-Auszubildende unter 18 Jahren gegen SARS-CoV-2 impfen lassen. Verabreicht wird hier das Vakzin des Herstellers BioNTech/Pfizer, teilt die Landeszahnärztekammer mit. 10.03.2021 GesellschaftCOVID-19-Pandemie
Revision der WurzelkanalbehandlungWeniger Schmerzen bei einzeitigem Vorgehen? Könnten Revisionsbehandlungen genauso wie primäre Wurzelbehandlungen in einer Sitzung stattfinden oder muss man in dem Fall damit rechnen, dass der Patienten mehr Schmerzen hat? 10.03.2021 Zahnmedizin
Bundesgesundheitsministerium151 Millionen Euro weniger GKV-Ausgaben für zahnärztliche Behandlungen Das Bundesgesundheitsministerium (BMG) hat die vorläufigen GKV-Finanzergebnisse vorgelegt: 2020 fielen die Ausgaben für zahnärztliche Behandlungen insgesamt um 151 Millionen Euro geringer aus als 2019. 10.03.2021 Politik
Russischer ImpfstoffEMA prüft Zulassung von Sputnik V Die Europäische Arzneimittelagentur (EMA) hat vergangene Woche mit dem Rolling-Review-Verfahren für die Zulassung des russischen COVID-19-Vakzins Sputnik V begonnen. 10.03.2021 Gesellschaft
Equal Pay Day in DeutschlandZum Gender Pay Gap in der Zahnmedizin Fast ein Drittel der Zahnärzte sind angestellt. Nach der Assistenzzeit verdienen sie zwischen 50.000 und 82.000 Euro. Dabei variiert das Gehalt je nach Vergütungsmodell, Erfahrung, Arbeitsort – und Geschlecht. 10.03.2021
Zweites Führungspositionen-GesetzBundesrat fordert Frauen-Mindestbeteiligung auch in KZV- und KZBV-Vorständen Zweites Führungspositionen-Gesetz: Der Bundesrat hat sich mehrheitlich dafür ausgesprochen, eine Mindestbeteiligung von einer Frau auch für die Vorstände von KV und KZVen sowie von KBV und KZBV festzulegen. 09.03.2021 Politik
Studien zu VirusmutationenWirkt der Impfstoff gegen die brasilianische Variante? Neuesten Studien zufolge sollen das Vakzin von Astrazeneca und auch der Impfstoff von Johnson & Johnson wirksam gegen die brasilianische Variante P.1 sein. 09.03.2021 Gesellschaft
"Erbsen-Challenge" suggeriert Risiko der ÜberdosierungSo schürt Dr. Wolffs Werbung Angst vor Fluorid Experten rügen den TV-Spot zu "Kinder Karex" von Dr. Kurt Wolff: Die Werbung suggeriere, dass Kinder alleine die Zahnpasta nicht richtig dosieren können und daher ein Risiko einer Fluorid-Überdosierung besteht. 09.03.2021 Zahnmedizin
FAQs des Robert Koch-InstitutsWas müssen Zahnärzte zu AstraZeneca wissen? Inzwischen werden in vielen Bundesländern Zahnärzte und ihre Mitarbeiter geimpft, vor allem mit dem Vakzin von AstraZeneca. FAQs dazu hat das Robert Koch-Institut (RKI) erstellt. 09.03.2021 Praxis
Internationaler FrauentagKZBV will mehr Zahnärztinnen in Führungspositionen! Zum Internationalen Frauentag am 8. März bekräftigt die KZBV ihr erklärtes Ziel, mehr junge Zahnärztinnen und Zahnärzte für ihre Gremien und Führungspositionen zu gewinnen und hier den Frauenanteil zu erhöhen. 08.03.2021
Sicherheitsbericht zu COVID-19-ImpfstoffenPEI hat keine Bedenken wegen Impfstoff von AstraZeneca Das Vakzin von AstraZeneca ist genauso gut wie die Vakzine von BioNTech/Pfizer und Moderna. Zu diesem Ergebnis kommt das Paul-Ehrlich-Institut (PEI) in seinem aktuellen Sicherheitsbericht. 05.03.2021 Gesellschaft
Wissenswertes zum VirusCorona-News kompakt +++ BioNTech/Pfizer-Einzeldosis reduziert Risiko in Kliniken +++ Mitten in Italien kommt Sputnik V zum Einsatz +++ Im Ländle baut Drogerie-Riese dm Testzentren auf +++ Pandemie schürt Sorgen und Süchte +++ 05.03.2021 GesellschaftCOVID-19-Pandemie
Studie zu Corona-LangzeitfolgenEin Drittel der SARS-CoV-2-Infizierten klagt über "Long COVID" Einer US-Studie zufolge leidet etwa jede(r) Dritte COVID-19-Erkrankte bis zu neun Monate nach Krankheitsbeginn an mindestens einem anhaltenden Symptom, dem sogenannten "Long COVID". 05.03.2021 GesellschaftStudien zu COVID-19
Zahl des Monats213 213 Obdachlose wurden 2020 im Vergleich zum Vorjahr in den Zahnmobilen Hamburg und Hannover weniger behandelt. 05.03.2021 Politik
Unabhängige PatientenberatungDie UPD will proaktiver werden Neutral, unabhängig, mit mehr Nähe zum Patienten und vernetzten Strukturen will sich die Unabhängige Patientenberatung Deutschland (UPD) künftig aufstellen. Dazu hat sie heute ihr Konzept vorgestellt. 04.03.2021 Politik
Neue Studiendaten für SeniorenSTIKO empfiehlt AstraZeneca jetzt für alle Altersgruppen Die Ständige Impfkommission (STIKO) empfiehlt nun doch für alle Altersgruppen die Impfung mit AstraZeneca. Bisher war das Vakzin in Deutschland nur für unter 65-Jährige zugelassen. 04.03.2021 Gesellschaft
Robert Koch-InstitutBritische Mutation ist zweithäufigste Variante in Deutschland Das RKI hat gestern seinen dritten Bericht zur aktuellen Verbreitung der SARS-CoV-2-Varianten en in Deutschland veröffentlicht. Bei 46 Prozent der positiven Proben wurde B1.1.7 nachgewiesen. 04.03.2021 GesellschaftPolitik
Änderung der Corona-TestverordnungAb Montag gibt es den kostenlosen Bürgertest Am 8. März tritt die geänderte Corona-Testverordnung (TestV) in Kraft. Sie schreibt den Anspruch auf einen kostenlosen Schnelltest für jeden Bürger pro Woche fest. Darauf hatten sich Bund und Länder geeinigt. 04.03.2021 Gesellschaft
Aktuelle Beschlüsse nach CoronagipfelDie neuen Beschlüsse und Öffnungsschritte Impfungen sollen ab Ende März in Arztpraxen möglich sein. Der Lockdown wird bis zum 28. März verlängert. Pro Woche hat jeder Bürger Anspruch auf einen kostenlosen Schnelltest. 04.03.2021 GesellschaftPolitik
Umfrage der American Dental Association (ADA)USA: Pandemie erhöht Prävalenz von Bruxismus Abrasionen, frakturierte Zähne, Kiefer- und Kopfschmerzen – US-Zahnärzte beobachten mit steigender Pandemie-Dauer zunehmend stressbedingte Symptome bei ihren Patienten, zeigt eine Umfrage der ADA. 04.03.2021 Gesellschaft
Interview mit einem SEO-SpezialistenWie Google-optimiere ich meine Praxis-Website? Meine Praxis-Website ist die erste Anlaufstelle für Patienten, aber auch für potenzielle Bewerber und Mitarbeiter. Wie ich es anstelle, dass sie im Internet bei den Suchergebnissen ganz oben steht. 03.03.2021 Praxis
Stress abbauen, Stimmung aufhellenDie zehn besten Yoga-Übungen im Lockdown Tagsüber in der Praxis, abends vor der Glotze – viel mehr geht ja gerade nicht. Wenn der Körper ohne Kraft und die Stimmung so richtig im Keller ist, helfen die zehn besten Yoga-Übungen im Lockdown! 03.03.2021 Praxis
Beschlussvorlage für heutigen Corona-GipfelRegierung plant Verlängerung des Lockdown bis zum 28. März Geplant sind regelmäßige kostenlose Tests für Kitas, Schulen, und alle Bürger sollen mehr Normalität, Sicherheit und Öffnungsoptionen bringen. Absolut entscheidend bleibt jedoch das Infektionsgeschehen. 03.03.2021
Abschließende Beratung im Gesundheitsausschuss des BundestagsFDP: Rückzahlungen der Liquiditätshilfe sollen entfallen Bei den Beratungen zu dem Gesetz, mit dem die epidemische Lage von nationaler Tragweite verlängert werden soll, hat die FDP plädiert, dass Zahnärzte Liquiditätshilfen nicht zurückzahlen müssen. 03.03.2021 PolitikCOVID-19-Pandemie
DG PARO-Frühjahrstagung 2021Unterstützende Parodontitistherapie im Fokus Mit der neuen PAR-Richtlinie wird die UPT erstmalig Bestandteil des GKV-Leistungskatalogs. Beim DG PARO-Teamtag am 25. Februar 2021 stand das Thema im Fokus der Vorträge. 02.03.2021
Aktuelles Diskussionspapier aus dem BMGPro Woche soll es zwei Schnelltests für alle gratis geben Das Bundesgesundheitsministerium (BMG) will jedem Bürger bis Ende Juni zwei kostenlose, von Profis durchgeführte Schnelltests pro Woche anbieten. Auch bei den Selbsttests gibt es Bewegung. 02.03.2021 Gesellschaft
Urteil des Europäischen Gerichtshofs (EuGH)EU-Staaten müssen Teilzugang zu anerkannten Gesundheitsberufen berücksichtigen Ein EU-Mitgliedstaat muss einen Teilzugang bei Gesundheitsberufen zulassen, die laut Berufsqualifikationsrichtlinie von einer automatischen Anerkennung profitieren. Betroffen sind auch Zahnärzte. 02.03.2021 PolitikUrteile
Stiftung WarentestViele FFP2-Masken haben eine mangelhafte Passform FFP2-Masken schützen nur vor SARS-CoV-2, wenn sie gut am Gesicht abschließen. Eine Untersuchung der Stiftung Warentest zeigt, dass Atemwiderstand und Passform extrem variieren – und empfiehlt nur ein Modell. 02.03.2021 Gesellschaft
SondergipfelEU einigt sich auf europaweiten digitalen Impfpass Binnen drei Monaten will die Europäische Union einen EU-weit anerkannten digitalen Nachweis zu Corona-Impfungen auf den Weg bringen. Darauf einigten sich die 27 EU-Mitgliedsstaaten auf ihrem Sondergipfel. 02.03.2021 PolitikCOVID-19-Pandemie
SPD-Wahlprogramm für die Bundestagswahl 2021Die Bürgerversicherung – ein "Update für Gesundheit" Kanzlerkandidat Olaf Scholz hat mit Saskia Esken und Norbert Walter-Borjans das „Zukunftsprogramm“ der SPD vorgestellt. Die Bürgerversicherung soll allen einen gleich guten Zugang zur Versorgung ermöglichen. 01.03.2021 GesellschaftPolitik
FDA-NotfallzulassungUSA lässt Impfstoff von Johnson & Johnson zu Die US-Gesundheitsbehörde FDA hat Samstag dem Impfstoff des US-Pharmaherstellers Johnson & Johnson eine Notfallgenehmigung zur Anwendung bei Erwachsenen erteilt. Sein Vorteil: Bereits eine Impfung reicht aus. 01.03.2021 Gesellschaft
Erster Bericht der KZBV über zahnärztliche QualitätsprüfungenDas Potenzial ist da! Der G-BA hat den ersten Bericht der KZBV über zahnärztliche Qualitätsprüfungen veröffentlicht. Geprüft wurde die korrekte Indikationsstellung von direkten und indirekten Überkappungsmaßnahmen. 01.03.2021